PRINCÍPIOS BÁSICOS Flashcards

(70 cards)

1
Q

Princípios básicos de tumores ósseos

  • Epidemiologia
    • Qual o tumor ósseo mais comum?
A
  • Metástase (> 90%)
  • Osso é o 3º local em frequência de metástases
    • 1° fígado / 2° pulmão
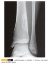
How well did you know this?
1
Not at all
2
3
4
5
Perfectly
2
Q

Princípios básicos de tumores ósseos

  • Epidemiologia
    • V ou F:
      • Carcinoma de próstata e mama quando evoluem com metástase acometem o osso em mais de 80% dos casos.
A
  • Verdadeiro
How well did you know this?
1
Not at all
2
3
4
5
Perfectly
3
Q

Princípios básicos de tumores ósseos

  • Quais as principais queixas (4)?
A
  • Dor (mais comum)
  • Massa em crescimento (dolorosa ou não)
  • Achado incidental (radiografia ou RNM)
  • Fratura patológica

Febre não é comum

How well did you know this?
1
Not at all
2
3
4
5
Perfectly
4
Q

Princípios básicos de tumores ósseos

  • Quais as principais características das lesões indolentes / benignas?
A
  • História longa
  • Massa indolor e estável
  • Achado incidental
How well did you know this?
1
Not at all
2
3
4
5
Perfectly
5
Q

Princípios básicos de tumores ósseos

  • Quais as principais características das lesões agressivas?
A
  • História curta e exuberante
  • Massa dolorosa e progressiva
  • Dor noturna e em repouso
How well did you know this?
1
Not at all
2
3
4
5
Perfectly
6
Q

Princípios básicos de tumores ósseos

  • V ou F:
    • Na relação tumor X localização, a maioria dos tumores são metafisários.
A
  • Verdadeiro
How well did you know this?
1
Not at all
2
3
4
5
Perfectly
7
Q

Princípios básicos de tumores ósseos

  • Na relação tumor X localização, quais os principais tumores epifisários (3)?
A
  • Condroblastoma (10 a 25 anos)
  • Tumor de células gigantes (20 a 40 anos)
  • Condrobastoma de células claras (raras)
How well did you know this?
1
Not at all
2
3
4
5
Perfectly
8
Q

Princípios básicos de tumores ósseos

  • Na relação tumor X localização, quais os principais tumores diafisários (4)?
A
  • Sarcoma de Ewing
  • Linfoma
  • Displasia fibrosa
  • Osteoma osteóide
How well did you know this?
1
Not at all
2
3
4
5
Perfectly
9
Q

Princípios básicos de tumores ósseos

  • De forma geral, quais pilares devem ser considerados na avaliação radiográfica (4)?
A
  • Características do indivíduo
  • Características gerais da lesão
  • Características específicas da lesão
  • Características que denotam agressividade

De fora para dentro + características gerais → específicas

How well did you know this?
1
Not at all
2
3
4
5
Perfectly
10
Q

Princípios básicos de tumores ósseos

  • Qual o passo a passo para avaliar uma radiografia (9)?
A
  • 1 → Idade
    • Esqueleto maduro x imaturo
  • 2 → Localização
    • Metafisária x epifisária x diafisária
    • Cortical x medular
    • Cêntrica x excêntrica
  • 3 → Quantidade e dimensão
    • Única x múltiplas // Pequena x grande
  • 4 → Opacidade
    • Lítica x blástica x mista
  • 5 → Conteúdo
  • 6 → Margem
    • Presença de halo de esclerose // Bem delimitada x mal delimitada
  • 7 → Envolvimento cortical
    • Íntegra ou rompida
  • 8 → Extensão a partes moles
  • 9 → Reação periosteal
How well did you know this?
1
Not at all
2
3
4
5
Perfectly
11
Q

