













protoplasmic astrocytes- found chiefly in the gray matter. These glial cells have numerous, short, branching cytoplasmic processes


fibrous astrocytes or “Spider cells” have fewer processes than protoplasmic astrocytes but also have perivascular feet. More common in inner core of the brain in white matter

oligodendrocytes found in both the gray and white matter

microglia- occur in white and gray matter and are active phagocytes





DH = dorsal horn
VH = ventral horn


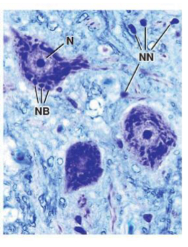
N = nucleus of ventral horn cell
Np = neuropil


N = nucleus of ventral horn cell
NB = Nissl bodies
NN = neuroglial cells


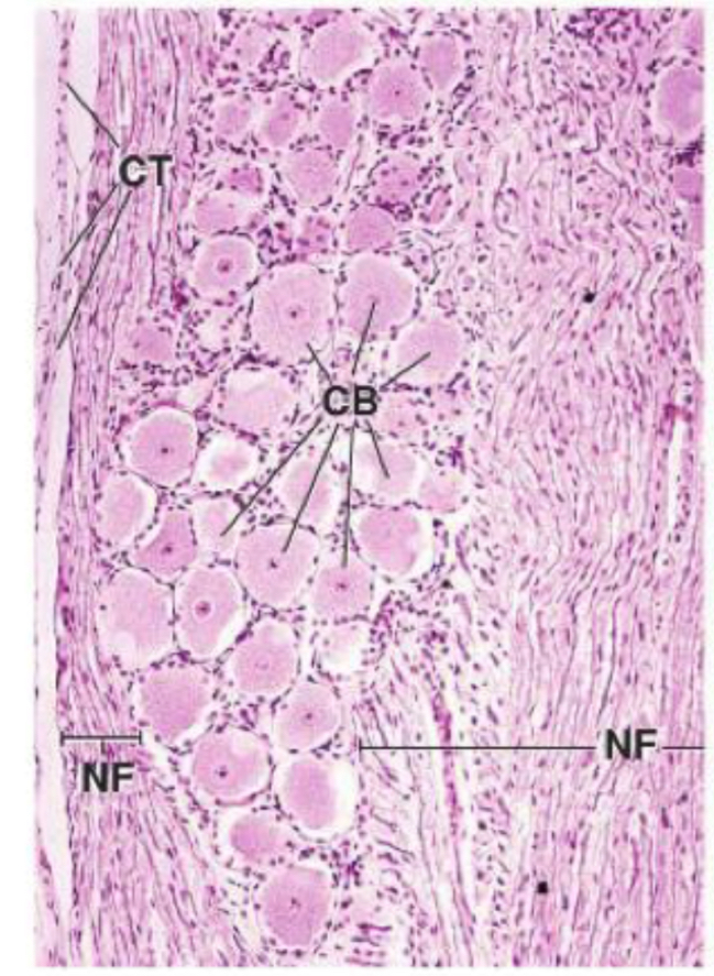
NF = nerve fibers
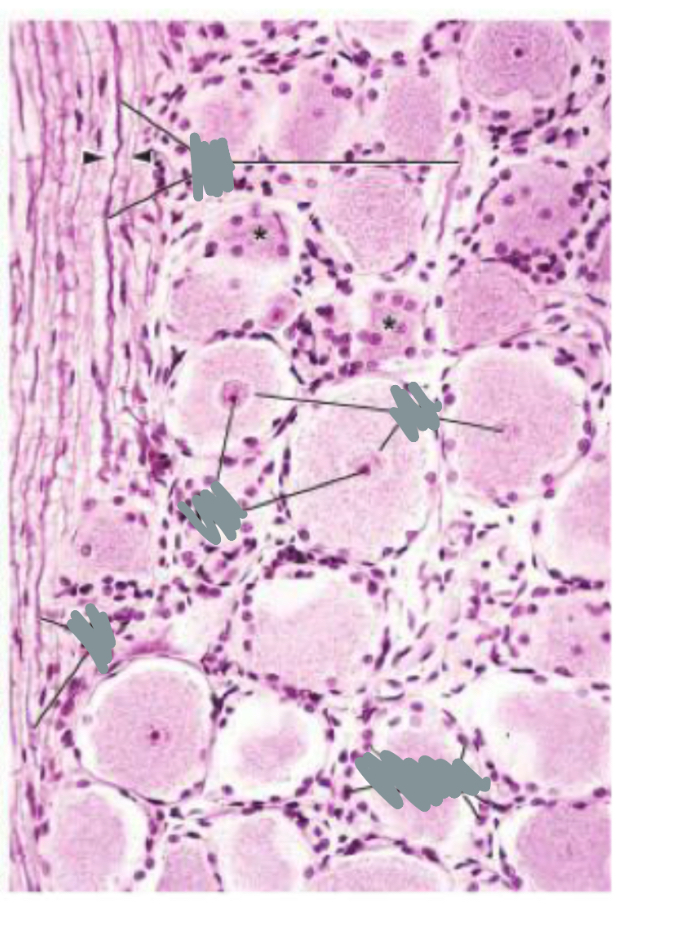
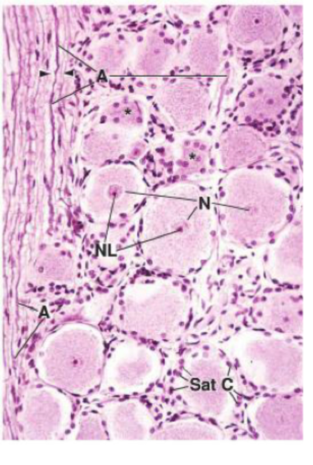
CB = cell bodies of dorsal root ganglion
CT= connective tissue


