POSTERIOR SEGMENT Flashcards

(299 cards)

1
Q

What are the most common causes for CRAO? (6)

A
  1. Atherosclerotic: HTN, Diabetes, Cholesterol, smoking
  2. Embolic: Carotid artery disease, Aortic disease, arrythmias
  3. Haematological: Antiphospholipid, leukaemia, lymphoma
  4. Inflammatory: GCA, PAN, SLE, GPA, Kawasaki, Lyme, Syphilis, Toxoplasmosis, Susac’s disease
  5. Pharmacological: OCP, cocaine
  6. Other (ophthalmic): Trauma, optic nerve drusen, migraine
How well did you know this?
1
Not at all
2
3
4
5
Perfectly
2
Q

What is the most common cause for BRAO?

What is the most common cause for CRAO?

A

BRAO: Embolism
CRAO: HTN

How well did you know this?
1
Not at all
2
3
4
5
Perfectly
3
Q

Which medications can cause pigmentary retinopathy?

A
  1. Hydroxychloroquine
  2. Tamoxifen
  3. Desferrioxamine
  4. Phenothiazides
How well did you know this?
1
Not at all
2
3
4
5
Perfectly
4
Q

What are the most commonly associated systemic conditions with angioid streaks? (5)

A

PEPSI

Pseudoxanthoma elasticum
Ehler-Danlos syndrome
Paget’s disease of the bone
Sickle cell and other haemoglobinopathies
Idiopathic

Others: Diabetes, acromegaly, phakomatoses (NFTs, sturge-weber, tuberous sclerosis), haemochromatosis, lead poisoning, haemolytic anaemia, hereditary spherocytosis, hypercalcinosis, hyperphosphataemia, MYOPIA.

How well did you know this?
1
Not at all
2
3
4
5
Perfectly
5
Q

What are the main primary causes of retinal telangiectasias? (4)

What are the secondary main causes of retinal telangiectasias? (7)

A

Primary
Congenital - Coat’s, Leber’s miliary aneurysms, Mac Tel type 1

Acquired - MacTel type 2

Secondary
1. BRVO
2. Diabetic retinopathy
3. Retinopathy of prematurity
4. Sickle retinopathy
5. Radiation retinopathy
6. Ocular inflammatory disease
7. Eales’ disease

How well did you know this?
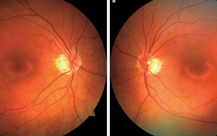
1
Not at all
2
3
4
5
Perfectly
6
Q

What are the treatment options for CSR?
Conservative, Medical, Ophthalmological.

A

Conservative: lifestyle counselling, stress management, observe

Medical: Mineralcorticoids (spironolactone/eplerenone) not longer recommended (VICI trial –> oral epelerone no more effective than placebo in improving VA)

Ophthalmological:
1. PDT (half dose 3mg/m2) for chronic activity CSR > 3-4 months, recurrent disease, occupational urgency, bullous variant or fovea leaking
2. Argon laser treatment (subthreshold micropulse laser at 577nm to leakage site to activate RPE by stimulation –> safer near fovea but inferior to PDT
3. Subthreshold micropulse therapy to stimulate the RPE

How well did you know this?
1
Not at all
2
3
4
5
Perfectly
7
Q

What are the indications for treatment in CSR? (4)

A
  1. Persistence (> 3-4m) and recurrence and bilateral
  2. Occupational needs (pilot/surgeon)
  3. Contralateral poor vision from CSR
    4.
How well did you know this?
1
Not at all
2
3
4
5
Perfectly
8
Q

What are the main differentials to consider with CSR?

A

Examine the disc for pits

CNV, PCV, Inflammatory disease (VKH, posterior scleritis, uveal effusion syndrome), Vascular disease (SLE, PAN), choroidal tumours

How well did you know this?
1
Not at all
2
3
4
5
Perfectly
9
Q

What diseases are implicated in pachychoroid? (3)

A
  1. CSR
  2. pachychoroid neovasculopathy
  3. polypoidal choroidal vasculopathy (PCV)
How well did you know this?
1
Not at all
2
3
4
5
Perfectly
10
Q

What is a differentiating feature between CRVO and ocular ischaemic syndrome? (3)

A
  1. CRVO –> absence of spontaneous retinal arterial pulsation
    OIS –> presence of spontaneous retinal arterial pulsation on light digital pressure on the lid
  2. CRVO –> tortuous veins; OIS –> dilated veins
  3. OIS –> Mid peripheral retinal haemorrhages. CRVO –> peripheral
How well did you know this?
1
Not at all
2
3
4
5
Perfectly
11
Q

What are the causes of ocular ischaemic syndrome? (6)

A
  1. Atherosclerosis of carotid arteries (90%)
  2. GCA
  3. Takayasu arteritis
  4. Behcet’s disease
  5. Carotid artery aneurysm
  6. Fibrovascular dysplasia
How well did you know this?
1
Not at all
2
3
4
5
Perfectly
12
Q

What are the treatment options for a RAM? (3)

A
  1. Observation - most RAMs undergo spontaenous thrombosis and involution
  2. Lipid exudation threatens fovea –> laser photocoagulation
  3. Macula oedema –> anti-vegf
How well did you know this?
1
Not at all
2
3
4
5
Perfectly
13
Q

What are the causes of crystalline maculopathy?

A
  1. Tamoxifen
  2. Talc
  3. Canthaxanthine - food colouring agent
  4. Methoxyflurane - inhaled anaesthetic
  5. Nitrofurantoin
  6. Ritonavir
How well did you know this?
1
Not at all
2
3
4
5
Perfectly
14
Q

What are the FFA findings in post op CMO?

A

petaloid flower like hyperflourescence in late stage with disc leakage

How well did you know this?
1
Not at all
2
3
4
5
Perfectly
15
Q

What are the causes of CMO?

A

Inflammatory: post-op, post-laser, uveitis

Vascular: RVO, Diabetes, HTN, MacTel, Ocular ischaemic syndrome

CNV: Choroidal vascular disease

Inherited retinal dystrophies: RP, AD inherited CMO

VR interface issues: VMT, ERM,

Tumours

Optic nerve head abnormalities: Optic disc pit, coloboma

Other: Vitamin B3 (niacin, nicotinic acid) –> non-leaking CMO on FFA.

How well did you know this?
1
Not at all
2
3
4
5
Perfectly
16
Q

What is the general treatment for post-op CMO?

A
  1. Topical steroids and NSAIDs
  2. If no change in 4-6 weeks - periocular steroid (orbital floor or subtenons triamcinolone/methylprednisolone)
  3. Consider repeat or intravitreal steroid if no help.
How well did you know this?
1
Not at all
2
3
4
5
Perfectly
17
Q

What is the treatment for ocular ischaemic syndrome? (3)

A
  1. Carotid endarterectomy/stenting - stabilises or improves VA
  2. PRP for NVD/NVE/NVI
  3. NVG treatment
How well did you know this?
1
Not at all
2
3
4
5
Perfectly
18
Q

What is the 4:2:1 rule for in diabetic retinopathy?

A

Features of severe NPDR
4 quadrants: intraretinal haemorrhages
2 quadrants: venous beading
1 quadrant: intraretinal microvascular abnormalities

How well did you know this?
1
Not at all
2
3
4
5
Perfectly
19
Q

What are the associated conditions for a myelinated retinal nerve fibre layer?

A
  1. Myopia
  2. Ambylopia
  3. Strabismus
  4. Down’s Syndrome
  5. Neurofibromatosis
  6. Craniosynostosis
How well did you know this?
1
Not at all
2
3
4
5
Perfectly
20
Q

What are the differentials of a patient with Bull’s eye maculopathy? (9)

A
  1. Stargardt
  2. Cone/Cone-rod dystrophy
  3. Central areolar choroidal dystrophy
  4. Hydroxychloroquine toxicity
  5. Ceroid lipofuscinosis
  6. Olivopntocereballar atrophy
  7. Batten’s disease
  8. Macular Hole
  9. AMD
How well did you know this?
1
Not at all
2
3
4
5
Perfectly
21
Q

IN which circumstances should patients starting hydroxychloroquine be screened 1 year after starting? (4)

A
  1. Concomitant tamoxifen use
  2. Impaired kidney function
  3. Dose of hydroxychloroquine > 5mg/kg/day
  4. Chloroquine use
How well did you know this?
1
Not at all
2
3
4
5
Perfectly
22
Q

When would you consider PRP in severe NPDR patients? (6)

A

Clinical factors
1. Older patients with T2DM
2. Difficult retinal view
3. Prior to cataract surgery (inflammation possibly associated with progression)
4. Fellow eye lost to PDR

Attendance factors
1. Difficult examination of patient
2. Poor clinic attender

How well did you know this?
1
Not at all
2
3
4
5
Perfectly
23
Q

What are the features of ischaemic CRVO vs non-ischaemic CRVO? (7)

A
  1. Poor vision (<6/60)
  2. Multiple dark deep intra-retinal haemorrhages
  3. Presence of multiple cotton wool spots
  4. RAPD
  5. Degree of retinal vein dilatation and tortuosity
  6. FFA - >10 disc diameter of retinal capillary non-perfusion
  7. Electrodiagnostics - reduced b wave.
How well did you know this?
1
Not at all
2
3
4
5
Perfectly
24
Q

What are the FFA findings seen in the different types of CNV?

A

Type 1: early hyperfluorescense with associating leakage and pooling, late leakage (mild)

Type 2: Early lacy pattern of hyperflourescence with clear well-demarcated margins in early phases, followed by mid and late phase of leakage and pooling

Type 3: Similar to type 2.

