The prostate is broken up into zones
which zone do se wee cancer in?
BPH?
Central = Cancer
Transition = BPH
is accessible to palpation on rectal exa m
Peripheral Zone (PZ)
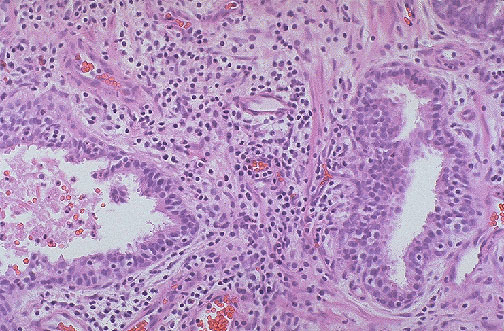
Describe normal prostate histology
double layer of cells: secreatory and basal
flat nuclie, lie at the edge of gland and these basal cells = normal and healthy basally located cells are absent in prostate cancer

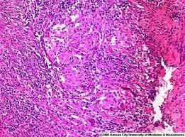
What are the three types of Prostatitis
acute
chronic
granulomatous
may be due to prior instrumentation, or bacille Calmette-Guérin therapy for bladder cancer, or a number of other reasons
Granulomatous Prostatitis
i. Intraprostate reflux of urine from the posterior urethra or urinary bladder
Acute prostatitis
Pathogens involved in Acute Prostatitis
Rods
• E. coli, P. aeruginosa, K. pneumoniae
Causes of chronic prostatitis
i. Majority are abacterial :Chronic bacterial infection
• Due to recurrent acute prostatitis
Clincal findings of prostatitis
a. Fever (occurs in acute prostatitis).
b. Lower back, perineal, or suprapubic pain
c. Painful/swollen gland on rectal examination
d. Dysuria, hematuria
What lab findings are seen in Prostatitis
can raise the serum PSA above normal (above 4.0 ng/mL)
Agents responsible for acute prostatitis
E. coli
•Young Men with low back pain, fever, myalgia and tender swollen prostate
Acute Bacterial Prostatitis
•Recurrent with associated urinary tract infections and same organism each culture; they are asymptomatic with calculi
Chronic Bacterial Prostatitis

How do you diagnose prostatitis
• 10-12 wbc/field in secretions/urine or/and Positive bacterial cultures
Chronic Nonbacterial Prostatitis
“Chronic Pelvic Pain Syndrome”
CPPS
Possible organisms of chronic nonbacterial prostatitis and “chronic pelvic pain syndrome”
Non infectious causes of granulomatous prostatitis
infectious causes:

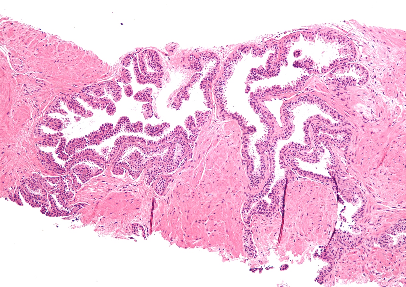
A proliferation of the glands and stroma in the TRANSITION ZONE of the prostate
Benign Prostatic Hyperplasia (BPH)
Causes bladder outlet obstruction (BOO) involving urinary
frequency, incomplete emptying, nocturia, dysuria
90% prevalence by age 80
Benign Prostatic Hyperplasia (BPH)
BPH is an ______ process chiefly caused by _______
Is an androgen-dependent process
Chiefly caused by dihydrotestosterone (DHT)
____ binds the AR with a 5-fold higher affinity than testosterone
The AR will upregulate the transactivation of target genes
DHT
Role of PSA
Proteolytic enzyme
PSA levels in BPH
ii. PSA is neither sensitive nor specific for BPH.
iii. PSA usually normal (0-4 ng/mL) but BPH can increase it to between 4 and 10 ng/mL, and rarely over 10 ng/mL
Treatement option for BPH
TURP
trans urethral resection of Prostate; removal of excess tissue