Protozoa Flashcards

(20 cards)

1
Q

Describe the lifecycle of the malaria parasite, Plasmodium sp.

A

sporozoite: hepatocyes - schizogony
merozoites: erythrocytes - more schizogony and dif into gametocytes
zygote: in gut membrane - divide to produce large numbers of sporozoites
sporozoites: travel to mosquito salive, inject into humans, process repeats

How well did you know this?
1
Not at all
2
3
4
5
Perfectly
2
Q
A

Entamoeba histolytica

How well did you know this?
1
Not at all
2
3
4
5
Perfectly
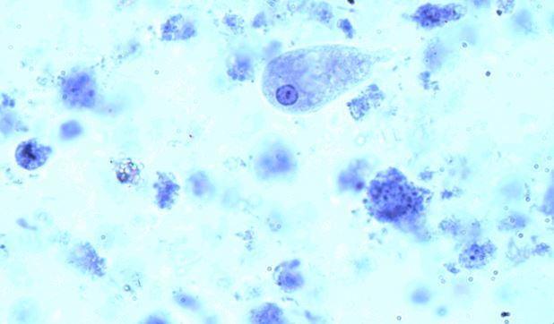
3
Q
A

Naegleria fowleri

How well did you know this?
1
Not at all
2
3
4
5
Perfectly
4
Q
A

Balantidium coli

How well did you know this?
1
Not at all
2
3
4
5
Perfectly
5
Q
A

Giardia lamblia

How well did you know this?
1
Not at all
2
3
4
5
Perfectly
6
Q
A

Leishmania tropica

How well did you know this?
1
Not at all
2
3
4
5
Perfectly
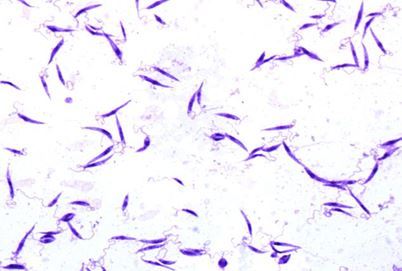
7
Q
A

Trypanosoma cruzi

How well did you know this?
1
Not at all
2
3
4
5
Perfectly
8
Q
A

Toxoplasma gondii

How well did you know this?
1
Not at all
2
3
4
5
Perfectly
9
Q

Name the vector/transmission, disease, and symptoms

Entamoeba histolytica

A

fecal-oral route; amoebic dysentary (amebiasis); dysentary

How well did you know this?
1
Not at all
2
3
4
5
Perfectly
10
Q

Name the vector/transmission, disease, and symptoms

Naegleria fowleri

A

contaminated water entering nasal passages; PAM (primary ameobic meningoenchephalitis); fever, headache neurological symptoms, death < 2 weeks

How well did you know this?
1
Not at all
2
3
4
5
Perfectly
11
Q

Name the vector/transmission, disease, and symptoms

Balantidium coli

A

fecal-oral route; Balantidiasis; dysentery

How well did you know this?
1
Not at all
2
3
4
5
Perfectly
12
Q

Name the vector/transmission, disease, and symptoms

Giardia lamblia

A

fecal-oral route; Giardiasis; dysentary

How well did you know this?
1
Not at all
2
3
4
5
Perfectly
13
Q

Name the vector/transmission, disease, and symptoms

Leishmania tropica

A

direct contact/sand flies; Cutaneus leishmariasis; leisions

How well did you know this?
1
Not at all
2
3
4
5
Perfectly
14
Q

Name the vector/transmission, disease, and symptoms

Trypanosoma cruzi

A

kissing bugs; schagas disease/american tryponsumiasis; fever, edema, heart failure (long term)

How well did you know this?
1
Not at all
2
3
4
5
Perfectly
15
Q

Name the vector/transmission, disease, and symptoms

Toxoplasma gondii

A

cat feces; toxoplasmosis; fatigue, muscle aches, still birth, liver/brain damage in fetus

How well did you know this?
1
Not at all
2
3
4
5
Perfectly
16
Q

What do protozoan cysts, fungal spores, bacterial endospores, and bacterial exospores have in common?

A

they are all a means of environmental resistance for survival

17
Q

what purpose does a protozoan cyst serve

A

non-reproductive, short-term means of surviving between hosts

18
Q

what purpose does a fungal spore serve

A

reproductive, resting state, can generate into another individual of the species

19
Q

what purpose do bacterial endospores serve

A

non-reproductive. forms new internal daughter cell, long term means of surviving harsh conditions

20
Q

what purpose do bacterial exospores serve

A

reproductive, less resistant than exospores