How well did you know this?
1
Not at all
2
3
4
5
Perfectly
25
When is treatment for neovascular AMD with anti-VEGF recommended (4)
1. BCVA is between 6/12 and 6/96 2. No permanent structure damage to central fovea 3. lesion size less then or equal to 12 disc diameter in greatest linear dimension 4. Evidence of recent presumed disease progression
26
What are the characteristics of an atypical CHRPE? (4)
1. Small and multiple in diameter (50-100 microns) 2. Oval/comma/fishtail shape 3. Random distribution across fundus 4. Associated with FAP.
27
What are the FAF findings of Stargardts? What are the FFA findings?
FAF: Hyperautofluorescent flecks (lipofuscin). Hypoautofluorescent macula (RPE atrophy). FFA: **Dark choroid**” sign (absent choroidal fluorescence due to lipofuscin blocking signal): Present in ~80% of cases; helps differentiate from other macular dystrophies.
28
What is the difference between R2H and R2L in diabetic retinopathy screening?
R2H - any 2/3 of 4-2-1 rule R2L - any 1/3 of 4-2-1 rule
29
What is the difference in management for R2H or R2L in diabetic retinopathy in DR screening?
High risk - referral to HES by 6-8 weeks (urgent referral) Low risk - <13 weeks (routine referral)
30
What is the management / referral criteria for M1 maculopathy?
Routine referral to HES within 13 weeks.
31
What is the criteria for M1 maculopathy (4)
1. Exudates within 1DD of fovea 2. Exudate group >1/2 DD within macula 3.
32
What is the definition of ischaemic or non-ischaemic CRVO by FFA findings? What is the definition of ischaemic or non-ischaemic BRVO by FFA findings?
CRVO: >10 disc diameters of non-perfusion defines ischaemia BRVO: >5 disc diameters of non-perfusion defines ischaemia
33
What are the risk factors for AMD? (6)
1. Age 2. Smoking (2x3 risk) 3. Genetics - CFH, ARMS2/HTRA1, C3, (C2 is protective) 4. Family history 5. Systemic: High BMI, CVD, hypertension, hyperlipidaemia 6. Ethnicity: White > Other group
34
What is the referral criteria for a patient with R3A diabetic retinopathy?
Very Urgent HES within 2 weeks (sight threatening)
35
What is the difference in referral guidelines for patients with M0 and M1 maculopathy in DESS?
M0 = routine annual screening M1 - routine referral to HES within 13 weeks
36
What is the indication for vitrectomy in diabetic patients? (3)
1. Persistent/recurrent vitreous haemorrhage = T1DM: >1m, T2DM 3-6m 2. Tractional retinal detachment threatening or involving the macula 3. Uncontrolled PDR despite full PRP
37
What is the difference of ocular risk factors of CRVO vs BRVO?
CRVO: POAG (x 5 risk) , hyperviscosity, disc crowding BRVO: POAG, trauma, OCPs
38
What is the risk of neovascularisation in CRVO vs BRVO?
CRVO: 60% NVI/NVG within 4 months (ischaemic - 100 day glaucoma) BRVO: 20% NVE within 6-12 months, NVG 1%
39
Table of FFA findings in CNV
40
What are the B scan findings for 1. Choroidal melanoma 2. Choroidal mets 3. Choroidal haemangioma 4. Choroidal effusion
Melanoma: Low internal reflectivity, echo-lucent Mets: Higher internal reflectivity, echo dense Haemangioma: Higher internal reflectivity Effusion: Echo-lucent Haemorrhage: Echo-dense
41
What are the causes of non-leaking macula oedema? (4)
1. Juvenile X linked retinoschisis 2. Retinitis Pigmentosa 3. Goldmann-Favre syndrome 4. Vitamin B3 (nicacin)
42
What is the investigation of choice in PCV?
1. ICG (according to EVEREST trial) --> shows characteristic polypoidal lesions as hypercyanescent areas with surrounding branch vascular network EARLY SUBRETINAL HYPERFLUORESCENCE
43
What is the Goldberg classification of Sickle Cell Retinopathy?
1. Peripheral arteriolar occlusion 2. Peripheral arteriovenular anastomoses 3. Neovascularisation (sea-fan) 4. Vitreous haemorrhage 5. Retinal detachment
44
Differentials and mechanism of cystoid macula oedema
45
What is the pathophysiology of RAP lesion? Stages?
variant of exudative AMD --> originates from deep retinal capillaries and extends posteriorly to form retinal-choroidal anastomoses Stage 1: Intraretinal neovascularisation Stage 2: Subretinal neovascularisation Stage 3: CNVM with retinal-choroidal anastamosis
46
What are the findings in FFA/ICG for PCV?
FFA: very similar to occult CNV but has FOCAL area of intense intraretinal hyperfluorescence (hot spot) in early phase --> ICG: Hotspot seen in mid-late phase
47
EOG findings (Arden Ratio) 1. Best Vitelliform 2. Adult Vitelliform 3. Retinitis Pigmentosa 4. Choroidaeremia 5. Stargardt disease 6. X-linked retinoschisis 7. CSR
48
FFA findings in 1. Stargardts 2. Best Disease 3. CSR 4. CMO 5. PED
49
What are the components in AREDS? What are the components in AREDS2?
50
What are the differentials for exudative RD? Congenital vs Aquired
Congenital 1. Nanophthalmos (secondary uveal effusion syndrome 2. Mucopolysaccharidoses 3. FEVR Acquired Inflammatory - 5 Ps P - posterior uveitis (VKH, SO) P - Posterior scleritis (GPA) P - Post op inflammation P - PRP P - idioPathic orbital inflammatory disease Malignancy Vascular - 4 Cs C - Coats C - CSR C - Pre-EcClampsia C - CNVM from AMD
51
What proportion of patients with angioid streaks develop CNV? What other complications are there with angioid streaks?
>50%. Retinal haemorrhage Choroidal rupture Progressive visual loss from atrophy/fibrosis
52
What are the indications for a patient with macula grid laser? When is there no indication for macula grid laser?
*Macular grid laser is used for diffuse macular oedema due to leakage from the retinal capillary bed, not from focal microaneurysms and not from CNV* 1. Diabetic macula oedema, usually not centre involving - usually when anti-VEGF is unavailable or used as adjunt therapy, chronic persistent oedema 2. Branch retinal vein occlusion (BRVO) - Chronic macula oedema >3m 3. Non-ischaemic CRVO 4. Post surgical macula oedema - only if chronic and refractor to medical treatment GRID LASER IS NOT USED FOR: ❌ Centre-involving oedema involving the foveal avascular zone ❌ Macular ischaemia ❌ CNV ❌ Focal leaks (these need focal laser) ❌ Acute oedema (treat medically first)
53
In which populations is lattice degeneration commonly found? (2) How much of normal population have lattice?
1. Myopia 2. Connective tissue syndromes like Stickler. 6% of the normal population
54
What is the risk of developing RD in patients with lattice degeneration?
1% of patients who have lattice will develop RD.
55
56
What is snail track degeneration?
An early form of lattice degeneration characterized by long circumferential areas of retinal thinning with a glistening / white frost appearance +/- large round holes which can lead to RD.
57
What is retinoschisis?
A degenerative condition more common in hypermetropes, characterized by the splitting of OPL and INL, leading to ballooning into the vitreous cavity.
58
Where is retinoschisis most commonly found?
Inferior temporal region.
59
What is pavingstone degeneration?
A condition characterized by irregular patches of absent RPE or choriocapillaris so that large choroidal vessels and sclera are visible. More common in age and myopia
60
What is reticular pigmentary degeneration? (honeycomb)
A condition characterized by a honeycomb pattern of peripheral pigmentation, commoner with age.
61
What conditions should be differentiated from reticular pigmentary degeneration? (4)
* AMD * Sorsby macular dystrophy * Pattern dystrophy * Best’s disease (late stage)
62
Table for peripheral retinal degenerations
63
Table of difference between retinoschisis and Chronic RRD
64
What are the stages of macula hole?
1. GASS classification based on clinical appearance + VMT Stage 1: Impending macula hole 1A: foveal detachment 1B: foveal pseudocyst 2. IVTS classification based on OCT - Vitreomacular Adhesion (VMA) - Vitreomacular Traction (VMT) - Small FTMH (<250 microns) - Medium FTMH (250-400 microns) - Large FTMH (>400 microns)
65
What are Lincoff's rules for retinal detachment?
66
What is the treatment for retinal dialysis?
Dialysis with RD and no PVD --> scleral buckle Dialysis alone with no RD - laser/cryotherapy.
67
What is a suprachoroidal haemorrhage (SCH)?
Accumulation of blood in the suprachoroidal space (between choroid and sclera). Due to rupture of **short ** or long posterior ciliary arteries.
68
What is the process of suprachoroidal haemorrhage? How does it occur?
1. **Trigger**: sudden drop in IOP (e.g. intraop wound, post-op hypotony) → uveal tissues (choroid + ciliary body) expand outward. 2. **Tearing of long/short posterior ciliary arteries** → rapid blood accumulation in suprachoroidal space. 3. **Clot formation**: blood quickly coagulates, forming firm suprachoroidal haematoma. 4. **Liquefaction phase** (≈1–2 weeks): fibrinolysis → clot becomes liquid. 5. **Resolution**: blood reabsorbs spontaneously or is drained surgically if appositional/kissing choroidals or vision-threatening.
69
What is the treatment for suprachoroidal haemorrhage? What are the indications for surgical treatment.
1. Wait 7-14 days to allow clot to liquify --> analgesia, pressure lowering drops, topical steroids, cycloplegics 2. If required --> drainage with sclerotomy Indications 1. Kissing appositional choroidals --> prevent retinal membrane formation 2. Uncontrolled IOP
70
What are the common symptoms for suprachoroidal haemorrhage?
Acute severe ocular pain with profound visual loss intraoperatively or early post-operatively.
71
What are the clinical features of FEVR?
1. Peripheral avascular retina 2. Peripheral neovascularisation, exudation, VMT 3. Retinal folds, tractional/rhegmatogenous RD 4. Disc / macula dragging
72
What are moderate risk lesions for RRD (peripheral retinal degeneration)
1. Lattice degeenration 2. Snailtrack degeneration 3. Peripheral Retinal Tufts
73
What is the definition/pathophysiology of PVR?
Pathological proliferation of RPE, glial, inflammatory and fibrotic scar formation --> tractional retinal folds
74
What are the refractive changes associated with silicone oil in 1. Phakic patients 2. Pseudophakic patients 3. Aphakic patients
Phakic - hyperopic shift Psueophakic - hyperopic shift APhakic - myopic shift
75
Table of FFA findings in CNV
76
Difference between giant retinal tear and retinal dialysis
77
What is the difference in origin/split between X-linked and degenerative retinoschisis?
X-linked - nerve fibre layer Senile: between inner nuclear layer and outer plexiform layer
78
