Problema 2 Flashcards

(55 cards)

1
Q

colelitiase fatores de risco

A
  • predisposição genética
  • dismotilidade vesicular (estase)
  • dieta pobre em fibras
  • idade > 60 anos
How well did you know this?
1
Not at all
2
3
4
5
Perfectly
2
Q

definição litíase biliar

A
  • presença de um ou mais cálculos dentro da vesícula biliar
How well did you know this?
1
Not at all
2
3
4
5
Perfectly
3
Q

colelitiase classificação

A
  • cálculos de colesterol
  • calculos pigmentados
How well did you know this?
1
Not at all
2
3
4
5
Perfectly
4
Q

calculos de colesterol - patogenia

A
  • supersaturação de colesterol: o aumento isolado da concentração de colesterol ou de uma redução nas concentrações de solubilizantes (obesidade, idade e efeitos de drogas são os mais comuns na geração de aumento na síntese e na secreção de colesterol)
  • aceleração da nucleação: mais importante fator pró-nucleação é a glicoproteína mucina que pode se ligar e promover a matriz para a formação do cálculo
  • hipomotilidade vesicular (estase): esvaziamento incompleto da bile, facilitando o desenvolvimento de cálculos em seu interior
  • -
How well did you know this?
1
Not at all
2
3
4
5
Perfectly
5
Q

calculos de colesterol - características

A
  • 80% dos casos
  • amarelados
  • medem de 1mm a 4 cm
  • podem ser puros (100% colesterol) ou mistos (70% colesterol e quantidades variáveis de sais de cálcio, sais biliares, proteínas)
How well did you know this?
1
Not at all
2
3
4
5
Perfectly
6
Q

calculos pigmentados - patogenia

A
  • formados pela precipitação de bilirrubina na bile.
  • ## Esse processo pode ocorrer como consequência ao aumento da concentração de cálcio ionizado ou pelo aumento de ânions de bilirrubina desconjugada na bile
How well did you know this?
1
Not at all
2
3
4
5
Perfectly
7
Q

calculos pigmentados - calculos preto - características

A
  • consistem de bilirrubinato de cálcio
  • formados na vesícula
  • não tem mais de 1cm
  • relacionados à hemólise crônica
  • cirrose hepática, síndrome de gilbert estão relacionados a seu desenvolvimento
  • ocorre por aumento da secreção de bilirrubina não conjugada
How well did you know this?
1
Not at all
2
3
4
5
Perfectly
8
Q

calculos pigmentados - calculos castanhos - características

A
  • composto por bilirrubinato de cálcio, colesterol e sais de cálcio
  • decorrentes de infecção crônica bacteriana na bile
  • E.coli esta presente em 90% dos casos
  • ocorre por estase biliar nos ductos biliares e infecção bacteriana na bile
How well did you know this?
1
Not at all
2
3
4
5
Perfectly
9
Q

QC colelitíase

A
  • dor aguda contínua (dor biliar), localizada no hipocôndrio direito irradiada para epigástrio
  • irradiação para escápula
  • intensidade maior no período de 30 minutos a 5 horas de seu início
  • náuseas e vômitos
  • dor ocorre após refeição
  • não ocorre febre ou sinais de reação inflamatória
  • Caso o quadro se prolongue (> 5 horas) , deve-se suspeitar de complicações
How well did you know this?
1
Not at all
2
3
4
5
Perfectly
10
Q

USG colelitíase

A
  • método de escolha
  • primeiro exame a ser solicitado
  • achado característico é um ou mais focos hiperecogênicos móveis com sombra acústica dentro da vesícula biliar que se move de acordo com a posição do paciente
  • visualiza também o espessamento da vesícula
How well did you know this?
1
Not at all
2
3
4
5
Perfectly
11
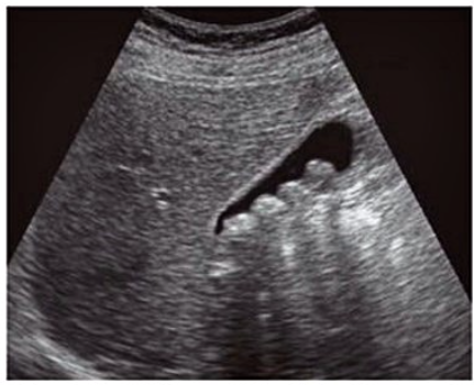
Q

qual o diagnóstico e o que é observado na imagem

A
  • colelitíase
  • cálculos alinhados dentro da vesícula
  • sombra acústica
How well did you know this?
1
Not at all
2
3
4
5
Perfectly
12
Q

