Practical 4 - Repro Flashcards

(71 cards)

1
Q

What are the functions of the female reproductive system?

A

maturation and transportation of oocytes
site of fertilization and development of an embryo/fetus
produce milk and various hormones

How well did you know this?
1
Not at all
2
3
4
5
Perfectly
2
Q

What are the components of the female reproductive system? Are the ovaries endocrine or exocrine?

A

ovaries, uterine tubes, uterus, vagina, external genitalia, mammary glands
ovaries are endocrine (estrogen and progesterone) and exocrine (ova)

How well did you know this?
1
Not at all
2
3
4
5
Perfectly
3
Q

What is the location of the uterus in relation to the bladder?

A

posterior and superior to the bladder

How well did you know this?
1
Not at all
2
3
4
5
Perfectly
4
Q

What is the role of the vagina?

A

receive penis and semen during intercourse

How well did you know this?
1
Not at all
2
3
4
5
Perfectly
5
Q

What is the role of the uterus?

A

house a developing fetus

How well did you know this?
1
Not at all
2
3
4
5
Perfectly
6
Q

What are the regions/features of the uterine tube?

A

isthmus - narrow portion that opens into the uterus
ampulla - middle region that is the place of fertilization
infundibulum - distal, funel shaped portion

fimbriae - finger-like projections at the distal end of the uterine tubes the sweep the ovulated oocyte into the uterine tube

How well did you know this?
1
Not at all
2
3
4
5
Perfectly
7
Q

Describe the regions of the uterus.

A

fundus - round, dome shaped top
body - begins below the uterine tubes and narrows as you move inferiorly
uterine cavity - space within the uterus that can house a fetus
cervix - narrowed region between the uterus and vagina
cervical canal - the space in between the internal and external os

How well did you know this?
1
Not at all
2
3
4
5
Perfectly
8
Q

What is anteflexion?

A

the forward curving position of the uterus

How well did you know this?
1
Not at all
2
3
4
5
Perfectly
9
Q

What are the layers of the uterus wall from superficial to deep?

A

endometrium (stratum functionalis and stratum basalis)
myometrium
perimetrium

How well did you know this?
1
Not at all
2
3
4
5
Perfectly
10
Q

Describe the endometrium.

A

vascular, glandular layer that changes thickness in response to hormones and is where an embryo gets implanted

How well did you know this?
1
Not at all
2
3
4
5
Perfectly
11
Q

Describe the functions of the endometrium during menstruation.

A

stratum functionalis is shed, stratum basalis forms the new functionalis layer

How well did you know this?
1
Not at all
2
3
4
5
Perfectly
12
Q

Describe the myometrium.

A

thickest layer, 3 smooth muscle sublayers (oblique, circular, and longitudinal)

How well did you know this?
1
Not at all
2
3
4
5
Perfectly
13
Q

Describe the perimetrium.

A

thin, part of the visceral peritoneum

How well did you know this?
1
Not at all
2
3
4
5
Perfectly
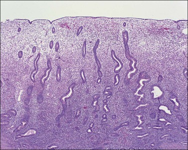
14
Q

What is this a slide of?

A

Uterus

How well did you know this?
1
Not at all
2
3
4
5
Perfectly
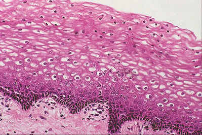
15
Q

What is this a slide of? Describe the histology.

A

Vagina
stratified squamous epithelium with a lamina propria layer underneath

How well did you know this?
1
Not at all
2
3
4
5
Perfectly
16
Q

What does the broad ligament do?

A

sheet like peritoneum that holds the ovaries and uterine tubes in place

How well did you know this?
1
Not at all
2
3
4
5
Perfectly
17
Q

What do the ovarian ligaments do?

A

hold the ovaries to the uterus

How well did you know this?
1
Not at all
2
3
4
5
Perfectly
18
Q

What do the suspensory ligaments do?

A

hold the ovaries to the pelvic wall

How well did you know this?
1
Not at all
2
3
4
5
Perfectly
19
Q

What do the round ligaments do?

A

connect uterus to labia majora

How well did you know this?
1
Not at all
2
3
4
5
Perfectly
20
Q

What do the cardinal ligaments do?

