Ectopic pregnancy RF
Assisted conception
Hx of PID
Endometriosis
Tubal surgery
Previous ectopic (recurrence is 10-20%)
Higher maternal age
Smoking
IUCD POP - if pregnant, more likely to be ectopic
S+S Ectopic
Amenorrhoea, pain, bleeding (small amounts, often brown), shoulder tip pain, cervical excitation, adnexal tenderness
Ectopic investigations
TVUSS
Serum hCG - should double in 48 hours. Suboptimal rise = ectopic Laparoscopy = gold standard
Serum progesterone is helpful to see if pregnancy is failing (<20 = failing)
hCG >1500 should be seen with TVUSS if viable intrauterine
Management of ectopic (circumstances for each) + risk of death
Expectant = if stable AND: asymptomatic, hCG <1500, no fetal cardiac activity, can come into hospital easily
Medical = methotrexate IM - measure hCG at day 4 and day 7. Choice is given if gCG 1500-5000
Another dose given if hCG decrease is <15% on days 4-7.
Use reliable contraception for 3 months.
Side effects: conjunctivitis, stomatitis, GI upset. Give anti-D
Surgical (if there is fetal heart activity, pain, hCG >5000, adnexal mass >35mm) = salpingostomy if rupture has not occurred.
Salpingectomy if there is a rupture
Risk of death 1:2000
Molar pregnancy aetiology + types
Abnormal overgrowth of placenta Hyatidiform mole = overgrowth is benign.
Partial mole = part develops normally, due to 2 sperm entering egg. May be a developing fetus but has genetic abnormalities
Complete = whole placenta is abnormal, no developing fetus. Due to 1 sperm entering egg but only half genetic material present.
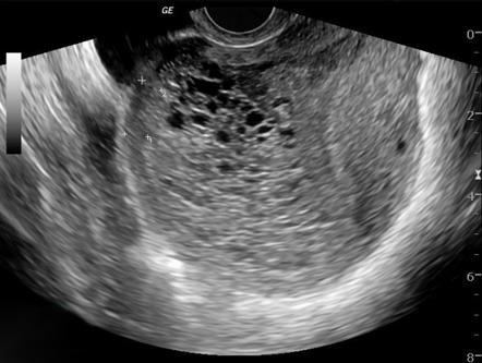
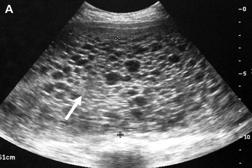
Appears as snowstorm on USS, with hydropic villi + large theca lutein cysts
Choriocarcinoma = placenta becomes malignant

Molar pregnancy RF
>40 or <15 y/o
Previous molar pregnancy (10% risk of recurrence)
Ethnicity: higher in east Asia
S+S Molar pregnancy
Irregular first trimester bleeding
Uterus large for dates
Pain from theca lutein cysts due to ovarian hyperstimulation (due to increased hCG)
Exaggerated pregnancy symptoms = hyperemesis, hyperthyroidism, early pre-eclampsia
Molar pregnancy investigations + management (+ follow up)
USS - snowstorm appearance, large lutein cysts
High hCG. Must be taken every 14 days
SURGICAL EVAC
Once levels normal, test urine every month for hCG
Do not become pregnant til normal for 6 months
If abnormal levels after surgical evac, methotrexate + folinic acid are given

How does BP change in pregnancy
Decreases in early pregnancy until 24 weeks due decrease in vascular volume
Increases after 24 weeks due to increase in stroke volume
Decreases after delivery but may peak again 3-4 days postpartum
Existing HTN in pregnancy - what are you at risk of, management of HTN
At risk of: pre-eclampsia, IUGR, placental abruption, stroke
Stop ACEi + ARBs
Use Ca ch blockers or B blockers
Pre-eclampsia pathology + diagnosis
HTN + proteinuria
Blood vessel endothelial cell damage - exaggerated maternal inflammatory response
Vasospasm, increased capillary permeability + clotting dysfunction
Increases vascular resistance, permeability + reduced placental blood flow
140/90 + >300mg protein in 24hr collection or PCR >30
Pre-eclampsia risk factors
Previous pre-e
Extremes of age
Fam hx
Obesity
Primip
Twins
Fetal hydrops
Hyatidiform mole
HTN, DM, thrombophilias
Pre-eclampsia complications for mother + fetus
Mother: eclampsia, CVAs, liver/ renal failure, HELLP, DIC, pulmonary oedema
Fetal: IUGR, morbidity, placental abruption, pre-term birth, hypoxia
Pre-eclampsia blood results
High Hb
Low platelets
Prolonged PT + APTT
Abnormal LFTs
Increased urea + creatinine
Pre-eclampsia treatment
Magnesium sulphate to prevent eclampsia
Labetalol to reduce BP
Indications for immediate delivery in pre-eclampsia
Worsening thrombocytopaenia - beware - this means epidural CI
Worsening liver/ renal function
Severe maternal symptoms
Fetal distress HELLP/ eclampsia
Effect of diabetes on pregnancy
Hyperglycaemia in fetus - high insulin through B cell hyperplasia
Insulin acts as growth promoter - macrosomia, organomegaly + erythropoesis
Fetal polyuria = polyhydraminos
Neonatal hypoglycaemia after birth
Surfactant deficiency due to reduced production of pulmonary phospholipids = respiratory distress syndrome
Effect of pregnancy on diabetes
Ketoacidosis (associated with hyperemesis, infection, steroids + tocolytics)
Retinopathy, nephropathy = increased risk
Complications of diabetes in pregnancy (maternal, fetal, neonatal)
Maternal: UTI, candidiasis, HTN, pre-eclampsia, obstructed labour, retinopathy + nephropathy
Fetal: Miscarriage, preterm labour, polyhydraminos, macrosomia, IUGR
Neonatal: jaundice, hypoglycaemia, hypocalcaemia, hypothermia, shoulder dystocia, Erb’s palsy, respiratory distress syndrome
Glycaemic control in pregnancy
Continue insulin until in established labour then convert to sliding scale
Hyperglycaemia may occur with steroid use
Insulin requirements fall after delivery of placenta
Treatment of constipation, thrush + epilepsy in pregnancy
Constipation = laxatives but avoid stimulants
Thrush = imidazole/ clotrimazole
Epilepsy = lamotrigine - avoid sodium valproate
Treatment of chorioamnionitis, UTI, endometritis + resp infections
Chorioamnionitis = cefuroxime + metronidazole
UTI = trimethoprim (not 1st trimester) or nitrofurantoin (not 3rd trimester)
Resp infection = penicillins/ macrolides
Endometritis = co-amoxiclav
Risk factors for gestational DM
Fam hx
Obesity
Previous large baby
Previous stillbirth
PCOS
Polyhydraminos
GDM S+S
Recurrent infections
Glycosuria
Large for dates