Processing Flashcards

(19 cards)

1
Q

Vocab

Universal solvent

A

Reagents that avoid the use of 2 solutions. They can perfom dehydration & clearing steps. Miscible with water-based solutions and paraffin.

Examples:
Dioxane
Tertiary butanol
Tetrahydrofuran

How well did you know this?
1
Not at all
2
3
4
5
Perfectly
2
Q

What are the PEL for each of the following dehydrating reagents:

Ethyl alcohol
Methyl alcohol
Isopropyl alcohol
Butyl alcohol
Acetone

A

Ethyl = 1000 ppm
Methyl = 200 ppm
Isopropyl = 400 ppm
Butyl = 100 ppm
Acetone = 1000 ppm

How well did you know this?
1
Not at all
2
3
4
5
Perfectly
3
Q

Troubleshooting

Most common problems encoutered in processing are?
(2 answers)

A

Overprocessing & Underprocessing

How well did you know this?
1
Not at all
2
3
4
5
Perfectly
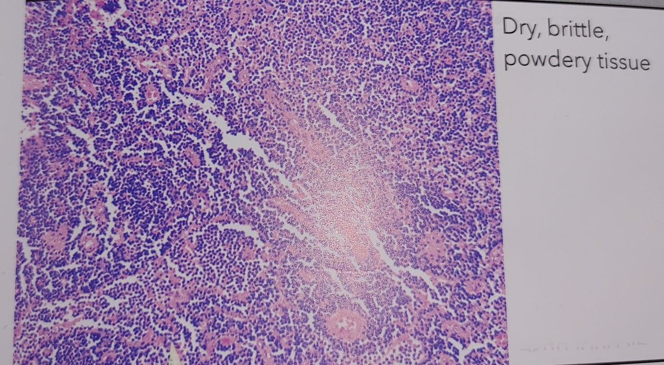
4
Q

Troubleshooting

If you encounter dry/brittle/powdery tissue, what are the casue(s) and corrective action(s)?

From Self Instruction textbook, notes & etc

A

Cause: Overhydration

Corrective Actions:
-Soak block in ice water before cutting & cut carefully, may produce better sections
-Reduce dehydration time/tem on tissue processing protocol

Compare to microchatter, & parched earth

How well did you know this?
1
Not at all
2
3
4
5
Perfectly
5
Q

Troubleshooting

If you encounter microchatter what are the casue(s) and corrective action(s)?

From Self Instruction textbook, notes & etc

A

Cause: Overdehydration

Corrective Actions:
-Soak block in ice water before cutting & cut carefully, may produce better sections
-Reduce dehydration time/tem on tissue processing protocol

Compare to Dry/brittle/powdery tissue & parched earth

How well did you know this?
1
Not at all
2
3
4
5
Perfectly
6
Q

Troubleshooting

If you encounter parched earth tissue what are the casue(s) and corrective action(s)?

From Self Instruction textbook, notes & etc

A

Cause: Overhydration

Corrective Actions:
-Soak block in ice water before cutting & cut carefully, may produce better sections
-Reduce dehydration time/tem on tissue processing protocol

Compare to microchatter & dry/brittle/powdery tissue

How well did you know this?
1
Not at all
2
3
4
5
Perfectly
7
Q

Troubleshooting

If you encounter cell shrinkage what are the casue(s) and corrective action(s)?

From Self Instruction textbook, notes & etc

A

Cause: Overdehydration

Corrective Actions:
-Reduce dehydration time/tem on tissue processing protocol

Compare to microchatter & dry/brittle/powdery tissue

How well did you know this?
1
Not at all
2
3
4
5
Perfectly
8
Q

Troubleshooting

If you encounter a block where the central tissue is not sectioning, what are the casue(s) and corrective action(s)?

From Self Instruction textbook, notes & etc

A

Causes:
-Underhydration
-Lack of infiltration
-Incorrect processing protocol used

Corrective Actions:
-Reprocess tissue
-Increase dehydration time on tissue processing protocol

Compare to concave & white bulding tissue

How well did you know this?
1
Not at all
2
3
4
5
Perfectly
9
Q

Troubleshooting

If you encounter a block where the tissue apears concave, what are the casue(s) and corrective action(s)?

From Self Instruction textbook, notes & etc

A

Causes:
-Underhydration
-Lack of infiltration
-Incorrect processing protocol used

Corrective Actions:
-Reprocess tissue
-Increase dehydration time on tissue processing protocol

Compare to central area non-sectioning & white bulding tissue

How well did you know this?
1
Not at all
2
3
4
5
Perfectly
10
Q

Troubleshooting

If you encounter a block where the tissue apears white and expands/bludges out, what are the casue(s) and corrective action(s)?

