Prova Prática Flashcards

(70 cards)

1
Q

Qual achado?
Associada a qual diagnóstico?

A

Dermatite herpertiforme
Associada a doença celíaca

How well did you know this?
1
Not at all
2
3
4
5
Perfectly
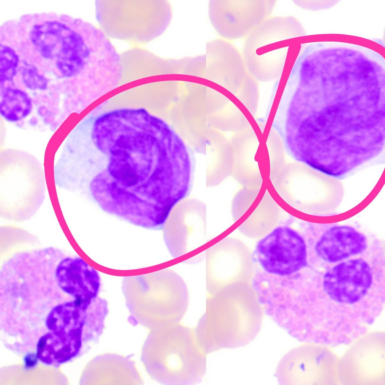
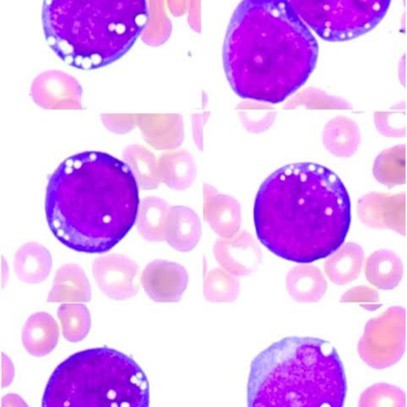
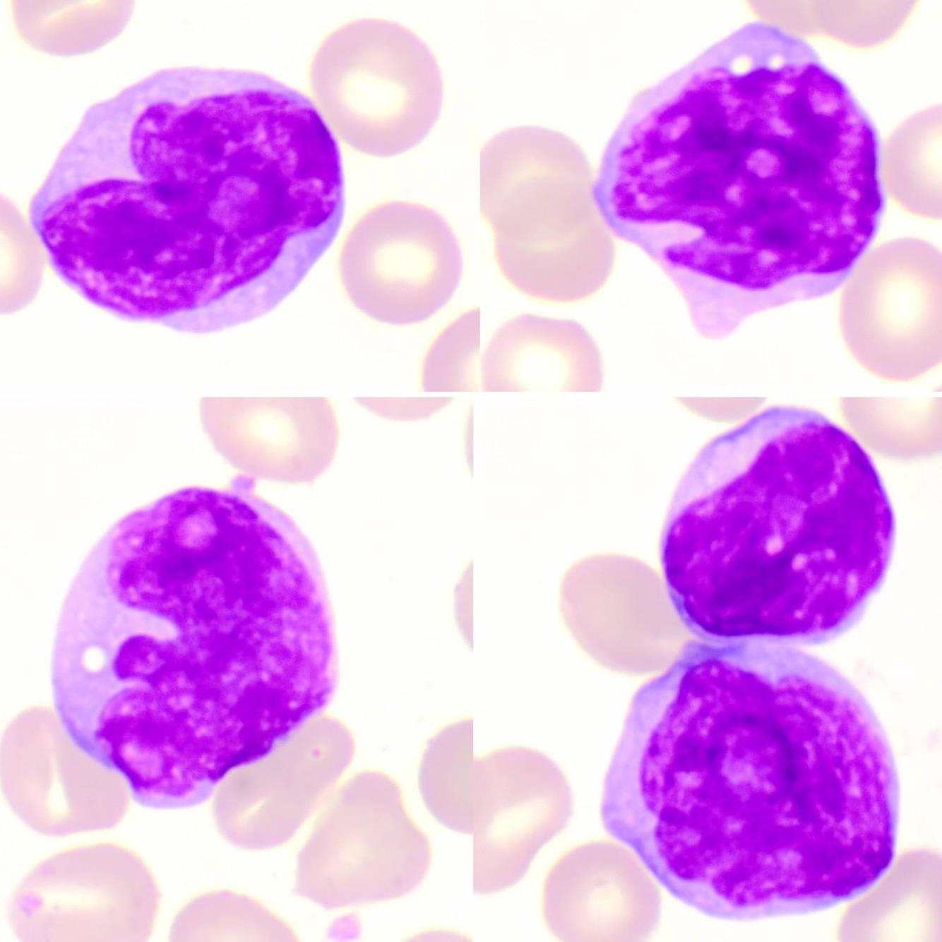
2
Q
A

