Practicle III Flashcards

(85 cards)

1
Q

Identify receptor types

A

A. Tactile receptors/ corpuscles
B. Errector Pilli (sympathetic efferent)
C. Hair folicle receptor
D. Laminar corpuscle
E. Sweat gland (sympathetic efferent)
F. Thermoreceptor

How well did you know this?
1
Not at all
2
3
4
5
Perfectly
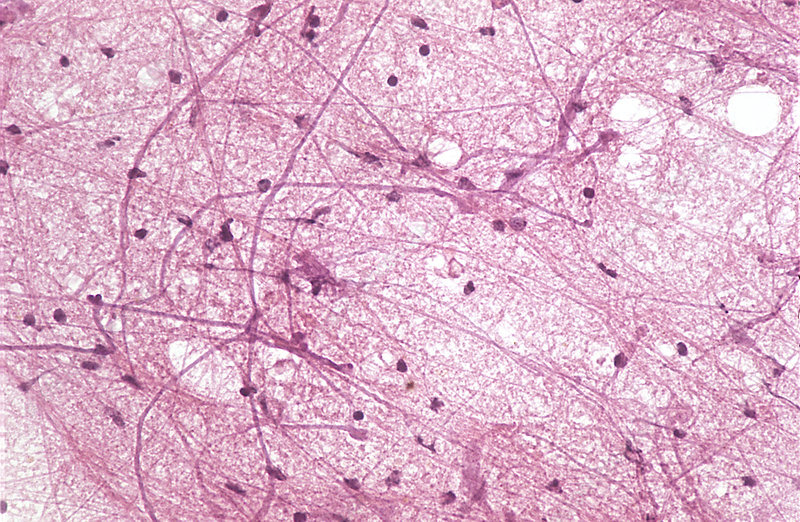
2
Q

What is this?
What structures do you see?

A

Motor neuron
1. Dendrites
2. Soma
3. Axon

How well did you know this?
1
Not at all
2
3
4
5
Perfectly
3
Q

What are these structures?

A

A. Axon terminal
B. Nucleus
C. Axon hillock
D. Synapse
E. Rough ER
F. Dendrite
G. Golgi

How well did you know this?
1
Not at all
2
3
4
5
Perfectly
4
Q

Name the structures labeled

A

A. Nucleus of Schwan cell
B. Myelin
C. Axon
D. Myelin sheeth
E. Endoneurium

How well did you know this?
1
Not at all
2
3
4
5
Perfectly
5
Q

What is this and the structures labeled?
High or low power?

A

Spinal Cord at low power
A. White matter
B. Grey Matter
C. Greater wing

How well did you know this?
1
Not at all
2
3
4
5
Perfectly
6
Q

What is this?
High or low power?

A

Motor neuron in a spinal cord at high power

How well did you know this?
1
Not at all
2
3
4
5
Perfectly
7
Q

What is this?
High or low power?

A

Nuron under high power

How well did you know this?
1
Not at all
2
3
4
5
Perfectly
8
Q

What is this?
What structures capsulate?
High or low power?

A

Neuron cross section at low power
Endoneurium wraps individual neurons into an insulating sheet
Perineurium wraps the neurons into fascicles

How well did you know this?
1
Not at all
2
3
4
5
Perfectly
9
Q

Name + Function

A

Astrocytes
Type of glial cell that:
- forms the brain blood barrier
- regulates the environment in the brain (CNS)
- braces neurons
- regulation metabolism of neurons in the brain

How well did you know this?
1
Not at all
2
3
4
5
Perfectly
10
Q

Name + Function

A

Ependymal cells (type of glial cells)
- found in ventricles of the brain
- makes cerebral spinal fluid

How well did you know this?
1
Not at all
2
3
4
5
Perfectly
11
Q

Name + Function

A

Oligodendrocyte (type of glial cell)
wraps cells in the brain and spine (CNS) with myelin

How well did you know this?
1
Not at all
2
3
4
5
Perfectly
12
Q

Name + Function

A

Satalite cells
Wraps cells in nerves (PNS) with myelin

How well did you know this?
1
Not at all
2
3
4
5
Perfectly
13
Q

Name + Function

A

Schwan cells (type of glial cells)
- surrounds cell bodies in ganglia (PNS)
- regulates chemical environment
- protects cells

How well did you know this?
1
Not at all
2
3
4
5
Perfectly
14
Q

When stimulating a muscle one time, what do you call this type of contraction?

A

Twitch

How well did you know this?
1
Not at all
2
3
4
5
Perfectly
15
Q

What happens to the force generated when stimulating a muscle twice in a row?

A

The total force generated will increase.

How well did you know this?
1
Not at all
2
3
4
5
Perfectly
16
Q

Temporal Sumation

A

2 contractions close to each other = get a stronger contraction, one starts before ends + add up together

How well did you know this?
1
Not at all
2
3
4
5
Perfectly
17
Q

What effect does increasing the frequency of sumations have on the strength of contraction?