From Self Instruction textbook, notes & etc

A

Cause: Excessive soadking during microtomy

Corrective Action: Limit time of ice bath soaking

Compare to central area non-sectioning & concave tissue

How well did you know this?
1
Not at all
2
3
4
5
Perfectly
11
Q

Troubleshooting

If you encounter H&E sections where the epithelial nuclei look washed out, what are the casue(s) and corrective action(s)?

From Self Instruction textbook, notes & etc

A

Causes:
-Contaminated clearing/infiltration reagents
-Tissue not fully dehydrated

Corrective Actions:
-Reprocess tissue
-Change dehydration, clearing, & infiltration reagents on processor

Compare to nuclear bubbling & dark/hazy blue nuclei

How well did you know this?
1
Not at all
2
3
4
5
Perfectly
12
Q

Troubleshooting

If you encounter H&E sections with nuclear bubbling, what are the casue(s) and corrective action(s)?

From Self Instruction textbook, notes & etc

A

Causes:
-Incomplete fixation
-Excessive heat during dring slide

Corrective Action: Ensure minimum of 6-8hrs of fixation before processing

Compare to washed out epithelial nuclei & dark/hazy blue nuclei

How well did you know this?
1
Not at all
2
3
4
5
Perfectly
13
Q

Troubleshooting

If you encounter dark/hazy blue nuclei, what are the casue(s) and corrective action(s)?

From Self Instruction textbook, notes & etc

A

Cause: Excessive heat during processing

Corrective Action: Heat should only be used on paraffin sations during processing at 2-4C above melting point of paraffin

Compare to washed out epithelial nuclei & nuclear bubbling

How well did you know this?
1
Not at all
2
3
4
5
Perfectly
14
Q

Troublshooting

If you encounter bone dust on a slide, what are the casue(s) and corrective action(s)?

A

Cause: Bone dust pressed into the surfaces during gross sectioning

Corrective Actions: Mostly preventative
-Use saw with a diamond blade
-Trim bone surfaces after decalcification but before processing

How well did you know this?
1
Not at all
2
3
4
5
Perfectly
15
Q

Troublshooting

If you encounter hard/crunchy tissue, what are the casue(s) and corrective action(s)?

A

Cause: Inadequate decal treatment

Corrective Actions:
-Surface decalcification at microtomy
-Reprocessing with extended preprocessing decalcification
-Check endpoint of decalcificationwith radiography when in dobut (preventative)

How well did you know this?
1
Not at all
2
3
4
5
Perfectly
16
Q

Troublshooting

If you encounter difficult microtomy of decalcified tissue and/or loss of nuclear detail, what are the casue(s) and corrective action(s)?

A

Cause: Excessive decal treatment

Corrective Actions:
-Submit additional tissue if possible (retry with new sample)
-Check endpoint of decal with radiography when in doubt

17
Q

Troublshooting

If you encounter frozen section of skeletal muscle fibers with apparent holes, what are the casue(s) and corrective action(s)?

A

Cause: Freezing artifact from improper freezing of tissue that make histochemical studies worthless and/or can be mistaken for vacuoles in some muscle diseases.

Corrective Actions: None

Preventable Steps:
-Use heat extractor
-Freeze with isopentane chilled to -150C
-Use other method of rapid freezing
-Ensure tissue is not immersed in saline before freezing

Ideal H&E section of properly frozen skeletal muscle
18
Q

Troublshooting

Is the image likely an example of a routine processing issue and a frozen processing issue?

A
A

Image is an example of ice crystal artifact in a frozen section. Irregularly spaced holes. Source tissue given was brain.

Cause: Freezing artifact from improper freezing of tissue that make it diagnostically worthless.

Corrective Actions: None

Preventable Steps:
-Specficially for brain, avoid specimen sitting in saline solution for longer than 10min before freezing
-Use heat extractor
-Freeze with isopentane chilled to -150C
-Use other method of rapid freezing
-Ensure tissue is not immersed in saline before freezing

19
Q

Troublshooting

Is the image likely an example of a routine processing issue or a frozen processing issue?

B
A

Image is an example of cell shrinkage artifact in a routine section. Regularly spaced holes.

Cause: Overdehydration

Corrective Actions: Mostly just preventable step
-Reduce dehydration time/temperatures on the processing protocol