Practical #2 Flashcards

(30 cards)

1
Q

Purpose of blood

A

Regulation- temperature, ph, blood volume

Transportation- oxygen to cells, transporting waste out, hormones to their target receptors

Protection- prevebting blood loss by clotting, preventing infection

How well did you know this?
1
Not at all
2
3
4
5
Perfectly
2
Q

What is hematopoiesis

A

Production of all blood cells

How well did you know this?
1
Not at all
2
3
4
5
Perfectly
3
Q

Where does hematopoiesus occur?

A

Red bone marrow

How well did you know this?
1
Not at all
2
3
4
5
Perfectly
4
Q

What are the leukocyte categories? And what’s the difference?

A

Granulocytes- have obvious granules

Agranulocytes- do not have onvious granules

How well did you know this?
1
Not at all
2
3
4
5
Perfectly
5
Q

What cells are granulocytes?

A

Neutrophils, basophils, eosinophils

How well did you know this?
1
Not at all
2
3
4
5
Perfectly
6
Q

What cells are agranulocytes?

A

Lymphocytes and monocytes

How well did you know this?
1
Not at all
2
3
4
5
Perfectly
7
Q

What is this?

A
Neutrophil 
Granulocyte
Most abundant granulocyte
Multi lobed nucleus 
Phagotize bacteria
How well did you know this?
1
Not at all
2
3
4
5
Perfectly
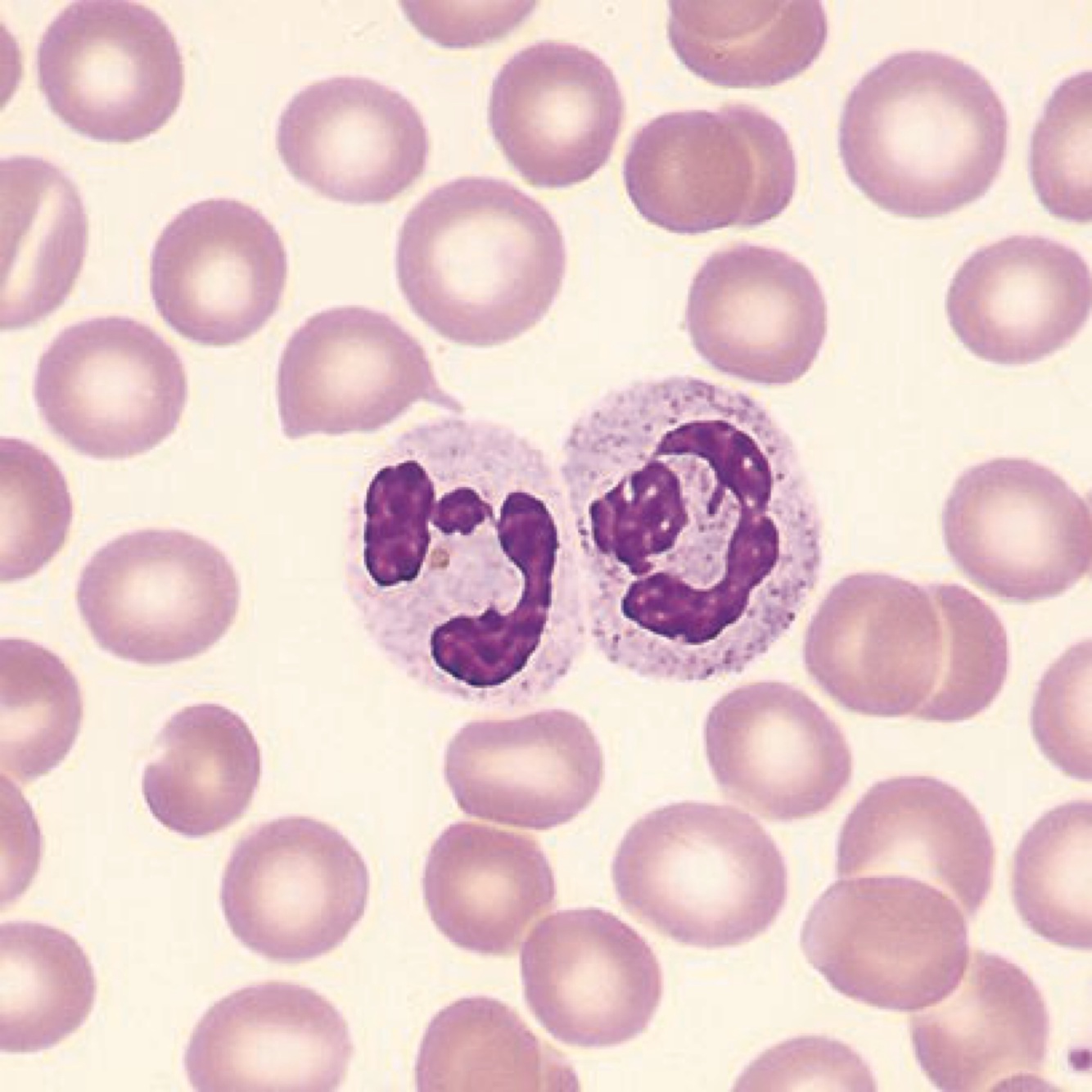
8
Q