What are the key clinical features of X-linked / juvenile retinoschisis?
1. Reduced VA within first 10 years 2. Hypermetropia Ocular features 1. Foveal schisis (spokewheel pattern) 2. Split in nerve fibre layer 3. Hyporeflective spaces in multiple layers --> outer retinal macula atrophy in older age 4. Reduced b:a ratio in ERG 3. Absence of leakage in FFA.
79
What are the features for STICKLER syndrome?
STICKLER S - sensorineural deafness T - Thin optic disc (glaucoma) I - impaired vitreous (membranous / beaded vitreous degeneration) C - Cleft palate / pierre robin K - Knob-like outgrowths on long-bones (epiphyseal dysplasia L - Lens abnormalities E - early onset arthritis R - Retinal problems - RD, giant retinal tear, myopia, lattice
80
What are the causes of epiretinal membrane? (8)
DR VITREO D: Detachment (PVD) R: retinal vascular diseases (vein occlusion) V: Vitreoretinal surgery I - Inflammatory conditions (uveitis) T - Trauma (older) R - Retinal breaks/detachment E - Endophthalmitis O - Ocular tumours / idiopathic
81
Summary for White Dot Syndromes
82
What are the ocular symptoms of a patient with MEWDS?
1. unilateral paracentral scotoma 2. photopsia
83
What are the clinical features of MEWDS? (5)
1. Transient RAPD 2. foveal granularity (orange-white dots) 3. Grey/white dots at outer retina/RPE level. 4. Mild vitritis 5. Abnormal reflectivity of IS/OS ellipsoid zone
84
What are the FFA/ICG, ERG findings in a patient with MEWDS?
FFA - Wreath-like pattern staining, punctate hyperflourescent spots, late staining, disc leakage and capillary leakage ICG - multiple hypoflourescent/ HYPOCYANESCENT dots which become confluent around optic disc ERG - reduced a wave (photoreceptors)
85
What conditions is serpiginous chorioretinopathy associated with?
Clinical manifestation of TB Mimic syphilis Resembles APMPPE but worse prognosis
86
What are the investigations for CSR?
OCT EDI: check for pachychoroid FFA: ink-blot / smokestack pattern
87
What are the findings in this patient?
1. Diffuse retinal whitening 2. Cherry red spot 3. Macula relatively preserved (supplied by cilioretinal artery) 4. Retinal attenuation 5. Ghost vessel inferotemporally
88
What are the investigations for a patient with CRAO?
1. OCT - inner retinal hyper-reflectivity 2. FFA - delayed arterial filling 3. Check for NEOVASCULARISATION Ocular massage, breathe in bag (for CO2, vasodilator) Bloods 1. ESR/CRP - rule out GCA Systemic investigations 1. Carotid Doppler 2. ECG/Echocardiogram **Urgent stroke referral for embolic cause**
89
Why is neovascularisation more common in CRVO vs CRAO?
CRAO: Sudden complete ischaemia, Retina undergoes infarction within ~90–120 mins. Dead tissue → cannot produce VEGF effectively CRVO: Venous congestion + reduced perfusion --> chronic hypoxic retina but viable --> Continues producing high VEGF levels over time 👉 Much higher risk of: Rubeosis Neovascular glaucoma
90
What are the indications for treatment for toxoplasmosis? (4)
1. Lesions involving disc/macula/papillomacular bundle 2. Lesions threatening major vessel 3. Marked vitritis 4. Immunocompromised patient
91
What is the difference between congenital and acquired of toxoplasmosis?
1. Congenital - transplacental infection in pregnancy --> bilateral with later re-infections in life 2. Acquired - ingestion of oocysts from undercooked meat or ingested cats --> unilateral with reactivations at old scar margin common
92
What is toxoplasma caused by? How does it invade the retina?
Caused by Toxoplasma gondii, an intracellular protozoan parasite. After infection, tachyzoites invade retina → necrotising retinitis, then encyst as bradyzoites in retina/RPE. Reactivation occurs when cysts rupture, especially with immunosuppression.
93
What are the clinical features of toxoplasmosis? (6)
1. Headlights in fog - fluffy bright white yellow active necrotising retinitis 2. Vitritis 3. AC cells plus KPs, posterior synechiae 4. Adjacent old chorioretinal scar (very typical) 5. Satellite lesion near scar 6. Retinal vasculitis
94
What are the diffferentials of a patient with ocular toxoplasmosis?
1. Cytomegalovirus retinitis 2. ARN/PORN 3. Granulomatous uveitis: Syphilitic uveitis, Sarcoidosis, TB uveitis 4. White dot syndromes: PIC or MCP or serpiginous choroiditis 5. Presumed Ocular Histoplasmosis syndrome
95
What are the investigations of toxoplasmosis?
History - Ask about pregnancy and previous infections Ocular - OCT: hyperreflective lesion with retinal thickening/oedema, vitreous cells - Widefield optos to check for progression/further lesions - PCR for aqueous/vitreous sample for T. Gondii DNA Other differentials Bloods: Syphilis serology, HIV, anti-quantiferon, ACE, Main: IgG and IgG for toxoplasma gondii (IgG chronic, IgM acute)
96
What is the management of ocular toxoplasmosis?
Conservative Self-limiting if does not meet treatment criteria Medical 1. Triple therapy with steroids: pyrimethamine (loading 100mg then 25mg/day) , sulfadiazine (1g QDS) folinic acid (to prevent bone marrow suppression) 2. Co-trimoxazole (septrin) 960mg BD for 4-6 weeks with steroids 3. Spiramycin if pregnant 4. No steroids if patient is immunocompromised Surgical 1. intravitreal dexamethasone and clindamycin 2. Treat for RRD (known complication for ocular toxoplasmosis)
97
98
What are the associated conditions with Fuch's heterochromic iridocyclitis?
**Rubella** CMV Toxoplasma
99
What are the neurological manifestations of toxoplasmosis?
1. Toxoplasmic encephalitis --> ring enhancing lesions on MRI
100
What are the symptoms of congenital toxoplasmosis?
1. Chorioretinitis 2. Intracranial periventricular calcifications 3. Hydrocephalus
101
What are the clinical features of retinitis pigmentosa?
Classic triad (very high-yield): 1. **Bone-spicule pigmentation 2. Attenuated retinal arterioles 3. Waxy optic disc pallor** Other findings: Anterior: Keratoconus, Glaucoma, Posterior subcapsular cataract Posterior: Vitreous cells, CMO, epiretinal membrane, macular atrophy, Coat's like vasculopathy, Myopia --> RD.
102
What are the differentials of a patient with retinitis pigmentosa?
Pigmentary retinopathies: Rubella, syphilis, CAR, MAR, Drug-induced (chloroquine, vitamin A deficiency) Retinitis pigmentosa syndromes
103
What are the associated syndromes of retinitis pigmentosa?
Usher syndrome: RP + sensorineural hearing loss Kearns Sayre syndrome: mitochondrial disease: CPEO, pigmentary retinopathy, ptosis, cardiac block, ataxia --> muscle biopsy shows ragged red fibres Bardet Biedl syndrome: pigmentary retinopathy + developmental issues + congenital obesity Refsum disease: pigmentary retinopathy + peripheral neuropathy + heart conduction defects + high phytanic acid levels in blood/urine Leber's Congenital Amaurosis: congenital blindness, nystagmus
104
What are the investigations of a patient with retinitis pigmentosa?
History - Family history and night vision deficits - Refraction - check for myopia Ocular: Anterior segment: check for keratoconus, glaucoma, PSC cataract Posterior segment: check for RD, vitritis, Coats OCT: loss of outer retinal structures + elipsoid zone + CMO FAF: hyperflourescent ring around macula VF: progressive restriction with ring scotoma Other: ERG testing - scotopic affected, reduced a wave.
105
What is the management of retinitis pigmentosa?
Conservative - Refractive glasses, low vision aids, sunglasses - LVA clinic, ECLO support, support groups, CVI registration - Referral for genetic screening for RPE-65 mutation Medical - RPE 65 mutation : Voretigene / Luxturna - Dorzolamide/brinzolamide drops to treat CMO - Avoid vitamin E supplementation, consider vitamin A supplementation. Stem cell therapy in research stages
106
What are the clinical features of a CHRPE?
1. Flat, well demarcated heavily pigmented round lesion 2. Contains lacunae (depigmented patches) in peripheral retina 3. Pale Halo around lesion --> can cause an absolute scotoma Abnormal features 1. Small and multiple in diameter (50-100 microns)/bear tracks 2. Oval/comma/fishtail shape 3. Random distribution across fundus 4. Associated with FAP.
107
What are the differentials of a patient with CHRPE?
1. Choroidal nevus 2. Choroidal melanoma 3. Retinal pigment epithelial hyperplasia 4. Melanocytoma 4. Toxoplasmosis/Chorioretinal scarring
108
What are the investigations of a patient with CHRPE?
History - Family history of colorectal cancer Ocular 1. OCT: thinning of retina without fluid/elevation 2. B-scan: flat lesion without echogenicity - rule out melanoma Other If atypical --> referral for genetic and colorectal screening for FAP
109
What is the management of a CHRPE?
Isolated CHRPE: Frequent monitoring with fundus photography. Atypical CHRPE: refer for genetic counselling and colorectal cancer screening for FAP
110
What are the clinical features of CSR?
1. Shallow dome-shaped neurosensory exudative detachment 2. Clear subretinal fluid, absent drusen Chronic disease: 1. RPE mottling 2. Atrophic tracks 3. Pigment clumping 4. Hyperopic shift.
111
What are the risk factors of CSR?
1. Steroid use (any route) 2. Stress/Type A personality 3. Pregnancy 4. Cushing syndrome 5. Hypertension 6. OSA 7. Sympathomimetic drugs 8. Organ transplantation
112
What is the pathophysiology behind CSR?
Choroidal vascular hyperpermeability Increased hydrostatic pressure beneath RPE RPE leak develops Fluid accumulates subretinally Neurosensory detachment at macula Part of the pachychoroid disease spectrum
113
What are the differentials of a patient with CSR?
1. Neovascular AMD: SRF present. Usually has drusen, haemorrhages, lipid exudates 2. Optic disc pit maculopathy: Similar SRF. Careful inspection of optic disc for small greyish pit at temporal margin 3. VKH: Multifocal serous detachments. VKH is usually bilateral and associated with systemic features (headache, hearing loss) and anterior segment inflammation 4. Polypoidal choroidal vasculopathy: SRF + subretinal haemorrhage with polyps - ICG shows branching vascular network and polyps
114
What are the investigations of a patient with CSR?
OCT findings 1. Serous neurosensory detachment with SRF +/- PED 2. Thickened choroid (pachychoroid) FFA findings 1. Ink-blot pattern: Expanding focal leak 2. Smoke-stack pattern: vertical plume spreading upward ICG findings : useful in chronic/recurrent disease 1. Choroidal hyperpermeability + dilated choroidal vessels
115
What are the clinical features of PCV?
