What is the pathological classification of pneumonia?
lobar vs bronchopneumonia
This classification largely was based on macroscopic exam of lungs at autopsy in pts w/ florid pneumonias in a pre-antibiotic era. Problem - difficult to apply in most cases as patterns overlap + classical picture is extremely blurred by modern day abx therapy.

What does consolidation refer to?
What are the typical organisms that cause community-acquired pneumonia?
The remainder of organisms causing CAP are a mixed bag termed ‘atypicals’ (an unhelpful term).
What are the ‘atypical’ organisms that cause CAP?

What organisms are responsible for hospital-acquired pneumonia (HAP)?
What organisms are responsible for pneumonia in the immunocompromised patient?
What are risk factors for pneumonia?
What are the symptoms of pneumonia?
What are the signs of pneumonia?
The severity of CAP is assessed based on the CURB-65 criteria.
What is the criteria?
0-1 = home tx, 2 = hosp therapy, >3 = severe pneumonia (ITU)
What are clinical features that suggest an atypical organism is responsible?
What are the investigations for pneumonia?
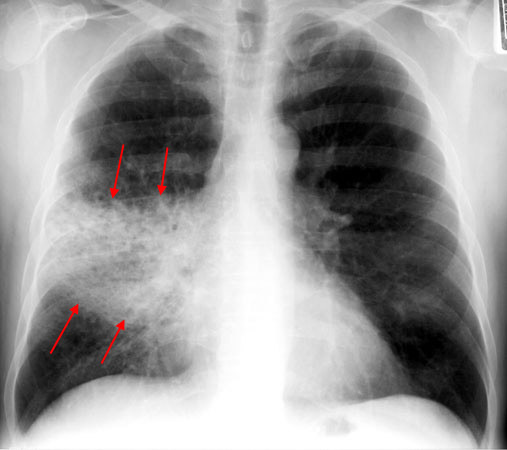
What might a CXR show for pneumonia?

What is the management of CAP?
Oral switch to doxycycline or amoxicillin (+/- carithromycin PO)
What antibiotic should be used for legionella?
fluoroquinolone combined w/ clarithromycin or rifampicin
What antibiotic is used for pneumocystitis jirovecii?
co-trimoxazole
What is the management of HAP?
What is the management of aspiration pneumonia?
Who is the pneumococcal vaccine indicated for?
Re-vaccination is necessary after 6yrs
Who is the influenza vaccine indicated for?
vaccination recommended once a year
Who is the BCG vaccine indicated for?
Lifetime immunity is acquired through vaccination
What are potential complications of pneumonia?