Platelet Abnormalities Flashcards

(57 cards)

1
Q

What platelet abnormality is often seen in individuals who have been on a by-pass machine?

A

platelets get degranulated by the by-pass machine- so may have an acquired platelet dysfunction when they come out of surgery

How well did you know this?
1
Not at all
2
3
4
5
Perfectly
2
Q

What is the platelet function in primary hemostasis?

A
  • vessel injury
    • exposure of collage & vWF
  • platelet adhesion
  • platelet activation
  • platelet aggregation
  • primary hemostatic plug
  • stabilized by fibrin meshwork
How well did you know this?
1
Not at all
2
3
4
5
Perfectly
3
Q

What clinical findings are seen in platelet dysfunction or thrombocytopenia?

A
  • petechiae
  • ecchymoses
  • epistaxis
  • menorrhagia
  • GI hemorrhage
  • Gingival bleeding
  • Post-partum hemorrhage
  • post-operative bleeding
How well did you know this?
1
Not at all
2
3
4
5
Perfectly
4
Q

Identify the different types of bruising seen in the provided image. These symptoms are seen in what conditions?

A

platelet dysfunction or thrombocytopenia

How well did you know this?
1
Not at all
2
3
4
5
Perfectly
5
Q

What are the type of thrombocytopenia?

A
  • decreased production
  • decreased survival
  • sequestration
  • dilution
How well did you know this?
1
Not at all
2
3
4
5
Perfectly
6
Q

What are the types of thrombocytosis?

A
  • reactive
    • infectious/trauma
    • iron deficiency
    • carcinoma
    • exercise
  • neoplastic
    • myeloproliferative
How well did you know this?
1
Not at all
2
3
4
5
Perfectly
7
Q

What are the causes of defective platelet function & associated conditions?

A
  • defective adhesion (Benard-Soulier)
  • defective aggregation (Glanzmann thrombasthenia)
  • defective secretion (storage pool disorder)
  • liver disease
  • uremia
  • drug
How well did you know this?
1
Not at all
2
3
4
5
Perfectly
8
Q

What is Mey-Hegglin Anomaly?

Inheritance pattern?

Peripheral blood smear?

A

hereditary thrombocytopenia disorder

autosomal dominant

normal platelet function & not associated with bleeding

  • mild thrombocytopenia
  • large platelets
  • Dohle-like bodies in leukocytes
How well did you know this?
1
Not at all
2
3
4
5
Perfectly
9
Q

What mutation is seen in Benard-Soulier syndrome?

A

mutation in GPIb, which causes a decreased membrane GPIb-V-IX (receptor for vWF & is necessary for platelet adhesion)

How well did you know this?
1
Not at all
2
3
4
5
Perfectly
10
Q

Bernard-Soulier syndrome causes what type of platelet dysfunction?

inheritance pattern?

Peripheral blood smear?

A

defective adhesion after injury -moderate to severe bleeding

autosomal recessive

  • platelets are large (like May-Hegglin, but these have impaired function)
How well did you know this?
1
Not at all
2
3
4
5
Perfectly
11
Q

The provided smear could be from what two conditions? How could you tell them apart?

A

large platelets

May-Hegglin Anomaly (platelets are functional)

Benard-Soulier syndrome (impaired adhesion)

How well did you know this?
1
Not at all
2
3
4
5
Perfectly
12
Q

What mutation is seen in Glanzmann Thrombasthenia?

A

deficiency or dysfunction in GPIIb/IIIa, a protein that binds to fibrinogen & vWF during platelet adhesion & aggregation

How well did you know this?
1
Not at all
2
3
4
5
Perfectly
13
Q

Glanzmann Thrombasthenia causes what type of platelet dysfunction?

inheritance pattern?

Peripheral blood smear?

A

defective platelet aggregation in homozygotes (heterozygotes are asymptomatic)

autosomal recessive

  • normal platelet count & morphology but abnormal function
How well did you know this?
1
Not at all
2
3
4
5
Perfectly
14
Q

What CBC values do you see in a patient with Primary Immune Thrombocytopenic purpura (ITP)?

A
  • severe (<20K) thrombocytopenia
    • often large, immature platelets
  • all other counts are normal
How well did you know this?
1
Not at all
2
3
4
5
Perfectly
15
Q

What is the clinical presentation of a patient with chronic Primary Immune Thrombocytopenic purpura?

Treatment?

A
  • Female 20-40yr
  • insidious onset
    • mucocutaneous bleeding
  • NO systemic symptoms
  • NO splenomegaly
  • Treatment
    • corticosteroids, IVIg & sometimes splenectomy
How well did you know this?
1
Not at all
2
3
4
5
Perfectly
16
Q

What is the cause of chronic Primary Immune Thrombocytopenia (ITP)?

