Processo de cura Flashcards

(56 cards)

1
Q

Conjunto de respostas que conduzem à resolução dos processos inflamatórios ?

A

Reparo

How well did you know this?
1
Not at all
2
3
4
5
Perfectly
2
Q

Processo de reparo com restauração da esturutra normal daquele tecido, as células que morreram são substituídas por células do mesmo parênquima :

A

Regeneração

Nesse caso, as células que sofreram necrose durante a resposta inflamatória são substituídas por células iguais, do mesmo tecido (não há perda de capacidade funcional)

How well did you know this?
1
Not at all
2
3
4
5
Perfectly
3
Q

Processo de reparo em que as células que foram lesadas vão ser substituídas por tecido fibroso:

A

Cicatrização

Nesse caso, as células lesadas são substituídas por tecido fibrótico, o que conduz à perda de função daquele segmento do tecido

How well did you know this?
1
Not at all
2
3
4
5
Perfectly
4
Q

Tipo de reparo que ocorre diante da lesão de tecido com células permanentes:

A

Células permanentes não se duplicam/proliferam.

Nesse caso, necessariamente haverá cicatrização.

How well did you know this?
1
Not at all
2
3
4
5
Perfectly
5
Q

Tipo de reparo que ocorre diante da lesão de tecidos com células estáveis ou lábeis?

A

Nesse caso, dependerá de se o arcabouço do tecido está intacto ou destruído:

-Se intacto = regeneração (como na pneumonia lobar)

-Se destruído = cicatrização (como num abscesso bacteriano)

How well did you know this?
1
Not at all
2
3
4
5
Perfectly
6
Q

Processo cicatricial no tecido nervoso central:

A

Gliose

-Multiplicação das células da glia, em especial os astrócitos

How well did you know this?
1
Not at all
2
3
4
5
Perfectly
7
Q

O processo de reparo envolve basicamente quais 3 tipos celulares?

A

-Células reminiscentes do tecido que foi lesado

-Endotélio vascular que vai originar novos vasos naquele local do reparo

-Fibroblastos, que originam o tecido fibroso da cicatriz, quando a regeneração é impossibilitada

How well did you know this?
1
Not at all
2
3
4
5
Perfectly
8
Q

Tecido com células que estão em um contínuo processo de proliferação. São exemplos a pele, mucosa e medula óssea:

A

Tecido lábel

-Esse tipo pode se regenerar se o arcabouço tecidual estiver resguardado

How well did you know this?
1
Not at all
2
3
4
5
Perfectly
9
Q

Tecido com células com baixo potencial proliferativo (quiescente), mas que podem se proliferar diante de um estímulo para tanto. São exemplos o parênquima hepático, renal e pancreático:

A

Tecido estável

-Esse tipo pode se regenerar se o arcabouço tecidual estiver resguardado

How well did you know this?
1
Not at all
2
3
4
5
Perfectly
10
Q

Tecido com células que se proliferam quase que unicamente durante o período embrionário, não consegue se proliferar na vida pós-natal. São exemplos os neurônios e o miócito cardíaco:

A

Tecido permanente

-Esse tipo só sofre cicatrização

How well did you know this?
1
Not at all
2
3
4
5
Perfectly
11
Q

Processo possível diante da destruição discreta do tecido, com absorção do exsudato e do tecido nerótico e com reestruturação do parênquima com células normais dele:

A

Regeneração tecidual

How well did you know this?
1
Not at all
2
3
4
5
Perfectly
12
Q

Quais as duas possíveis formas de proliferação do tecido?

A

-Proliferaçào das células que sobreviveram à lesão e ainda têm capacidade proliferativa (epitélios de revestimento, fígado,…)

-Desenvolvimento de células maduras a partir de células-tronco (músculo esquelético)

How well did you know this?
1
Not at all
2
3
4
5
Perfectly
13
Q

Como é sinalizado ao tecido que ele precisa se regenerar?

A

Essa sinalização vem da matriz extracelular:

As células do parênquima estão ligadas à matriz extracelular por meio de integrinas.

