Platelets Flashcards

(71 cards)

1
Q

Role of platelets in hemostasis

A
How well did you know this?
1
Not at all
2
3
4
5
Perfectly
2
Q

Petechiae vs. purpura vs. ecchymoses

A
How well did you know this?
1
Not at all
2
3
4
5
Perfectly
3
Q
A

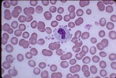
Enlarged platelets consistent w/ Bernard Soulier syndrome

How well did you know this?
1
Not at all
2
3
4
5
Perfectly
4
Q

What is the inheritance pattern of Bernard Soulier syndrome

A

Autosomal recessive disorder

associated with mutations in genes
for proteins in the platelet GPIb complex

How well did you know this?
1
Not at all
2
3
4
5
Perfectly
5
Q

Inheritance pattern of Glantzmann thrombasthenia

A

Autosomal recessive

associated with mutations in either ITGA2B or ITGB3, the genes for the two parts of the integrin αIIbβ3 receptor (GPIIb/GPIIIa)

How well did you know this?
1
Not at all
2
3
4
5
Perfectly
6
Q

How is Glantzmann thrombasthenia dx’d?

A

Flow cytometry for GPIIb/GPIIIa)

How well did you know this?
1
Not at all
2
3
4
5
Perfectly
7
Q

Elevated BUN

A

Uremia - due to renal insufficiency (NO is increased and decreases platelet binding to endothelium)

How well did you know this?
1
Not at all
2
3
4
5
Perfectly
8
Q

How long after aspirin Tx does it take for affected platelets to clear?

A

7-10 days

How well did you know this?
1
Not at all
2
3
4
5
Perfectly
9
Q

Inheritance pattern of May-Hegglin anomaly

A

Autosomal dominant

How well did you know this?
1
Not at all
2
3
4
5
Perfectly
10
Q

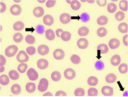
What platelet disorder is characterized by variable thrombocytopenia, giant platelets, and particularly by blue-gray cytoplasmic inclusions in neutrophils (but also in monocytes and eosinophils)

A

May-Hegglin anomaly

Bleeding problems arise from decreased platelet number

How well did you know this?
1
Not at all
2
3
4
5
Perfectly
11
Q
A

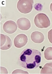
Blue-gray cytoplasmic inclusions (Dohle bodies) seen in May-Hegglin anomaly

How well did you know this?
1
Not at all
2
3
4
5
Perfectly
12
Q

What mutation causes May-Hegglin anomaly?

A

Mutations in the gene for myosin heavy chain (MYH9)

How well did you know this?
1
Not at all
2
3
4
5
Perfectly
13
Q
A

Platelet satellitism - artifact (does not represent actual thrombocytopenia or risk for clot formation in vivo)

How well did you know this?
1
Not at all
2
3
4
5
Perfectly
14
Q

Lab qualification for heparin induced thrombocytopenia

A

50% reduction from the pre-heparin baseline regardless of what absolute platelet count number is at that point

After at least 5-10 days on heparin therapy with no previous heparin exposure (can present within 24 hours if exposed to heparin within 30 days prior)

How well did you know this?
1
Not at all
2
3
4
5
Perfectly
15
Q

Stage four fibrosis

A

Cirrhosis

Produces portal hypertension which leads to splenomegaly

How well did you know this?
1
Not at all
2
3
4
5
Perfectly
16
Q

Why not perform splenectomy in splenamegaly Pt w/ cirrhosis?

A

Although splenectomy would resolve thrombocytopenia - altered hemodynamics of portal circulation creates extermely high risk for intra-abdominal thrombosis

After splenectomy - Pt’s w/ liver fibrosis will have a large increment in their platelet count and typically need to be Tx’d prophylactically w/ aspirin

How well did you know this?
1
Not at all
2
3
4
5
Perfectly
17
Q

What causes underproduction of platelets in liver disease

A

Loss of thrombopoietin production

How well did you know this?
1
Not at all
2
3
4
5
Perfectly
18
Q

TPO agent designed to temporarily raise platelet count in liver disease

A

Avatrombopag

Only used temporarily - long-term use results in liver fibrosis and fibrosis of marrow

How well did you know this?
1
Not at all
2
3
4
5
Perfectly
19
Q

Coagulopathy of liver disease

A
  1. Prolonged PT and PTT
  2. Underproduction of fibrinogen
  3. Low platelet count (decreased TPO production)
  4. Elevated markers of secondary fibrinolysis
  5. Factor VIII is normal or high

