Psoriasis Flashcards

(46 cards)

1
Q

Define psoriasis [1]

A

Psoriasis is a chronic inflammatory skin condition characterised by clearly defined, red and scaly plaques.

Caused by the hyperproliferation of the epidermis.

How well did you know this?
1
Not at all
2
3
4
5
Perfectly
2
Q

Describe the clinical presentation of psoriasiss

A
  • Erythematous, circumscribed scaly papules and plaques on elbows, knees, extensor surfaces of limbs, scalp, and, less commonly, nails, ears, and umbilical region. Silvery scale with well demarcated plaques
  • Symmetrical
  • Most commonly on extensor surfaces
  • Well defined plaques (compared to eczema) with matching morphology
  • Gets better when exposed to sun
  • FHx
  • 20% have psoriatic arthritis: joint pain, tendinitis etc. In most cases arthritis presents after the onset of cutaneous psoriasis
How well did you know this?
1
Not at all
2
3
4
5
Perfectly
3
Q

State the different types of psoriasis [5]

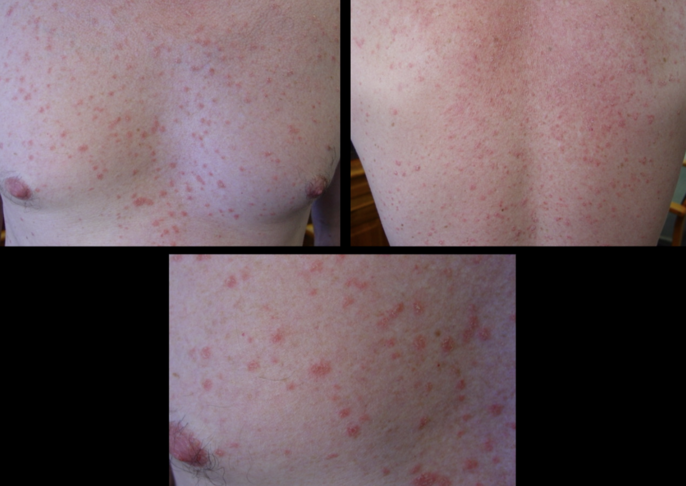
A

Guttate psoriasis (post streptococcal infection)
- Widespread small plaques
- Often resolves after several months

Chronic plaque psoriasis
* Persistent and treatment-resistant
* Plaques >3 cm
* Most often affects elbows, knees, and lower back
* Ranges from mild to very extensive

Flexural psoriasis (inverse psoriasis)
* Affects body folds and genitals
* Smooth, well-defined patches
* Colonised by candida yeasts

Pustular psoriasis
* Acute generalised pustular psoriasis (von Zumbusch): rare, severe, urgent.

Sebopsoriasis
* Overlap of seborrhoeic dermatitis and psoriasis
* Affects the scalp, face, ears and chest
* Colonised by malassezia

Nail psoriasis
* Pitting, onycholysis, yellowing, and ridging
* Associated with inflammatory arthritis

How well did you know this?
1
Not at all
2
3
4
5
Perfectly
4
Q

Guttate psoriasis lesions often erupt after an upper respiratory infection.

Which age group do they most commonly occcur in? [1]

Where specifically do they occur?

A

Guttate psoriasis:
* more common in children and adolescents
* Widespread, erythematous, fine, scaly papules (water drop appearance) on trunk, arms, and legs

How well did you know this?
1
Not at all
2
3
4
5
Perfectly
5
Q

Describe the onset of guttate psoriasis [1]

A

tends to be acute onset over days

How well did you know this?
1
Not at all
2
3
4
5
Perfectly
6
Q

Describe how you differentiate guttate psoriasis to pityriasis rosea with regards to:

prodrome [1]
appearance [1]
treatment [1]

A

Guttate psoriasis:
- Precieded by streptococcal infection 2/4 weeks ago
- Tear drop scaly papules
- Most resolve spontaneously with 2-3 months.

PR:
- Ptx report recent resp. infection but not common in qs
- Herald patch followed 1-2 weeks later by multiple erythematous, slightly raised oval lesions with a fine scale confined
- Self limiting (~6 weeks)

PR
How well did you know this?
1
Not at all
2
3
4
5
Perfectly
7
Q

Describe the clinical manifestation of inverse psoriasis [2]

A

Smooth red patches occur in skin folds such as under the breasts, in the armpits or around genitals. It’s more common in overweight individuals and is exacerbated by friction and sweating.