Diante de lesão, as integrinas conduzem um sinal da matriz (colágeno + fibronectina) ao núcleo das células do parênquima para estimular a proliferação/diferenciação da célula, além de induzir produção de proteínas que auxiliam a migração de células

How well did you know this?
1
Not at all
2
3
4
5
Perfectly
14
Q

qual é a diferença da exulceração para a ulceração?

A

Na exulceração, a membrana basal não foi lesada, e a regeneração do tecido é muito facilitada.

Na ulceração, a membrana basal do tecido também foi lesada, tem-se alteraçào do tecido conjuntivo local (podendo levar a fibrose), e aqui a regeneração é muito dificultada.

How well did you know this?
1
Not at all
2
3
4
5
Perfectly
15
Q

Por que, na Hepatite A, o fígado consegue se regenerar, enquanto que a Hepatite B e C conduzem primariamente a um processo cicatricial (cirrose) no fígado?

A

O vírus da hepatite A promove injúiria apenas sobre os hepatócitos, sem afetar fibras reticulares ou matriz extracelular = fácil regeneração.

Já os vírus das Hepatites B e C vão também lesar fibras reticulares e matriz extracelular = o fígado nã oconsegue se regenerar = depósito de colágeno tipo I no parênquima = cirrose

How well did you know this?
1
Not at all
2
3
4
5
Perfectly
16
Q

Necrose de hepatócitos + destruição de fibras reticulares conduz a

A

Perda da dinâmica do órgão, formação de nódulos rodeados por fibrose -> a distribuição desses nódulos pelo parênquima é que gera a cirrose = hipertensão portal

How well did you know this?
1
Not at all
2
3
4
5
Perfectly
17
Q

Do que depende o tipo de reparo que vai ser realizado no tecido lesado?

A

-Tipo celular do tecido

-Essa lesão envolveu o arcabouço tecidual ?

-Intensidade da lesão

How well did you know this?
1
Not at all
2
3
4
5
Perfectly
17
Q

Do que depende o tipo de reparo que vai ser realizado no tecido lesado?

A

-Tipo celular do tecido

-Essa lesão envolveu o arcabouço tecidual ?

-Intensidade da lesão

How well did you know this?
1
Not at all
2
3
4
5
Perfectly
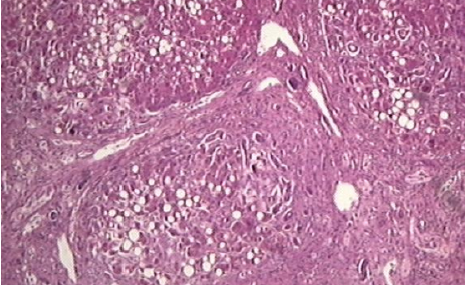
18
Q

A lesão desse fígado chegou a acometer matriz extracelular/fibras reticulares?

A

Sim, note a desorganização do parênquima hepático, perda da arquitetura do órgão, formação de nódulos rodeados por fibrose.

How well did you know this?
1
Not at all
2
3
4
5
Perfectly
19
Q

Se os tecidos lesados não conseguirem restituir-se por completo o reparo ocorre por…

A

Deposição de tecido conjuntivo fibroso = fibrose = cicatrização

How well did you know this?
1
Not at all
2
3
4
5
Perfectly
20
Q

Etapas para a formação de um tecido fibrótico a partir da lesão do tecido:

A

-Limpeza das células mortas com formação de crosta para proteger a ferida

-Retração da ferida pelos miofibroblastos = rede na base da ferida (reduz o tamanho da ferida)

-Deposição de tecido conjuntivo frouxo para fazer um tecido de granulação, associado a migração e proliferação de fibroblastos

-Depois disso, haverá formação de novos vasos sanguíneos, e esse tecido será a base para a formação de cicatriz, é ali onde será depositado o colágeno

-Reepitelização

How well did you know this?
1
Not at all
2
3
4
5
Perfectly
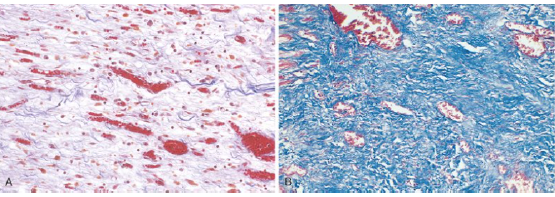
21
Q

Isso é…

A

Tecido de granulação.