Célula de Mott (mieloma múltiplo)
(Núcleo lateralizado, com complexo de Golgi evidente (parte mais branca no citoplasma, logo ao lado do núcleo))

How well did you know this?
1
Not at all
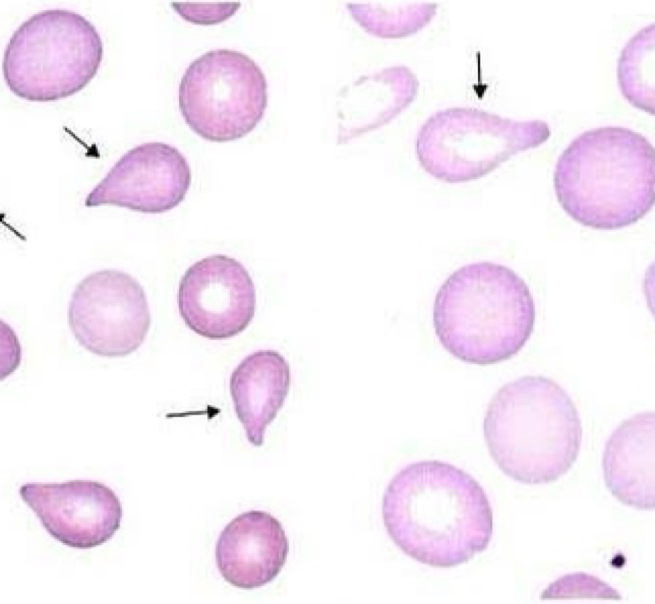
2
3
4
5
Perfectly
3
Q
A

Linfoma de burkitt (citoplasma vacuolizado)

How well did you know this?
1
Not at all
2
3
4
5
Perfectly
4
Q
A

Plasmodium vivax (malária)

