Psoriasis Flashcards

(8 cards)

1
Q

Psoriasis.
(1) A (CHRONIC/ACUTE), inflammatory disorder most commonly characterized by cutaneous erythematous plaques with silvery scale.
(2) It is a complex ______-mediated disorder associated with flares related to systemic, psychological, infectious, and environmental factors.
(3) Plaque (vulgaris): Most common variant (~80% of cases).
(4) Genetic predisposition (polygenic); 40% have psoriasis in a _______.

A

1) Chronic
2) Immune
3) first-degree relative

How well did you know this?
1
Not at all
2
3
4
5
Perfectly
2
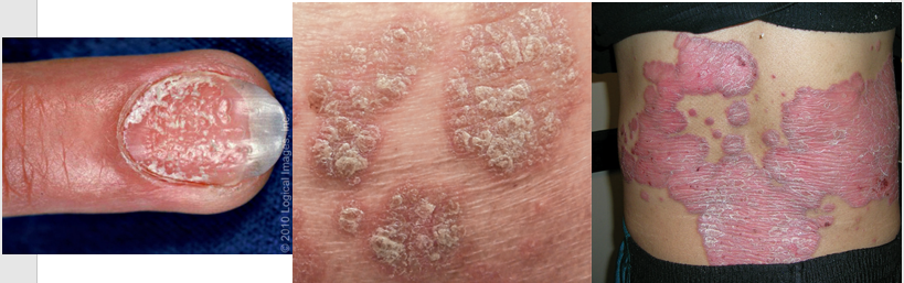
Q

(1) Well-demarcated salmon pink-to-red erythematous papules and plaques; silvery scale.
(2) Distribution favors scalp, auricular conchal bowls, and postauricular area; extensor surface of extremities, especially knees and elbows; umbilicus, lower back, intergluteal cleft, and nails.
(3) Nail findings: Pitting, oil spots, onycholysis.
(4) Auspitz sign: Pinpoint bleeding with removal of scale.
(5) Koebner phenomenon: New psoriatic lesions arising at sites of skin injury/trauma.
(6) Genitals affected in up to 40% of patients.

A

Plaque Psoriasis
Treatment
(1) Topical
-(a) Adult initial therapy: medium-potency corticosteroids daily:
-(b) Topical retinoids:
(2) Systemic therapy
-(a) Patients with Psoriasis involving more than 20% of the body surface or who are very uncomfortable should consider systemic therapy.
(3) Phototherapy (light box Therapy)
-(a) Targeted exposure to UVR in dermatology.

How well did you know this?
1
Not at all
2
3
4
5
Perfectly
3
Q

Patients with Psoriasis involving more than 20% of the body surface or who are very uncomfortable should consider what type of therapy?

A

systemic therapy

How well did you know this?
1
Not at all
2
3
4
5
Perfectly
4
Q

What is Koebner phenomenon?

A

New psoriatic lesions arising at sites of skin injury/trauma

How well did you know this?
1
Not at all
2
3
4
5
Perfectly
5
Q

What is Auspitz sign

A

Pinpoint bleeding with removal of scale

How well did you know this?
1
Not at all
2
3
4
5
Perfectly
6
Q

Lab considerations for Psoriasis

A

KOH to rule of Tinea
Xrays for joint pain r/o psoriatic arthritis

How well did you know this?
1
Not at all
2
3
4
5
Perfectly
7
Q

Complications psoriasis

A

(1) Psoriatic arthritis
(2) Exfoliative dermatitisComplications

How well did you know this?
1
Not at all
2
3
4
5
Perfectly
8
Q

Disposition psoriasis

A

Routine referral to Dermatology for further evaluation and definitive treatment

How well did you know this?
1
Not at all
2
3
4
5
Perfectly