1. Serous macula detachment with large haemorrhagic PED 2. Orange-red subretinal nodules (polyps) 3. Lipid exudation
116
What is the pathophysiology of PCV?
Pachychoroid (thickened choroid) Branching vascular network develops Terminal aneurysmal dilations (“polyps”) form Leakage + bleeding occurs beneath RPE and retina Results in: Serous PED Subretinal fluid Subretinal haemorrhage
117
What are the differentials of patients with PCV?
1. CSR: PCV bleeds, CSR usually doesn't. 2. Neovascular AMD: PCV usually lacks drusen 3. Pachychoroid neovasculopathy: PCV without polyps 4. RAP: intraretinal cysts, deep retinal haemorrhages, hotspot on ICG (not polyps)
118
What are the risk factors / epidemiology profile of someone with PCV?
Age >50 years More common in Asian and African populations Slight male predominance (varies by cohort)
119
What are the investigations of a patient with PCV?
OCT findings: 1. Haemorrhagic/Mixed PED with notching (M Shaped) 2. Double-layer sign (separation between RPE and Bruchs) 3. SRF/SHRM 4. Thickened choroid FFA: non-specific, can resember occult CNV ICG: EVEREST TRIAL: Branching vascular network, polypoidal dilations, pulsatile filling (sometimes)
120
What trials are involved in CSR?
VICI trial: Eplerenone vs placebo: not effective for chronic CSCR SPECTRA trial: Eplerenone vs PDT: PDT more effective than mineralcorticoid antagonists PLACE trial: Half-dose PDT vs Micropulse Laser: PDT is superior for fluid resolution in chronic cases
121
What are the complications of PCV?
Massive subretinal haemorrhage Recurrent PED Persistent subretinal fluid Subretinal fibrosis Permanent central vision loss Secondary CNV progression
122
What is the management of PCV?
EVEREST TRIAL: Combination of PDT with ranibizumab or solo PDT had better visual outcomes at month 5 than ranibizumab alone 1. Anti-VEGF injections - loading x 3 then PRN injections with ranibizumab (LAPTOP study) - better 24m visual outcomes than PDT 2. PLANET study: Monotherapy with aflibercept showed 85% of participants had improvement in VA after 12 months 3. PDT: Can be used in combination
123
What are the clinical features of angioig streaks?
1. Bilateral narrow jagged reddish/brown crack like lines radiating from peripapillary area into the macula --> dehiscence in calcified/brittle Bruch's membrane 2. Peau d'orange appearance (mottled posterior pole) 3. Optic disc drusen 4. Underlying choroidal vessels visible --> traumatic choroidal rupture
124
What are the investigations for a patient with angioid streaks?
History ask about skin changes, hypermobility changes, blood conditions. OCT: look for CNVM/SRF and PED OCTA: looking for neovascular network (medusa / sea fan pattern) FFA: Shows window defects, CNVM shows early lacy hyperflourecence with late progressive leakage and pooling of dye
125
What is the management of a patient with angioid streaks?
Conservative Advice patient to wear polycarbonate lenses as brittle Bruch's membrane makes eye highly suspectible to choroidal rupture from mild trauma AMSLER grid Medical 1. Anti-VEGF injections Other Systemic referral to cardiologist / endocrinologist for Paget's screening.
126
What are the differentials of patients with Angioid streaks?
1. Myopic lacquer cracks: present in RPE/Bruch's complex, but associated with high myopia, psoterior staphyloma 2. Traumatic choroidal rupture: Linear subretinal streaks similar, but usually concentric to optic disc and limited to site of a known previous blunt trauma 3. Pattern dystrophy: Can show pigmented radiating lines, but lacks cracked appearance and rarely causes acute CNVM
127
What are the complications of angioid streaks?
1. CNVM due to natural break in Bruch's membrane allows choroidal vessels to grow into subretinal space 2. Subretinal haemorrhage 3. Disciform scar/macula atrophy
128
What are the clinical features of choroidaema ? What are the clinical features of gyrate atrophy?
1. Bilateral extensive scalloped chorioretinal atrophy 2. Visible sclera and large exposed choroidal vessels 3. Childhood night blindness and progressive VF loss Difference Gyrate: Scalloped discrete lesiosn Choroidaemia: Diffuse choroidal loss with visible sclera early
129
What are the genetic associations and systemic associations of choriodaemia and gyrate atrophy?
Gyrate atrophy: Recessive + increased plasma and urine ornithine levels (diet + muscle weakness) + PSC cataract Choriodaemia: X-linked recessive
130
What are the differentials of a patient with gyrate atrophy / choroidaemia?
1. Retinitis pigmentosa: bone spiculed pigmentation but symptommatically similar
131
What are the investigations of a patient with choriodaemia / gyrate atrophy?
OCT: thinning of outer retina, RPE and choroid in periphery FAF: Island of hyperautoflourescence with hypoflourescence islands (gyrate atrophy) ERG: Scotopic predominant loss (rod-cone dystrophy) Genetics: Choriodaemia: CHM gene
132
What is the management of a patient with choriodaemia / gyrate atrophy?
Conservative 1. Genetic counselling 2. Low Vision Aids 3. UV protection/sunglasses **Gyrate atrophy: Low arginine diet and vitamin B6 can help.** Medical Choroidaemia: gene therapy for a function CHM gene
133
What are the clinical features of choroidal detachments?
Serous detachment - Smooth dome-shaped peripheral elevations - Can be bilateral, orange/brown appearance Haemorrhagic detachment - Dark elevated lobulated masses - Rapid onset - Kissing choroidals if severe Anterior segment: Shallow AC, low IOP, closed angles, forward lens-iris diaphragm displacement
134
What are the causes of choroidal detachments?
4Is and 4Hs 1. Intraocular surgery: trab, glaucoma, cataract, vitrectomy 2. Injury: Blunt trauma/penetrating trauma 3. Inflammation: Posterior scleritis, VKH, uveitis, uveal effusion syndrome 3. Idiosyncratic drugs: Toparimate 1. Hypotony: Post trab, wound leak, overfiltration bleb 2. Haemorrhage: Suprachoroidal due to surgery, trauma, high myopia, anticoagulation 3. Hypertension (malignant): Malignant hypertension 4. Hyperpermeability: Posterior scleritis, uveitis, VKH disease
135
What are the differentials of a patient with choroidal detachment?
1. Exudative retinal detachment: Exudative shows shifting fluid and lacks lobulated shape of choroidal detachment 2. Uveal effusion syndrome: Usually associated with nonophthalmos or thickened sclera
136
What are the investigations of a choroidal detachment?
1. History: trabculectomy, tube shunt, trauma, presence of pain (SCH), watery eye (leak) Investigations 1. GAT: confirm hypotony 2. Seidel's test: Wound/bleb leak 3. B scan: Scalloped peripheral elevation - will show echolucent space (clear) in serous detachments vs echo-dense (clotted) in haemorrhage --> DOES NOT CROSS VORTEX VEINS 4. Anterior segment OCT: Shallow AC and ciliary body anterior rotation
137
What are the complications of a choroidal detachment?
angle closure glaucoma hypotony maculopathy retinal detachment suprachoroidal haemorrhage permanent vision loss (if untreated)
138
What is the management of choroidal detachment?
TREAT underlying cause - stop glaucoma drops - treat inflammation - repair wound leak - manage overfiltration bleb Medical 1. Cycloplegics (atropine) 2. Topical steroids 3. BCL if leakage Surgical Indications: Kissing choroidals (risk of adhesion/fibrosis) flat AC (risk of PAS and corneal endothelial damage) haemorrhagic detachment with vision threat - Consider AC reformation with viscoelastic - Posterior sclerotomy drainage--> small incisions made in sclera to drain suprachoroidal fluid, combined with AC maintainer to restore intraocular pressure
139
What are the differentials of a patient with rhegmatogenous retinal detachment? (RRD)
1. Exudative retinal detachment: Smooth SRF that shifts with gravity, no retinal breaks 2. Tractional retinal detachment (TRD): Usually concave and caused by fibrovascular membranes (in diabetes) --> lacks a break and is less mobile 3. Degenerative retinoschisis: Detachment is smooth and dome-shaped. Absolute scotoma 4. Choroidal detachment
140
What are the investigations for a patient with rhegmatogenous retinal detachment?
OCT: - Determines of fovea is truly detached (mac off vs mac on), PVD - B scan ultrasound: Check for corrugated RD 1. Thin echogenic undulating mobile membrane 2. Attachment at optic disc 3. Extends to ora serrata
141
What is the difference of retinioschisis (between inner leaf and outer leaf breaks) ?
Inner leaf breaks: tiny punched out round holes. Do not connect vitreous to subretinal space --> remain confined to schisis cavity --> usually benign Outer leaf breaks: appear like true retinal breaks. create communication between schisis cavity and subretinal space --> localised schisis detachment. Usually stable unless inner leaf also forms Inner + outer leaf break: vitreous + schisis cavity + subretinal space
142
143
Hypopyon uveitis is more typical of which ocular conditions (3)
1. HLA-B27 associated uveitis 2. Behcet's disease 3. Infective endophthalmitis
144
What are the clinical features of MEWDS? (5)
1. Transient RAPD 2. foveal granularity (orange-white dots) 3. Grey/white dots at outer retina/RPE level. 4. Mild vitritis 5. Abnormal reflectivity of IS/OS ellipsoid zone
145
What are the FFA/ICG, ERG findings in a patient with MEWDS?
FFA - Wreath-like pattern staining, punctate hyperflourescent spots, late staining, disc leakage and capillary leakage ICG - multiple hypoflourescent/ HYPOCYANESCENT dots which become confluent around optic disc ERG - reduced a wave (photoreceptors)
146
What conditions is serpiginous chorioretinopathy associated with?
Clinical manifestation of TB Mimic syphilis Resembles APMPPE but worse prognosis
147
What are the clinical features of serpiginous chorioretinopathy?
Mild vitritis Serpiginous/pseudopodial geographic lesions at level of RPE/inner choroid which spreads centrifugally from the disc Extensive subretinal scarring, CNVM in 30%
148
What is the treatment for serpiginous chorioretinopathy?
1. Steroids 2. Steroid sparing immunosuppressants 3. PDT/laser for CNVM 4. Anti-VEGF
149
What is the patient profile for acute posterior multifocal placoid pigment epitheliopathy? APMPPE
20-30 year old (male or female) with preceeding flu Linked to B7/DR2.
150
What is the pathophysiology behind acute posterior multifocal placoid pigment epitheliopathy (APMPPE)?