A

autoantibodies against platelet antigen → peripheral destruction

How well did you know this?
1
Not at all
2
3
4
5
Perfectly
17
Q

Why is it not helpful to test for anti-platelet antibodies in the diagnosis of ITP?

A

it is not sensitive nor specific

negative result does not rule out ITP

How well did you know this?
1
Not at all
2
3
4
5
Perfectly
18
Q

What is the cause of acute ITP?

A

IgG antibodies directed against GP IIb-IIIa on platelets

How well did you know this?
1
Not at all
2
3
4
5
Perfectly
19
Q

What is the clinical presentation of a patient with acute ITP?

A

usually young child

abrupt onset - triggered by viral infection (1-3 weeks prior)

How well did you know this?
1
Not at all
2
3
4
5
Perfectly
20
Q

Secondary ITP is associated with what conditions?

A

autoimmune diseases, lymphomas, viral infections (HIV, HepC) & drugs (quinidine, heparin)

How well did you know this?
1
Not at all
2
3
4
5
Perfectly
21
Q

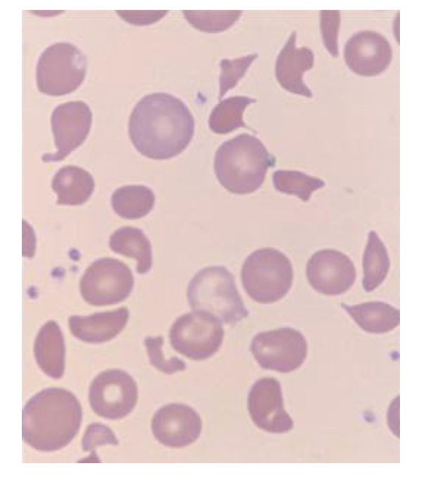
What is the definition of RBC fragmentation syndrome with thormbocytopenia?

A

non-immune hemolytic anemia resulting from intravascular RBC fragmentation, usually within small arterioles & capillaries - possibly from artificial heart valves or ventricular assist devices

How well did you know this?
1
Not at all
2
3
4
5
Perfectly
22
Q

What is disseminated intravascular coagulation?

A

formation widespread microvascular thrombi after activationof coagulation cascade by tissue factor or mimic, resulting in microangiopathic hemolytic anemia & thrombocytopenia

body degrades newly formed fibrin → consumptive coagulopathy & bleeding diathesis

How well did you know this?
1
Not at all
2
3
4
5
Perfectly
23
Q

What laboratory values will you see in patient with DIC?

A

PT, PTT, & TT may be prolonged (sometimes normal in early stages)

low fibrinogen

elevated D-dimer

elevated FDP

24
Q

What peripheral blood findings are consistent with DIC?