How well did you know this?
1
Not at all
2
3
4
5
Perfectly
8
Q

Describe the clinical manifestation of pustular psoriasis [2]

A

Pustular psoriasis is a rare severe form of psoriasis where pustules form under areas of erythematous skin.

The pus in these areas is NOT infectious

Patients can be systemically unwell

It should be treated as a MEDICAL EMERGENCY and patients with pustular psoriasis initially require admission to hospital.

How well did you know this?
1
Not at all
2
3
4
5
Perfectly
9
Q

Acute pustular psoriasis is a potentially life threatening disease characterised by the development of numerous small sterile yellow pustules and widespread areas of erythema. The pustules may coalesce to form large patches of pus.

The condition may arise in patients who have had classical psoriasis for many years.

Attacks may be precipitated by [4]

A

Acute pustular psoriasis is a potentially life threatening disease characterised by the development of numerous small sterile yellow pustules and widespread areas of erythema. The pustules may coalesce to form large patches of pus.
The condition may arise in patients who have had classical psoriasis for many years.

Attacks may be precipitated by infection, drugs, pregnancy, or the withdrawal of topical or systemic corticosteroid therapy.

How well did you know this?
1
Not at all
2
3
4
5
Perfectly
10
Q

Describe the clinical manifestation of Erythrodermic psoriasis [2]

Why is this clinically significant? [1]

A

Erythrodermic psoriasis
- A rare form that leads to fiery redness over most of the body. It can cause severe itching and pain, and is a medical emergency as it can disrupt the body’s ability to regulate temperature.

How well did you know this?
1
Not at all
2
3
4
5
Perfectly
11
Q

The appearance of punctate, bleeding spots when psoriasis scales are scraped off is called? [1]

A

Auspitz sign

How well did you know this?
1
Not at all
2
3
4
5
Perfectly
12
Q

What are triggers for psoriasis? [+]

A

Infections
- Strep; HIV

Alcohol and stress

Drugs:
- Beta blockers, nicotine and antimalarials
- Lithium
- Antihypertensives (ACEin)

Skin injury: Koebner phenomenon

Endocrine changes
- Puberty
- Pregnancy (generally improves)
- Menopause
- Hypocalcaemia

Ethnicity
- 2x more common in white populations

How well did you know this?
1
Not at all
2
3
4
5
Perfectly
13
Q

How do you differentiate psoriasis between atopic dermatitis if they present similarly? [1]

A

Skin biopsy shows changes consistent with atopic dermatitis.

How well did you know this?
1
Not at all
2
3
4
5
Perfectly
14
Q

Which investigations do you perform to dx psoriasis? [2]

A
  1. Clinical diagnosis (usually no tests are necessary)
  2. Consider skin bx: Intra-epidermal spongiform pustules and Munro neutrophilic microabscess within the stratum corneum
    - parakeratosis, acanthosis, and elongation of the rete ridges.
  3. Blood tests
  4. Rheumatology Screening:
    - Patients with psoriatic arthritis often present with skin symptoms first
    - Therefore, if joint symptoms are present or if there is a high suspicion of psoriatic arthritis based on clinical judgement, rheumatology screening including serum rheumatoid factor (RF) test and anti-cyclic citrullinated peptide (anti-CCP) antibodies should be considered.
How well did you know this?
1
Not at all
2
3
4
5
Perfectly
15
Q

Describe the tx algorithm for plaque psoriasis

A

Topical treatments:
- Emollients
- Steroids - dont use alone - combine with vitamin D analogue e.g. Dovabet (combination tx)
- Salicylic acid - breaks down keratin
- Coal tar - effective anti-inflam

Phototherapy: 3x week for 3 months
- NB-UBV
- PUVA

Systemics - Oral immunosuppression
- Methotrexate
- Ciclosporin

Systemics - retinoids:
- Acitretin - Its use is restricted, generally only for those who have failed other systemic options or in whom they are inappropriate.

Biologics

How well did you know this?
1
Not at all
2
3
4
5
Perfectly
16
Q

Describe the management plan for a patient with psoriasis

A

Mild to moderate psoriasis:
- Vitamin D analogues (e.g., calcipotriol) and corticosteroids
- Tar preparations and dithranol may be considered for chronic plaque psoriasis.

