Qual a definição de pneumonia comunitária?
Pneumonia em pacientes: sem história de internação por mais de 48 horas nos últimos 90 dias;
sem história de uso de antibiótico intravenoso, quimioterapia ou tratamento para úlcera de pressão nos últimos 30 dias
Quais os principais tipos histopatológicos de pneumonia bacteriana?
Pneumonia lobar e broncopneumonia

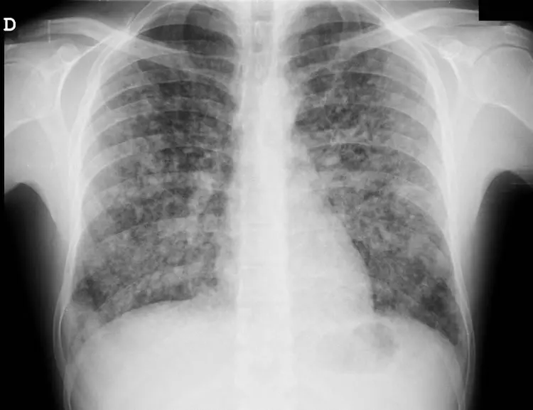
Paciente 50 anos de idade, sexo masculino, iniciou quadro de febre alta com calafrios há dois dias, associado a queda do estado geral, dor pleurítica, tosse com escarro esverdeado, imagem de consolidação alveolar no raio-x de tórax e hemograma apresentando leucocitose com desvio à esquerda. Qual o diagnóstico mais provável?
Pneumonia “típica”
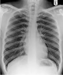
Homem de 28 anos de idade com queixa há 10 dias de mal-estar, mialgia, dor de garganta, tosse seca, febre (39ºC), raio-x mostrando grande infiltrado pulmonar, hemograma sem alterações. Qual o provável diagnóstico?
Pneumonia “atípica”

Como são caracterizados os microorganismos “típicos”? Qual o mais comum?
Possuem parede celular e por isso coram bem pelo GRAM,
respondem bem aos beta-lactâmicos
O mais comum é o pneumococo
Como são caracterizados os microorganismos “atípicos”? Qual o mais comum?
Não possuem parede celular e por isso não coram bem pelo GRAM,
respondem bem aos macrolídeos
O mais comum é o mycoplasma pneumoniae
Dentre todos os tipos de pneumonia comunitária, qual o agente etiológico mais comum?
Pneumococo (Streptococcus pneumoniae)
Pequenos cocobacilos gram-negativos comuns na pneumonia comunitária em idosos (> 65 anos) e indivíduos com DPOC. Qual o agente etiológico?
Haemophillus influenzae
Bastonetes gram-negativos comuns na pneumonia comunitária no alcoólatra e diabético.
Qual o agente etiológico?
Klebsiella pneumoniae
Complete a lacuna a seguir: “A ………………é causada pela Klebsiella pneumoniae, acomete o lobo superior, o que gera um abaulamento na sua borda inferior. “

Pneumonia de Friedlander (“pneumonia do lobo pesado”)
Cocos gram-positivos em cachos comuns na pneumonia comunitária no usuário de drogas endovenosas, após infecção por influenza e pneumopatia estrutural (bronquiectasia). Qual o agente etiológico?
Staphylococcus aureus
Complete a lacuna a seguir: “Uma característica importante da ……………………………….é a formação de pneumatoceles e o derrame parapneumônico.”

Pneumonia estafilocócica
Paciente 60 anos de idade, iniciou quadro há dois dias de febre alta (40º), bradicardia (sinal de Faget), calafrios, mialgia, cefaleia, tosse produtiva, dispneia, DIARREIA, náuseas, vômitos, HIPONATREMIA e AUMENTO DAS ENZIMAS HEPÁTICAS.
Qual o diagnóstico?
Legionelose
Quais as principais manifestações extrarrespiratórias do Mycoplasma pneumoniae?
Miringite bolhosa, anemia hemolítica por crioaglutininas, síndrome de Stevens-Jonhson e fenômeno de Raynaud

Qual o segmento classicamente mais atingido pelas pneumonias aspirativas (por anaeróbios)?
Como é feito seu tratamento?
Segmento posterior do lobo superior direito
Tratamento: antibioticoterapia (clindamicina)
Quais os achados semiológicos mais comuns na pneumonia comunitária?
Aumento do frêmito toracovocal, broncofonia, pectorilóquia fônica, sopro tubário (som bronquial) e submacicez
Quais os achados radiológicos mais comuns na pneumonia comunitária?
Infiltrado pulmonar do tipo alveolar broncopneumônico com presença de broncograma aéreo
Julgue a afirmativa a seguir:
“Pacientes diagnosticados com pneumonia comunitária no ambulatório são tratados de forma empírica, sem necessidade de procura do agente etiológico através de exames laboratoriais (hemocultura, sorologia, cultura e GRAM do escarro), situações essas reservadas para alguns casos de internação na enfermaria e sempre no CTI.”
Verdade
Quais as características de um escarro confiável na sua coleta para investigação diagnóstica para pneumonia?
Escarro com > 25 neutrófilos polimorfonucleares
e
Qual o principal escore usado na avaliação de gravidade e auxílio na decisão de tratamento ambulatorial ou internação na pneumonia comunitária?
Escore CURB 65
Cite cada item do CURB-65 e qual a conduta preconizada:
C - Confusão mental; U - Ureia > 50 mg/dl; R - Respiração > 30 irpm; B - Blood pressure PAS

Quais são os critérios de pneumonia comunitária grave, segundo o Consenso Brasileiro de Pneumonia?
Critérios maiores: necessidade de ventilação mecânica e choque séptico
Critérios menores: PaO2/FiO2 -> na presença de UM critério maior ou DOIS critérios menores é indicado internação no CTI!
Qual indicação clínica de tratamento ambulatorial nos pacientes com pneumonia comunitária?
Paciente previamente hígido, sem fator de risco para pneumococo resistente
Quais antibióticos devem ser usados em casos de pneumonia comunitária com indicação de tratamento ambulatorial?
Macrolídeos (azitromicina, claritromicina) OU doxiciclina