How well did you know this?
1
Not at all
2
3
4
5
Perfectly
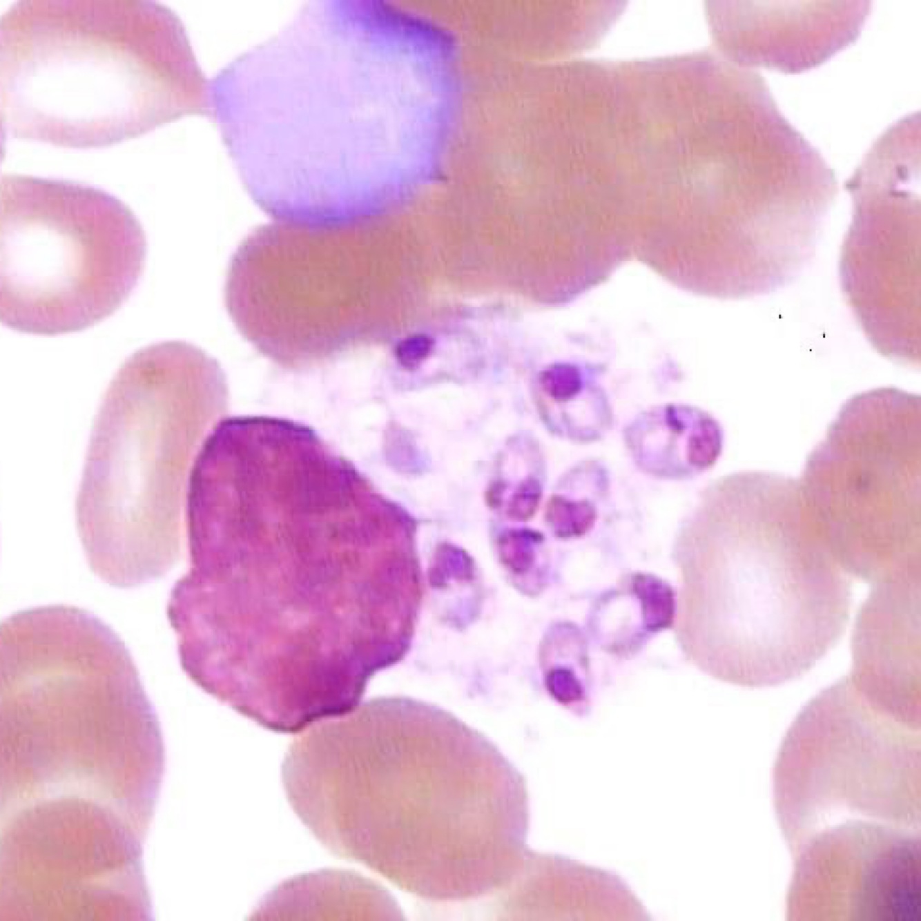
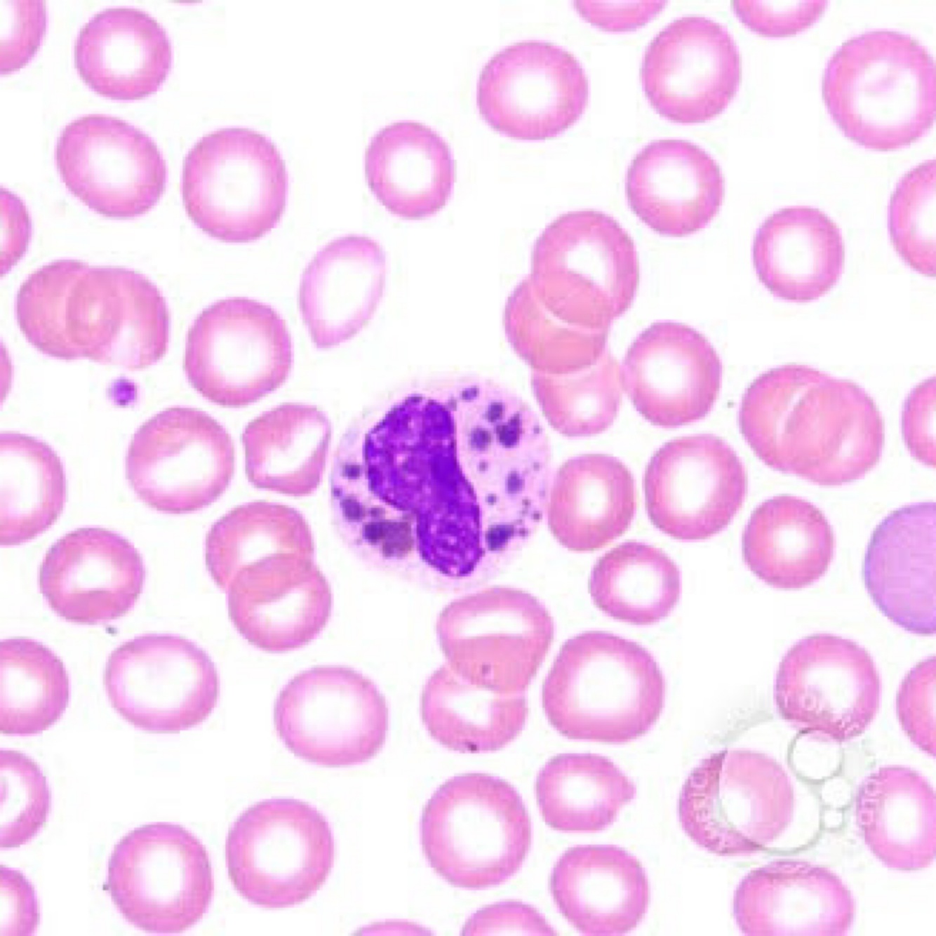
5
Q
A

Hemofagocitose

How well did you know this?
1
Not at all
2
3
4
5
Perfectly
6
Q
A

Flower cell - leucemia T relacionada ao HTLV

How well did you know this?
1
Not at all
2
3
4
5
Perfectly
7
Q
A

Leishmaniose
(Macrófago com um monte de bicho dentro)

How well did you know this?
1
Not at all
2
3
4
5
Perfectly
8
Q
A

Histoplasmose capsulatum ( cápsula proeminente)

How well did you know this?
1
Not at all
2
3
4
5
Perfectly
9
Q
A

Célula de cezary (“dobrada, sobreposta”)
Linfoma cutâneo de células T

How well did you know this?
1
Not at all
2
3
4
5
Perfectly
10
Q
A

Linfoma do Manto (endentações nucleolares)