Immune-mediated inflammatory reaction affecting choriocapillaris–RPE–outer retina complex. Often triggered by viral infection. Can involve systemic small-vessel vasculitis.
151
What are the clinical findings of APMPPE?
Fundus: Multiple flat/creamy/yellow placoid lesions at posterior retina at level of choriocapillaris/RPE OCT: Hyperrreflective changes at RPE and outer retina with disruption of the ellipsoid zone
152
What are the FFA/ICG findings of APMPPE?
FFA: Early hypoflourescence, late hyperflourescence with placoid lesions ICG: Shows more lesions than clinically visible (choroidal involvement)
153
What is the biggest complication/risk of APMPPE?
Cerebral vasculitis --> perform MRI head if headache.
154
What is the management of APMPPE?
Sponatenous resolution, Steroids only if CNS involvement/vasculitis present.
155
What are the clinical findings for acute retinal pigment epitheliitis?
Fundus: Discrete parafoveal hyperpigmented spots with hypopigmented haloes (pigment stippling) OCT: Hyperreflective changes confined to the outer retina at the level of the RPE/ellipsoid zone, with intact inner retina.
156
What are the clinical symptoms for a patient with AZOOR?
Recent viral illness, myopic female, Usually bilateral acute scotoma, photophobia, photopsia, with temporal field defect.
157
What are the clinical findings for a patient with AZOOR?
1. Vitritis 2. Fundus: mottled RPE with bone spicule like changes
158
What is the FFA findings for AZOOR? Any other testing?
Normal --> hyperfluorescence --> window defects and optic nerve head leakage ERG: a and b wave reduction, 30Hz flicker delay.
159
What is the management for AZOOR?
Observation, sometimes immunosuppresion if not improving.
160
What is the management of birdshot chorioretinopathy?
Systemic corticosteroids (short-term for control). Steroid-sparing immunosuppressants: cyclosporine, azathioprine, mycophenolate, methotrexate. Biologics (e.g. adalimumab) in refractory disease. Treat complications such as CME (steroids, immunosuppressants, intravitreal therapy).
161
What are the investigation findings for birdshot chorioretinopathy? FFA, ICG, ERG, EOG
EOG: Reduced Arden Index ERG: Reduced b wave, reduced 30Hz flicker response FFA: Quenching, early hypofluorescence, Hyperfluoresence of optic disc, may have vascular leakage due to CMO ICG: hypoflourescent choroidal spots
162
What are the clinical features of birdshot chorioretinopathy?
Vitritis Oval cream coloured lesions radiating from optic disc to equator Large choroidal vessels
163
What is the pathophysiology behind birdshot chorioretinopathy?
Autoimmune response directed against retinal/choroidal antigens, with strong genetic predisposition (HLA-A29). Chronic inflammation damages photoreceptors and retinal vasculature.
164
What are the clinical findings of a patient with multifocal choroiditis with panuveitis (MCP)?
1. Vitritis (differentiate from PIC) 2. Bilateral yellow/white lesions that develop into atrophic scars with pigmented borders 3. CNV
165
What is the management of MCP?
Recurrence common Treat attacks with steroids Immunosuppresants if recurrence or bilateral disease. Anti-VEGF for secondary CNV.
166
Whats the difference between PIC and MCP? (3)
1. Vitritis present in MCP, absent in PIC --> ***MCP more cells present*** 2. Yellow/white lesions confined to posterior pole in PIC, extend to mid periphery in MCP 3. HIgher risk of CNV in PIC compared to MCP
167
What are the clinical findings of PIC?
1. Quiet eye 2. Posterior pole yellow-white spots which can become atrophic punched out scars. 3. Bilateral findings
168
What is the pathophysiology of VKH?
T-lymphocyte–mediated granulomatous inflammation targets melanocytes which causes inflammation of the choroid, ciliary body, iris, and meninges. Leads to breakdown of the blood–ocular barrier, exudative retinal detachments, and later depigmentation of skin/hair (vitiligo, poliosis).
169
What is the HLA-association with VKH?
HLA-D4
170
What are the typical symptoms for VKH? Systemic + Ophthalmic. What are the different types of VKH?
Prodrome: fever and meningism Systemic: - SKIN: vitiligo, alopecia, poliosis (white patches of hair) - AUDITORY: tinnitus, deafness, vertigo - NEUROLOGICAL: sterile meningitis, encephalitis, cranial neuropathies Ophthalmic: Bilateral eye pain and blurred vision COMPLETE VKH: Bilateral ocular involvement + neurological signs + integumentary signs INCOMPLETE VKH: Bilateral ocular involvement + neurological/skin signs (integumentary) PROBABLY VKH: Bilateral ocular involvement only
171
What are the ocular findings in VKH? Acute and chronic
Acute 1. Bilateral granulomatous panuveitis (vitritis, hot disc) 2. Mutton Fat KPs and Posterior synechiae 3. Iris nodules 4. Multi-focal choroiditis 5. Bilaterla optic disc oedema/hyperaemic discs Convalescent 6. Choroidal depigmentation - sunset glow fundus (Sigiura sign --> perilimbal vitiligo) 7. Dallen Fuch's nodules (peripheral yellow-white choroidal granulomas at level of RPE) 8. Cataracts 9. Glaucoma 10. CNV
172
What are the differentials for VKH?
1. Sympathetic ophthalmia - history of ocular trauma/surgery otherwise similar 2. Posterior scleritis - usually unilateral (T-sign on B-scan) 3. CSR - unilateral, localised detachment, no inflammation 4. Sarcoidosis - Granulomatous uveitis but with pulmonary / systemic sarcoid features
173
What are the investigations of a patient with VKH?
Ophthalmic: OCT: serous retinal detachments, retinal folds, septated bacillary layer detachments FFA: multifocal pinpoint leakage, subretinal pooling (starry sky pattern) ICG: Multiple hypofluorescent dark dots (choroidal granulomas). B scan: Diffuse posterior choroidal thickening without T sign of scleritis Other Bloods: ACE, vasculitis screen Lumbar puncture: Pleocytosis (increased WBCs)
174
What are the LP findings in VKH?
lymphocytic pleocytosis
175
What is the treatment for VKH?
Acute: 1. High dose systemic steroids: IV methylprednisolone (1g) for 3 days, followed by high dose orla prednisolone 2. Slow taper: Tapered very slowly over 6-12 months Chronic/recurrent: - Steroid sparing agents: Mycophenolate, azathioprine, cyclosporine - Biologics: Adalimumab for refractory cases Monitoring: - Glaucoma, cataract and CNV
176
Table difference between ARN, PORN and CMV retinitis
177
What are the viral agents involved in ARN / PORN?
ARN: VZV, HSV1/2 PORN: VZV (immunosuppressed)
178
What is the difference in appearance of ARN vs PORN?
ARN: one or more foci of full thickness retinal necrosis with distinct borders. Peripheral occlusive arteritis with peripheral circumferential necrotizing retinitis (scalloped border) PORN: Multiple foci of deep retinal opacification with macular involvement. No vascular inflammation.
179
What is the difference in other ocular findings of ARN vs PORN?
1. More vitritis/AC activity/pain in ARN 2. Optic neuropathy/atrophy in ARN 3. Scleritis in ARN 4. Perivenular clearing of retinal opacification in PORN.
180
What is the management of ARN/PORN?
ARN: IV aciclovir and intravitreal foscarnet (2.4mg/0.1ml) + oral steroids + aspirin PORN: IV ganciclovir + intravitreal foscarnet (2.4mg/0.1ml)
181
What is the chance of retinal detachment in ARN vs PORN?
ARN: 75% have TRD/RRD PORN: high risk of RD.
182
What are the ophthalmic manifestations in a patient with Behcet's disease?
1. Anterior uveitis - non-granulomatous 2. Posterior uveitis: vitritis, macular oedema, retinal haemorrhages, occlusive retinal vasculitis, optic disc hyperaemia, BRVO/CRVO 3. Cataract 4. Glaucoma 5. Optic disc oedema
183
What are the systemic manifestations of Behcet's disease?
BEHCETS B - Blisters in mouth (oral aphthous ulcers) E - Erectile/Genital ulcers H - Hypopyon uveitis (bilateral granulomatous) with occlusive retinal vasculitis C - CNS symptoms - meningoencephalitis E - Erythema nodosum (skin lesions - pseudofolliculitis, papulopustules) T - Thrombophebiltis S- Sore joints (arthritis)
184
What are the investigations of Behcet's diesease?
Positive pathergy test - sterile pusture appearing 24-48 hours after oblique insertion of 20G needle
185
What is the treatment for Behcet's disease
1. Systemic steroids (IVMP, PO) 2. Steroid sparing agent (azathioprine)
186
What HLA is associated with Behcet's disease?
HLA-B51
187
What is the difference between congenital and acquired of toxoplasmosis?
1. Congenital - transplacental infection in pregnancy --> bilateral with later re-infections in life 2. Acquired - ingestion of oocysts from undercooked meat or ingested cats --> unilateral with reactivations at old scar margin common
188
What are the associated ophthalmic and systemic diseases for CD4 count 1. between 250-500? 2. between 150-250? 3. between 50-150 4. <50?
1. 250-500: HZO, TB. 2. 150-250: lymphoma, Kaposi's sarcoma 3. 50-150: pneumocytosis, toxoplasmosis, VZV retinitis, miyrosporidosis 4. <50: CMV, lymphoma
189
Which white dot syndromes typically do not have white dots? (4)
1. AZOOR 2. AMN 3. ARPE 4. Acute idiopathy maculopathy
190
What are the few key features of herpetic uveitis which demonstrate its likely herpetic?
1. ocular hypertension (hallmark) 2. stellate KPs in diffuse pattern rather than inferior 1/3rd pattern 3. Reduced corneal sensation/neurotrophic nature if there is a keratouveitis component 4. Iris atrophy : patchy or sectoral (HSV, VZV, CMV) 5. Viral retinitis in immunocompromised 6. Cranial nerve palsies from vasculitis
191
What are the granulomatous causes of uveitis?
SVS SW PITH S - Sarcoid V - VKH S - Sympathetic ophthalmia S - syphilis W - Wegener's P - Phaco-uveitic T - Toxocariasis T - TB H - Herpetic
192
What are the main infectious diagnostic tests in uveitis (VIral, Bacterial, Fungal)
Viral Aqueous/vitreous humor PCR: herpes viral DNA - HSV 1, 2, VZV, CMV Bacterial Aqueous/vitreous humor PCR: Mycobacterium genus DNA, Treponema pallidum DNA, 16S rRNA Fungal Aqueous/vitreous humor PCR: Candida DNA, 18S rRNA Vitreoretinal lymphoma: AqH IL10:IL6 ratio ( usually >1)
193
What are the key features of a granulomatous uveitis?
1. Large mutton fat KPs 2. Iris nodules (Koeppe at pupil margin, Busaca on iris surface) 3. Posterior synechiae 4. Posterior segment involvement 5. Chronic, recurrent nature.
194
What is the % of fellow eye involvement in ARN?
30%
195
HLA and their associations
196
What are the associated conditions with intermediate uveitis?
