Psoriasis Flashcards

(54 cards)

1
Q

What is psoriasis?

A

This is a common, chronic inflammatory dermatosis of the psoriatic form

How well did you know this?
1
Not at all
2
3
4
5
Perfectly
2
Q

What ages are most commonly affected by psoriasis?

A

There are 2 main peaks of onset, 2nd and 5th decade

How well did you know this?
1
Not at all
2
3
4
5
Perfectly
3
Q

What is thought to be a possible cause of psoriasis?

A

There is thought to be a genetic element, with multiple genes being found to be linked to psoriasis (PSORS1 is a major locus)

How well did you know this?
1
Not at all
2
3
4
5
Perfectly
4
Q

Describe the disease course of psoriasis?

A

It follows a chronic relapsing and remitting course

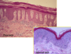
How well did you know this?
1
Not at all
2
3
4
5
Perfectly
5
Q

What are some precipitating factors of psoriasis?

A
  • Emotional stress
  • Infection
  • Drugs (E.g. ß-Blockers, lithium, anti-malarials, withdrawal of steroids)
  • Alcohol
  • Trauma (Koebner phenomenon)
  • Smoking
  • HIV/AIDS
  • UV radiation
  • Metabolic syndromes
How well did you know this?
1
Not at all
2
3
4
5
Perfectly
6
Q

Describe the pathophysiology of psoriasis

A

Psoriasis involves hyperproliferation of the epidermal cells, causing an increase in number of cells entering the cell cycle from the basal layer

This also causes a complement mediated attack on keratin layer

The complement system attracts neutrophils and leukocytes

Munro micro-abscesses can therefore form, which is a useful diagnostic clue

How well did you know this?
1
Not at all
2
3
4
5
Perfectly
7
Q

What are some examples of psoriasis subtypes? (10)

A

Chronic plaque psoriasis
Guttate psoriasis
Scalp psoriasis
Flexural psoriasis
Palmoplantar psoriasis
Palmoplantar pustulosis
Erythrodermic psoriasis
Pustular psoriasis
Nail psoriasis
Psoriatic arthritis

How well did you know this?
1
Not at all
2
3
4
5
Perfectly
8
Q

What is chronic plaque psoriasis?

A

This is a form of psoriasis in which there is formation of erythematous scaly plaques

How well did you know this?
1
Not at all
2
3
4
5
Perfectly
9
Q

Where does chronic plaque psoriasis usually affect?

A

Extensor aspects on the knees, elbows, sacrum and scalp and is often symmetrical

How well did you know this?
1
Not at all
2
3
4
5
Perfectly
10
Q

How will chronic plaque psoriasis usually present?

A

Plaques are palpable and raised, with a silver scale

Auspitz’ sign will be positive (Removing scale reveals pin-point bleeding)

How well did you know this?
1
Not at all
2
3
4
5
Perfectly
11
Q

What is the koehler phenomenon?

A

This is a phenomenon in which psoriasis may develop in sites of trauma, 2-6 weeks after it is sustained

How well did you know this?
1
Not at all
2
3
4
5
Perfectly
12
Q

What are some causes of trauma that can lead to the koehler phenomenon?

A
  • Scratching
  • Burns
  • Other dermatoses (E.g. contact dermatitis)
  • Surgical trauma
How well did you know this?
1
Not at all
2
3
4
5
Perfectly
13
Q

What are some other conditions that can be caused by the koehler phenomenon?

A

Lichen planus, vitiligo and some rarer conditions

How well did you know this?
1
Not at all
2
3
4
5
Perfectly
14
Q

Who is most commonly affected by guttate psoriasis?

A

Younger patients between 15 and 25

How well did you know this?
1
Not at all
2
3
4
5
Perfectly
15
Q

How will guttate psoriasis usually present?

A

This will usually for 7-10 days after a streptococcal sore throat, causing multiple small psoriatic lesions (Raindrops) on the trunk

The patients may only have one episode

How well did you know this?
1
Not at all
2
3
4
5
Perfectly
16
Q

How is guttate psoriasis managed?

A

Treatment involves nothing, emollients, topical tar of phototherapy if required

How well did you know this?
1
Not at all
2
3
4
5
Perfectly
17
Q

What is a possible complication of scalp psoriasis?

A

Permanent alopecia

How well did you know this?
1
Not at all
2
3
4
5
Perfectly
18
Q

What is flexural psoriasis?

A

This is psoriasis that affects flexoral surfaces such as the groin, axillae or inframammary areas (Below breasts)

How well did you know this?
1
Not at all
2
3
4
5
Perfectly
19
Q

How will flexural psoriasis present?

