
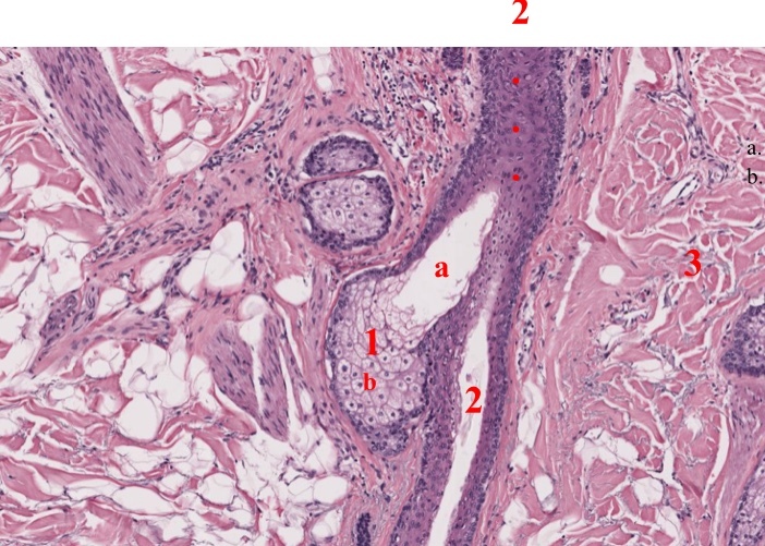
1- Glândula esôfagica
a- Ducto
b- Porção secretora
2- Tecido conjuntivo
3-Tecido muscular

1- Glândula sebácea = Glând. alveolar
a- Ducto
b- Porção secretora
2- Folículo piloso
3- Tecido conjuntivo

1- Glândula sudorípara = Glândula tubulo enovelada
a- Ducto
b- Porção secretora
2- Tecido conjuntivo

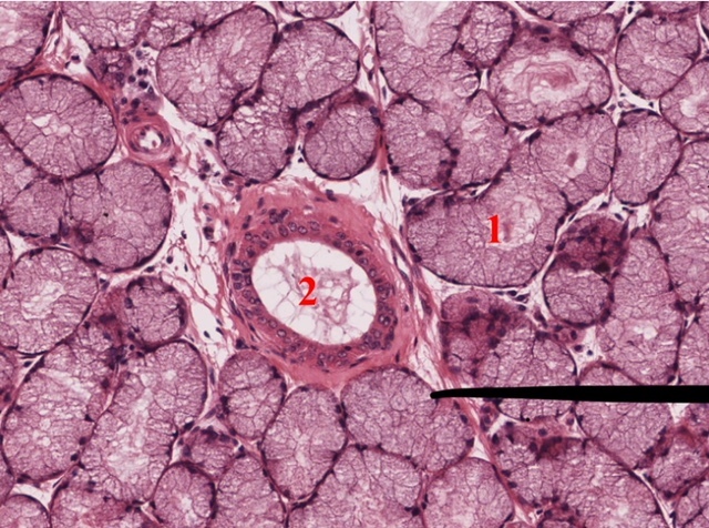
1- Ácino (Seroso)
2- Ducto

1- Ácino mucoso
2- Ducto

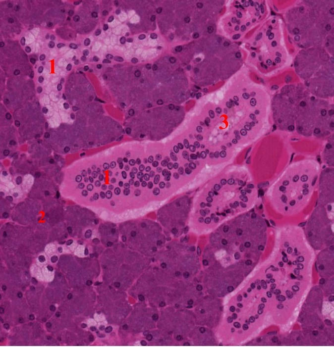
1- Ácino misto
2- Semilua serosa
3- Ducto

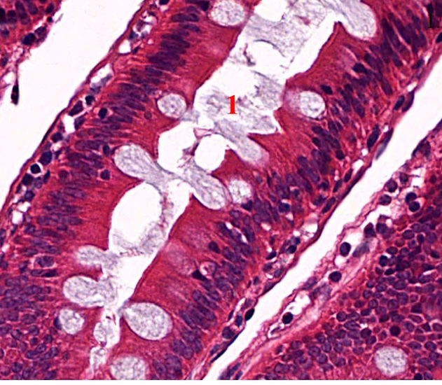
1- Grânulo de secreção de muco

1- Grânulos de secreção
2- Microvilosidades
3- Núcleo da célula caliciforme
Vermelho: Ducto da porção secretora
Amarelo: Ácino seroso
Vermelho: Ácino mucoso
Amarelo: Ducto

Célula mesenquimal indiferenciada: Responsável pela origem de todas as células do tecido conjuntivo

Tecido conjuntivo não modelado: Predomínio de fibras sobre os outros elementos. Fibras em várias direções
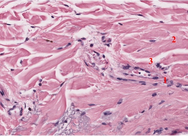
1- Células conjuntivas
2- Fibras colágenas
3- Substância intersticial

