Pneumonia Flashcards

(26 cards)

1
Q
A
How well did you know this?
1
Not at all
2
3
4
5
Perfectly
2
Q

Define pneumonia.
What is required to diagnose?

A
How well did you know this?
1
Not at all
2
3
4
5
Perfectly
3
Q

Classify pneumonia and state how you would classify them.

A
How well did you know this?
1
Not at all
2
3
4
5
Perfectly
4
Q

What blood test should be monitored in legionella pneumonia?
What other RF can you elicit from patient history?

A
  1. LFTs + U&E (hyponatremia)
  2. Recent travel
How well did you know this?
1
Not at all
2
3
4
5
Perfectly
5
Q

What organisms can cause pneumonia and what patient groups are affected by each?

A
How well did you know this?
1
Not at all
2
3
4
5
Perfectly
6
Q

What are the extra pulmonary Sx of a M. pneumoniae pneumonia?

A
How well did you know this?
1
Not at all
2
3
4
5
Perfectly
7
Q

What S+S would indicate a patient is in sepsis?

A
How well did you know this?
1
Not at all
2
3
4
5
Perfectly
8
Q

Symptoms of pneumonia

A
How well did you know this?
1
Not at all
2
3
4
5
Perfectly
9
Q

What are the LIFESTYLE risk factors for developing pneumonia?

A
How well did you know this?
1
Not at all
2
3
4
5
Perfectly
10
Q

What are ALL the risk factors for developing pneumonia?

A
How well did you know this?
1
Not at all
2
3
4
5
Perfectly
11
Q

What would you ask in a history for a patient with pneumonia?

A
How well did you know this?
1
Not at all
2
3
4
5
Perfectly
12
Q

What would expect to find on exam of pneumonia?

A
How well did you know this?
1
Not at all
2
3
4
5
Perfectly
13
Q

Ddx for pneumonia

A
How well did you know this?
1
Not at all
2
3
4
5
Perfectly
14
Q

What are the diagnostic investigations for pneumonia?

A
How well did you know this?
1
Not at all
2
3
4
5
Perfectly
15
Q

What are the supportive investigations for pneumonia?

A
How well did you know this?
1
Not at all
2
3
4
5
Perfectly
16
Q

What are ALL the investigations for pneumonia?

17
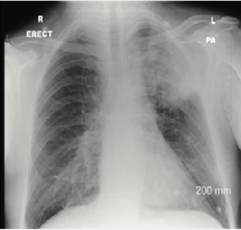
Q

Describe the CXR.

18
Q

How would you grade CAP?
How does the grade affect treatment?

19
Q

What is the preventative measures to decrease the risk of acquiring pneumonia?

20
Q

What does SALT involve?

21
Q

X-ray is done for follow up of pneumonia. How long after presentation should this be performed?
What would you be looking for on this X-ray?

22
Q

Outline the symptom timeline of pneumonia.

23
Q

Describe the acute management of pneumonia?

24
Q

Describe the FULL management of pneumonia?

25
What are the complications of pneumonia?
26
List the types of pneumonia in order of increasing mortality. How does ICU admission affect mortality?