What is Psoriasis?
A chronic Inflammatory skin disease due to hyperproliferation of keratinocytes and inflammatory cell infiltration
Describe the pathophysiology of Psoriasis
Injury/infection increases activated pro-inflammatory markers such as IL6 and TNF APC
These then activate TH1 and TH17
Resulting in abnormal keratinocyte differentiation (decreasing keratinocyte transit time)
Involves raised Th1 cells; effector cells and biomarkers of systemic inflammation therefore psoriasis is a systemic disease
State four subtypes of Psoriasis
Chronic Plaque (most common)
Guttate (raindrop lesions)
Seborrhoeic (scalp and behind ears)
Pustular (plantar, palmar)
How does Psoriasis present and in which locations
Well demarcated erythematous scaly plaques, common on extensor surfaces and scalp
50% cases also have some nail involvement
Differentials for psoariasis?
Describe 4 nail changes seen in Psoriasis
________ Psoriasis is seen in the image below and is ________ to diagnose and the most common

Chronic Plaque, Easy
Presentation of chronic plaque psoriasis? (Incl locations)
Monomorphic patches of ‘salmon’ pink erythema with overlying silver thickened plaque
Occurs on the scalp, behind the ears, trunk, buttocks, periumbilical area, and extensor surfaces
Plaques vary in size, smaller ones are harder to treat because it is difficult to apply topical therapy precisely

List 4 pieces of general lifestyle advice which can be given to a patient with psoriasis
List 2 examples of Topical treatments for psoriasis
List 2 examples of oral treatments for psoriasis
According to NICE, what are the first line treatments for psoriasis on the trunk and limbs?
*Review after 4 weeks
What is the purpose of phototherapy as a treatment for psoriasis?
Uses UV light, to reduce inflammation and slow down the creation of skin cells - may cure/ease pain and itchiness
What other condition may be associated with Psoriasis?
How does this present and how is it treated?
Psoriatic arthritis

Similar presentation and treatment to RA (MSK rheumatology)
How does psoriasis present on the scalp?
Itchy, painful scalp with dandruff - may lead to hair loss
Can be an isolated disease or part of widespread disease

What is the treatment for scalp psoriasis?
Others: Salicylic acid, other coal tar products
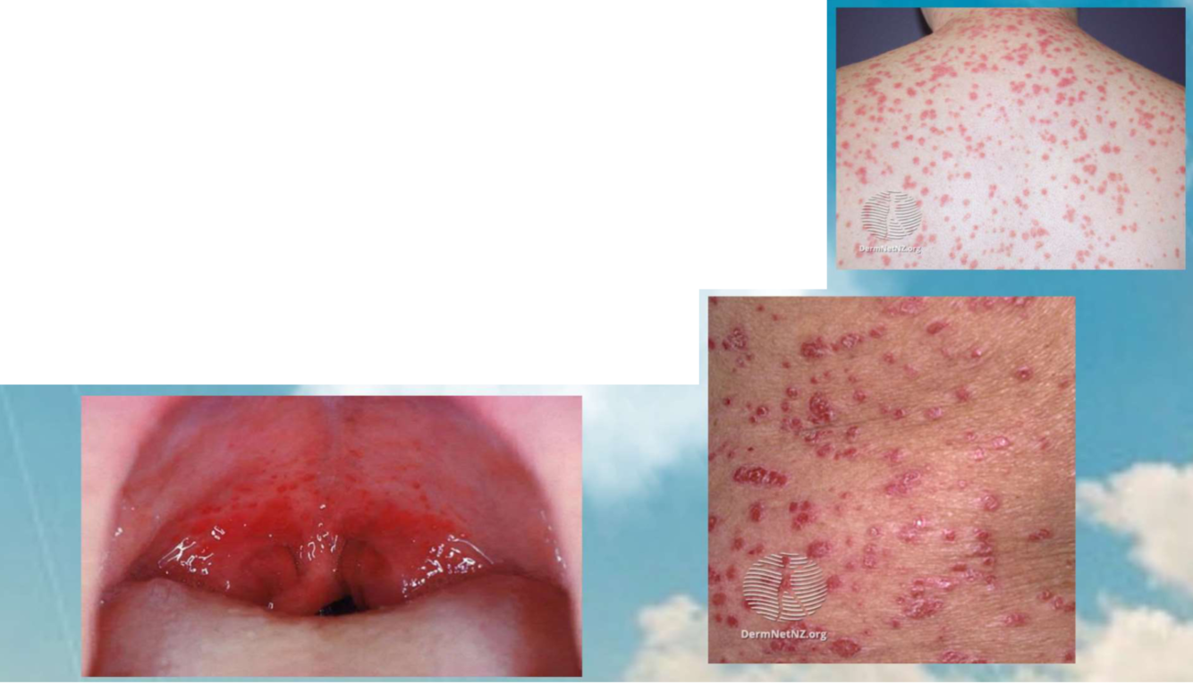
How does Guttatte Psoriasis present?
Widespread red, scaly, small teardrop-shaped plaques

Guttatte Psoriasis usually occurs as a result of what?
In which age group is it most common?
Usually a post-streptococcal infection
More common among children and teenagers
hroat manifestation stuff???
Differentials for Guttate Psoriasis?
Treatment of Guttate Psoriasis?
How does Plamoplanter psorasis present, and where specifically does it affect?
Presents as keratoderma (thickened skin), painful fisuring and yellow pustules
Occurs on the palms and/or soles

How does Flexural psoriasis present, and where does it commonly occur?
Thickened, well defined salmon pink patch, smooth, shiny but NO silvery plaque present
Affects body folds, genitals, perianal area

Flexural Psoriasis is commonly mistaken for what 2 conditions?
What MUST be excluded before we can diagnose flexural psoriasis?
Eczema or Candidal infection
Need to exclude Tinea!