How well did you know this?
1
Not at all
2
3
4
5
Perfectly
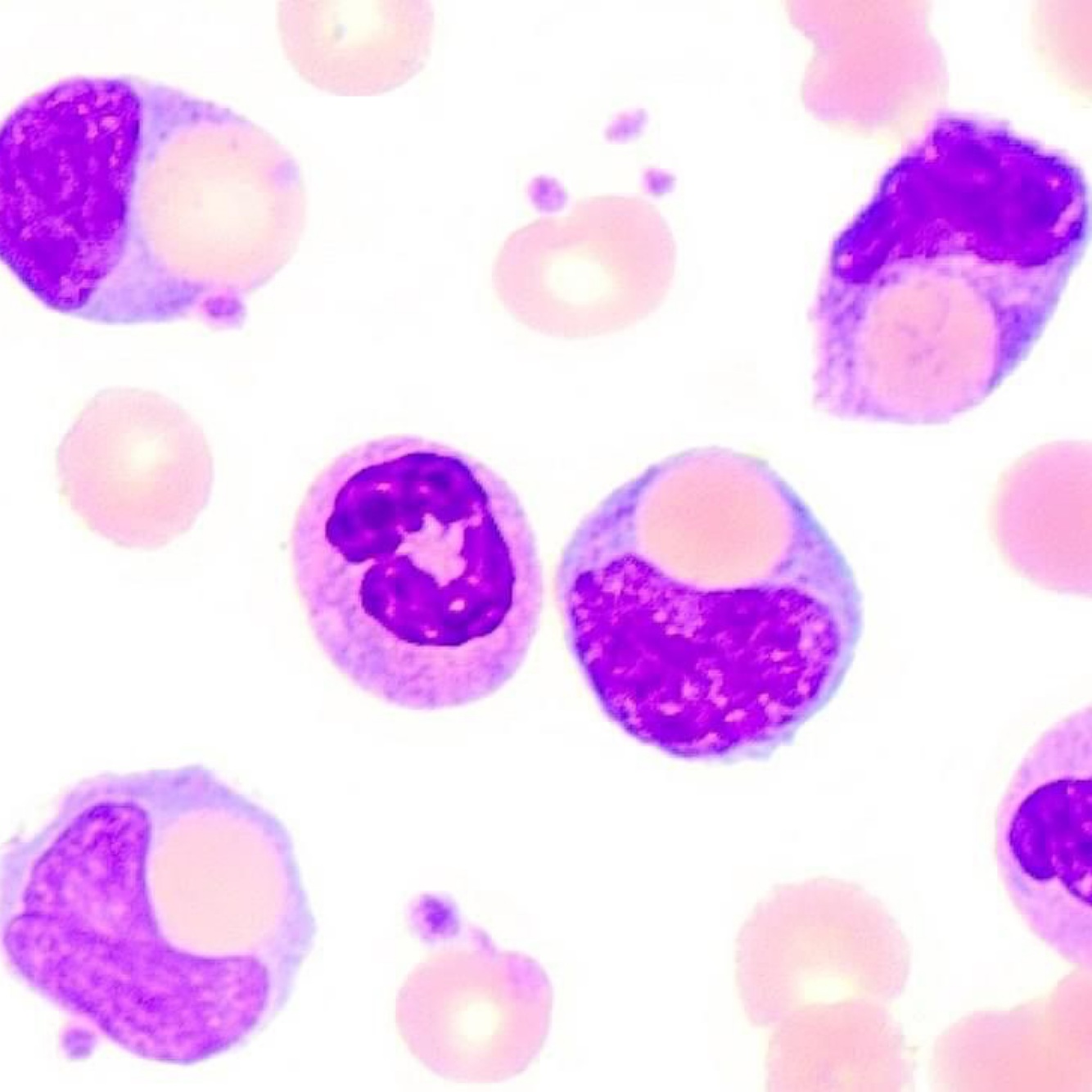
11
Q
A

Síndrome mielodisplasica (blastos, peugher huet, eritroblasto)

How well did you know this?
1
Not at all
2
3
4
5
Perfectly
12
Q

Qual achado?
Associado a qual diagnóstico?

A

Dacriócitos
Mielofibrose

How well did you know this?
1
Not at all
2
3
4
5
Perfectly
13
Q

Qual achado?
Associado a qual diagnóstico?

A

Bastonetes de Auer
LMA / LPA
(Blastos grandes, com nucléolos (áreas mais brancas dentro do núcleo), com grande quantidade de grânulo (chegando a fazer bastonete de Auer), com bastante citoplasma).

