PMP1 Final Flashcards

(82 cards)

1
Q
A
How well did you know this?
1
Not at all
2
3
4
5
Perfectly
2
Q
A
How well did you know this?
1
Not at all
2
3
4
5
Perfectly
3
Q
A
How well did you know this?
1
Not at all
2
3
4
5
Perfectly
4
Q
A
How well did you know this?
1
Not at all
2
3
4
5
Perfectly
5
Q
A
How well did you know this?
1
Not at all
2
3
4
5
Perfectly
6
Q

What is the epiphysis?

A

Present in pediatric tubular bones. It fuses with the metaphysis during development

How well did you know this?
1
Not at all
2
3
4
5
Perfectly
6
Q

What is the physis?

A

cartilage present in pediatric tubular bone

How well did you know this?
1
Not at all
2
3
4
5
Perfectly
6
Q

What is the zone of provisional calcification?

A

Where cartilage becomes calcified

How well did you know this?
1
Not at all
2
3
4
5
Perfectly
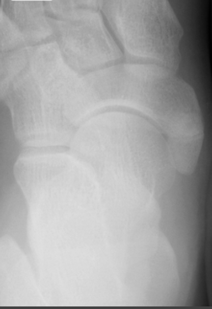
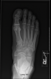
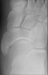
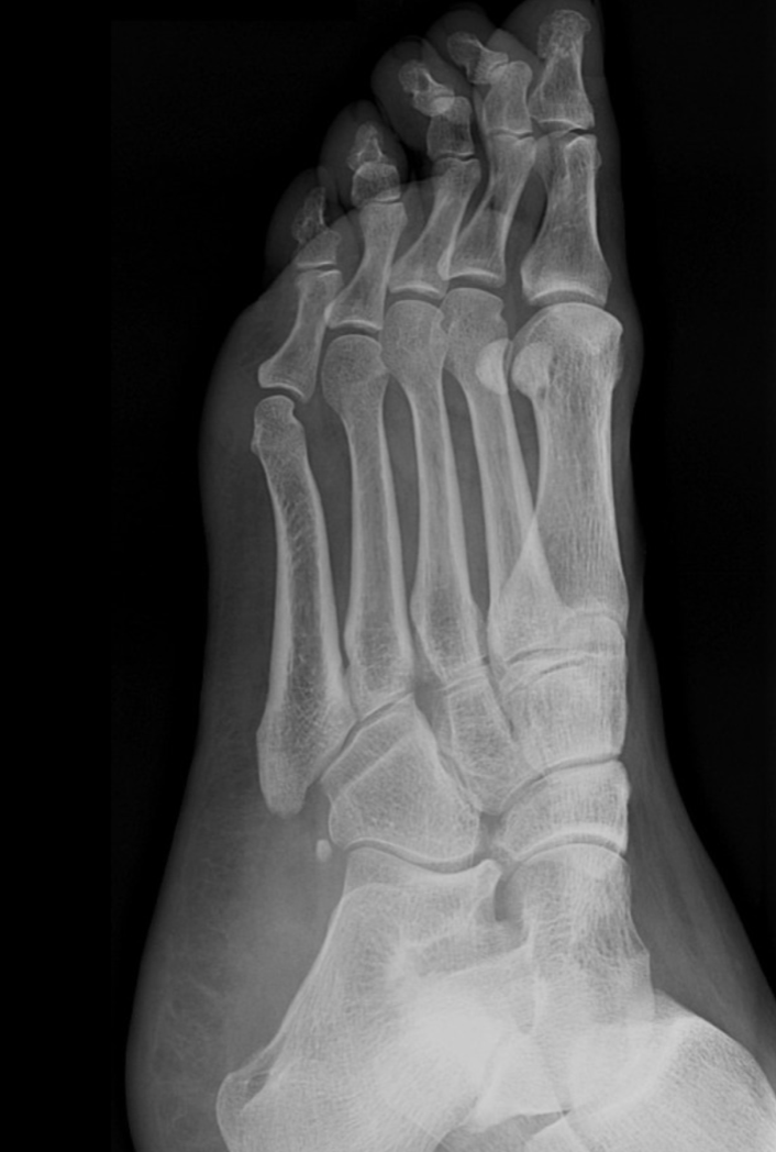
7
Q

What view is this?