25
What are the causes of DIC?
major trauma (crush) overwhelming infections obstetric complications mucin-secreting adenocarcinomas prostatic surgery venomous snake bites
26
What is the treatment for DIC?
eliminate underlying cause supportive therapy
26
What is the treatment for DIC?
eliminate underlying cause supportive therapy
27
What are the the characteristics of the related Thrombotic Microangiopathies (TTP/HUS)?
diffuse microvascular occlusion of arterioles & capillaries by thrombi - mainly by **platelets** _not fibrin_ leading to blood schistocytosis, ischemia, & end organ damage **no perivascular inflammation**
28
TTP & HUS usually have what type of coagulation screening tests?
usually normal
29
Thrombotic Thrombocytopenic Purpura is characterized by what features?
* severe thrombocytopenia (\<20,000) * microangiopathic hemolytic anemia (schistocytes) * neurologic symptoms * fever * increased serum LDH
30
What symptoms is seen more commonly in TTP than other types of TMA?
systemic manifestation of organ damage (besides kidneys)
31
What are the two types of TTP? Which is more common? Age group most commonly affected by each?
**inherited** - uncommon (infancy & childhood - remits & relaplse) **acquired** - adults & older children - single acute episode
32
What molecular deficiency is seen in TTP? How does this lead to its clinical presentation?
* Severe deficiency (\<10%) **ADAMTS13**, which is responsible for _cutting vWF_ into _smaller, less reactive_ multimers * Patients with this deficiency release ultra-large von Wilibrand multimers (**ULvWF**) after endothelial damage, leading to _exuberant formation of platelet microthrombi in microcirculation_
33
What laboratory features are consistent with TTP?
* schistocytes * thrombocytopenia * increased LDH * coagulation tests are usually normal
34
What is the treatment for TTP?
**emergent** plasma apheresis with _FFP_ or _cryo-poor plasma_ NO PLATELETS UNLESS LIFE-THREATENING BLEEDING
35
Hemolytic Uremic Syndrome is characterized by what features?
* microangiopathic hemolytic anemia * thrombocytopenia * acute renal failure * +/- diarrhea * CNS symptoms
36
What are the two types of Hemolytic Uremic Syndrome?
* primary “atypical” - complement dysregulation * complement gene mutations * antibodies to complement factor H * secondary * infection (shiga toxin) * drug toxicity * rarely - pregnancy & autoimmune
37
Does TTP or HUS have a lower mortality rate?
HUS has a lower mortality rate than TTP
38
What is the most common cause of HUS?
E. coli O157:H7 via contaminated hamburger
39
What is the treatment for HUS?
supportive - with dialysis
40
What is a common complication of unfractionated heparin?
life-treatening venous or arterial thrombosis
41
What are the two types of Heparin-Induced Thrombocytopenia (HIT)? What are their different features & clinical significance?