How well did you know this?
1
Not at all
2
3
4
5
Perfectly
14
Q

Qual achado?
Associado a qual diagnóstico?

A

MANCHAS DE GRUMPECHT
LLC
Grumpecht = células estouradas

How well did you know this?
1
Not at all
2
3
4
5
Perfectly
15
Q

Qual achado?
Associado a qual diagnóstico?

A

BLASTO LINFOIDE

LLA

Blastos menores que os mieloides, com menos citoplasma, sem grânulos

How well did you know this?
1
Not at all
2
3
4
5
Perfectly
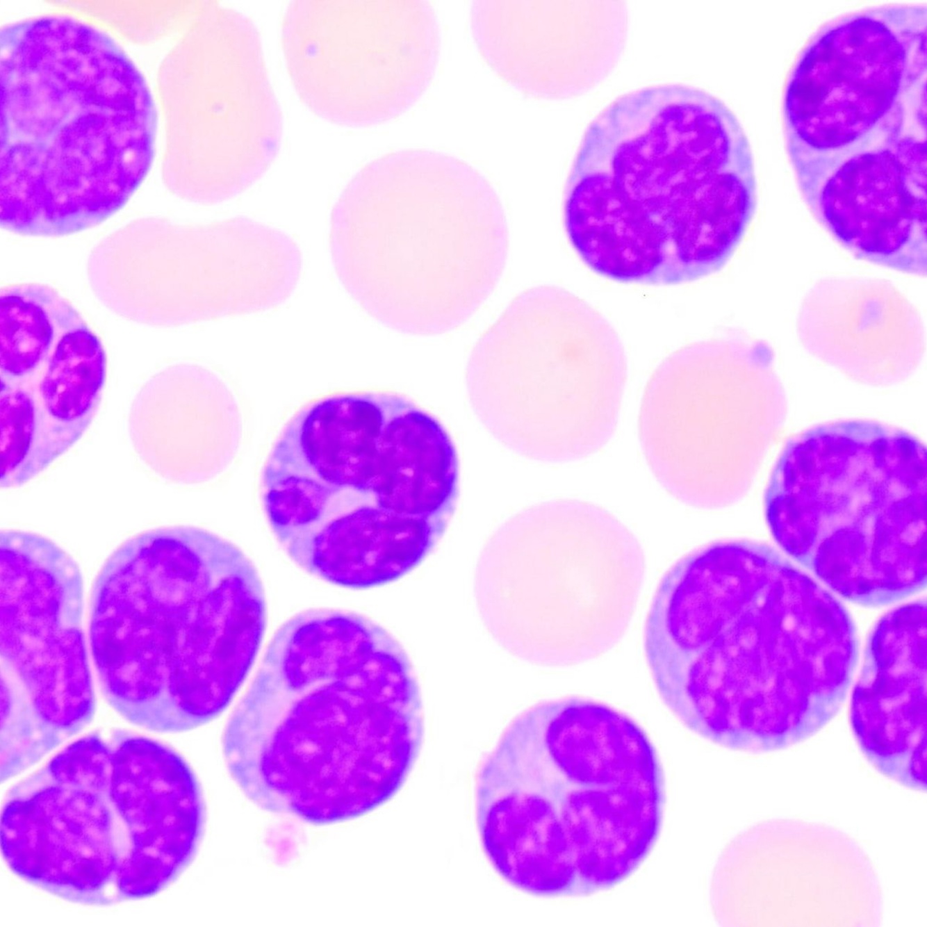
16
Q

Qual achado?
Associado a qual diagnóstico?

A

NEUTROFILO HIPERSEGMENTADO
Deficiência de vitamina B12

How well did you know this?
1
Not at all
2
3
4
5
Perfectly
17
Q

Diagnóstico ?