A

This will cause formation of shiny, red, well-demarcated plaques with little scale

This can be confused with fungal infection of intertrigo

How well did you know this?
1
Not at all
2
3
4
5
Perfectly
20
Q

How is flexural psoriasis managed?

A

Treatment involves a mild topical steroid and antifungal preperation such as Canesten HC or Trimovate cream

How well did you know this?
1
Not at all
2
3
4
5
Perfectly
21
Q

What is palmoplantar psoriasis ?

A

This is a very painful and possibly disabling form of psoriasis affecting the palms of the hands and soles of the feet, often causing very thick hyperkeratosis

How well did you know this?
1
Not at all
2
3
4
5
Perfectly
22
Q

How is palmoplantar psoriasis managed?

A
  • Topical tar preparations
  • Salicylic acid
  • Topical steroids
  • Phototherapy
  • Systemic immunosuppressants
23
Q

What is palmoplantar pustulosis?

A

This is a possible form of psoriasis or a psoriasis related disorder affecting the hands and feet

24
Q

How will palmoplantar pustulosis present?

A

It results in the formation of sterile yellow pustules on the hands and feet which fade down to brown macules

25
What are some risk factors for palmoplantar pustulosis?
Over 50 Female Cigarette smoking
26
What is erythrodermic psoriasis?
This is a very uncommon form of psoriasis, which involves full skin involvement and plaque formation, with >90% of the skin being red
27
What are some causes of erythrodermic psoriasis?
This usually occurs in patients with known or deteriorating psoriasis, but can also occur de-novo This can be caused by withdrawal of potent topical or systemic steroids, drug reactions of UV burns
28
What are some risks of erythrodermic psoriasis?
This increases risk of dehydration, electrolyte deficiency, hypothermia, cardiogenic shock, anaemia and hypoproteinaemia
29
How is erythrodermic psoriasis managed?
Treatment involves fluid balance, bed rest, emollients and systemic immunosuppression
30
What is pustular psoriasis?
This is a generalised condition resulting in painful skin, fever, malaise and formation of sterile pustules
31
What are some causes of pustular psoriasis?
Withdrawal of steroids, infection, pregnancy or hypocalcaemia
32
What will blood testing show in pustular psoriasis?
Hypoalbuminaemia, hypocalcaemia and leucocytosis
33
How is pustular psoriasis managed?
Treatment involves bed rest, emollients, infection monitoring, fluid balance, protein monitoring and systemic immunosuppression
34
What are some common nail changes in nail psoriasis?
- Nail pitting - Onycholysis - Oil-drop lesions - Sub-ungual hyperkeratosis - Nail deformity
35
What are the 5 main patterns of psoriatic arthritis?
- Asymmetric oligoarthritis (60-70%) - Symmetrical polyarthritis (15%) - Distal phalangeal joint disease (5%) - Destructive arthritis (Arthritis mutilans - 5%) - Axial arthritis (5%) (Spondylitis/Sacroiliitis)
36
What pattern of psoriasis is shown?
Chronic plaque
37
What pattern of psoriasis is shown?
Guttate
38
What pattern of psoriasis is shown?
Scalp
39
What pattern of psoriasis is shown?
Flexural
40
What pattern of psoriasis is shown?
Palmoplantar psoriasis
41
What pattern of psoriasis is shown?
Palmoplantar pustulosis
42
What pattern of psoriasis is shown?
Erythrodermic
43
What pattern of psoriasis is shown?
Pustular
44
What psoriatic nail change is shown?
Onycholysis
45
What psoriatic nail change is shown?
Nail pitting
46
What are some histological features of psoriasis?
- Parakeratotic stratum corneum (Contains nuclei) - Absence of granular layer - Expanded prickle cell layer - Large capillary vessels in papillary dermis - Leucocytes (Munro microabscesses in stratum corneum)
47
What are some treatment options in psoriasis?
- Topical treatment - Phototherapy - Oral treatments - Biologic therapy
48
Why should topical steroids never be used in generalised psoriasis?
It can cause rebound flare-ups
49
What are some acute side effects of phototherapy ?
- Erythema - Blistering - Photoconjunctivitis - Exacerbation of Herpes simplex
50
What are some chronic side effects of phototherapy?
Photoaging Photocarcinogenesis
51
What are some forms of photo treatment?
Phototherapy (UVB) and photochemotherapy (UVA + Psoralen)
52
How often is phototherapy given?
3 times per week for 3 weeks
53
How often is photochemotherapy given?
2 times per week
54
What are some targets for biologic therapy in psoriasis?
- TNF-alpha (Mediates T-cell to macrophage communication) - IL17 (Activates keratinocytes and fibroblasts) - IL23 (Triggers differentiation and growth of Th17 cells)