* Type I * rapidly after administration * direct platelet-aggregating * usually little clinical significance * Type II * 5-14 days after administration * autoantibodies to a complex of heparin & low molecular weight proteins (platelet factor 4), which activates platelets and leads to thrombocytopenia & thrombosis * Thrombi in arteries & veins
42
What value should you be sure to check before stating someone on heparin?
platelet
43
What are two major clues to the presence of HIT?
1. fall in platelet count 1-2 weeks after starting heparin 2. unexpected shortening of aPTT 1. still prolonged, b/c on heparin, but shorter than expected
44
What differential diagnoses must be ruled out as a cause of thrombocytopenia before making a diagnosis of HIT?
bleeding, infection, hemodilution
45
How do you confirm the diagnosis of HIT?
heparin-platelet antibody assay do not wait for results to start therapy
46
What is the treatment for HIT?
**stop heparin** - use different anticoagulant (_NOT_ low molecular weight heparin) avoid giving platelets
47
What is the most common cause of drug induced acquired disorder or platelet function?
aspirin (NSAID, penicillins, hydroxychloroquine, amitriptyline, etc)
48
What are common causes of acquired disorders of platelet dysfunction other than drug-induced?
liver disease uremia (reversible) bypass surgery autoimmune disorders hematolymphoid neoplasms
49
Aspirin impacts what molecule that leads to impairment of primary hemostasis?
acetylates platelet COX → impairs prostaglandin metabolism → impairs synthesis of thromboxane A2 → impairs thromboxane A-2-dependent platelet aggregation (primary hemostasis)
50
How does aspirin affect the coagulation cascade?
aspirin has no effect on the coagulation cascade
51
What effects does uremia have on platelet function?
* defects in adhesion * decreased synthesis of thromboxane A2 * possibly circulating metabolites or toxins inhibit platelet function
52
What is the treatment for uremia-induced platelet dysfunction?
dialysis DDAVP (vasopressin) estrogens
53
What effects does liver diseasehave on platelet function?
* multifactorial * FDP compromise platelet function & impair release of platelet factor 3
54
What effects does bypass surgery have on platelet function?
* cause thrombocytopenia & platelet dysfunction secondary to depletion of platelet dense granules & alpha granules
55
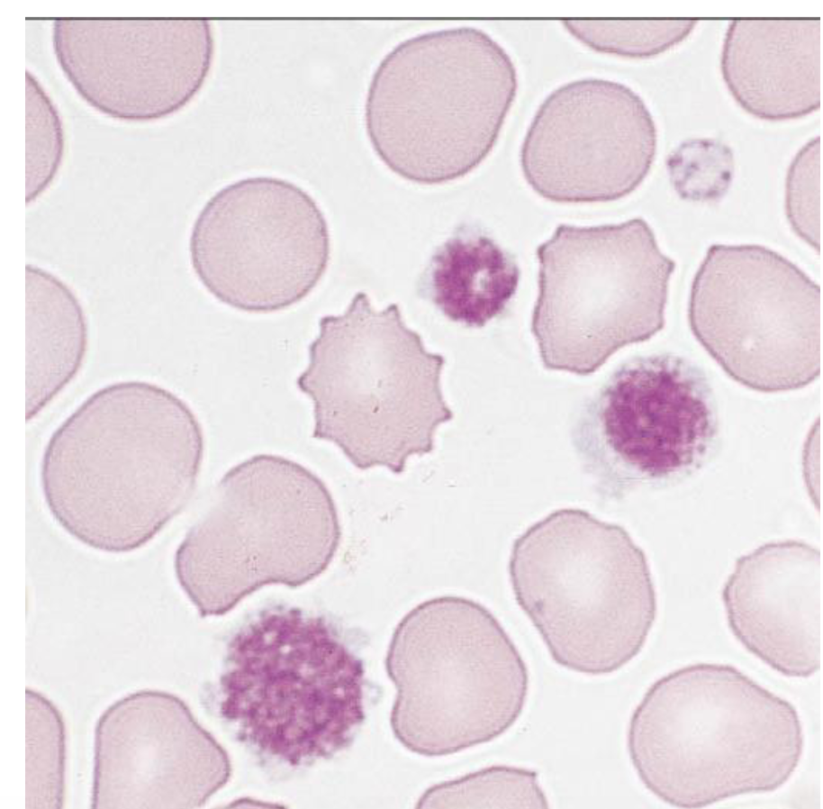
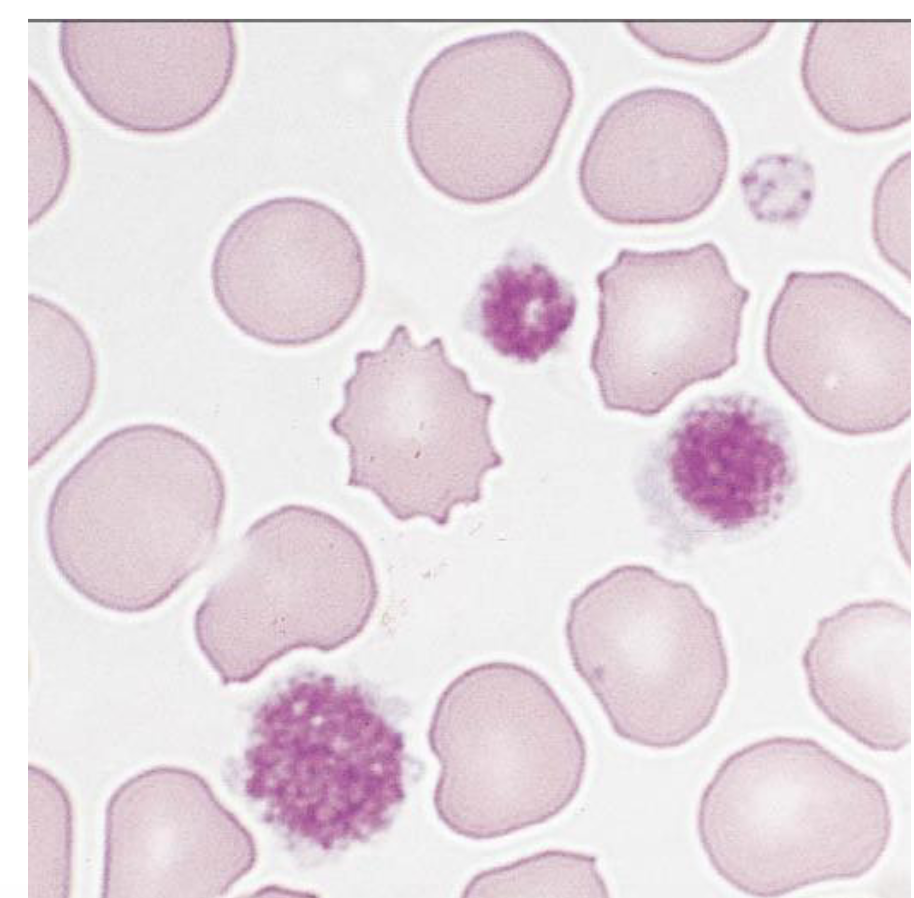
What are the common causes of pseudothrombocytopenia?
platelet aggregates from traumatic blood draw or inadequate mixing EDTA-induced aggregation (draw in heparinzed tube)
56
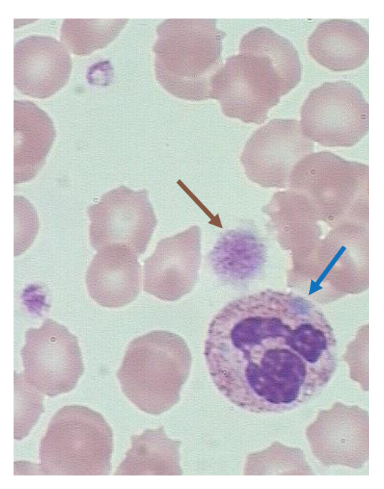
After a CBC indicates thrombocytopenia, what step should occur before starting the transfusion?
peripheral blood smear review by technologist to look for platelet clumps & satelliotisis where platelets accumulate around WBC