practical 1 Flashcards

(29 cards)

1
Q
A

Cortical compact bone

How well did you know this?
1
Not at all
2
3
4
5
Perfectly
2
Q
A

Tendon crimp fibres

How well did you know this?
1
Not at all
2
3
4
5
Perfectly
3
Q
A

Elastic cartilage

How well did you know this?
1
Not at all
2
3
4
5
Perfectly
4
Q
A

Longitudinal section of the end of a long bone + cartilage

How well did you know this?
1
Not at all
2
3
4
5
Perfectly
5
Q
A

Fibrocartilage

How well did you know this?
1
Not at all
2
3
4
5
Perfectly
6
Q
A

Hyaline cartilage

How well did you know this?
1
Not at all
2
3
4
5
Perfectly
7
Q
A

Immature bone

How well did you know this?
1
Not at all
2
3
4
5
Perfectly
8
Q
A

Subchondral bone and cartilage

How well did you know this?
1
Not at all
2
3
4
5
Perfectly
9
Q

What is 9?

A

Dense regular connective tissue

How well did you know this?
1
Not at all
2
3
4
5
Perfectly
10
Q

What is 10?

A

Collagen fibres

How well did you know this?
1
Not at all
2
3
4
5
Perfectly
11
Q

What is 11?

A

Fibroblast nuclei

How well did you know this?
1
Not at all
2
3
4
5
Perfectly
12
Q

What is 1?

A

Loose areolar connective tissue

How well did you know this?
1
Not at all
2
3
4
5
Perfectly
13
Q

What is 2?

A

Fibroblast

How well did you know this?
1
Not at all
2
3
4
5
Perfectly
14
Q

What is 3?

A

Elastic fibres

How well did you know this?
1
Not at all
2
3
4
5
Perfectly
15
Q

What is 4?

A

Collage fibres

How well did you know this?
1
Not at all
2
3
4
5
Perfectly
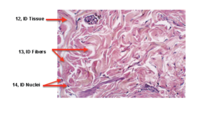
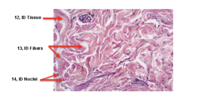
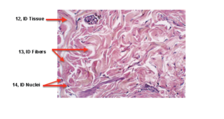
16
Q

What is 12?

A

Dense irregular connective tissue

17
Q

What is 13?

A

Collagen fibres

18
Q

What is 14?

A

Fibroblast nuclei

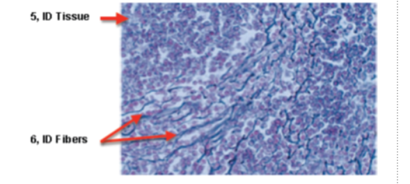
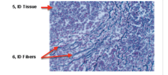
19
Q

What is 5?

A

Loose reticular connective tissue

20
Q

What is 6?

A

Reticular fibres

21
Q

What is 3?

22
Q

What is 8?

23
Q

What is 15?

24
Q

What is 14?

25
What is 17?
Optic disc
26
What is 18?
Optic nerve
27
What is 6?
Anterior chamber
28
What is 4?
Ciliary body
29
What is 5?
Posterior chamber