1- Células conjuntivas
2- Fibras colágenas
3- Substância intersticial

1- Células conjuntivas
2- Fibras colágenas
3- Substância intersticial

1- Células conjuntivas
2- Fibras colágenas
3- Substância intersticial

1- Células conjuntivas
2- Fibras colágenas
3- Células adiposas com imagem negativa da substância intersticial
Vermelho- Tecido conjuntivo
Amarelo- Tecido epitelial pavimentoso simples
Vermelho- Cílios
Amarelo- Tecido conjuntivo
Verde- Tecido epitelial pseudoestratificado colunar ciliado
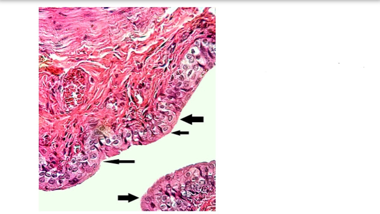
1- Núcleos de células epiteliais
2- Cílios
3- Lâmina Basal
4- Linfócito (pode atravessar a lâmina basal)
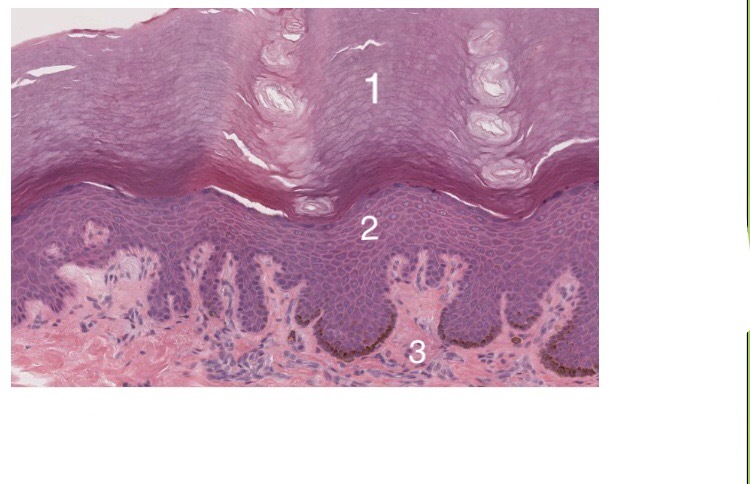
1- Queratina
2- Epitélio estratificado pavimentoso queratinizado
3- Tecido conjuntivo
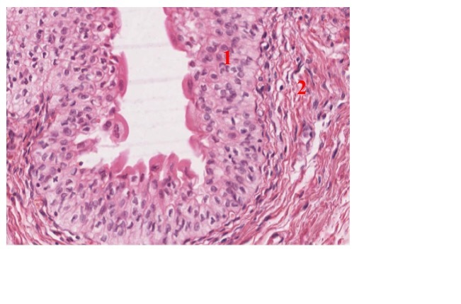
1- Epitélio (estratificado) de transição
2- Tecido conjuntivo
Epitélio muda de forma ao longo das camadas

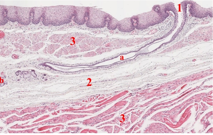
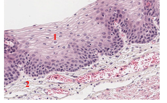
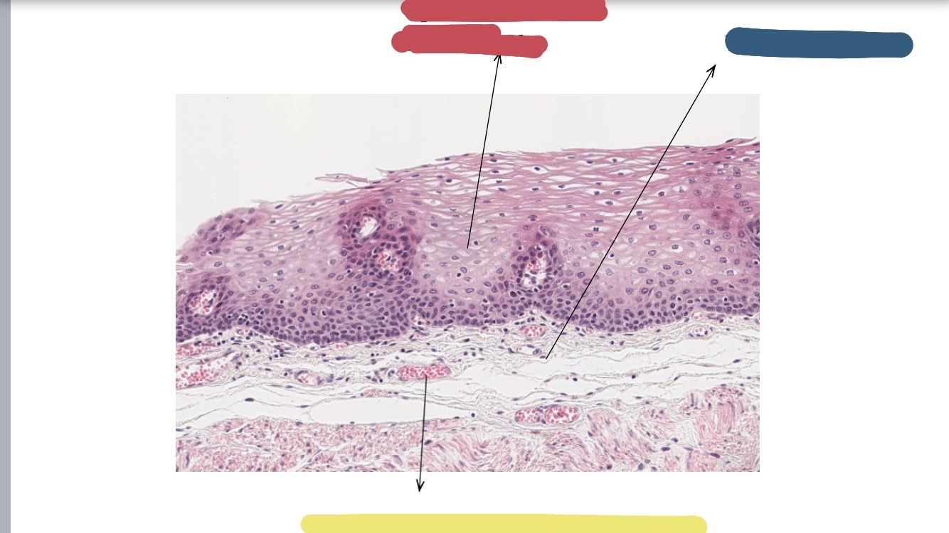
1- Epitélio estratificado pavimentoso
2- Tecido conjuntivo
Vermelho: Epitélio estratificado pavimentoso
Azul: Tecido conjuntivo
Amarelo: Vasos sanguíneos (com hemácias dentro)
Setas: Células globosas