Princípios básicos de tumores ósseos

  • Descreva a lesão:
A
  • Osso esqueleticamente maduro
  • Localizada no fêmur distal, predominantemente metafisária, acometendo medula e cortical
  • Lesão única, de grande dimensão
  • Lítica
  • Sem padrões de conteúdo em específico
  • Margens mal definidas
  • Rompe a cortical medial, lateral e posterior
  • Possui extensão para partes moles
  • Sem reação periosteal visível
How well did you know this?
1
Not at all
2
3
4
5
Perfectly
12
Q

Princípios básicos de tumores ósseos

  • Quais as características da utilização da radiografia na investigação diagnóstica?
A
  • Sempre o 1° exame
  • Baixo custo
  • Alta disponibilidade
  • Limitado em ossos “tridimensionais” (pelve e escápula)
How well did you know this?
1
Not at all
2
3
4
5
Perfectly
13
Q

Princípios básicos de tumores ósseos

  • A tomografia é um bom exame para… (3)
A
  • Avaliação do comprometimento cortical + calcificações
  • Diagnóstico de osteoma osteóide (padrão ouro)
  • Visualização de nódulos / metástase pulmonar (padrão ouro)
How well did you know this?
1
Not at all
2
3
4
5
Perfectly
14
Q

Princípios básicos de tumores ósseos

  • Na avaliação por imagem, qual exame é padrão ouro para o estadiamento local?
A
  • Ressonância magnética
    • Deve ser realizada com contraste
    • Avalia melhor a extensão local da doença

Exame essencial, principalmente na ponderação T1

How well did you know this?
1
Not at all
2
3
4
5
Perfectly
15
Q

Princípios básicos de tumores ósseos

  • Na avaliação por imagem, qual a utilidade da cintilografia (Tn - 99)?
A
  • Estadiamento ósseo
  • Capta em áreas formadoras de osso
  • ⬆ Sensibilidade
  • ⬇ Especificidade
  • Lesões de falso negativo no Mieloma múltiplo
How well did you know this?
1
Not at all
2
3
4
5
Perfectly
16
Q

Princípios básicos de tumores ósseos

  • Além do RX, TC, RNM e cintilografia, quais outros exames de imagem, em menor escala, podem ser utilizados (2)?
A
  • AngioRM
  • PET-CT
How well did you know this?
1
Not at all
2
3
4
5
Perfectly
17
Q

Princípios básicos de tumores ósseos

  • Qual a utilidade dos exames laboratoriais?
A
  • “Dizer como o tumor está no organismo”
  • Diagnóstico
  • Prognóstico
How well did you know this?
1
Not at all
2
3
4
5
Perfectly
18
Q

Princípios básicos de tumores ósseos

  • Na suspeita de tumor primário, visando o estadiamento local, quais exames de imagem podem ser solicitados (2)?
A
  • Radiografias
  • RNM com contraste de todo osso longo (busca de metástase)
How well did you know this?
1
Not at all
2
3
4
5
Perfectly
19
Q

Princípios básicos de tumores ósseos

  • Na suspeita de tumor primário, visando o estadiamento sistêmico, quais exames de imagem podem ser solicitados?
A
  • TC de pulmão com contraste (1° sítio de metástase) +
  • Cintilografia óssea (2° sítio de metástase)
How well did you know this?
1
Not at all
2
3
4
5
Perfectly
20
Q

Princípios básicos de tumores ósseos

  • Na suspeita de sarcoma de partes moles, visando o estadiamento, quais exames de imagem podem ser solicitados?
A
  • Cintilografia é dispensável
  • Considerar pesquisa de linfonodos com USG / TC / PET-CT
How well did you know this?
1
Not at all
2
3
4
5
Perfectly
21
Q

Princípios básicos de tumores ósseos

  • Na suspeita de tumor primário, visando o estadiamento, quais exames laboratoriais podem ser solicitados?
A
  • Hemograma
  • Uréia e creatinina (função renal)
  • Enzimas hepáticas (pensando em QT)
  • Proteínas totais e frações (cicatrização)
  • VHS, PCR, FA e LDH (valor prognóstico)
How well did you know this?
1
Not at all
2
3
4
5
Perfectly
22
Q