A

DP

How well did you know this?
1
Not at all
2
3
4
5
Perfectly
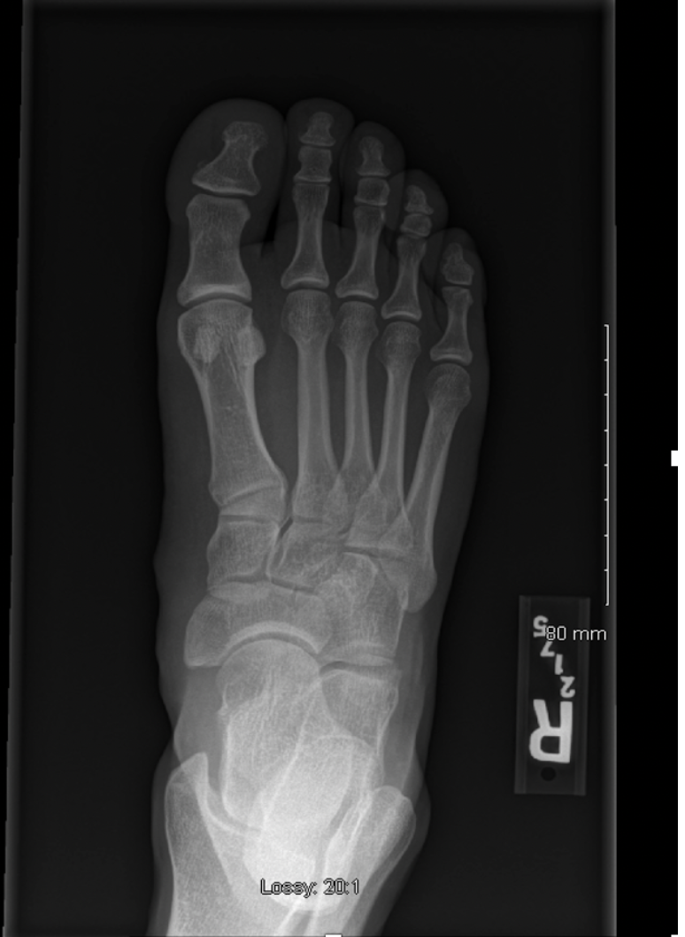
8
Q

What view is this?

A

Medial Oblique

How well did you know this?
1
Not at all
2
3
4
5
Perfectly
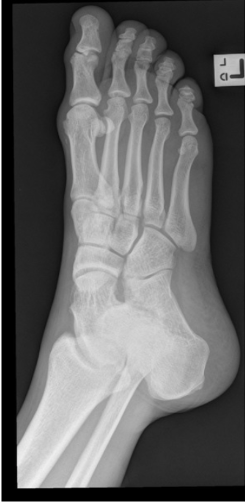
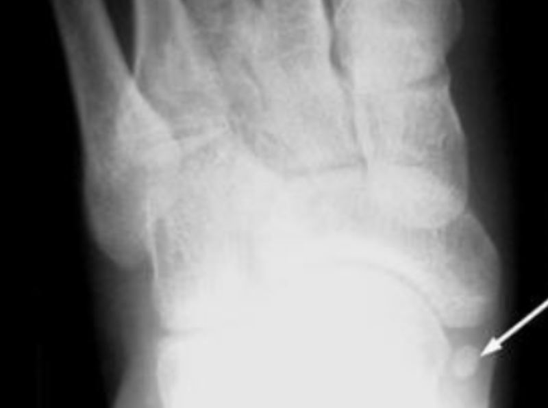
9
Q

What view is this?

A

Lateral Oblique

How well did you know this?
1
Not at all
2
3
4
5
Perfectly
10
Q

What view is this?

A

Lateral View

How well did you know this?
1
Not at all
2
3
4
5
Perfectly
11
Q

What view is this?

A

Calcaneal Axial

How well did you know this?
1
Not at all
2
3
4
5
Perfectly
12
Q

What view is this?

A

Harris-Beath

How well did you know this?
1
Not at all
2
3
4
5
Perfectly
13
Q

What view is this?