MS, Sarcoidosis, Lyme disease, Masquerade syndromes (lymphomas)
197
What is the main differences between MEWDS and AZOOR?
1. MEWDS - unilateral AZOOR unilateral at onset but converts to bilateral 2. AZOOR: progressive visual field loss, MEWS, temporal field loss 3. MEWDS: preceding flu like illness 4. AZOOR: Peripapillary zonal changes predominantly. 5. AZOOR: Focally decreased mfERG changes.
198
What are the systemic and ocular manifestations of EPGA (Churg Strauss syndrome) ?
CHORG STRAOSS C - Cranial nerve palsies (due to vasculitis/compression) H - High eosinophils O - Orbital inflammatory disease (pain, proptosis, restricted motiltiy) R - Retinal vasculitis G - Granulomas S - Sinusitis/Skin lesions - palpable purpura, nodules T - Thorax infiltrates (pulmonary) A - Asthma O - Optic ischaemic neuropathy S = Scleritis/episcleritis Other: Peripheral neuropathy - mononeuritis multiplex
199
What are the bloods for EPGA?
Eosinophilia Elevated ESR/CRP ANCA (pANCA/MPO)
200
What is the management of EPGA?
Acute: Steroids, cyclophosphamide, rituximab/methotrexate Maintenance: Azathioprine, methotrexate, mycophenolate, anti-IL5 therapy (mepolizumab)
201
What screening does Adalimumab require before starting treatment?
1. Latent TB 2. Hepatitis B 3. Hepatitis C 4. HIV
202
What are the serious side effects of adalimumab?
1. Reactivation of TB/Hep B 2. Malignancy risk (lymphoma) 3. Demyelinating disease 4. Autoantibody formation (drug-induced lupus) 5. Opportunistic infections)
203
What are the clinical features of onchocerciasis?
BLACKFLI B - Bad optic neuritis and atrophy L - Lymphadenopathy A - Anterior uveitis C - Chorioretinitis K - Keratitis - punctate (snowflake) and sclerosing (superior corneal opacification) F - Focal changes at RPE L - Leopard skin (depigmented) I - Ivermectin treatment
204
Whats the difference between MEWDS and AZOOR?
205
What is the difference between APMPPE and Serpiginous?
206
White dot syndromes summary
207
What is the pathophysiology of a retinal astrocytoma? Two types
Proliferation of RNFL astrocytes --> two types 1. Stationary astrocytic harmatoma 2. Aggressive/late calcified type
208
What are the clinical features of retinal astrocytoma? Systemic features?
1. Yellow-white elevated well circumscribed calcified 'mullberry-like' lesion 2.Glistening calcified surface, nodular mass 3.. Typically near optic disc or posterior pole 4.Can see exudation, vitreous seeding and retinal traction 5.. Bilateral in 30% Other features NF1 features: Lisch nodules, choroidal nodules optic nerve glioma, Tuberous sclerosis: Renal angiomyolipomas, cardiac rhabdomyomas, shagreen patches, Ash-leaf spots (50% retinal astrocytomas)
209
What are the investigations of a patient with retinal astrocytoma?
OCT: Dense elevated mass with hyperreflective calcifications with posterior shadowing, can cause retinal disorganisation FAF: Hyperautoflourescent calcified lesions B scan: Highly refective lesion with acousting shadowing (calcification) Other - MRI brain: if suspected tuberous sclerosis - Cardiac screen: Rhabdosarcoma - Renal screen: Renal lipoma
210
What are the differentials of a patient with retinal astrocytoma?
1. Retinoblastoma: Significant vitreous seeding and chalky/white appearance 2. Retinal capillary haemangioblastoma: Associated with VHL, distinct, tortous feeder artery with significant exudation 3. Myelinated nerve fibre: Striated feathery edges following distribution of nerve fibre layer, obscured retinal vessels
211
What is the management of retinal astrocytomas?
Conservative - observation with serial fundus photography: usually always benign and stationary - Treatment: Photocoagulation/plaque brachytherapy in rare event of progressive growth with exudative retinal detachment Referral: Paeds/neurology for full tuberous sclerosis workup
212
What is the pathophysiology / causes of a retinal capillary haemangioma?
vascular harmatoma due to mutation in VHL tumour supperssor gene (chromosome 3) --> increased VEGF expression and abnormal angiogenesis Associations: VHL disease
213
What are the clinical features of a patient with capillary retinal haemangioma?
1. Orange-red globular mass with associated dilated/tortous feeding artery and engorged draining vein 2. Usually peripheral or juxtapapillary 3. Intraretinal/subretinal macular exudation --> exudative or tractional epiretinal membrane/ RD / vitreous haemorrhage Associations CNS: cerbellar haemangioblastoma, neuroendocrine tumours Renal: Renal call carcinoma Endocrine: Phaeochromocytoma
214
What are the differentials of a patient with retinal capillary haemangioma
1. Coats Disease: telangiectasia without feeder vessels 2. Retinal Macroaneurysm: along arterial arcade 3. Vasoproliferative Retinal Tumor: peripheral, no large feeder vessels 4. Retinal Cavernous Hemangioma: grape-like clusters, no leakage 5. Racemose haemangioma: Direct AV communication but no tumour mass or leakage
215
What are the investigations of a patient with retinal haemangioma?
1**FFA: Rapid arterial filling, intense hyperflouresence of tumor and late leakage ****OCT MACULA: macula oedema, SRF fluid B scan ultrasound: Solid vascular mass Systemic workup 1. Genetic testing: VHL testing chromosome 3 2. MRI braine/spaine - CNS haemangioblastomas 3. Abdominal US: Screen for RCC and pheochromocytoma 4. Blood pressure + Plasma metanephrines: pheochromocytoma******
216
What is the screening guidelines for a patient with VHL?
1. Annual ophthalmoscopy from 1 years old 2. Annual bloods/urine metanephrines from 5 years old 3. MRI brain/spine: Every 2 years from 16 years old 4. Abdominal MRI: Every year from 16 years old
217
What is the management plan of a patient with retinal haemangiom?
1. Small peripheral lesion (<2mm): laser photocoagulation to feeder artery then tumour body 2. Larger peripheral lesion (>2mm): Cryotherapy 3. Justapapillary lesions: PDT with verteporfin Update: Belzutifan: An oral HIF-2 alpha inhibitor now approved for VHL associated tumors
218
What are the clinical features of a choroidal naevus?
1. Well demarcate circular subretinal lesion 2. Overlying drusen (chronicity) 3. No visible orange pigment (lipofuscin)
219
What are the differentials of a patient with a choroidal naevus?
1. Choroidal melanoma: distinguishable by MOLES high risk features 2. CHRPE: jet-black flat with clear lacunae 3. Melanocytoma: Located adjacent to optic disc, dark black with feathery margins 4. Choroidal haemangioma: Orange-red, laccks lipofuscin --> rapid washout on FFA 4. Subretinal haematoma: Often associated with AMD/CNV
220
What are the risk stratification features to watch out for choroidal naevus --> melanoma?
TFSOM UHD T: Thickness > 2mm (B scan) F: Fluid: Subretinal fluid (OCT) S: Symptoms: Flashes/floaters/blurred vision O: Orange pigment: Lipofuscin overlying lesion M: Margin: 3mm of optic disc UH: US Hollowness: Low internal reflectivity on B scan D: Drusen absence: drusens mean chronicity
221
What is the managment of a patient with a choroidal naevus?
MOLES criteria: M: Mushroom shape O: Orange Pigment L: Large size >2mm thickness or >5mm diameter E: Enlargement S: Subretinal fluid 1: Low risk naevus (HES) 2: High risk naevus (HES - regular monitoring) 3: Probable melanoma - referral to tertiary centre COMS trial: Patients with small tumours (1-3mm height) --> risk of metasasis of these lesions was very low <1% at 5yrs
222
What are the investigations of a patient with choroidal melanoma?
B scan: Low internal reflectivity, orbital shadowing Focal OCT: Subretinal fluid FFA: double circulation pattern (simultaneous visualisation of retinal and internal tumour vessels) Systemic 1. LFTs 2. Ultrasound/MRI of the liver 3. CXR/CTAP for full staging
223
What are the best prognostic indicators for a choroidal melanoma?
1. Monosomy 3 cytogenetics (poor pregonosis) 2. Largest basal diameter of the tumour
224
What is the management of a patient with choroidal melanoma?
Conservative: Small, doermant-appearing lesions Radiotherapy 1. Plaque brachytherapy (Iodine-125/Ruthenium-106) 2. Proton beam therapy: Tumours near optic disc/fovea Enucleation Very large tumours (>10mm height), optic nerve invasion or secondary glaucoma Follow up: Ocular oncologist and Liver MRI.
225
What is a retinal macroaneurysm and what are the main causes/risk factors?
Acquired focal dilatation of retinal arteriole along the temporal vascular arcades Risk factors: Elderly vasculopathic women Other: PAN, takayasu arteritis
226
What are the clinical features of retinal arterial macroaneurysm? (RAM)
1. Focal fusiform dilattion of a retinal artery at a bifurcation or an arteriovenous crossing along temporal arcade 2. Multi-layered haemorrhage (subretinal, intraretinal and pre-retinal) surrounding aneurysm with breakthough VH 3. Exudation: circinate hard exudates suggesting leakage
227
What are the differentials of a patient with retinal arterial marcoaneurysm? (RAM)
1. Wet AMD with submacular haemorrhage: Under RPE, lacks arterial dilatation 2. BRVO: haemorrhages more venous based 3. RAP lesion: Drusen and and RPE changes 4. Coats Disease: Massive exudation with telangiectatic light bulb vessels 5. Diabetic retinopathy: Microaneurystms widespread
228
What are the investigations of a patient with retinal arterial macroaneurysm (RAM)?
OCT: assess extent of macular oedema and location of haemorrhage FFA: immediate filling and hyperflouresence in arterial phase, with late leakage if lesion is active. If dense haemorrhage is present, will cause block flouresence Systemic: BP, lipid profile, glucose, HbA1c
229
What is the treatment for a patient with retinal macroaneurysm?
Yannuzzi classification: Haemorrhagic (usually self resolves) vs exudative (laser/medical intervention) Observation RAMs undergo sponatenous involution (thrombosis/fibrosis) after bleeding event Medical Laser photocoagulation: Persistent exudation threatening fovea, direct/grid laser to aneurysm Anti-VEGF therapy: Associated macula oedema or SRF Surgical PPV with tPA/gas tamponade: Massive submacular haemorrhage Systemic: BP control.
230
What is the pathophysiology and risk factors of Coats Disease?
Idiopathic retinal vascular telangiectasia causing lipid exudation and exudative RD --> affects young males Coats like retinopathy: Retinitis pigmentosa, lebers congenital amaurosis
231
What are the clinical features of Coats Disease?