Factor VIII is consumed in DIC but not in liver disease coagulopathy

Resembles DIC except it is the result of underproduction rather than activation of coagulation causing consumption of coagulation factors

How well did you know this?
1
Not at all
2
3
4
5
Perfectly
20
Q

Tx of coagulopathy of liver disease

A

Involves raising fibrinogen and platelet count to safe hemostatic values

Not helpful to correct PT/aPTT

How well did you know this?
1
Not at all
2
3
4
5
Perfectly
21
Q

Pathophysiology of Immune thrombocytopenic purpura

A

Antiplatelet Abs that increase platelet clearance

GPia/IIa and GPIIB/IIIa are most common Ags

TPO levels are diminished

How well did you know this?
1
Not at all
2
3
4
5
Perfectly
22
Q

Young anemic female presents w/ isolated thrombocytopenia. No blood loss or iron deficiency are found. What is the most likely Dx?

A

Immune thrombocytopenic purpura

Mostly primary, but can be secondary to SLE/RA/CLL

How well did you know this?
1
Not at all
2
3
4
5
Perfectly
23
Q

Evans syndrome

A

Concurrence of ITP and autoimmune hemolytic anemia

Common for hemolytic anemia to resolve after Tx, but ITP may recur (particularly post splenectomy)

How well did you know this?
1
Not at all
2
3
4
5
Perfectly
24
Q

What type of thrombocytopenia has the lowest risk of bleeding at any given platelet count?