What is this?

A
Basophil
Granulocyte
Bilobed nucleus
Large purplish-black granules
Release histamines 
Fight inflammation
How well did you know this?
1
Not at all
2
3
4
5
Perfectly
9
Q

What is this?

A
Eosinophil (eskimo wears earmuffs)
Granulocyte
Bilobed nucleus
Red granules 
Kill parasitic worms
Helps with allergies and asthema
How well did you know this?
1
Not at all
2
3
4
5
Perfectly
10
Q

What is this?

A
Lymphocyte 
Agranulocyte
Spherucal or indented nucleus 
Pale blue cytoplasm 
Serves as part of the immune system
Latches onnand destroys viruses or bacteria
How well did you know this?
1
Not at all
2
3
4
5
Perfectly
11
Q

What is this

A
Monocyte 
Agranulocyte
U or kidney shaped nucleus 
Gray-blue cytoplasm
Phagocytosis
Develop into macrophages or dendrites in tissues
How well did you know this?
1
Not at all
2
3
4
5
Perfectly
12
Q

What is this?

A
Erythrocyte
Red blood cell
Biconcave
Salmon colored
Transport oxygen and carbon dioxide
How well did you know this?
1
Not at all
2
3
4
5
Perfectly
13
Q

What is this?

A
Platelets
Discoid cytoplasmic fragments containing granules 
Stain deep purple 
Seal small tears in blood vessels 
Instrumental in blood clotting
Developed from ruptured megakaryocytes
How well did you know this?
1
Not at all
2
3
4
5
Perfectly
14
Q

What is the difference between antibodies and antigens?

A

Antigens- molecules capable of stimulating an immune response (current intruder)

Antibodies- Y-shaped proteins produced by B cells of the immune system in response to exposure to antigens. (Body is immune now)

How well did you know this?
1
Not at all
2
3
4
5
Perfectly
15
Q

Universal blood donor?

A

O-

How well did you know this?
1
Not at all
2
3
4
5
Perfectly
16
Q

Universal blood recipient?

17
Q

Normal RBC count?

A

Men- 4.35-5.65 million per microliter

Women- 3.92-5.13 million per microliter

18
Q

Blood clotting elements?

A

THROMBOPOIETIN- hormone that regulates formation of platelets

PLATELETS

PROTHROMBIN-converts to thrombin

THROMBIN- combines with FIBRINOGEN to to produce FIBRIN

FIBRINOGEN-soluble protrin thats converted to insoluble FIBRIN during clotting

FIBRIN- fibrous insoluble protein formed during clotting

19
Q

Formed elements of blood

A

Erythrocytes- RBC
Leukocytes- WBC
Thrombocyte- platelets

20
Q

What are 3 types of circulation?

A

Pulmonary circulation- heart to lungs to heart
Systemic- heart to heart
Coronary- supplies blood to heart cells

21
Q

Body cavity for heart?

22
Q

Linings for the heart?

A

Whole: Pericardium
Innermost- endocardium
Middle- Myocardium
Outermost- Epicardium

23
Q

Pace maker for the heart?

24
Q

Route conduction in the heart

A
SA node
SV node
AV bundle
Bundle branches
Purkinje fibers
25
What is the P-wave?
Atrial depolarization
26
What is the QRS complex showing
Ventricular depolarization
27
What is the T wave showing?
Ventricular repolarization
28
What is atrial fibrillation?
Rapid or irregulat heart contractions
29
Tachycardia
Heart rate too fast
30
Bradychardia
Heart rate too slow