Pré- Natal Flashcards

(27 cards)

1
Q

Qual método pode ser utilizado para investigação de cromossomopatias com 12 semanas?

A
  • Biópsia de vilo corial (10-13 semanas)
    -Amniocentese (>15 semanas)
  • Cordoncentese (> 18 semanas) -> maior risco para o feto
How well did you know this?
1
Not at all
2
3
4
5
Perfectly
2
Q

Em quais síndromes a TN e osso nasal podem estra alterados?

A

Trissomias 13 (Patau), 18 (Edwards) e 21 (Down)

How well did you know this?
1
Not at all
2
3
4
5
Perfectly
3
Q

Quais são os exames não invasivos de rastreamento de cromossomopatias?

A

Além disso, existe o NIPT

How well did you know this?
1
Not at all
2
3
4
5
Perfectly
4
Q

Até qual semana chamamos de embrião?

A

Até a 8ª semana pela DUM -> após isso, chama-se de feto

How well did you know this?
1
Not at all
2
3
4
5
Perfectly
5
Q

A partir de qual semana os movimentos fetais costumam ser sentidos pela mãe?

A

20ª semana

How well did you know this?
1
Not at all
2
3
4
5
Perfectly
6
Q

Sinais de presunção de gravidez?

A

Sintomas gerais + pele e mamas

How well did you know this?
1
Not at all
2
3
4
5
Perfectly
7
Q

Suplementação de ácido fólico em gestações com risco de defeitos no tubo neural?

A
  • 4mg/dia pelo menos 30 dias antes da concepção até 12ª semana de gestação.
How well did you know this?
1
Not at all
2
3
4
5
Perfectly
8
Q

Qual a melhora vacina de Covid-19 para gestante?

A

1ª opção -> Pfizer
2ª opção -> coronavac

How well did you know this?
1
Not at all
2
3
4
5
Perfectly
9
Q

Quais vacinas não podem ser aplicadas na gestante?

A
How well did you know this?
1
Not at all
2
3
4
5
Perfectly
10
Q

Como saber se uma gestação está evoluindo inicialmente?

A
How well did you know this?
1
Not at all
2
3
4
5
Perfectly
11
Q

Em qual trimestre não devemos prescrever AINES para gestantes?

A

3º trimestre -> risco de fechamento do canal arterial

How well did you know this?
1
Not at all
2
3
4
5
Perfectly
12
Q

Como é a onda A reversa no USG doppler? O que ela indica?

A

Indica maiores chances de cromossomopatia e malformação cardíaca

How well did you know this?
1
Not at all
2
3
4
5
Perfectly
13
Q

Qual componente do líquido amniótico apresenta-se em quantidade constante durante toda a gestação?

A

Lipídeos -> pois formam as membranas ovulares e são importantes para o desenvolvimento fetal

How well did you know this?
1
Not at all
2
3
4
5
Perfectly
14
Q

Ações estrogênicas na gestação?

A
  • Estimulam a produção da prolactina hipofisária -> inibe a lactação durante a gestação
  • Produção de substratos da renina -> aumento da atividade do SRAA
How well did you know this?
1
Not at all
2
3
4
5
Perfectly
15
Q

Gestante com DIP, conduta?

A

Internação + ATB venoso.
Não se usa Doxicilina em gestante -> Opção clindamicina 900mg, IV, 8/8h por 14 dias + Gentamicina 3-5mg/kg, IV, 24/24h por 14 dias

How well did you know this?
1
Not at all
2
3
4
5
Perfectly
16
Q
A
  • Candidíase vaginal
  • Vaginose citolítica -> aumento dos lactobacillus e escassez de leucócitos
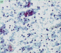
17
Q

Corrimento pastoso esbranquiçado, coceira que piora no período pré-menstrual, dispareunia, ardor vaginal, melhora transitória com cremes vaginais. Qual o diagnóstico? Tratamento?

A
  • Vaginose citolítica
  • Duchas com bicarbonato de sódio diluído em água morna de 2-3x por semana até resolução do quadro
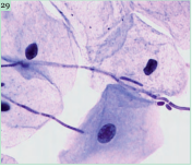
18
Q

Qual o diagnóstico?

A
  • Candidíase vaginal
19
Q

Leucorreia mal cheirosa, iniciou há 6 dias após relação sexual desprotegida. Qual o diagnóstico e tratamento?

A
  • Tricomoníase
  • Metronidazol 2g VO dose única OU 250mg, 2cp, 12/12h por 7 dias
20
Q

Agentes etiológicos mais comuns da vaginite atrófica?

A
  • E. coli
  • Streptococcus agalactiae
  • Staphylococcus aureus
  • Enterococcus faecalis
21
Q

Quais são os critérios de Amsel para diagnóstico de VB?

22
Q

Qual vulvovaginite apresenta piora antes do período menstrual?

23
Q

Qual vulvovaginite piora após coito e durante a menstruação?

A

Vaginose bacteriana

24
Q

Principal sintoma do líquen escleroso vulvar?

A

Prurido vaginal

25
Pode usar fluconazol oral na gestação para tratamento de candidíase?
Não -> risco de teratogenicidade, optar pelo tratamento com creme vaginal
26
Bacilos de Dordelein + Hifas identificados na citologia oncótica de pacientes assintomáticas, qual a conduta?
Nenhuma
27