Moderate to severe disease not responding to topical treatments:
- Narrowband UVB therapy (psoralen plus UVA (PUVA) therapy may be utilised if narrowband UVB is ineffective or contraindicated)
- Methotrexate, ciclosporin or acitretin can be considered in patients with severe disease or when topical treatments and phototherapy have failed

Severe disease who have failed traditional systemic therapies:
- etanercept (TNF-inhibitors)
- ustekinumab (interleukin-12/23 inhibitors)
- secukinumab (interleukin-17 inhibitors)

How well did you know this?
1
Not at all
2
3
4
5
Perfectly
17
Q

Describe the tx algorithm for guttate psoriasis [5]

A
  1. Most cases resolve spontaneously within 2-3 months
  2. Phototherapy
  3. Ciclosporin
  4. Methotrexate
  5. Acitretin
How well did you know this?
1
Not at all
2
3
4
5
Perfectly
18
Q

What score is used to rate psoriasis Disease Severity Assessment on a ptx? [1]

What score indicates moderate to severe diseae [1]

A

PASI
- It takes into account both the extent of body surface area affected by psoriasis and the intensity of plaque redness, thickness and scaling.
- A PASI score greater than 10 indicates moderate to severe disease.

How well did you know this?
1
Not at all
2
3
4
5
Perfectly
19
Q

Describe typical nail changes seen in nail psoriasis

A
  • Subungual hyperkeratosis
  • Nail pitting
  • Oil drop discolouration (yellow/pink patches)
  • Leukonychia (white discolouration)
  • Onycholysis (detachment of the nail from the nail bed)
  • Splinter haemorrhages
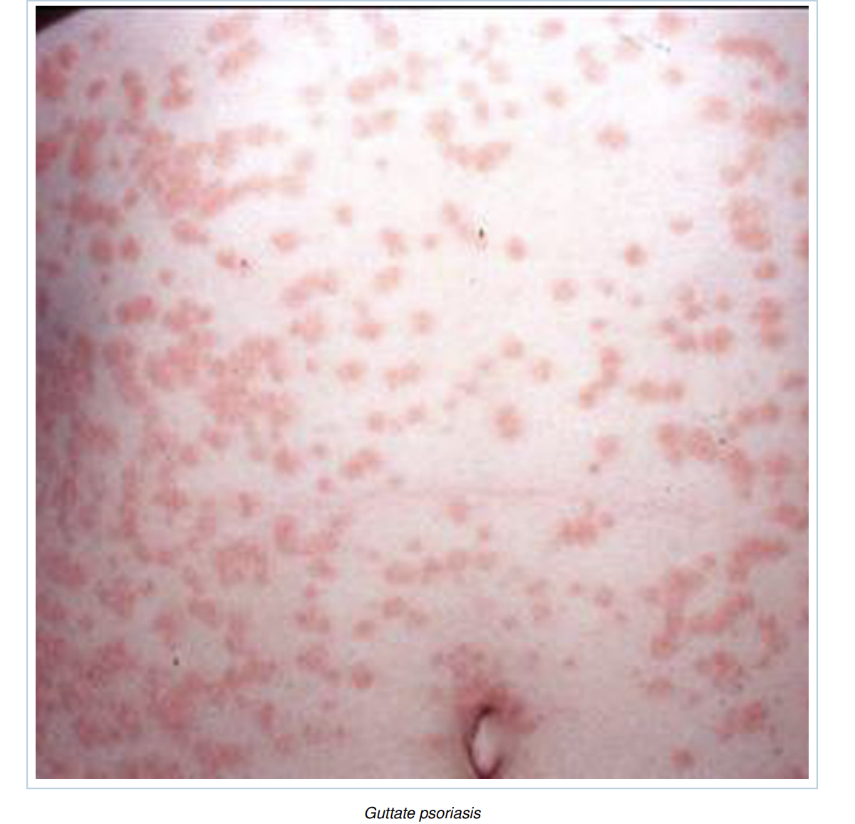
20
Q

What type of psoriasis is depicted? [1]

A

Guttate psoriasis
- Also termed raindrop psoriasis, it presents as a sudden eruption of small circular plaques classically 2 weeks following a streptococcal sore throat. It can also occur as a flare of disease in patients with pre-existing psoriasis.

21
Q

If on methotrexate tx, how long should both m&f be on contraception for? [1]

A

Contraception is advised for both men and women during, and for at least 6 months after, treatment.

22
Q

Describe what is meant by generalised pustular psoriasis [2]

A

Subdivided into acute GPP and generalised annular pustular psoriasis

The pustules may coalesce forming ‘lakes of pus’. They tend to resolve over days leaving the erythema and scaring. It can represent a dermatological emergency and patients are often systemically unwell with fever, malaise and arthralgia.