A

The contractions get bigger + bigger

How well did you know this?
1
Not at all
2
3
4
5
Perfectly
18
Q

What effect does additional stimulations have after reaching the maximum force?

A

The force generated eventually caps out

How well did you know this?
1
Not at all
2
3
4
5
Perfectly
19
Q

Fused Tetanus

A

= Contraction close enough together that get some increase in strength
Can reach maximum strength for muscle fiber
When it reaches max, it can’t get stronger

How well did you know this?
1
Not at all
2
3
4
5
Perfectly
20
Q

At what length does a muscle achieve maximum force?

A

75mm

How well did you know this?
1
Not at all
2
3
4
5
Perfectly
21
Q

Why is a shorter muscle length weaker?

A

The actin fillaments bump into each other at the M-line so they can’t generate as much force.

How well did you know this?
1
Not at all
2
3
4
5
Perfectly
22
Q

Why is a muscle length longer than 75mm weaker?

A

Not all the myosin heads can overlap with the actin fillaments

How well did you know this?
1
Not at all
2
3
4
5
Perfectly
23
Q

Axon Diameter

A

How big around an axon is, + diameter
bigger diameter = faster signalling

How well did you know this?
1
Not at all
2
3
4
5
Perfectly
24
Q

Myelin

A

Plasma membrane wrapped around the axon that insulates and stops ions from leaking across the membrane