A

hold cervix to pelvic wall

How well did you know this?
1
Not at all
2
3
4
5
Perfectly
21
Q

What do the uterosacral ligaments do?

A

hold the uterus to the sacrum

How well did you know this?
1
Not at all
2
3
4
5
Perfectly
22
Q

What is the collective name for the female external genitalia?

A

the vulva, or pudendum

How well did you know this?
1
Not at all
2
3
4
5
Perfectly
23
Q

What is the mons pubis?

A

adipose tissue covering the pubic symphysis

How well did you know this?
1
Not at all
2
3
4
5
Perfectly
24
Q

What are the labia majora and labia minora?

A

majora - thick folds of skin and adipose tissue
minora - thin folds medial to the labia major, also form the prepuce/hood over the clitoris anteriorly

How well did you know this?
1
Not at all
2
3
4
5
Perfectly
25
What is the clitoris?
the primary center of sexual stimulation
26
What is the vaginal orifice?
the opening to the vagina
27
What are the accessory glands of the female reproductive system?
the greater vestibular glands - located on each side of the vagina, secrete fluid into the lower vagina for lubrication the paraurethral glands - located near the external urethral orifice, secrete fluid into the vestibule
28
What is the hymen?
a thin membrane that covers the vaginal orifice
29
What is the vestibule?
area enclosed by the labia minora, where the vaginal and urethral orifices are found
30
What are the external structures of the breast?
areola - darkened area surrounding the nipple nipple - contains lactiferous duct (channel for milk to flow out)
31
What are the internal structures of the breast?
alveoli - milk producing glands/alveoli lobules - clusters of milk-producing glands lobe - several lobules that are drained by a single mammary duct
32
What is the path of milk from alveoli out of the breast?
alveoli (within a lobule within a lobe) mammary duct lactiferous sinus lactiferous duct nipple
33
Oocytes are released...
once a month during ovulation during the reproductive years, from puberty (~8-13) to menopause (~51)
34
Describe the types of follicles in the ovary.
primordial follicle - small, close to ovary surface, visible nucleus primary follicle - 1 layer of cuboidal cells secondary follicle - 2-3 layers of cuboidal cells tertiary follicle - multiple layers of cuboidal cells, small antrum mature/Graafian follicle - lots of layers of cuboidal cells, large antrum that takes up >50% of the follicle
35
What is the space of fluid in a mature follicle called?
the antrum
36
What are barrier methods of contraception?
male and female condoms, cervical cap/diaphragm, contraceptive sponge
37
What does spermicide do?
kills sperm, but should always be used with another form of contraceptive and can alter the vaginal microflora increasing risk of infection
38
How do hormonal methods of contraception work?
high levels of estrogen and progesterone activate negative feedback on the hypothalamus and anterior pituitary to stop producing LH and FSH, which leads to no ovulation
39
What are short-acting hormonal methods of birth control?
birth control pill, patch, vaginal ring, or hormonal injection
40
What are the LARC (long-acting reversible methods) contraceptives?
copper IUD, hormonal IUD, implant
41
What are the permanent methods of contraception?
vasectomy, tubal ligation, or hysterectomy
42
How does the emergency contraceptive pill work?
release a high dose of progestin
43
What are the functions of the male reproductive system?
produce, store and transport sperm testes produce androgens (testosterone)
44
Are the testes endocrine or exocrine, and what are the products?
endocrine - testosterone exocrine - seminal fluid containing sperm
45
What is the scrotum?
sac of loose skin, muscle, and fibrous connective tissue containing the testes
46
What is the penis?
a copulatory organ used to deposit semen into the vagina
47
What are the layers of the testes, from superficial to deep?
scrotum, dartos muscle, external spermatic fascia, cremaster muscle, internal spermatic fascia, tunica vaginalis, and tunica albuginea
48
What makes up the spermatic cord?
cremaster muscle, nerves, testicular artery, pampiniform plexus, lymphatic vessels, and ductus deferens
49
What temperature does sperm production occur at? How is that temperature controlled?
35 C contraction and relaxation of the cremaster muscle - moves testes close/farther from the body contraction and relaxation of dartos muscle - wrinkle the scrotum to reduce surface area and conserve heat pampiniform plexus - absorb heat from the testicular artery before the blood reaches the testes