TC na colelitíase

A
  • útil para detecção ou exclusão de cálculos biliares, com menor sensibilidade a USG
How well did you know this?
1
Not at all
2
3
4
5
Perfectly
13
Q

colangiopancreatografia colelitíase

A
  • tem valor diagnóstico e terapêutico
  • realiza estudo do TGI alto
  • modalidade terapêutica: extração de cálculos
  • complicações: pancreatite, colangite
How well did you know this?
1
Not at all
2
3
4
5
Perfectly
14
Q

tratamento clínico - colelitíase

A
  • AINES
  • jejum
  • se resposta refratária aos AINES, utiliza-se opioides
How well did you know this?
1
Not at all
2
3
4
5
Perfectly
15
Q

tratamento cirúrgico - colelitíase

A
  • colecistectomia
  • pacientes sintomáticos: colecistectomia videolaparoscópica
  • pacientes assintomáticos: colecistectomia profilática (indicações: cálculos > 3cm, candidatos à cirúrgia bariátrica, anemia falciforme, crianças)
How well did you know this?
1
Not at all
2
3
4
5
Perfectly
16
Q

colecistite definição

A
  • processo de inflamação da vesícula, onde na maioria das vezes é resultado da obstrução do ducto cístico por um cálculo
How well did you know this?
1
Not at all
2
3
4
5
Perfectly
17
Q

fisiopatologia colecistite

A
  • implantação de um cálculo no ducto cístico, levando a um aumento na pressão intraluminal, obstrução venosa, edema, isquemia e por fim infecção bacteriana
  • todo esse processo pode evoluir para perfuração
  • cálculo impactado é a principal etiologia
  • bactéria mais proeminente é a E.coli
How well did you know this?
1
Not at all
2
3
4
5
Perfectly
18
Q

sequelas colecistite

A
  • empiema (vesícula cheia de pus)
  • perfuração
  • abscesso
  • fístula
How well did you know this?
1
Not at all
2
3
4
5
Perfectly
19
Q

colecistite QC

A
  • dor abdominal que se inicia no epigástrio e com o passar das horas se torna localizada no QSD
  • dor que persiste por mais de 6 horas e vai aumentando de intensidade
  • carater pós-prandial, piora com refeições gordurosas
  • anorexia, náuseas e vômitos
  • febre baixa a moderada
How well did you know this?
1
Not at all
2
3
4
5
Perfectly
20
Q

colecistite exame físico

A
  • região subcostal direita hipersensível à palpação
  • sinal de Murphy pode estar presente
  • pode encontrar massa palpável em 15% dos pacientes, confirmando o diagnóstico
How well did you know this?
1
Not at all
2
3
4
5
Perfectly
21
Q

colecistite - exames laboratoriais

A
  • leucocitose
  • aumento discreto de bilirrubina
  • aumento discreto de TGO
  • aumento de amilase sérica
How well did you know this?
1
Not at all
2
3
4
5
Perfectly
22
Q

USG colecistite

A
  • primeiro exame
  • achados que sugerem colecistite: demonstração de cálculos no colo da vesícula, espessamento da parede da vesícula, sinal de Murphy ultrassonográfico (dor quando o transdutor está sobre a vesícula), aumento do diâmetro do fundo da vesícula
How well did you know this?
1
Not at all
2
3
4
5
Perfectly
23
Q

cintilografia colecistite

A
  • exame + acurado
  • na maioria das vezes não precisa, pois a USG já detecta e é mais acessível
24
Q