A

Sesamoid Axial (posteroanterior)

How well did you know this?
1
Not at all
2
3
4
5
Perfectly
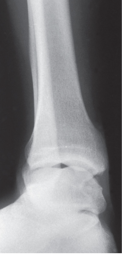
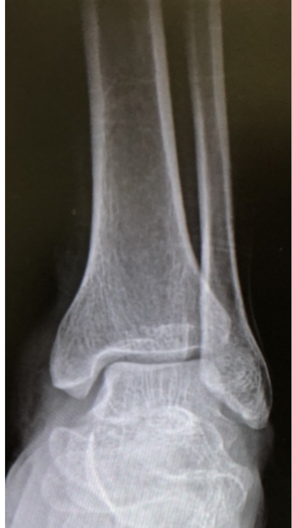
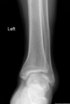
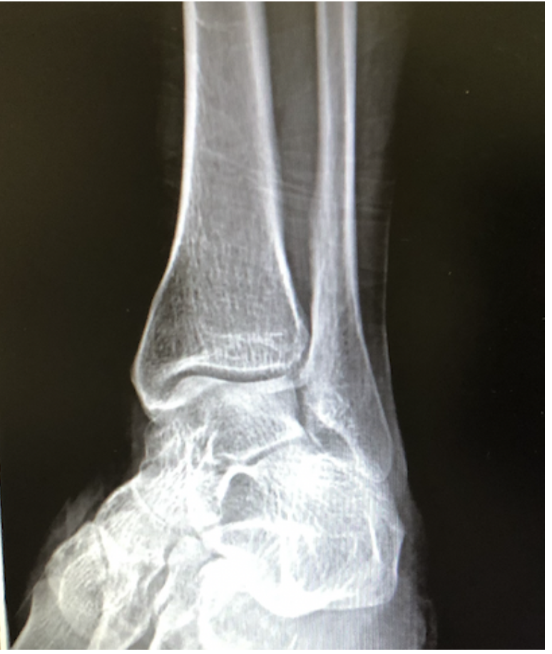
14
Q

What view is this?

A

Ankle AP

How well did you know this?
1
Not at all
2
3
4
5
Perfectly
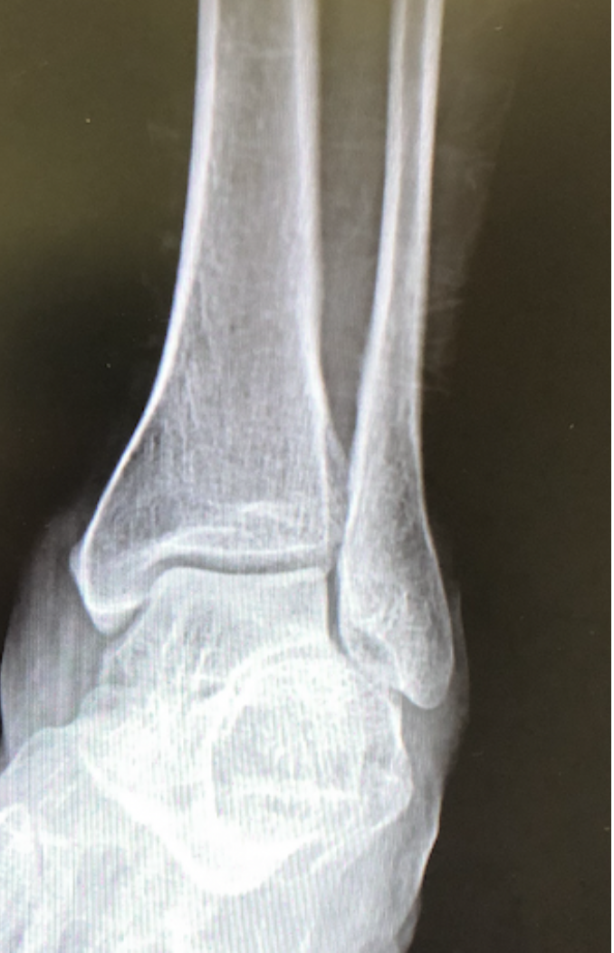
15
Q

What view is this?

A

Mortise View (a little more rotated than ankle AP)

How well did you know this?
1
Not at all
2
3
4
5
Perfectly
16
Q

What view is this?

A

Ankle Medial Oblique

How well did you know this?
1
Not at all
2
3
4
5
Perfectly
17
Q

What view is this?

A

Lateral Ankle Oblique

How well did you know this?
1
Not at all
2
3
4
5
Perfectly
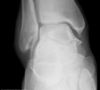
18
Q

Name the accessory bone in the image.

A

Os Interphalangeus

How well did you know this?
1
Not at all
2
3
4
5
Perfectly
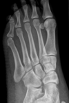
19
Q

Name the accessory bone in the image.

