Epidemiologie des Prostatakarzinoms
Männer über 50 Jahre
25% der Tumorlokalisationen bei Männern
Erkläre den typischen Verlauf eines Patienten mit Prostatakarzinom
dann:
entweder Aktive Beobachtung
oder
radikale Therapie
nach der radikalen Therapie dann:
entweder Heilung = 70%
oder Rezidiv (30%
bei rezidivierenden Prostata CA -> dann wird eine ADT (Androgendeprivationstherapie) durchgefühet
-> trotzdem kommt es häufig zu Metastasen
es bildet sich ein CRPC (Castraktions refraktäres prostata CA)
-> Pat. mit CRPC haben wenig Therapieoptionen

Was gibt einen Verdacht auf ein Prostata CA
Welche Möglichkeiten einer Prostatabiopsie bestehen und wie genau funktioniert diese?
Möglichkeiten:
(unter Sono)
Ergebnis:
12 Stanzzylinder (6 pro Seite) // maximal 25 Stanzen
-> vor allem wichtig sind Stanze in der Ranszone)
von jedem Biopsat werden dann Schnitte gemacht und mit HE gefärbt
-> dann Bewertung mikroskopisch
Erkläre die Merkmale einer physiologischen gesunden Prostata
Zonen:
Periphere Zone
-> 80% der Karzinome der Prostata
Transitionale Zone - Harnröhre
-> (Adenomyofibromatose der Prostata = benigne Erkrankungen sind vor allem hier lokalisiert)
Zentrale Zone - D. ejaculatorii / extcretorii
-> auch Karzinome möglich - etwas aggressiver als in der peripheren Zone
Wichtig: 80% der Tumore in der peripheren der Prostata

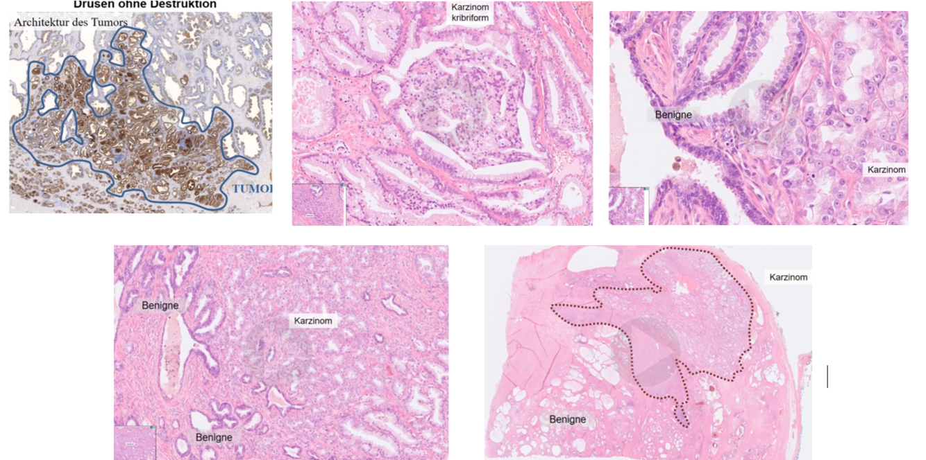
Was sind die histologische Merkmale eines Adenokarzinom der Prostata
Merkmale:
Teilweise:
kribriforme Struktur -> gelten dann als Aggressiver
Allgemein:
Prostatakazinome wachsen nicht destruierend = das umliegende Gewebe bleibt also “gesund” und deshalb bilden sich keine Knötchen o.ä. die im Sono zu sehen wären

Welche Marker werden zur Immunhistochemie des Prostata CA verwendet?
1. p63 & CK34bE12 (high molecular weight cytokeratin)
-> Darstellung der Basalzellen - Tumor hat keine Basalzellen mehr ist also für diesen Marker negativ
2. AMACR (Racemase)
-> wird Überexprimiert im Tumor (ist aber auch bei manchen benignen Läsionen zu finden)

Wie wird der Malignitätsgrad eines Prostatakarzinoms angegeben?
durch den Gleason Score:
3 (häufigstes) = gut abrenzbare Drüsen mit Lumen
4 (2. häufigstes) = kribriforme Formation, schräg geformt, mehrere Drüsen in einer Fusion
5 = solide (schichtwachsende) Tumorzellen ohne Lumen, kribriforme mit Fibrosen oder nur einzelzellen
ISUP Gradgruppe (International society of uroloical pathology)

Welche Aussagekraft hat die ISUP Gradgruppe/ der Gleason Score?
gibt Aussage über die Wahrscheinlichkeit eines Rezidivs und damit auch über die Prognose des Patienten
Beispiel: Pat mit ISUP 1 (Gleason 3+3) haben sehr selten Rezidive und damit eine positive Prognose!!

Wie wird der Gleason Score bestimmt?
man schaut sich an welche “Gleason-Muster” vorhanden sind
-> das was am meisten vorhanden ist kommt nach vorne
Beispiel also:
3 + 4 = 7a (weniger aggressiv)
wichtig: 4+3 = 7b
Wenn 3 4 un 5 vohanden sind dann wird 3 weggelassen weil das der wenigste Aggressive Teil ist

welche beiden Formen des Adenokarzinoms der Prostata werden unterschiden
1. Azinäres Adenokarzinom
2. Ductales Adenokarzinom (5%)
-> reagieren schlecht auf Antiandrogentherapie
wofür steht die TNM Klassifikation pT3a?
p = postoperativ - also hier nach Prostektomie
T3 = nicht mehr auf das Organ beschränkt - also beispielsweise mitbefall der Samenblasen

Welche Tumorerkrankung gibt es neben dem Adenokarzinom der Prostata
die BPH
= benigne Prostatahyperplasie
= Adenomyofibromatose der Prostata
Wachstum von benignen Drüsen + myofibromatösem Strome
= wenn man diese Knoten sieht dann sind es meist benigne Knoten

Warum wird das Prostatektomiepräparat komplett eingebettet?
wichtig für die Begutachtung:
Tumorausdehnung
Gleason-Score
Extraprostatische Extension ins Fettgewebe
Infiltration von Samenblasen
Resektionsstatus
Anzahl positiver Lymphknoten
-> Adjuvante Therapie hängt von diesen Angaben ab
Welche molekularen Subtypen des Prostatakarzinoms werden unterschieden und welche Bedeutung haben diese für Diagnostik, Therapie, Prognose?
Subtypen:
ERG
ETV1
ETV4
FLI1
SPOP
FOXA1
IDH1
Konsequenzen:
Vor der Diagnose: keine
erste negative Biopsie: keine
Therapieauswahl (AS (aktive Beobachtung) vs. radikal): keine
Nach einer RPE (radikale Prostektomie): keine
Also: Aufgrund der Molekularen Subtypen gibt es noch keine Möglichkeit die Therapie zu Personalisieren!!
Nenne drei mögliche Richtungen, die eine personalisierte Therapie bei Prstata CA einschlagen kann
1. AR-V7 splice variant Detektion
-> Prediktion (schlechtes Ansprechen) von Ansprechen auf ADT
2. Defekte in homologous recombination DNA Reparaturgen
3. Mikrosatelliteninstabilität
Welche Therapie kommt bei BRCAness (Störung der DNA-Reparatur in Frage)
Sensitivität zu Olaparib = PARP-Inhibitor
Welche Therapie kommt bei Mikrosatelliteninstabilität in Frage?
Anti-PD-1 Therapie (Pemrolizumab)
Anti-PD-L1 Therapie