Triad 1. Telangiectatic vessels 2. Light-bulb aneurysms 3. Massive yellow lipid exudation Advanced disease - neovascular glaucoma - exudative retinal detachment
232
What is the classification of Coats disease?
T E D G P Stage 1: Telangiectasia only Stage 2: Exudation (extrafoveal 2A, foveal 2B) Stage 3: Detachment (subtotal 3A, total 3B) Stage 4: Glaucoma Stage 5: Phthisis
233
What are the investigations of a patient with Coats Disease?
OCT: Macula oedema, SRF, lipid deposits FFA: telangiactatic vessels, aneurysmal dilatations, capillary non-perfusion, extensive leakage B scan: no calcification (calcification in retinoblastoma)
234
What are the differentials of a patient with Coats Disease?
1. Retinoblastoma: Calcification, solid tumour 2. Persistent Foetal Vasculature: Microphthalmos 3. Retinopathy of Prematurity: Prematurity history 4. Familial Exudative Vitreoretinopathy: Bilateral, inherited 5. Retinal Capillary Haemangioma
235
What is the management of a patient with Coats Disesase?
Telangiectasia and Exudation: Laser photocoagulation/cryotherapy to obliterate abnormal vessels Exudative RD: Cryotherapy, laser, subretinal fluid drainage in select cases, intravitreal anti-VEGF Neovascular glaucoma: Anti-VEGF, cyclodiode laser Phisis bulbi: Enucleation
236
What are the causes of leukocoria?
RETINA LOOK R: Retinoblastoma E: Exudative Retinal Detachment (Coats) T: Toxocariasis I: Infantile/congenital cataract N: Norrie Disease A: Persistent Foetal Vasculature L: Leber Congenital Amaurosis O: ROP - tractional RD O: Optic nerve coloboma K: Keratitis/corneal opacity
237
When is Scleral Buckle preferred vs PPV in retinal detachment?
1. Young phakic patients: preserves lens 2. Dialysis 3. Absent PVD
238
What is the prevalence of lattice degeneration in the general population?
6-8% of general population
239
What is the risk a lattice patient develops an RD? Those with an RD, how many of those have lattice?
Lattice patient develops RD: 1% Those with RD, how many have lattice: 30%
240
What is the indication of a patient for laser retinopexy/barrage in a patient with lattice?
1. Symptommatic lattice 2. Asymptommatic lattice in fellow eye of patient who already had RD 3. Lattice in high-risk patients (Stickler syndrome or pilots)
241
What are the clinical features of Stargardt's Disease?
1. Beaten bronze appearance of macula 2. Pisciform flecks surrounding macula and extending to mid-periphery (at level of RPE) 3. Bilateral symmetrical appearance *Early stages can look normal despite significant drops in VA*
242
What are the differentials of a patient with Stargardt's Disease?
1. Bests Disease: Early vitelliform lesion 2. Fundus Albipunctatus: Slower progression, flecks are stationary and macula is spared --> associated with congenital stationary night blindness 3. Cone-Rod Dystrophy: Macula atrophy without pisciform flecks 4. Pattern dystrophy: Pigmentary changes 5.
243
What are the investigations of a patient with Stargardt's Disease?
OCT: Ellipsoid zone disruption, outer retinal thinning, RPE loss FAF: Hyperautoflourescent flecks (lipofuscin) with central hypoautoflourescence (atrophy) FFA: Dark choroid: caused by lipofuscin blocking choroidal flourescence ERG: usually reduced b wave in advance disease Genetic testing: ABCA4 mutation - recessive
244
What is the management of patients with Stargardt's Disease?
Conservative 1. UV Protection 2. Vitamin A avoidance --> provides substrate for more toxic lipofuscin formation 3. LVA/ECLO --> magnifiers, telescopic lenses 4. Monitoring for complications --> CNVM. Others 1. Patient counselling: CVI registration 2. Genetic counselling - autosomal recessive disease 3. Clinical trials: Ongoing gene therapy and stem cell research --> Lentiviral vector for ABCA4 and replacement trials underway
245
What are the clinical features/ classification of Best Disease?
1. Previtelliform: Subtle RPE change, Abnormal EOG 2. Vitelliform: Egg-yolk lesion at fovea 3. Pseudohypopyon: Yellow material layers inferiorly in subretinal cyst 4. Vitelliruptive: Scrambled-egg appearance as lesion breaks up 5. Atrophic: Geographic atrophy of RPE/photoreceptors 6. Cicatricial/CNV
246
What are the investigations of a patient with Bests Disease?
1. OCT macula: Location of material and check for fluid/CNV 2. FFA: blocked flourescence due to vitelliform lesion 3. FAF: intensly hyperautoflourescence due to lipofuscin accumulation 4. EOG: Arden ratio < 1.5
247
What are the differentials of a patient with Bests Disease?
1. Adult onset vitelliform macula dystrophy: Common minmic, preesnts much later (4th-6th decade vs 1-2nd decade) --> lesions are typically smaller, EOG normal. 2. Pattern dystrophies: Pigment arranged in butterfly wing pattern than solid yolk 3. Wet AMD 4. Stargardt's Disease: In late atrophic stage, can resemble beaten bronze appearance 5. Solar retinopathy
248
What are the differentials of a patient with macular star?
1. Neuroretinitis: Optic disc swelling with macula star appearance two weeks later 2. Malignant hypertension: bilateral disc oedema, cotton wool spots, flame haemorrhages, macular star 3. Diabetic papillopathy: Mild disc swellling, visual loss 4. Papilloedema (chronic) 5. Retinal capillary haemangioblastoma: VHL, peirpheral orange nodule with large feeder artery/vein 6. Syphilis/Toxo/Sarcoidosis/Lyme
249
What are the investigations of a patient with macula star?
History - BP/diabetes check - Infection, fever, lymphadenopathy, cats Investigations Macula: Location of exudates in Henles' layer --> check for SRF and macular oedema FFA: active phase: Disc leakage FAF: hard exudates appear hypo-autoflourescent due to blockage Bloods - FBC, Syphilis, Sarcoidosis, Toxoplasmosis
250
Why should you be cautious about giving anti-VEGF injections in an eye with significant TRD?
Causes crunch syndrome: Rapid regression of vascular component of membranes --> increase in fibrotic component and contraction --> acute worsening of tractional detachment and potentially cause mac off RD
251
What are the differentials of a macular scar?
1. AMD --> geographic atrophy 2. Myopic degeneration: High myopia signs (tilted discs, peripapillary atrophy, posterior staphyloma) 3. Chloroquine toxicity: Bull's eye maculopathy pattern 4. Stargardt/Best Disease/Retinal Dystrophies
252
What is the management plan for a patient with geographic atrophy?
1. Pegcetacoplan (Syfovre): C3 inhibitor. DERBY/OAK trials --> monthly/2-monthly injections showed 20% reduction in GA lesion growth over 2 years 2. Avacincaptad Pegol (Izervay): C5 inhibitor. Based on GATHER2 trial, monthly injections reduced rate of GA growth by approximately 14-18% of 12 months 3. LVA clinic --> magnifiers, eccentric viewing training, high-contrast digital devices
253
What are the investigations of a patient with serpiginous choroiditis?
FAF: active borders appear hyper-autoflourescent, scarred areas are hypo-autoflourescent FFA: Early hypoflourescence (blockage by oedema/non-perfusion) followed by late hyperflourescent staining of the borders ICG: Hypoflourescent areas larger than clinical exam --> wider choroidal involvement Systemic workup: Rule out TB - Quantiferon TB Gold / T-Spot test - CXR / CT Chest - Syphilis serology/ACE levels
254
What is the management of a patient with serpiginous choroiditis?
Acute phase: High-dose systemic corticosteroids (1mg/kg) to quieten the active adges. Ozurdex for foveal-threatening lesions Maintenance: High recurrence rate --> Steroid sparing agents (azathioprine, mycophenolate, cyclosporin) Complication management: CNVM (20%) --> anti-VEGF injections
255
What are the clinical signs of CMV retinitis?
1. Pizza pie appearance: Yellow-white retinal necrosis, dense haemorrhage. Usually **minimal/absent vitritis** 2. Indolent granular form: Peripheral granular whitening, minimal haemorrhage, slow progression 3. Frosted branch angiitis variant: Perivascular sheathing, diffuse inflammation
256
What are the differentials of a patient with CMV retinitis?
Infectious: CMV, Toxo, Syphilis, HSV/VZV (ARN) Non-infectious: Sarcoid, SLE, Behcet's Disease Malignancy: Intraocular lymphoma Idiopathic: Primary Frosted Branch Angiitis
257
What are the investigations of a patient with CMV retinitis?
Systemic history: HIV status, CD4 plus acount, any organ transplant/immunosuppresive therapy Aqueous/Vitreous tap: PCR to detect CMV DNA Bloods: HIV serology, Syphilis serology, Quantiferon-TB Gold Imaging: OCT: Hyperreflectively and thickening of inner retinal layers in acute necrosis FFA: Late staining of vessels walls and areas of capillary non-perfusion
258
What is the management of a patient with CMV retinitis?
Induction Therapy (2 weeks) Intravitreal injections: Foscarnet (2.4mg/0.1mls) Systemic therapy: Oral valganciclovir 900mg BD or IV Ganciclovir Maintenance therapy Valganciclovir 900mg once daily until CD4 > 100 for 3-6 months HAART therapy Monitor for RRD --> most common cause of vision loss
259
What is the grading for diabetic retinopathy?
R1: venous loops, CWS, microaneurysms, intraretinal haemorrhages R2H: 4/2/1 rule (IRH/MA, VB, IRMA) R2L: 8 or more blot haemorrhages, VB 1 quadrants, R3A: proliferative changes, NVD, NVE, unstable PDR R3S: PRP, stable retina M1: group of exudates > half disc area and all within macula
260
Whats the difference in laser settings between laser retinopexy and PRP laser?
261
What is the management for a patient with diabetic retinopathy?
Conservative 1. Glycaemic, Blood Pressure and Lipid Control Medical 1. Anti-VEGF injections: CMT > 400 microns 2. Laser: CMT < 400 microns and macula oedema not centre involving 3. PRP for PDR Surgical Vitrectomy: Non-clearing VH for 3 months (T2DM), Non-clearly VH for 1 month (T1DM) Tractional RD
262
What are the ophthalmic manifestations of TB?
External: Lid abscess Conj/Cornea: Conjunctival nodules, phlyctenulosis, scleritis, interstitial keratitis Anterior: Granulomatous AAU with mutton fat KPs, iris granulomas/busacca nodules, posterior synechiae Posterior: Vitritis, macula oedema, vasculitis, choroidal granulomas.
263
What are the causes of choroidal folds?
THIN RPE Tumours: Orbital tumours H: Hypotony: Post-surgical, traumatic I: Inflammation: Posterior scleritis (T sign) N: CNVM R: Retinal detachment/scleral buckling surgery P: Papilloedema E: Extra-ocular: Thyroid Eye Disease
264
What are the investigations of a patient with choroidal folds?