How well did you know this?
1
Not at all
2
3
4
5
Perfectly
25
Myelin Sheath Gaps
Spots along the axon where there’s no myelin - APs happen only at gaps - No APs between where there’s myelin
26
Threshold
The potential at which an action potential is generated during depolarization.
27
Frequency
How often a neuron has an AP Higher frequency APs = stronger signal ## Footnote APs are all or nothing
28
Conduction Velocity
The speed at which an electrochemical impulse moves along a neural pathway. It can also refer to the speed at which an action potential travels. AP speed on any given neuron, all APs are the same speed. Dif neurons can be faster or slower
29
Interval
Frequency in which something occurs
30
Does muscle get shorter with .5g, 1g, and 1.5g weights? What kind of contraction is this?
Yes, muscle gets shorter with each of the weights. Isotonic contraction
31
What effect does increasing the weight have on the distance a muscle is able to lift?
Increasing the weight causes the distance lifted to lower.
32
Would a muscle shorten with 2g of weight? What kind of contraction is this?
The muscle wouldn't shorten because it's an isometric contraction.
33
Why doesn't a muscle get shorter when adding 2g?
The muscle length is stretched to it's maximum and the weight doesn't allow it to contract/ shorten.
34
Identify the labeled structures ## Footnote Sheep's brain
A. Occipital lobe B. Parietal lobe C. Frontal lobe 1. Cerebellum 2. Medulla 3. Pons 4. Spinal cord 5. Hypothalamus 6. Optic chiasma 7. Thalamus 8. Corpus collosum
35
What structures are the arrows pointing to?
36
What is this a model of? What structures are the arrows pointing to?
Brain Stem and Diencephalon Purple: Medulla Dark Blue: Pons Light Blue: Midbrain Green: Cerebral Aqueduct Yellow: 4th Ventricle Aqua: Choroid plexus Red: Pineal gland
37
What structures are the arrows pointing to?
38
What is this a model of? What structures are the arrows pointing to?
Model of Ventricles
39
What are the functions of cerebral spinal fluid?
To provide a chemical buffer to prevent brain damage + washing away waste.
40
What is cerebral spinal fluid made up of?
Glucose Amino acids Oxygen Inorganic ions
41
Where in the ventricles is cerebro spinal fluid made?
Cerebrospinal fluid is made in the **choroid plexus** of all 4 ventricles.
42
Where does cerebral spinal fluid go when it leaves the 4th ventricle?
Into the subarachnoid space.
43
How do the two halves of the thalamus communicate?
Medulla Oblongata
44
Name the marked structures
I - Olfactory II - Optic III - Oculomotor IV - Trochlear V - Trigeminal VI - Abducens VII - Facial VIII - Vestibulocochlear IX - Glossopharyngeal X - Vegas XI - Accessory XII - Hypoglossal
45
Name + function Cranial Nerves I-VI
I - Olfactory -- afferent smell II - Optic -- afferent vision III - Oculormotor -- efferent signals to muscles of the eye + iris IV - Trochlear -- wraps around the midbrain and comes out the front, efferent signals to eye muscle V - Trigeminal -- biggest mixed nerves, afferent signals from face skin, corea, + mouth, efferent signals to chewing muscles VI - Abducens -- efferent signals + moves the eyeball in the socket
46
Name + function Cranial Nerves VII - XII
VII - Facial -- Afferent taste from anterior tongue, efferent signals to facial expression muscles VIII - Vestibulocochlear -- Afferent sound + balance IX - Glossopharyngeal -- Afferent taste from posterior tongue, efferent muscles of pharynx (gag) X - Vegas -- Afferent signals from pharynx, throax + abdomen (gag), efferent motor signals to viscea (abdominal organs) XI - Accessory - Efferent to muscles in the neck XII - Hypoglossal - Efferent to tongue
47
What is this a model of? What structures are the arrows pointing to?
48
What is this a model of? What structures are the arrows pointing to?
Spinal cord cross section with associated structures
49
What are these structures called?
50
What are these structures called?
Pink: Conus Medularis Red: Cauda Equina Orange: Femoral Nerve Yellow: Lumbar plexus Green: Sciatic Plexus Blue: Sciatic Nerve
51
What is white matter?
Myelinated axons of neuron bodies in the grey matter.
52
What is found at the anterior horn of the grey matter?
Anterior = Lateral Cell bodies of sympathetic motor neurons.
53
What is found in the posterior horn of the grey matter?
Posterior = Dorsal Cell bodies of the neurons of the ascending tract.
54
Where do you find spinal tracks going to the brain?
Posterior - found in dorsal + ventral
55
Where do you find motor tracks in the spine?
Anterior/ Lateral leaving the ventral root
56
What type of impulses travel on the dorsal root?
Afferent sensory
57
What type of impulses travel on the ventral root?
Efferent motor
58
Afferent Neuron
Neuron carrying signals into the CNS
59
Efferent Neuron
Neuron carrying signals out from the CNS
60
Integration Center
Location that processes information about the stimulus + makes decisions ## Footnote Part of the reflex arc
61
Receptor
Detects sensory stimuli
62
Reflex
An autonomic response to stimuli
63
Patellar Tendon Reflex - Where to hit with the hammer? - Effector muscles? - Nerve type? - Action generated?
- Hit the petellar tendon (right under the patella) - Activates the rectus femorus - Afferent and efferent signals through the femoral nerve - Extending the leg ## Footnote somatic reflex
64
What is the antagonist to the effector in a patellar tendon reflex?
Hamstring group
65
Calcaneal Reflex - Where to hit with the hammer? - Effector muscles? - Nerve type? - Action generated?
- Calcaneal tendon (barely above the ankle) - Gastrocnemius + soleus - Efferent + afferent sciatic nerve - Foot dorsiflexion ## Footnote somatic reflex
66
Which reflex would be quicker, calcaneal or patellar? Why?
Patellar, less distance to travel to and from the spinal cord.
67
What is the benefit of a gag reflex?
To protect the body from potentially harmful/ dangerous matter coming in from the mouth. ## Footnote somatic reflex
68
What is the benefit of the cornea reflex?
To protect the organ from superficial physical damage that could lead to futher destruction of the cornea. ex: dust, debris ## Footnote somatic reflex
69
Near Point (accommodation) Reflex ## Footnote How to test? What should the result be?
Stare at a tip 3in from the face for about 1min then look across the room. The pupils constrict and focus like a camera lense ## Footnote Autonomic reflex, occularmotor nerve - II
70
Ciliospinal Reflex ## Footnote How to test? What should the result be?
1 person in front and behind the test subject, person in front distracts the subject, then person in back touches the hairs on the back of the test subject. Eyes should dialate and goosebumps are possible ## Footnote Autonomic reflex
71
Is a Ciliospinal Reflex a sympathetic or parasympathetic response?
It's a parasympathetic response because it triggers human's fight/flight/freeze response that's supposed to protect the self from danger.
72
What happens to an individual in a dark space that's had a bright light shine by their eyes?
The pupils dialate and constrict, pulsing until adjusted to right constriction.
73
Levatation Reflex ## Footnote How to test? What should the result be?
Person stands in a doorway with palms pressing into it for 3 minutes. Arms should raise once out of the doorway - TBD why ## Footnote Autonomic reflex
74
What model is this? What structures are the arrows pointing to?
Reflex arc
75
Chemoreceptors
Receptors that detect chemical changes
76
Exteroceptors
Generic term for receptors detecting external change.
77
Mechanoreceptors
Detect mechanical deformations of receptors - like pressing
78
Nociperceptors
Detects pain
79
Proprioceptors
Detect changes in limb position
80
Thermoreceptors
Detects temperature
81
Visceroreceptors
Generic term for receptors that detect internal changes
82
Tactile location testing is for...
Testing how large the receptor field is for laminated corpuscles in a certain area. The closer a subject can pin point where a tester touched, the smaller the receptor field is.
83
Water test tells us...
thermoreceptors can adjust to their enviroments, if their sensory quality is suddenly altered their modalities can switch and may also trigger nociperceptors (pain receptors).
84
Measurement of spacing of tactile receptors tells us...
how distributed meissner's corpuscles are in an area. 2-10 corpuscles could be attached to the same neuron. The fewer miessner's corpuscles on a neuron the smaller the receptor field is.
85
What is the relationship between lamellated corpuscles and sensory adaptation?
Lamellated corpuscles detect pressure change but if there's no change, they stop reporting and reach sensory adaptaion until the next pressure change.