50
Where is the epididymis located?
on top of the testicle, above the tunica albuginea but below the tunica vaginalis
51
Describe the flow of sperm.
testes: - seminiferous tubules (where sperm are produced) - rete testis - efferent ductules epididymis: - duct of the epididymis (where sperm are stored and mature) ductus deferens / vas deferens ampulla of the vas deferens ejaculatory duct urethra: - prostatic urethra - membranous urethra - spongy urethra
52
What are the male accessory glands?
seminal vesicles (2), prostate gland (1), and bulbourethral/Cowper's glands (2)
53
What is the role of the seminal vesicles?
contains fructose (energy for sperm) and prostaglandins (aid in sperm transport) produces 65% of semen
54
What is the role of the prostate gland?
contains proteolytic fluid that activates sperm produces 25% of semen
55
What is the role of the bulbourethral/Cowper's glands?
produce mucus to lubricate the urethra and glans penis produces 10% of semen
56
What is semen?
fluid from the glands that generally contains sperm and is slightly alkaline to neutralize acidity of the urethra and vagina
57
What are the external structures of the penis?
prepuce - foreskin shaft - elongated externally visible portion glans - expanded head at the distal end
58
What are the internal structures of the penis?
3 cylinders of erectile tissue: 2 corpus cavernosa, 1 corpus spongiosum they fill with blood during arousal causing enlargement (vasodilation) and erection
59
What "channel" is found within the corpus cavernosa and the corpus spongiosum?
cavernosa - artery of the penis spongiosum - urethra
60
When viewing the histology slides of the epididymis and the seminiferous tubules, how can you tell the difference?
epididymis - pseudostratified ciliated columnar, nuclei all towards the outside edge (more organized), and the center contains cilia seminiferous tubules - more rounded cells, disorganized (nuclei everywhere), and the center contains the sperm tails
61
What is the progression of spermatocytes from edges of seminiferous tubules towards the center?
spermatogonium primary spermatocyte secondary spermatocyte spermatid spermatozoa
62
When viewing a seminiferous tubule histology slide, what do the triangle structures contain?
interstitial endocrine cells (Leydig cells) that produce testosterone
63
What is located in the epididymis? What is the role of the cilia?
spermatozoa (mature sperm) cilia check sperm quality (they are not sperm tails)
64
What is meiosis?
production of gametes (sex cells) 2 rounds of division reduce the chromosome number by half (producing haploid daughters)
65
What is a spermatogonia/oogonia?
cell with 46 chromosomes (diploid)
66
What is a zygote?
a single diploid cells (46 chromosomes) produced after the combination of an oocyte and spermatozoa
67
Meiosis in females is all about ------ while meiosis in males is about -----
quality, quantity
68
Describe oogenesis in females
oogonium with 2 single strands is released from the ovary, DNA is copied to produce 2 Xs (primary oocyte) Meiosis 1 - during ovulation, split into two producing a polar body and a secondary oocyte (haploid) sperm fertilizes the secondary oocyte, adding another strand Meiosis 2 - cell splits into a polar body with 1 strand and a zygote with 2 strands
69
Describe spermatogenesis in males
spermatogonium with 2 strands, DNA is copied to produce 2 Xs (primary spermatocyte) Meiosis 1 - split into two identical hapolid cells, each with 1 H (secondary spermatocytes) Meiosis 2 - each haploid splits into 2 cells (4 total) with 1 strand each called spermatids Spermatids undergo spermiogenesis to become spermatozoa in the membrane of the seminiferous tubule
70
What is the difference between spermatogenesis and spermiogenesis?
spermatogenesis - male gamete formation from a spermatogonium to spermatocyte (aka DNA stuff and meiosis) spermiogenesis - last part of spermatogenesis where the spermatid gains a tail and loses extra cytoplasm to become a mature sperm cell (just a transformation, not a division)
71
What is a homologous structure? What are the homologous structures of the reproductive system?
develop differently in males and females but originate from the same embryonic tissues ovaries = testes clitoris = glans penis greater vestibular glands = bulbourethral glands paraurethral glands = prostate gland