
Chenopod
Lambsquater (Chenopodium)
Wingscale / saltbush (Atriplex)
Kochia (burning bush)
Russian thistle (Salsola) – most important cause of hay fever of the chenopods

Pigweed (Amaranthus)
aka Careless weed
Looks very similar to chenopods
Chenopods and amaranths have significant cross-reactivity

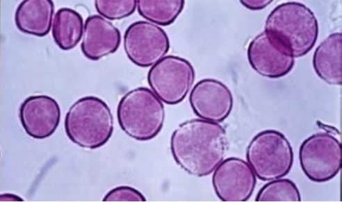
Grass

Ragweed (Ambrosia)
Part of the Composites (Asteraceae)

Sage & Mugwort (Artemisia)
Oral allergy = mugwort celery – peach – mustard

Cocklebur (Xanthium)

Nettle (Urticaceae)

Plantain (Plantago)
has donut appearance

Dock or Sorrel (Rumex)
Ash
Ash / Olive / Privet / Russian Olive
Birch
Birch / Alder / Hazelnut / Hornbeam
Three pores (triporate) protruding from the surface, each of which contains a collar (oncus).
May appear like a lemon, if only two pores are visible

Oak pollen
(Oak, Beech, and Chestnut (Fagaceae))
Oak pollen is triangular-shaped with three germinal furrows that appear as white “pie slices” slightly protruding from the surface.

Sycamore (Plantanaceae)
Round grains, with three furrows and a thin exine that is finely reticulate
Maple and Box Elder (Aceraceae) pollen.
Grains contain three furrows, like oak; but, are generally round and may have a “beach ball” appearance

Pine (Pinaceae)
Mickey Mouse Cap

Elm (Ulmaceae)
American elm pollinates in the spring, while several other elms pollinate in the fall
**Only two types of trees pollenate outside of spring
Sweetgum (Hamamelidaceae) pollen.
Periporate, with 12-20 pores per grain that often bulges, suggesting a “soccer ball” appearance.
Elm
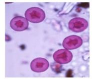
Mountain cedar pollen
Thick intine with stellate cytoplasmic contents and an exine, which can break and look like Pac-Man
Mountain cedar pollen (broken)
Thick intine with stellate cytoplasmic contents and an exine, which can break and look like Pac-Man
Cottonwood (Salicaceae) pollen
Poplar, Willow, and Cottonwood (Salicaceae) pollen.
Poplar and cottonwood have round grains, each with an outer surface that is granular and often appears “cracked” or “flaky” ; but, there are no furrows.
By contrast, willow has three furrows and a reticulate pattern on the pollen wall.
Willows are entomophilous and not considered allergenically important; however, they are medically important since aspirin is made from their bark.
Poplars are anemophilous and produce significant allergenic pollen throughout North America.

Willow has three furrows and a reticulate pattern on the pollen wall.
Willows are entomophilous and not considered allergenically important; however, they are medically important since aspirin is made from their bark.

Walnut
Walnut, Hickory, and Pecan (Juglandaceae) pollen.
Walnut is periporate, with 9-15 slightly raised germinal pores;
Hickory and pecan are indistinguishable, with each containing three nonprotruding pores