A = axon
NL= nucleoli
N = nuclei
Sat C = Satellite cells
from dorsal root ganglion


Peripheral nerve
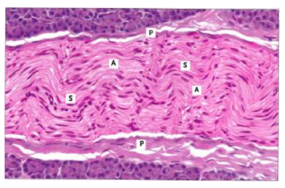
P = perineurium
S = schwann cells
A = axons


myelinated nerve
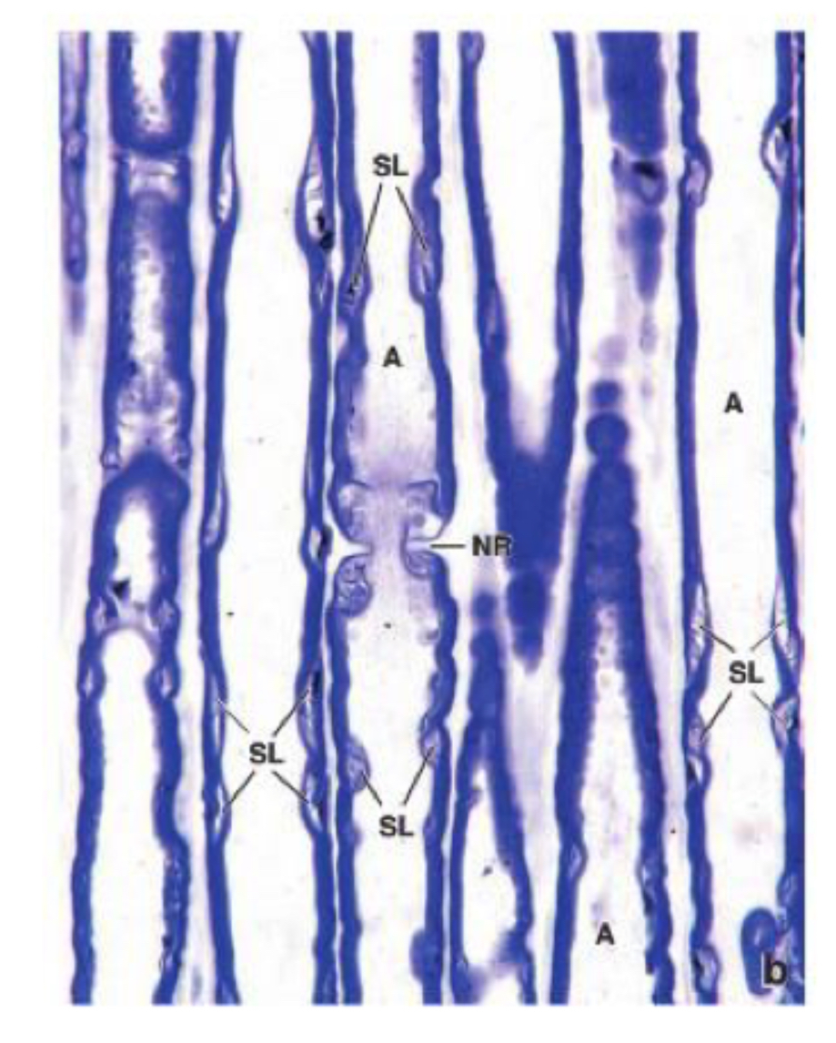
A = axon
epi = epineurium


Node of ranvier






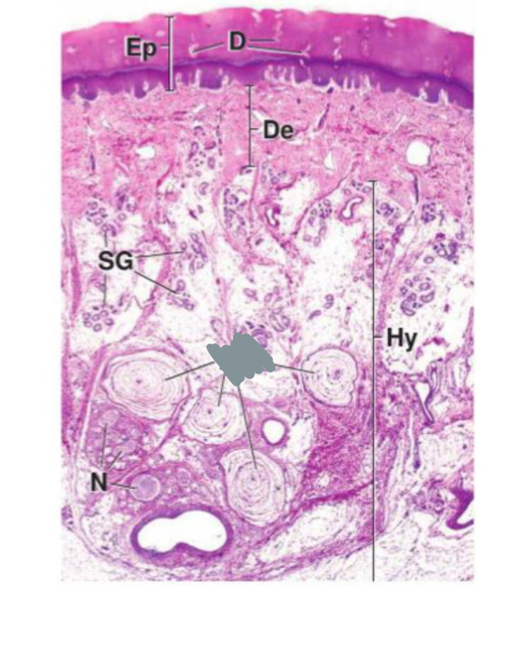
pacinian corpuscle (senses pressure and vibration)