Practical Flashcards

(24 cards)

1
Q
A

Pediatric Urine Collector

How well did you know this?
1
Not at all
2
3
4
5
Perfectly
2
Q

Name this type of culture
Which specimen is cultivated?
What bacteria is cultivated

A

Urine Quantitative Culture
Urine
E.Coli

How well did you know this?
1
Not at all
2
3
4
5
Perfectly
3
Q

Is this sputum sample acceptable? And why?

A

Unacceptable Sputum

Sample: Predominant epithelial cells vs very few pus cells = Salivary sample

How well did you know this?
1
Not at all
2
3
4
5
Perfectly
4
Q

Is this sputum sample acceptable? And why?

A

Acceptable Sputum Sample

Predominant Pus cells

How well did you know this?
1
Not at all
2
3
4
5
Perfectly
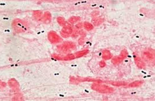
5
Q

Mention organism
Stain used

A

Streptococcus pneumoniae

Gram stain

How well did you know this?
1
Not at all
2
3
4
5
Perfectly
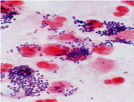
6
Q
A

Staphylococci in purulent sputum

How well did you know this?
1
Not at all
2
3
4
5
Perfectly
7
Q

Name the organism

Mention one infection caused by this organism

A

Klebsiella pneumoniae
Pneumonia

How well did you know this?
1
Not at all
2
3
4
5
Perfectly
8
Q
A

S. pneumoniae

How well did you know this?
1
Not at all
2
3
4
5
Perfectly
9
Q

Mention the name of the medium, and the organism growing on it

A

Chocolate agar
H. influenzae

How well did you know this?
1
Not at all
2
3
4
5
Perfectly
10
Q
A

S. aureus

How well did you know this?
1
Not at all
2
3
4
5
Perfectly
11
Q
A

Klebseilla spp.

How well did you know this?
1
Not at all
2
3
4
5
Perfectly
12
Q
A

Pseudomonas spp.

How well did you know this?
1
Not at all
2
3
4
5
Perfectly
13
Q
A

Antibiotic Susceptibility testing

How well did you know this?
1
Not at all
2
3
4
5
Perfectly
14
Q
A

Hemocytometer for white cell count in effusions

How well did you know this?
1
Not at all
2
3
4
5
Perfectly
15
Q
A

Wet mount preparation

How well did you know this?
1
Not at all
2
3
4
5
Perfectly
16
Q
A

Rectal swab for microbiological examination in infants and small children

17
Q
A

Examination of stools for leucocytes

18
Q
A

Rotavirus antigen test

19
Q
A

Lactose fermenting (pink) and non-fermenting (pale) colonies on MacConkey’s agar

20
Q

Mention the medium and the growing organism

A

S-S agar

Salmonella

21
Q
A

V. Cholerae on TCBS agar

22
Q
A

E. coli on Sorbitol MacConkey agar

23
Q
A

Campylobacter spp. on Skirrow’s blood agar

24
Q
A

Collection of urine sample from the built in urine catheter port