Aqui, houve deposição do tecido conjuntivo frouxo no tecido lesado, mas ainda não foi depositado o tecido fibrótico.

How well did you know this?
1
Not at all
2
3
4
5
Perfectly
22
Q

Fator de crescimento que atua nas células epidérmicas, endoteliais e fibroblastos e estimula a angiogênese, proliferação celular e síntese se colágeno:

A

EGF (fator de crescimento epidérmico)

23
Q

Fator de crescimento que atua sobre os macrófagos, células epiteliais e o músculo liso. É um agente quimiotático (atrai macrófagos para a área de inflamação) e promove a proliferação de fibroblastos:

A

PDGF (fator de crescimento das plaquetas)

24
Fator de crescimento que é produzido principalmente pelos macrófagos e estimula a angiogênese, proliferação celular e síntese de colágeno:
FGF (fator de crescimento de fibroblastos)
25
Fatores de crescimento originam...
O tecido de granulação
26
O que é um processo de cura por primeira intensão?
Quando a lesão acomete só a camada epitelial, se trata de uma lesão "limpa" e certinha, que vai ser facilmente reparada. Ex.: reparo da incisão cirúrgica limpa, não infectada e aproximada pela sutura.
27
O que é um processo de cura por segunda intensão?
É o reparo que ocorre nas lesão com quande perda de tecido/células. Como em grandes feridas, abscessos, ulcerações, necrose isquêmica,...
28
Fatores gerais que influenciam a cicatrização:
-Estado nutricional do paciente (desnutrição inibe síntese de colágeno) -Estabo metabólico (diabéticos não conseguem boa cicatrizaçào) -Estado circulatório (má perfusão do tecido vai prejudicar sua cicatrização) Estado hormonal (corticoides inibem o TNF-b - fator de crescimento - e conduz a cicatrizaçào deficitária)
29
Formação inadequada do tecido de granulação =
Deiscência da ferida (ruptura) e pode conduzir a ulceração
30
O que é um queloide?
Produção excessiva de tecido fibroso cicatricial que cresce para além das margens da ferida original (não regride) -Colágeno com bandas largas, eosinofílicas e grosseiras -Caracterizado por ter excesso de colágeno tipo III -> predisposição genética (comum no lobo da orelha)
31
O que é uma cicatriz hipertrófica?
Produção excessiva de tecido fibroso (colágeno tipo I) cicatricial, ela respeita os limites da lesão. NB: cicatriz hipertrófica vs queloide
32
O que é uma contratura?
Deformação da ferida e seus tecidos circundantes -> se desenvolve mais em palmas das mãos/plantas dos pés (tecidos com extensibilidade) Comum secundário a queimaduras
33
Usualmente a cura do tecido se dá pela combinação de ...
Regeneração (reconstituir o mesmo tecido lesado) + reparo (fibrose/colageno)
34
Tecido contendo células tronco, possuindo renovação constante:
Tecido lábel - intestino grosso/delgado = células tronco na mucosa das cryptas - Pele = células tronco na membrana basal (última camada da epiderme) - Medula óssea = células tronco hematopoieticas ->CD34+ - Pulmão = pneumócito II
35
Tecido quiescente (fora do ciclo celular) com capacidade de retornar ao ciclo celular sob estímulo:
Tecido estável - Fígado: sofre hiperplasia compensatória após ressecção parcial. -> hepatócitos saem da quiescencia (retornam ao ciclo) e promovem regeneração. - Tubulo proximal renal: necrose tubular proximal conduz a regeneração dessa estrutura.
36
Tecido que carece de potencial regenerativo:
Tecido permanente - Miocárdio: diante de infarto, sobre reparo com cicatriz fibrosa - Músculo esquelético - Neurônios Tecidos sem células-tronco -> lesados, não se regeneram = sofrem apenas reparo (cicatriz fibrosa)
37