Princípios básicos de tumores ósseos

  • Na suspeita de tumor secundário, visando o estadiamento local, quais exames de imagem podem ser solicitados?
A
  • Radiografias
  • RNM com contraste de todo osso longo (busca de metástase)
  • Fratura patológica → considerar TC (melhor para fratura e edema)
How well did you know this?
1
Not at all
2
3
4
5
Perfectly
23
Q

Princípios básicos de tumores ósseos

  • Na suspeita de tumor secundário, visando o estadiamento sistêmico, quais exames de imagem podem ser solicitados (de acordo com cada sítio)?
A
  • Prostáta → PSA
  • Mama → mamografia NÃO é exame de rotina
  • Pulmão → TC de tórax
  • Rins → TC de abdômen / Pelve com contraste
  • Tireóide → TSH e T4L + USG (não são padrões)
  • Mieloma múltiplo → Hemograma e eletroforese de proteínas

Identificar mais lesões → cintilografia óssea

How well did you know this?
1
Not at all
2
3
4
5
Perfectly
24
Q

Princípios básicos de tumores ósseos

  • Classificação de Enneking para lesões benignas (3):
A
  • B1 → latente
  • B2 → ativo
  • B3 → agressivo

  • Todo tumor benigno começa com B
  • 1, 2 ou 3 vai determinar se o tumor é latente, ativo ou agressivo, respectivamente