A

CHEDIAK HIGASHI

How well did you know this?
1
Not at all
2
3
4
5
Perfectly
18
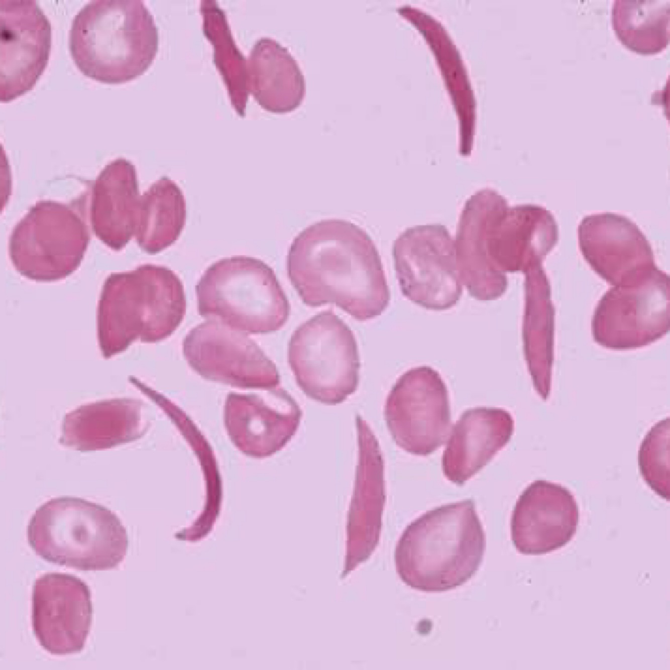
Q

Qual achado?
Diagnóstico?

A

HEMÁCIA EM FOICE / DREPANÓCITO

ANEMIA FALCIFORME

How well did you know this?
1
Not at all
2
3
4
5
Perfectly
19
Q

Achado?
Diagnóstico?

A

REED STERNBERG

LINFOMA HODGKIN

How well did you know this?
1
Not at all
2
3
4
5
Perfectly
20
Q

Achado?

A

AGREGADO PLAQUETÁRIO

Lembrar que é uma causa de pseudo-plaquetopenia

How well did you know this?
1
Not at all
2
3
4
5
Perfectly
21
Q

Achado?
Diagnóstico?

A

HEMÁCIA EM ALVO

HEMOGLOBINOPATIA

How well did you know this?
1
Not at all
2
3
4
5
Perfectly
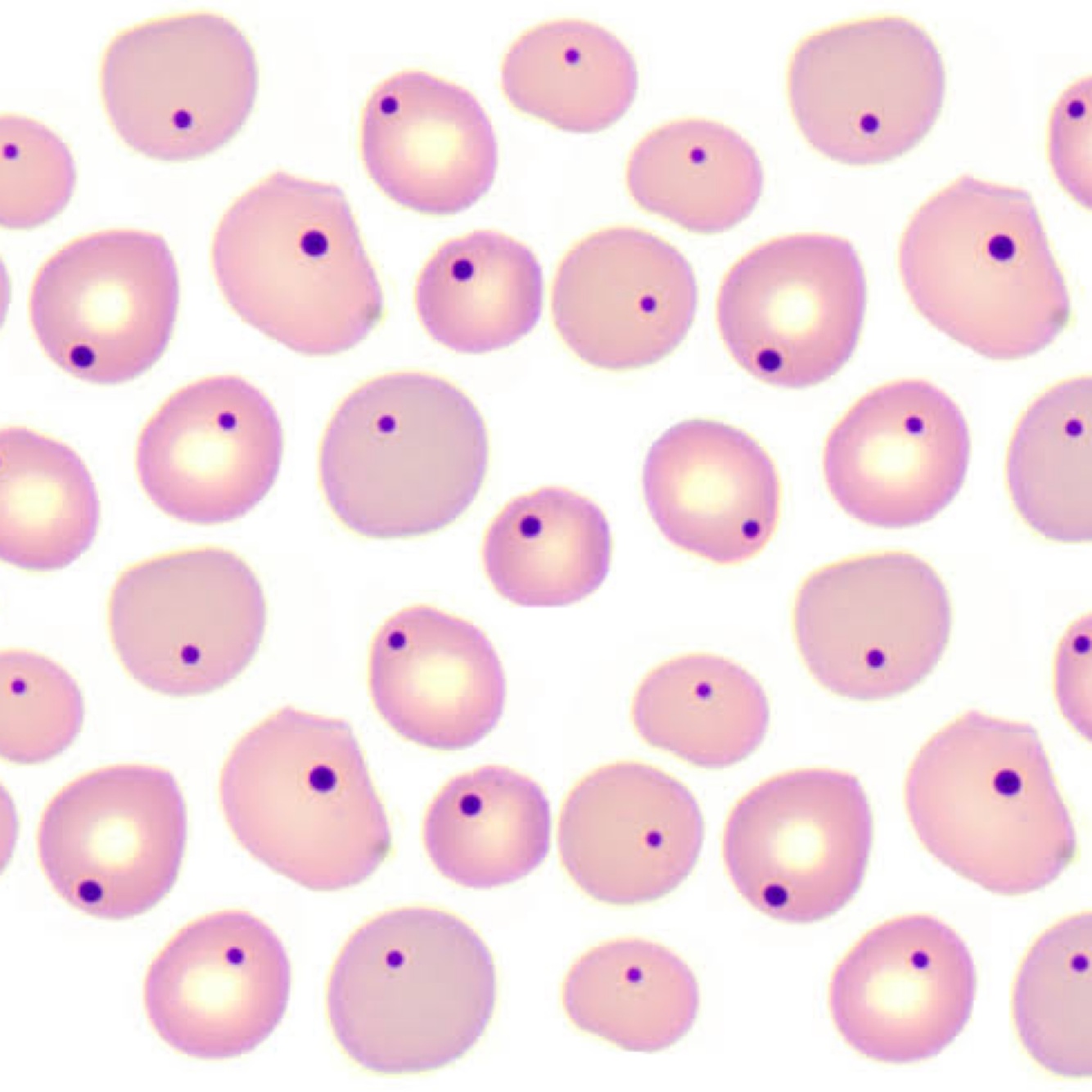
22
Q