O que ocorre com a regeneração tecidual se uma lesão remover células tronco de tecidos lábeis ?
Regeneração se torna impossibilitada. Como por exemplo, lesão que alcança a camada basal da pele irá remover parcela das células tronco, que residem ali = menor potencial regenerativo = reparo com cicatriz fibrosa
38
Fase inicial do processo de reparo:
Formação do tecido de granulação: -Depósito de fibroblastos, capilares e miofibroblastos. 1. fibroblastos depositam colágeno tipo III 2. Capilares nutrem o tecido 3. Miofibroblastos contraem a ferida
39
Tecido de granulaçào é o mesmo que granuloma?
Não. Granuloma= subtipo de inflamação crônica com células epitelióides derivado da interação de IL-12 de macrófagos com TCD4 e seu INF-g. Tecido de granulação= início do processo de reparo do tecido.
40
Tecido:
Tecido de granulação. Notar presença de capilares, depósito de colágeno e presença de fibroblastos
41
Processo para que o tecido de granulação se torne a cicatriz:
Substituição do colágeno tipo III por colágno tipo I. Tipo I provê suporte/ força ao tecido (osso,...), enquanto que o tipo III confere capacidade de esticar o tecido, (vasos sanguíneos, pele do embrião,...) Processo mediado pela colagenase: falta de zinco inibe colagenase = menor cicatrização
42
Enzima que remove o colageno III do tecido de granulação e promove deposição do colágeno I:
Colagenase Usa zinco como cofator (baixo zinco = baixa cicatrização)
43
Reparo ou regeneração são processos mediados por sinalização via fatores de crescimento. Interação dos fatores com receptores expressa genes e crescimento celular. Correto afirmar isso?
Correto, esse é o mecanismo para regeneração ou reparo.
44
Fator de crescimento para epitélio e fibroblastos
TGF-a
45
Fator de crescimento para fibroblastos, inibe inflamação:
TGF-b (liberada por macrófagos para iniciar o processo de reparo, junto a IL-10)
46
Fator de crescimento para endotélio, musculo liso e fibroblastos:
PDGF (platelets driven growth factor) -> é liberado pelas plaquetas ativadas e basicamente promove crescimento do endotélio e musculo liso do vaso sanguíneo
47
Os dois fatores de crescimento que promovem angiogênese:
*FGF* VEGF
48
Cutaneous healing conduced with wounds edges being brouth together and with minimal scar formation:
Primary intention cutaneous healing
49
Cutaneous healing when the edges of the wound are not approximated and granulation tissue fills in the defect:
Secondary intention cutaneous healing Nesse caso, os miofibroblastos têm mais margem para agir diminuindo as dimensõesda ferida
50
Causas principais de demora para cicatrização:
-Infecções -Deficiência de vitamina C -Deficiência de cobre -Deficiência de zinco - Presença de corpo estranho, isquemia, diabetes ou desnutrição
51
Por que infecção do tecido retarda a sua cicatrização?
Pois inflamação contínua lesa constantemente o tecido = cicatrização retardada
52
Por que deficiência de vitamina C retarda cicatrização?
Pois vitamina C é requerida para o cruzamento (cross-link) dos procolagenos na etapa de hidroxilação para formar a estrutura final/estável do colágeno.
53
Por que deficiência de zinco retarda cicatrização?
Pois o zinco é demandado pela enzima colagenase, que substitui colageno III do tecido de granulação pelo colageno I, dando a forma final da cicatriz
54
Por que deficiência de cobre retarda cicatrização?
Pois ele é necessario para o cross-link de lisina/hidroxilisina do colágeno, em que a enzima lysyl oxidase demanda cobre como cofator
55
Processo de ruptura da ferida, comumente após cirurgia abdominal, é chamado de...
Deiscência (dehiscence)