A

Os Intermetatarseum

How well did you know this?
1
Not at all
2
3
4
5
Perfectly
20
Q
A

Os Peroneum

How well did you know this?
1
Not at all
2
3
4
5
Perfectly
21
Q
A

Accessory Navicular type I

How well did you know this?
1
Not at all
2
3
4
5
Perfectly
22
Q
A

Accessory Navicular type II

How well did you know this?
1
Not at all
2
3
4
5
Perfectly
23
Accessory Navicular type III
24
Os Vesalianum
25
Os Supranaviculare
26
Os Supratalare
27
Os Calcaneus Secundarius
28
Os trigonum
29
Os Subtibiale
30
Os Subfibulare
31
What is the insertion of the tibialis anterior m.?
medial surface of medial cuneiform and base of 1st metatarsal
32
What is the insertion of the fibularis tertius m.?
dorsal shaft of 5th metatarsal
33
What is the insertion of the fibularis brevis m.?
styloid process of 5th metatarsal
34
What is the insertion of the fibularis longus m.?
lower surface of medial cuneiform and base of 1st metatarsal
35
What is the insertion of the tibialis posterior m.?
navicular tuberosity, medial cuneiform, bases of 2nd-4th metatarsals
36
Which extrinsic muscles attach to the calcaneus?
soleus, gastroc, plantaris
37
Which intrinsic muscles attach to the calcaneus?
abductor hallucis, flexor digitorum brevis, quadratus plantae, abductor digiti minimi, extensor digitorum brevis, extensor hallucis brevis
38
Indications for a radiograph study
MINTCAPS Metabolic, endocrine, nutritional disorders Infection Neoplasm Trauma Congenital Arthritis Positional Abnormality Soft tissue Abnormality
39
Positioning for the DP projection
40
Positioning for the medial oblique
41
Positioning for the Lateral Oblique Projection/Medial Oblique View: Weight Bearing
42
Positioning for lateral oblique
43
Positioning for lateral projection
44
Positioning for calcaneal axial projection
45
Positioning for Harris-Beath
46
Positioning for Sesamoid Axial
47
Positioning for Ankle AP projection
48
Positioning for Ankle Mortise
49
Positioning for Lateral Ankle Projection
50
Positioning for Ankle Medial Oblique
51
Positioning for Ankle Lateral Oblique
52
Which tangential surfaces can you view on a foot DP view?
medial, lateral, anterior, posterior
53
Which tangential surfaces can you view on a foot lateral view?
superior, inferior, anterior, posterior
54
Forefoot varus vs forefoot supinatus
**forefoot varus**: forefoot is inverted when STJ is in NP and MTJ is maximally pronate **forefoot supinatus**: acquired soft tissue deformity
55