How well did you know this?
1
Not at all
2
3
4
5
Perfectly
25
# Princípios básicos de tumores ósseos - Dentro da **classificação de Enneking** para tumores ósseos **benignos**, quais as principais características das **lesões latentes (B1)**?
- Baixa atividade biológica - Margem bem definida → **esclerose ao redor** - Geralmente achado incidental de exame - *Ex: fibroma não ossificante*
26
# Princípios básicos de tumores ósseos - Dentro da **classificação de Enneking** para tumores ósseos **benignos**, quais as principais características das **lesões ativas (B2)**?
- Sintomático - Destruição óssea limitada → **afila a cortical / não rompe a cortical** - Pode apresentar fratura patológica - *Ex: cisto ósseo aneurismático*
27
# Princípios básicos de tumores ósseos - Dentro da **classificação de Enneking** para tumores ósseos **benignos**, quais as principais características das **lesões agressivas (B3)**?
- Sinais de agressividade - Destruição óssea / extensão para partes moles → **rompe a cortical** - Não respeita barreiras naturais - *Ex: tumor de células gigantes*
28
# Princípios básicos de tumores ósseos - Dentro da **classificação de Enneking** para tumores ósseos **malignos**, quais os parâmetros a serem avaliados (3)?
- **Grau histológico** → obtido na biópsia (*representado por número - **I** = baixo grau, **II** = alto grau ou **III** = metástase*) - **Localização** → obtido por imagens (*representado por letras - **A** = intracompartimental ou **B** = extracompartimental*) - **Metástase** → principal fator prognóstico dos tumores ósseos malignos
29
# Princípios básicos de tumores ósseos - Dentro da **classificação de Enneking** para tumores ósseos **malignos**, quais as principais características das **lesões de baixo grau ("I")**?
- Células bem diferenciadas - Pouca mitose - Sem ou poucas atipias celulares - Pouca necrose - Sem invasão vascular - Risco de metástase < 25% - Podem ser subdivididas em - **"A" → intracompartimental** - **"B" → extracompartimental**
30
# Princípios básicos de tumores ósseos - Dentro da **classificação de Enneking** para tumores ósseos **malignos**, quais as principais características das **lesões de alto grau ("II")**?
- Células diferenciadas - Mitoses frequentes - Tem atipias celulares - Presença de necrose - Invasão vascular - Alta relação célula / matriz - Podem ser subdivididas em - **"A" → intracompartimental** - **"B" → extracompartimental**
31
# Princípios básicos de tumores ósseos - Dentro da **classificação de Enneking** para tumores ósseos **malignos**, há diferenciação se a **metástase ("III")** é óssea ou pulmonar?
- **Não!**
32
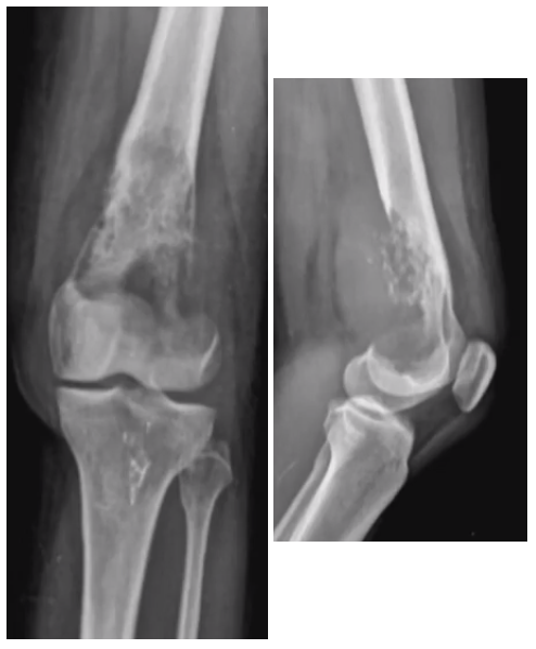
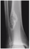
# Princípios básicos de tumores ósseos - Com base na imagem, classifique de acordo com Enneking:
- **B1 → latente** (*presença de esclerose*)
33
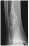
# Princípios básicos de tumores ósseos - Com base na imagem, classifique de acordo com Enneking:
- **B2 → ativo** (*afila a cortical*)
34
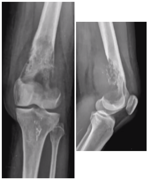
# Princípios básicos de tumores ósseos - Com base na imagem, classifique de acordo com Enneking:
- **B3 → agressivo** (*rompe a cortical*)
35
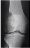
# Princípios básicos de tumores ósseos - De acordo com a imagens e as características listadas abaixo, classifique de acordo com Enneking: - Tumor maligno - Baixo grau - Sem metástase
- Baixo grau → **I** - Extracompartimental (extensão para partes moles visto na radiografia) → **B** - Classificação de Enneking → **I B**
36
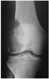
# Princípios básicos de tumores ósseos - De acordo com a imagens e as características listadas abaixo, classifique de acordo com Enneking: - Tumor maligno - Osteossarcoma clássico de alto grau na biópsia - Sem metástase
- Alto grau → **II** - Extracompartimental (extensão para partes moles visto na radiografia) → **B** - Classificação de Enneking → **II B**
37
# Princípios básicos de tumores ósseos - Classificação de Enneking (*Campbell*):
38
# Princípios básicos de tumores ósseos - Classificação da **AJCC** para **sarcomas ósseos**:
- Leva em consideração o **grau**, **tamanho** e **metástase** - Diferencia em metástase "não pulmonar" e "pulmonar"