A

Immune thrombocytopenic purpura

How well did you know this?
1
Not at all
2
3
4
5
Perfectly
25
Thrombocytopenia, elevated D dimer, prolonged PT/aPTT, and decreased factor VIII
DIC ## Footnote Factor VIII is normal or elevated in coagulopathy of liver disease (decreased in DIC)
26
What causes thrombotic thrombocytopenic purpura
**Deficiency of ADAMTS-13** - matrix metalloproteinase that cleaves very high molcular weight vWF multimers ## Footnote Also autoimmune disease associated w/ Abs against ADAMTS-13
27
Diagnostic pentad of thrombotic thrombocytopenic purpura
1. Microangiopathic hemolysis 2. Thrombocytopenia 3. Fever 4. Renal findings 5. Neurologic issues by Hx or physical ##footnote FAT RN
28
Caplacizumab
Anti-vWF mAb
29
Heparin induced thrombocytopenia Dx
Testing for Abs against platelet factor-4 Functional assay testing serotonin release by platelets in presence of heparin
30
Preferred substitute if Pt has HIT
**Fondaparinux** - low molecular weight heparin (all other heparin products are contraindicated) ## Footnote Fondaparinux is an extremely small molecule and is apparently missing the antigenic site for HIT. Other parenteral agents that can be used are the direct thrombin inhibitor argatroban or the non-immunogenic heparinoid, danaparoid. If the patient has not had a cerebral vein thrombosis, then it would be reasonable to use a direct oral anticoagulants like rivaroxaban or apixaban.
31
What integrins are activated during platelet adhesion?
αIIbβ3 and α2β1 integrins
32
What is a Platelet Function Analyzer (PFA)?
A test assessing platelet function based on "closing time" (CT) under low pressure with specific agonists like collagen and epinephrine (EPI)
33
What does a prolonged CT-EPI but normal CT-ADP indicate?
An "aspirin-like defect" due to cyclooxygenase inhibition.
34
What does a prolonged CT-EPI and CT-ADP indicate?
General platelet dysfunction, seen in disorders like **uremia or Glanzmann thrombasthenia**
35
How are platelet aggregation studies performed?
Platelet-rich plasma is exposed to agonists (ADP, ristocetin, etc.), and aggregation patterns are traced via light transmission.
36
How does aspirin affect platelet function?
Irreversibly inhibits cyclooxygenase (COX-1), **impairing TxA2** production for 7–10 days.
37
**pseudothrombocytopenia**
A laboratory artifact caused by EDTA-dependent platelet clumping in collection tubes
38
What diagnostic features distinguish TTP from DIC?
Normal PT/aPTT in TTP, compared to prolonged values in DIC.
39
What is the treatment for TTP?
Plasma exchange/plasmapheresis and immunosuppressive therapy (e.g., rituximab)
40
What is the preferred treatment for HIT?
Discontinuing heparin and initiating a non-heparin anticoagulant like fondaparinux or argatroban.
41
What is VITT?
A condition resembling HIT, occurring after adenoviral vector COVID-19 vaccines, with **PF4 antibody** presence and thrombosis. ## Footnote Why VITT is managed with non-heparin anticoagulatns
42
What causes a decrease in platelet binding to endothelium in a Pt w/ renal insufficiency?
Increase NO production
43
Which of the following is the first step in primary hemostasis? A. Exposed tissue factor triggers thrombin formation B. Collagen-platelet glycoprotein (GP) VI interaction leads to release of ADP, ATP, TxA2 C. von Willebrand factor binds to exposed collagen and to platelet glycoprotein (GP) Ib D. Activated integrins bind to collagen
C. von Willebrand factor binds to exposed collagen and to platelet glycoprotein (GP) Ib
44
In patients with thrombocytopenia, petechiae are most likely to be in which areas of the body?
Dependent areas (LE's)
45
In patients with thrombocytopenia, petechiae are most likely to be in which areas of the body? What is the most likely Dx?
Bernard-Soulier syndrome ## Footnote May-Hegglin shows no abnormality on PFA study
46
An asymptomatic patient is reported to have thrombocytopenia with a platelet count 45,000/uL (normal 150,000-400,000/uL). The peripheral blood smear report indicates there is platelet clumping. What test do you will order to confirm EDTA-induced platelet clumping (pseudothrombocytopenia) ?
Repeat CBC in a sodium citrate (Na-citrate) tube
47
What contributes to thrombocytopenia in Pt's w/ liver disease?
-Hypersplenism -Decreased TPO production
48
What is the simultaneous occurrence of AIHA and ITP referred to as?
Evan's syndrome
49
Which of the following clinical features would distinguish hemolytic uremic syndrome (HUS) from thrombotic thrombocytopenic purpura (TTP)? A. Microangiopathic hemolytic anemia B. Thrombocytopenia C. Renal failure requiring dialysis
C. Renal failure requiring dialysis ## Footnote In TTP - ADAMTS-13 activity ~10%
50
Platelet aggregation studies shoes aggregation with nothing but ristoscetin, what is the likely Dx?
Glanzmann thrombosthenia
51
B. CT-EPI prolonged; CT-ADP normal
52
D. Myosin heavy chain gene mutation (mutation in **M**Y**H**9 gene) ## Footnote Problem w/ May-Hegglin - platelet Fx is normal, but there is low platelet #'s
53
What pathophysiological process causes a nonspecific effect on the GPIIb/IIIa receptor?
Uremia ## Footnote Correct anemia using DDA VP to release vWF; also dialysis will Tx (also cryoprecipitate - contains vWF)
54
Cryoprecipitate contains what, primarily?
vWF and fibrinogen
55
C. Decreased factor VIII activity ## Footnote **Factor VIII is consumed in DIC**, not liver disease induced thrombocytopenia
56
Isolated thrombocytopenia in liver disease is typically due to hypersplenism, reflecting _______
Portal hypertension
57
Why is there relatively less bleeding seen in coagulopathy of liver disease?
There is a balanced decrease in natural anticoagulants
58
A. Isolated thrombocytopenia in an otherwise healthy individual ## Footnote Any of these situations can be associated w/ ITP, but the most common appearance is w/ an isolated appearance in a healthy individual
59
Infections that cause secondary ITP
Hep C. and *H. pylori* ## Footnote HIV induced secondary ITP is more rare but does occur
60
Malignancy most associated w/ ITP
Chronic lymphocytic anemia (Rei stage four)
61
Splenomegaly in primary ITP
Splenomegaly is rarely seen in primary ITP ## Footnote ITP seen secondary to SLE, splenamegaly is common
62
Least common immunoglobulin class seen in ITP
Mostly IgG, second = IgA Least common = IgM (does'nt fix complement)
63
What mAb diminishes immunoglobulin production
Rituximab (anti CD20 mAb)
64
B. ADAMTS-13 activity less than 10% ## Footnote A = DIC C = HUS D = aHUS
65
In which clotting disorder should you avoid transfusing w/ platelets?
Thrombotic thrombocytopenic purpura
66
Tx of aHUS is similar to the Tx of what syndrome that results in hemoglobinuria?
Paroxysmal nocturia hemoglobinuria
67
Heparin-induced thrombocytopenia
68
What heparins can induce HIT?
Both unfractionated heparin and LWMH ## Footnote Only heparin that is incapable of inducing HIT is **fondapiranux**
69
Do Pt's w/ HIT bleed?
NO ## Footnote HIT is a prothrombotic disorder of platelet activation - they clot
70
Serotonin released from platelet leads to?
Platelet aggregation
71
What thrombotic event disqualifies DOACs?
Cerebral sinus thrombosis