colecistite - manejo clínico

A
  • internação hospitalar
  • hidratação venosa
  • analgesia
  • dieta zero
  • antibióticoterapia parenteral
25
colecistite - tratamento definitivo
- colecistectomia videolaparoscópica
26
coledocolitíase definição
- presença de cálculos biliares no ducto biliar comum
27
coledocolitíase - classificação
- primária: formação de cálculos dentro do ducto biliar comum, ocorre nos casos de estase e infecção biliar - secundária: passagem de cálculos biliares da vesícula para o ducto biliar comum
28
coledocolitíase - QC
- podem permanecer assintomáticos por anos e expelir os cálculos pela ampola de Vater no duodeno - dor do tipo biliar (QSD ou epigástrio, podendo irradiar para escápula direita e dorso) - semelhante a colelitíase - icterícia (leve a moderada) - colúria - acolia fecal - náuseas e vômitos - surtos transitórios de síndrome colestática e icterícia flutuante
29
coledocolitíase - exame físico
- hipocôndrio direito ou sensibilidade epigástrica - sinal de Courvoisier (uma vesícula biliar palpável no exame físico) pode ser observado quando a dilatação da vesícula biliar se desenvolve
30
coledocolitíase - exames laboratoriais
- alanina aminotransferase (ALT) e aspartato aminotransferase (AST) são tipicamente elevadas no início da evolução da obstrução biliar - testes hepáticos são tipicamente elevados em um padrão colestático, com aumentos na bilirrubina sérica, fosfatase alcalina e gama-glutamil transpeptidase (GGT) excedendo as elevações séricas de ALT e AST
31
coledocolitíase - complicações
- pancreatite - colangite
32
USG - coledocolitíase
- CBD dilatado na ultrassonografia transabdominal é sugestivo, mas não específico para, coledocolitíase - cálculos nas vias biliares - USG não é confirmatório
33
riscos USG - coledocolitíase
- Resultados de exames laboratoriais e ultrassonografia transabdominal são usados ​​para estratificar um paciente como de alto risco, risco intermediário ou baixo risco de ter coledocolitíase
34
alto risco - coledocolitíase - diagnóstico
- presença de uma pedra CBD no ultra-som transabdominal - Colangite aguda. - Bilirrubina sérica superior a 4 mg/dL e CBD dilatado na ultrassonografia (mais de 6 mm) - qualquer um desses é considerado alto risco
35
moderado risco - coledocolitíase - diagnóstico
- Testes bioquímicos anormais do fígado. - Idade >55. - CBD dilatado em ultra-som ou imagem transversal - qualquer um desses é considerado moderado risco
36
baixo risco - coledocolitíase - diagnóstico
- Nenhum preditor presente
37
alto risco - coledocolitíase - manejo
- CPRE (padrão-ouro) com remoção de cálculos - seguida de colecistectomia
38
moderado risco - coledocolitíase - manejo
- Esses pacientes requerem avaliação adicional (colangiopancreatografia por ressonância magnética [CPRM] ou ultrassonografia endoscópica [EUS]) para descartar coledocolitíase - CPRM = colangioressonância
39
baixo risco - coledocolitíase - manejo
- colecistectomia sem investigação adicional
40
etiologia pancreatite aguda
- passagem de cálculos biliares - álcool - Hipertrigliceridemia
41
QC pancreatite
- início agudo de dor epigástrica persistente e grave e dor abdominal no quadrante superior esquerdo - pacientes com pancreatite biliar, a dor é bem localizada e o início da dor é rápido - pacientes com pancreatite devido a causas hereditárias ou metabólicas ou álcool, o início da dor pode ser menos abrupto e a dor pode ser mal localizada - a dor irradia para as costas (dor em faixas) - náuseas e vômitos - dispneia - hipotensão
42
exame físico pancreatite
- palpação dolorosa no epigástrio ou mais difuso no abdome - distensão abdominal e sons intestinais hipoativos - icterícia escleral - febre, taquipnéia, hipoxemia e hipotensão - descoloração equimótica pode ser observada na região periumbilical (sinal de Cullen) ou ao longo do flanco (sinal de Grey Turner)
43
exames laboratoriais pancreatite
- elevações de amilase e lipase - TAP elevado - PCR elevado - leucocitose - hipocalcemia, hiperglicemia, hipoglicemina
44
melhor método de imagem na pancreatite
USG
45
TC na pancreatite
- se faz após 72h do início do quadro - avalia complicações
46
escore de baltazar
- escore de gravidade da TC (escore de Balthazar) foi desenvolvido com base no grau de necrose, inflamação e presença de coleções fluidas
47
escore de ranson
- preditor de gravidade - quanto maior a pontuação, maior a letalidade
48
escore de atlanta
49
tratamento pancreatite leve-moderada
- analgesia - hidratação venosa - controle eletrolítico e acidobásico
50
tratamento pancreatite grave
- analgesia - ressuscitação volêmica - nutrição parenteral total - ATB profilático
51
CPRE pancreatite
- indicada na presença de colangite ou icterícia progressiva moderada a grave - empregada nas primeiras 72h
52
QC colangite
- tríade de Charcot (febre, dor abdominal, icterícia) - hipotensão e alterações do estado mental (Pêntada de Reynolds) - abscesso hepático, sepse, disfunção de múltiplos órgãos e sistemas e choque
53
exames laboratoriais colangite
- leucocitose com desvio - hiperbilirrubinemia direta - aumento de fosfatase alcalina, GGT, AST e ALT
54
exames de imagem mais acurado
CPRM pode delinear claramente o ducto biliar sem o uso de contraste e tem maior precisão diagnóstica na identificação da causa da obstrução biliar em comparação com a TC e a ultrassonografia abdominal
55
tratamento colangite
- antibióticoterapia (amoxicilina + clavulanato) - desobstrução biliar (CPRE)