39
# Princípios básicos de tumores ósseos - Classificação da **AJCC** para **sarcomas de partes moles**:
- Leva em consideração o **grau**, **tamanho**, **"profundidade"** e **metástase**
40
# Princípios básicos de tumores ósseos - A biópsia é a ______ (primeira / última) etapa do diagnóstico dos tumores ósseos.
- última
41
# Princípios básicos de tumores ósseos - Porque **não** biopsiar direto (primeiro)?
- Não incorrer em técnica inadequada (*pela falta de estadiamento prévio*) - Diminuir a contaminação (*pelo trajeto*) - Não comprometer a via cirúrgica - Pode ser desnecessária (*ex: mieloma múltiplo*) - Descobrir melhor acesso à lesão (*por meio da realização de imagens*) - Preparar melhor - Não comprometer o exame de imagem
42
# Princípios básicos de tumores ósseos - Quais os principais tipos de biópsia (4)?
- **PAAF (Punção Aspirativa por Agulha Fina)** - **Core Biópsia** - **Trefina (agulha de Jamshidi)** - **Biópsia cirúrgica incisional**
43
# Princípios básicos de tumores ósseos - Características da biópsia por **"PAAF" (Punção Aspirativa por Agulha Fina)**:
- Utiliza-se uma seringa e uma agulha fina - Não é usada rotineiramente na oncologia ortopédica - **Só fornece células** - Pode detectar malignidade em até **90% dos casos**
44
# Princípios básicos de tumores ósseos - Características da **Core Bióspsia**:
- Diferente da PAAF, esta **fornece tecido**
45
# Princípios básicos de tumores ósseos - Características da biópsia por **trefina (agulha de Jamshidi)**:
- Diferente da PAAF, esta, assim como a Core biópsia, também **fornece tecido** - Também é utilizada em biópsia de médula óssea - Pode ser guiada por radioscopia ou por TC em lesões de mais difícil acesso
46
# Princípios básicos de tumores ósseos - Característica da biópsia **incisional**:
- Realizada através de uma incisão na pele, de forma aberta - **Fornece tecido**
47
# Princípios básicos de tumores ósseos - Qual o **padrão ouro** de biópsia?
- **Cirúrgica incisional** ## Footnote *Em contrapartida, é um método com muitas complicações*
48
# Princípios básicos de tumores ósseos - Quais os princípios da **biópsia incisional**?
- Ter em mente de que o trajeto da biopsia é contaminado - *A incisão deve ser longitudinal ao membro (facilita o fechamento sem necessidade de reconstrução)* - Hemostasia meticulosa - Torniquete por elevação - Dreno, se utilizado, deve ser posicionado ao longo da ferida operatória - *Deixar janelas arredondadas nos ossos para evitar fraturas patológicas* - Coletar cultura - Não incisar no foco de fratura (se houver) - Sempre realizar congelação das amostras - Evitar anestésico local - *Evitar expor o feixe vascular* - *Preferir acessos unicompartimentais*
49
# Princípios básicos de tumores ósseos - Quais as indicações da **biópsia excisional**?
- Lesões superficiais - < 3 cm - Exames de imagem compatíveis com benignidade
50
# Princípios básicos de tumores ósseos - Quais tumores **NÃO** devem ser biopsiados para obtenção de diagnóstico? (*5 lesões + Mieloma Múltiplo*)?
- **Cisto ósseo simples** (COS) - **Encondroma** (*para diferenciar de Condrosarcoma de baixo grau realiza-se curetagem*) - **Osteocondroma** - **Osteoma osteóide** - **Fibroma não ossificante** (FNO) - **Mieloma múltiplo** (MO) - A lesão lítica não precisa ser biopsiada, mas a medula, para o diagnóstico, se faz necessário
51
# Princípios básicos de tumores ósseos - Quais os pilares do tratamento (3)?
- **Neoadjuvância** → realizado **antes** do tratamento principal (*ex: quimioterapia e/ou radioterapia*) - **Controle local** → **ação direta no tumor** (*ex: cirurgia, podendo ser radioterapia ou quimioterapia também*) - **Adjuvância** → realizado **após** o tratamento principal (*ex: quimioterapia e/ou radioterapia*)
52
# Princípios básicos de tumores ósseos - Os efeitos da quimioterapia são ______(sistêmicos / locais), enquanto os efeitos da radioterapia são _______ (sistêmicos / locais)
- **Sistêmicos** (*na quimioterapia*) - **Locais** (*na radioterapia*)
53
# Princípios básicos de tumores ósseos - Qual o principal mecanismo de ação da radioterapia?
- Formação de radicais livres intracelular → apoptose celular
54