Achado?
Diagnóstico?

A

CORPÚSCULO DE HOWELL JOLLY

PÓS-ESPLENECTOMIA

How well did you know this?
1
Not at all
2
3
4
5
Perfectly
23
Q

Diagnóstico?

A

ESTOMATOCITOSE

How well did you know this?
1
Not at all
2
3
4
5
Perfectly
24
Q

Diagnóstico?

A

TRICOLEUCEMIA

Células “cabeludas”
Lembrar que no enunciado vai ter uma super esplenomegalia Alteração de hemograma mais característica: monocitopenia

How well did you know this?
1
Not at all
2
3
4
5
Perfectly
25
Achado? Diagnóstico?
ESQUIZÓCITOS MAT
26
Achado? Diagnóstico?
ROULEAUX MIELOMA MÚLTIPLO
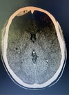
27
50 anos, hemiparesia esquerda. Qual Diagnóstico?
AVCi Oclusão da artéria cerebral média direita
28
20 anos, puérpera com cefaleia e convulsões. Qual diagnóstico?
PRESS Encefalopatia posterior reversível
29
31 anos, cefaleia intensa há 3 dias com piora hoje, uso de ACO. Qual diagnóstico?
Trombose de seio cavernoso (TVC) com infarto do parênquima adjacente Área hipoatenuante cortico subcortical parietal à direita
30
Mulher, 69a, cefaleia intensa há 2 meses. Qual diagnóstico?
Aneurisma sacular
31
Mulher, 65a, HAS e DM, hemiparesia súbita há 1h. Qual diagnóstico?
AVCi
32
Mulher, 56a, HAS e DM, hemiparesia súbita há 45 min. Qual diagnóstico?
AVCi Desvio da linha media para a esquerda
33
Mulher, 91 anos, queda da escada com TCE. Qual diagnóstico?
Hematoma subageleal + hematoma subdural
34
Mulher, 91 anos, queda da escada com TCE. Qual diagnóstico?
Hematoma intraparenquimatoso
35
Homem, 50a, queda da laje há 5h, inicia sonolência há 1h. Qual diagnóstico?
Hematoma epidural (extra- dural)
36
Homem, 50a, queda da laje há 5h, inicia sonolência há 1h. Qual diagnóstico?
HSA (hematoma subaracnóideo)
37
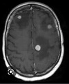
Metástases cerebrais Pontos hipertenso com edema perilesional
38
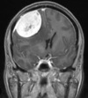
Meningioma
39
Homens, 30a, tosse produtiva há 5 dias. Qual diagnóstico ?
Pneumonia em lobo inferior direito
40
Homem, 435 anos, febre e tosse produtiva há 7 dias, sem melhora com ATB. Qual diagnóstico?
Pneumonia complicada com empiema Derrame pleural à esquerda
41
Homem, 60 anos, tosse produtiva há 7 dias com piora há 2 dias. Qual diagnóstico?
Pneumonia complicada com abscesso Formação nodular em parênquima direito, com nível hidroaéreo
42
Homem, 65 anos, febre e tosse produtiva há 4 meses. Qual diagnóstico?
Tuberculose ativa
43
Homem 65 anos, tosse há 3 meses, presidiário. Qual diagnóstico?
TB miliar ou Infecção fúngica ou Metástases (tireoide)
44
Homens, 55 anos, dispneia e tosse há 3 dias, sat88%, HIV+. Qual diagnóstico?
Pneumocistose
45
Homem, 44 anos, HIV+, febre e perda de peso há 6 meses. Qual diagnóstico?
Sarcoma de Kaposi
46