Average base of gait is ___ inches
3.5
56
Average angle of gait is __ degrees per side
7
57
What is the calculation for STJ neutral position?
STJ NP = [(Inv + Ev)/3] - Ev
58
Ankle joint axis of motion and # of planes
82° sagittal; triplanar
59
STJ axis of motion and # of planes
45° frontal, 42° transverse; triplanar
60
MTJ oblique axis of motion and # of planes
57° sagittal, 52° transverse, 38° frontal; triplanar
61
MTJ Longitudinal axis of motion and # of planes
75° frontal; triplanar
62
First MTPJ and first ray
45° sagittal, 45° frontal
63
What motion occurs at the STJ?
inversion/eversion
64
What motion occurs at the ankle joint?
dorsiflexion/plantarflexion
65
What motion occurs at the MTJ longitudinal?
inversion/eversion
66
What motion occurs at the MTJ oblique?
plantarflexion/adduction and dorsiflexion/abduction
67
What is the motion at the first ray?
Dorsiflexion, inversion Plantarflexion, eversion
68
Compensation for flexible forefoot valgus
compensates only through the longitudinal MTJ; forefoot inverts to end range supination, inverts more than needed, STJ begins to pronate
69
Compensation for rigid forefoot valgus
compensation through INVERSION in the following order: LASOS Longitudinal axis of MTJ Subtalar joint Oblique axis of MTJ Subtalar joint
70
Muscles that decelerate during contact phase (STJ pronation and tibial internal rotation)
tibialis posterior and soleus
71
Muscles that decelerate during contact phase (ankle plantarflexion at heel strike)
tibialis anterior, EDL, EHL
72
Muscles that decelerate during midstance phase (deceleration of tibia)
soleus, FDL, FHL, posterior tib and gastroc
73
Equation for NCSP
NCSP = STJ neutral + tibial influence = total rearfoot deformity
74
Resting calcaneal stance position
represents compensation
75
How is the sural nerve formed?
medial and lateral cutaneous sural nerves merge
76
Which structures originate from the sinus tarsi?
EDB, EHB, bifurcate ligament, dorsal calcaneocuboid ligament, anterior talocalcaneal ligament
77
Attachments of the spring ligament
plantar surface of the navicular and sustentaculum tali
78
The talus contains a groove for the passage of which tendon?
FHL
79
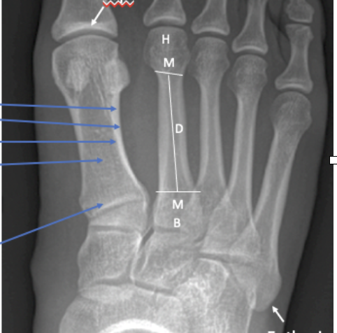
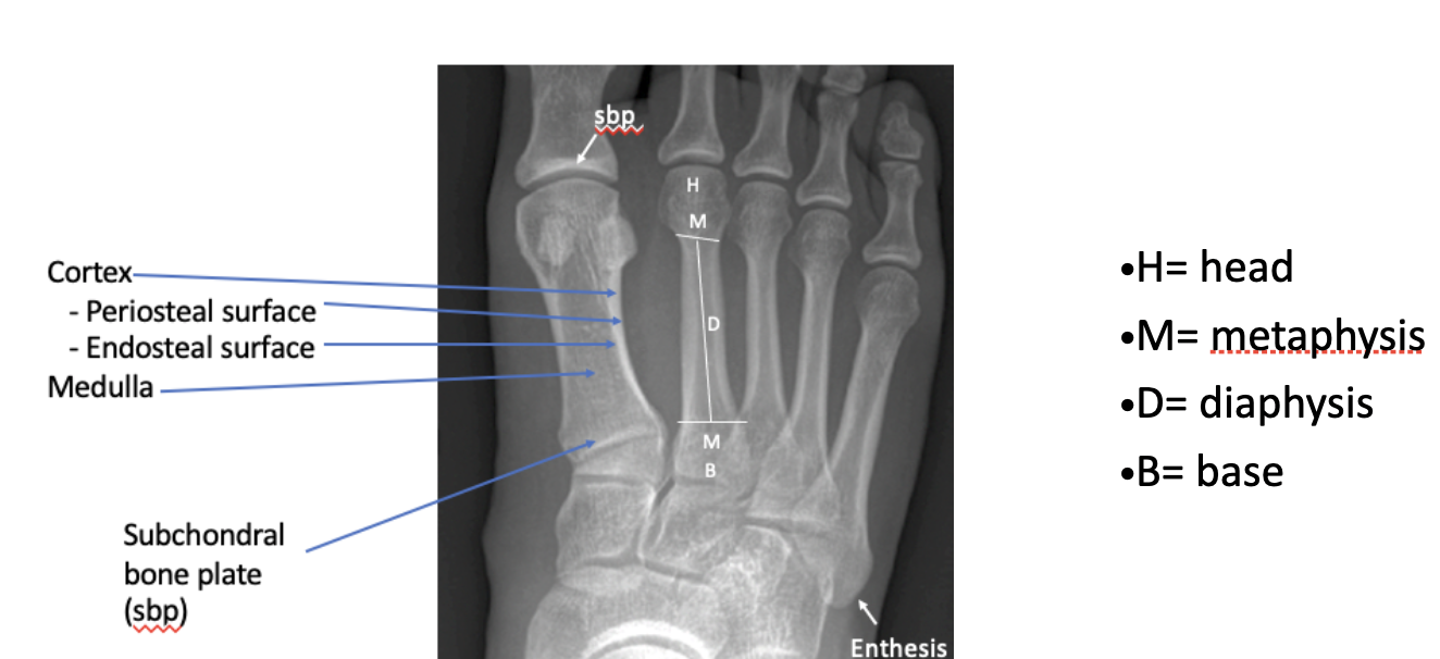
What are bone's four primary radiographic attributes?
position, form, density, architecture
80