# Princípios básicos de tumores ósseos - Qual o principal objetivo da radioterapia?
- Ofertar a maior dose possível, sem comprometer o tecido normal
55
# Princípios básicos de tumores ósseos - Para quais tumores a radioterapia está indicada?
- Carcinomas metastáticos para o osso - Mieloma múltiplo - Linfoma - Sarcoma de Ewing - Sarcoma de partes moles
56
# Princípios básicos de tumores ósseos - Nas metástases ósseas, o sítio primário que mais produz lesões ósseas tipicamente resistentes a **radioterapia** é o...
- **Rim** Bizu: **RRR** → **R**im **R**esistente a **R**adioterapia
57
# Princípios básicos de tumores ósseos - Quais as principais **complicações precoces** do tratamento com radioterapia?
- **Irritação da pele (*mais frequente*)** - Deiscência de ferida - Infecção - Linfedema no membro
58
# Princípios básicos de tumores ósseos - Quais as principais **complicações tardias** do tratamento com radioterapia?
- **Fratura patológica** (*nos 5 primeiros anos é de 25%*) - **Transformação maligna** (*desenvolvimento de **osteossarcoma** em torno de 10 anos após o término da radioterapia*) - **Fechamento precoce da fise**
59
# Princípios básicos de tumores ósseos - De forma geral, onde atua a quimioterapia?
- **No ciclo celular** - Não é indicada para tumores de baixo grau (*aplica-se para radioterapia também*) | *Obs: **Nunca é indicada para tumores benignos***
60
# Princípios básicos de tumores ósseos - Quais as principais indicações para o tratamento com quimioterapia?
- **Tumores malignos de alto grau**
61
# Princípios básicos de tumores ósseos - Com relação ao acesso cirúrgico, qual o *critério oncológico* para ressecção de tumores ósseos e de partes moles?
- **Via de acesso direto à lesão** - *Não se utiliza planos internervos* para evitar disseminação
62
# Princípios básicos de tumores ósseos - No tratamento, qual a indicação absoluta de amputação?
- **Isquemia irreversível**
63
# Princípios básicos de tumores ósseos - No tratamento, quais as indicações relativas de amputação?
- Acometimento do feixe vasculonervoso - Resposta insatisfatória à neoadjuvância - Fraturas patológicas - Impossibilidade de cobertura de partes moles após a ressecção da lesão
64
# Princípios básicos de tumores ósseos - Quais os **tipos de margens cirúrgicas** podem ser utilizados para ressecção de tumores ósseos ou de partes moles (4)?
- **Intralesional** → realizada por **dentro da lesão** (*ex: curetagem*) - **Marginal** → realizada ao redor da lesão (é retirada **sem** tecido normal em volta) - **Ampla** → margem obtida através da ressecção de uma lesão neoplásica na qual **tecidos normais são ressecados em volta da lesão** - **Radical** → margem que envolve a ressecção de **todo o compartimento**
65
# Princípios básicos de tumores ósseos No tratamento de **lesões malignas**, qual deve ser a margem de ressecção cirúrgica empregada?
- **Ampla** ## Footnote *Exceto para **lipossarcoma e condrossarcoma de baixo grau***
66
# Princípios básicos de tumores ósseos - Qual o critério radiológico utilizado para o tratamento cirúrgico **ablativo (amputação)** ou **preservador**?
- **Corte axial de ressonância magnética (RNM)** - Tumor volumoso englobando o **feixe vasculonervoso** é indicação de amputação // o contrário é preservação
67
# Princípios básicos de tumores ósseos - As metástases ósseas decorrentes dos tumores do **rim**, **tireóide**, **próstata**, **mama** e **pulmão** apresentam, respectivamente, qual tipo de padrão? (*lítico / blástico / misto*)?
- **Rim** → lítico - **Tireóide** → lítico - **Próstata** → blástico - **Mama** → blástico / misto (*divergência na literatura*) - **Pulmão** → lítico / misto (*divergência na literatura*)
68
# Princípios básicos de tumores ósseos - A fratura por avulsão Isolada que deve levantar suspeita de uma doença metastática oculta é a do...
- Trocanter menor
69
# Princípios básicos de tumores ósseos - A quimioterapia como terapia neoadjuvante e adjuvante no tratamento dos osteossarcomas deve ser aplicada quanto tempo antes e após a ressecção cirúrgica?
- Cerca de **3 semanas antes** e **2 semanas após** a ressecção cirúrgica
70
# Princípios básicos de tumores ósseos - A biópsia excisional pode ser utilizada nas situações em que o tumor seja...
- **< 3 cm e superficial a fáscia**