Homem, 58 anos, febre e perda de peso há 8 meses . Tosse e dispneia há 1 ano. Trabalhador rural há 45 anos. Qual diagnóstico?
Paracoccidioidomicose
47
Homem, 30 anos, febre e tosse há 2 dias. Anosmia há 6 horas. Qual diagnóstico?
COVID-19
48
Homem, 59 anos, mineiro há 20 anos, dispneia. Qual diagnóstico?
Silicose (Calcificação pulmonar peribroncovascar + nódulos calcificados)
49
Homem, 65 anos, trabalhou em construção cicvil por 30 anos. Dispneia.
Asbestose
50
Homens, 70 anos, d-dimero alto, dispneia.
TEP com infarto pulmonar (Áreas em halo invertido em cunha)
51
Homem, 80anos, tabagista, tosse e perda de peso de 30kg.
Câncer de pulmão
52
Homem, 20anos, dispneia.
Teratoma de mediastino
53
Homens, 52 anos, disfagia, cansaço e diplopia há 1 mês.
Timoma
54
Homem, 31 anos, tosse produtiva há 3 dias e estertores em ápice direito.
Pneumonia (Consolidação com broncografia aéreo)
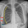
55
Pectus excavatum
56
Homem, 50 anos, dispneia e tosse há 6 meses, história de esclerose sistêmica.
PINE
57
Homem, 50 anos, dispneia e tosse há 6 meses, história de esclerose sistêmica.
PIU
58
Homem, 50 anos, dispneia progressiva aos esforços há 1 dia, edema de MMII, ortopneia.
Congestão pulmonar
59
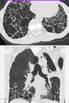
Mulher, 30 anos, dispneia há 1 mês.
Pneumotórax
60
Mulher, 45 anos, dispneia e tosse seca há 5 dias. Passado de transplante pulmonar bilateral.
Bronquiolite obliterante (Bronquiectasias e espessamento das paredes brônquicas + Aprisionamento aéreo + Opacidades em vidro fosco -> Atenuação em mosaico)
61
Homem, 15 anos, dor em região dorsal. Febre + tratamento para endocardite.
Espondilodiscite Redução do espaço discal, irregularidades dos platôs vertebrais adjacentes.
62
Homem, 15 anos, dor em região dorsal e febre há 2 semanas.
Espondilite tuberculosa (Mal de Pott) Destruição e irregularidades dos corpos vertebrais, disco poupado, volumoso abscesso paravertebral.
63
8 anos, abaulamento da coxa direita há 1 mês.
Osteossarcoma Triângulo de Codman
64
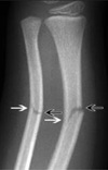
Fratura em galho verde + deformidade plástica
65
Fratura completa
66
Homem, 60anos, dor torácica e abdominal de forte intensidade há 2 horas.
Dissecção de aorta abdominal, com artéria renal direita oriunda da luz falsa.
67
Homens, 70 anos, câncer colorretal, evolui com dor e edema de MMII esquerdo abaixo do joelho.
TVP de veia poplítea esquerda aguda
68
Homem, 60 anos, dor abdominal que piora em posição supina
Síndrome do ligamento arqueado mediano (estenose da emergência do tronco celíaco)
69
Homens 70 anos, dor abdominal com massa pulsátil
Aneurisma abdominal roto (sangramento em músculo psoas esquerdo)
70
Mulher, 28 anos, febre, perda ponderal e edema de MMSS.
Arterite de Takayasu