IOP: Check for hypotony OCT: Check for undulating hyperreflective bands at the choroid and RPE FFA: Alternating hyperflourescent and hypoflorescent streaks starting in early AV phase / Zebra stripe pattern --> late phase with no leakage B scan: Evaluation of posterior scleral thickening or space-occupying lesions CT/MRI: Depending on cause for orbital masses, thyroid eye disease, idiopathic intracranial hypertension
265
What are the differentials of a patient with neovascularisation of the iris?
Vascular: CRVO, BRVO, CRAO, OIS, Tractional: Diabetic, sickle cell, RD Malignancy: Retinal, Choroidal, Iris tumours
266
What are the investigations of a patient with ocular ischaemic syndrome?
Examination: Retinal arterial pulsation on light digital pressure to lids OCT: Macula oedema FFA: delayed AV transit time Carotid imaging: USS/CTA to check for carotid stenosis
267
What are the causes of massive lipid exudation?
CHEVRAD FEVER C: Coats Disease: telangietasia, light-bulb aneurysms H: Haemangioma: Feeder arteriorle + draining vein V: Vasoproliferative tumor: Peripheral yellow/pink lesion R: RAM: along temporal arcade + multilayered haem D: Diabetic retinopathy F: FEVR V: Vein Occlusion (Branch) R: Radiation retinopathy
268
What are the causes of optociliary shunt vessels?
3 Cs CRVO Compression (optic nerve tumours) Chronic papilloedema Connect retinal venous circulation to choroidal circulation
269
What is the % of non-ischaemic CRVO recovery to normal visual acuity? What is the % of non-ischaemic CRVO progression to ischaemic CRVO? What is the % of CRVO progression to rubeosis? What is the % risk of contralaterla eye involvement of CRVO?
1. 10% 2. 15% in 4 months, 33% in 3 years 3. 35% in 4 months 4. 7% in 2 years
270
What are the clinical features of myopic CNV?
Fundus 1. Pale, tesselated fundus with areas of chorioretinal atrophy 2. Lacquer cracks in Bruch's Membrane --> CNVM 3. Posterior staphyloma 4. Lattice degeneration 5. Sponatenous macular haemorrhage --> elevated pigmented scar (Forster-Fuchs' spot) Disc 1. Tilted 2. Peripapillary atrophy temporal to disc Other 1. Long axial length 2. Deep AC 3. Pigment Dispersion Syndrome/Glaucoma 4. Zonular Dehiscence
271
What are the investigations of a patient with myopic CNV?
Refraction OCT: check for posterior staphyloma, myopic foveoschisis and CNVM FFA: CNVM B scan: posterior staphyloma Biometry (IOL master): axial length
272
What is the management of myopic CNV?
Anti-VEGF treatment 1. RADIANCE STUDY: Lucentis PRN 2. MYRROR STUDY: Eylea PRN
273
What are the clinical features for sickle cell retinopathy?
Non-proliferative 1. Salmon-patch haemorrhages (pre/intra) 2. Black sunburst lesions (pigment clumping from RPE migration) 3. Comma shaped conjunctival capillaries 4. Iridescent spots 4. Angioid Streaks 5. Sectoral Iris atrophy Proliferative 1. Seafan neovascularisation 2. Vitreous haemorrhage 3. Tractional / RRD
274
What are the investigations of a patient with sickle cell retinopathy?
History - Episodes of sickle cell crises, family history Examination 1.Widefield optos 2.OCT 3.FFA: Peripheral non-perfusion, neovascularisation and leakage 4.Ultrasound B scan: Vitreous haemorrhage or RD
275
What is the management of a patient with sickle cell retinopathy?
Conservative 1. Monitor small peripheral lesions - probablity of spontaneous regression 2. Optimise hydration 3. Manage anaemia Medical Anti-VEGF for macular oedema / neovascularisation Surgical 1. Scatter PRP following rapid growth of large elevated sea fan vascularisation 2. Targeted photocoagulation 3. Pars plana vitrectomy for persistent VH (> 6 months)
276
What are the investigations of a patient with retinoschisis?
T-Bar test: Using indirect ophthalmoscope, project a T shape using scleral indenter onto retinoschisis, patient unable to see T shape due to absolute scotoma Widefield optos : monitoring OCT: Splitting of layers B scan: Differentiates between schisis and RD
277
What are the treatments for X linked retinoschisis?
Correct refractive error (hypermetropia), amblyopia Low vision aids Surgery for infrequent complications of VH/ RD Phase I/II gene therapy trial underway in USA
278
What is the management of a patient for CRAO?
Immediate (within 4 hours) 1. Ocular massage: Dislodges emboli downstream 2. AC paracentesis: Reduces IOP and promotes arterial reperfusion 3. Consider IV acetazolamide / topical IOP lowering agents 4. If GCA --> steroids Secondary prevention - Aspirin 300mg - Referral to stroke team - Carotid endarterectomy/stenting - Address cardiovascular risk factors
279
What is the NICE classification for AMD?
Early AMD - Low risk: Medium drusen / RPE changes - Medium: Large drusen (>125 microns) or reticular drusen or medium drusen + RPE changes - High: Large drusen (>125 microns) + RPE changes or reticular drusen + RPE changes or vitelliform lesion with VA > 6/18 Late AMD - RPE changes with SRF/IRF but no CNVM - Serious PED with no CNV - Dry: geographic atrophy, RPE degeneration or vitelliform lesion or confluent drusen with VA < 6/18
280
What are the complications of laser retinopexy?
Intraoperative: Vitreous haemorrhage, retinal haemorrhage, laser retinopathy Post-operative: Pain, Inflammation, Progression/failure to RD, Epiretinal membrane, CMO
281
What is the pathophysiology and symptoms of fundus albipunctatus?
Rod dysfunction in early dark adaptation and eventually Rods recover after prolonged dark adaptation (distinguishes from progressive rod dystrophies) Associated with congenital stationary night blindness Symptoms -Nyctalopia from childhood --> stable and non-progressive -Daytime vision typically normal
282
What are the clinical of a patient with fundus albipunctatus?
multiple small yellow-white dots mid-peripheral retina sparing of macula symmetrical non-progressive
283
What are the differentials of a patient with fundus albipunctatus?
1. AMD/PCV 2. Dystrophies: Sorsby, North Caroline, Doyne Honeycomb retinal dystrophy, Stargardts
284
What are the investigations of a patient with fundus albipunctatus?
FAF: multiple dot lesions OCT: Hyperreflective dots within RPE extending towards outer nuclear layer ERG: Absent rod response, flicker response is reduced initially but improves to near normal after prolonged dark adaptation Genetic testing: RDH5 variants - autosomal recessive
285
What is the management of a patient with fundus albipunctatus?
Medical 1. Chromophore supplementation --> showed short-term improvement in dark adaptation 2. Vitamin A sufficiency 3. Avoid medications such as isotretinoin (nyctalopia)
286
What are the clinical features of pseudoxanthoma elasticum?
Ocular 1. RPE mottling (peau d'orange) 2. Disc drusen 3. Subdrusenoid deposits 4. Angioid streaks 5. Peripapillary atrophy Systemic signs - Plucked chicken skin on neck/axilla - Atherosclerosis --> ischaemic heart disease
287
What are the causes of cryo scarring?
COLD RETINA C: Coats Disease O: Old lesions L: Lattice degeneration D: Detachment (RRD, GRT, Retinal dialysis) R: ROP T: Tumours: Vasoproliferative, Capillary haemangioma
288
What is the pathophysiology of a patient with neuroretinitis?
Inflammation of optic nerve head → leakage from disc capillaries → lipid-rich exudates track along Henle’s layer → macular star formation B: Bartonella henselae (most common) C: Cat-scratch disease A: Autoimmune T: Tuberculosis S: Syphilis V: Viruses (HSV, VZV, mumps) I: Idiopathic P: Parasitic (toxoplasmosis) Other causes: Lyme disease sarcoidosis leptospirosis
289
What are the clinical features of a patient with neuroretinitis?
1. Optic disc oedema ⭐: Hyperemic swollen disc, No haemorrhages usually (helps differentiate from papillitis) 2. Macular star ⭐: Appears after 1–2 weeks, Radial hard exudates around fovea 3. RAPD: Mild ocular discomfort 4. Minimal colour vision loss 5. Lymphadenopathy
290
What are the investigations of a patient with neuroretinitis?
Fundus examination: disc oedema, macular star (later) OCT macula: lipid exudates in outer plexiform layer OCT RNFL: optic disc swelling Visual fields: central scotoma, cecocentral defect Blood tests ⭐: Directed by suspected cause Common tests: Bartonella serology, syphilis serology, TB screen, ACE (sarcoid), Lyme serology, toxoplasmosis testing Other imaging: MRI brain/orbits Indicated if: atypical presentation bilateral disease neurological signs Usually normal in neuroretinitis
291
What is the management of a patient with neuroretinitis?
Bartonella neuroretinitis Treatment: oral doxycycline ± rifampicin Alternatives: azithromycin, ciprofloxacin Often combined with: oral steroids (after antibiotics started)
292
What is the Chandler Classification for orbital cellulitis?
1. Preseptal cellulitis 2. Orbital Cellulitis 3. Subperiosteal Abscess (pus between bone and periosteum) 4. Orbital Avscess (pus within orbital fat) 5. Cavernous Sinus Thrombosis (posterior extension)
293
What is the management of Subperiosteal Abscess?
Medical - Admit Patient with eyeshield - IV Antibiotics (Ceftriaxone and metronidazole) - Small, medial SPAs in children <9 often resolve with IV antibiotics alone Surgical - If tense orbit/evidence of orbital compartment syndrome, urgent canthotomy and cantholysis (disinerstion of the inferior crus of the lateral canthal tendon from orbital rim to decompress the orbit)
294
What are the complications of a patient with Subperiosteal Abscess?
Orbital: Cavernous sinus thrombosis Neurological: Meningitis, Brain Abscess Signs of cavernous sinus thrombosis? -Bilateralisation - symptom spread to other eye - Multiple cranial nerve palsies: III, IV and VI - Rapid lethargy/seizures
295
What are the most common microbiological organisms in subperiosteal abscesss?
Streptococcus, Staph aureus Paediatric patient: Haemophilus type B (rarer due to the Hib vaccine)
296
What are the differentials of a patient with orbital cellulitis?
1. Anaphylaxis/Allergy 2. Trauma: Orbital/retrobulbar haemorrhage 3. Orbital tumour - Rhabdomyosarcoma 4. Cavernous Sinus thrombosis 5. Idiopathic orbital inflammatory syndrome
297
What is the criteria for high risk PDR?
1. NVD > 1/3 of disc area 2. NVD with vitreous/preretinal haemorrhage 3. NVE > 1/2 disc area with vitreous or pre-retinal haemorrhage
298
What are the types of visual field you would do for a patient with hydroxychloroquine monitoring?
Asians: 30:2 Caucasians: 24:2 CVI Driving
299
Hydroxychloroquine toxicity monitoring?