how do PT and APTT differ?
stimulate different arms of the coagulation cascade

what is the pressure-volume curve?
what does it reflect?
what does it look like in diastole/systole
yaxis = LV pressure
xaxis = LV volume
shows that as volume in the LV increases, the pressure inside increases
in diastole: - hits a limit where to increase volume further, have to massively increase pressure
in systole - get a plateau with a taller curve

annotate


annotate LV pressure loop


which heart sounds are found at which part of the LV pressure-volume loop?

describe how cardiac pacemaker cells set the intrinsic heart rate
3 phases
Phase 0 - upstroke
phase 3
phase 4

how do parasympathetics slow the heart rate
Ach binds M2 receptors
m2 also open K+ channels - this is a hyperpolarising current

how do sympathetics accelerate the sa node
NA -> binds B1 adrenoceptor
can trigger dysrhythmias
increase HR too much - can’t cope
dose determines effect

Histology of atheroma (low power)
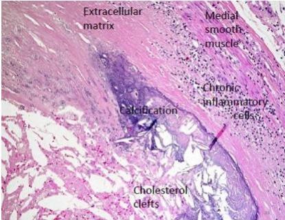
Histology of atherosclerotic plaque
+ necrotic debris
+ lipids
+ foam cells

What is a foam cell?
Macrophage with foamy cytoplasm - lipid rich
Steps in healing of atherothrombus
heals by organisation
=> thrombus is replaced by fibrovascular granulation tissue
this turns into scar tissue
in larger vessels - also see recanalisation
What are important sites of atherosclerosis? (5)
Consequence of atherosclerosis in renal artery
renal artery stenosis - causes atrophy of one kidney -> can cause hypertension
renal infarct - embolism in a kidney - necrosis
Risk factors for atherosclerosis
How do age and gender impact on risk of atherosclerosis?
Age + gender
Women
How does hypertension increase risk of atherosclerosis?
shear stress on blood vessels- subtly damages endothelium
What is a genetic RF for atherosclerosis?
genetics= mutlifactorial
familial hypercholesterolaemia - small % of cases (atherosclerosis at young age)
How does diabetes predispose to atherosclerosis?
oxidative stress and endothelial alterations:
Diabetics have altered balance of LDL and HDL - smaller denser LDL = ‘diabetic dyslipidaemia’
How does cigarette smoking predispose to atherosclerosis?
Toxic damage
May promote thrombosis -> increase risk of complications from atherosclerosis
How does your lipoproteins profile change susceptiblity to atherosclerosis
influenced by genetics, diet
What are some possible complications of atherosclerosis (3)
How does thrombus occur in atherosclerosis
Aneurysm classifications
Which type does atherosclerosis usually form
True aneurysm (saccular) - focal dilation = berry aneurysm
True aneuryms (fusiform) - entire circumference
atherosclerosis: fusiform