In erythroderma (erythrodermic psoriasis), there is generalised erythema with fine scaling. It is often associated with pain, irritation, and sometimes severe itching.[2]

23
Q

Describe how you differentiate between guttate psoriasis and pityriasis rosea with regards to prodrome, appearance and tx? [3]

A

Pityrisasis rosea will also have a herald patch

24
Q

How would you differentiate psoriasis to eczema? [3]

A

Eczema:
- usually presents with intense pruritus
- lesions are typically ill-defined
- erythematous patches, papules or plaques
- The skin may become thickened from chronic scratching (lichenification).

Psoriasis:
- well-demarcated, red plaques covered by silvery scales
- Normally less severe itching
- Auspitz sign is definitive

25
How would you differentiate psoriasis from seborrheic dermatitis? [2]
**Seborrheic dermatitis:** - Impacts areas of **sebaceous** **glands** e.g. scalp, face and central chest - Well-**defined** **erythematous** **patches** or **plaques** with **yellowish** **greasy** **scaling**. **Psoriasis:** - **Extend** **beyond the hairline** unlike seborrheic dermatitis - presence of nail changes like pitting or onycholysis would indicate
26
How would you differentiate psoriasis vs lichen planus?
**Lichen Planus**: *is an ongoing (chronic) inflammatory condition that affects mucous membranes inside your mouth.*: - **Flat-topped, polygonal papules** that often have a violaceous hue. - **Wickham's striae** (fine white lines) may be visible on the surface. - **Oral or genital involvement** is more common in lichen planus than psoriasis.
27
Name this manifestation of psoriasis [1] Describe why this an derm emergency
**Erythroderma** **Complications include:** * Dehydration * Heart failure * Infection * Hypothermia - inability to regulate temperature * Protein loss and malnutrition * Oedema (swelling), particularly of lower legs * Death
28
Psoriasis has links to which GI pathologies? [2]
**UC and Crohns**
29
Which CV complications are linked to psoriasis? [5]
**There is a high prevalence of metabolic syndrome among individuals with psoriasis due to shared inflammatory pathways** * DM * Hyperlipidaemia * HTN * High BMI * History of MI
30
Type 1 Psoriasis has which genetic predisposition? [1]
**65% have HLA-Cw6**
31
State side effects of using the following treatments for psoriasis: - Methotrexate [4] - Ciclosporin [2] - PUVA [2] - Acitretin [2]
**Methotrexate** - Mucosal damage: ulcers - Neutropaenia from bone marrow suppression - Nausea - Chronic use: cirrhosis and lung fibrosis **Ciclosporin** - HTN - Nephrotoxicity **PUVA** - Skin cancer - Ageing **Acitretin**: - Hyperlipidaemia - Hepatoxicity
32
What is meant by Koebner phenomenon? [1]
**Koebner phenomenon**: - New psoriatic plaques form at sites of skin injury or trauma, known as Koebner phenomenon.
33
There are two products that contain both a potent steroid and vitamin D analogue that are commonly prescribed and worth being aware of. These not licensed in children and will be guided by a specialist. These are? [2]
**Dovobet** **Enstilar**
34
Describe the clinical presentation of PsA [+]
**Joint pain** - The most common joints involved are the **spine**, **sacroiliac joints (SIJ)** and the **small joints of the hands.** - **Enthesitis**: inflammation at the **insertion of tendons and ligaments** (most commonly the **Achilles tendon)** - **Asymmetric oligoarthritis**: less than four joints affected in an asymmetrical pattern - common **Dactylitis** **Morning stiffness**: greater than 30 minutes and improves over the course of the day **Constitutional symptoms**: fatigue, malaise and low-grade fevers **TOM TIP:** Psoriatic arthritis tends to affect the distal interphalangeal (DIP) joints and axial skeleton, whereas rheumatoid arthritis tends not to affect these joints. This can help you distinguish them.
35
Describe clinical imaging of PsA?
**X-ray of affected joints**: - may show erosion of the small joints. Classic findings are erosions of the **DIP** with periarticular bone formation (**osteophytes**). In advanced disease, there may be “**pencil in cup deformity”** at the DIP **X-ray of the sacroiliac joints (SIJ)**: - usually normal in the initial stages, but it is important to obtain a baseline radiograph for assessing disease progression - **Periostitis** (inflammation of the periosteum, causing a thickened and irregular outline of the bone) **MRI of SIJ:** - **looking for joint oedema** (not routinely performed due to low specificity) **TOMTIP:** The classic x-ray finding in the digits is a “**pencil-in-cup”** appearance.
36
**Psoriatic arthritis**: The pattern of joint involvement may mimic rheumatoid arthritis, or ankylosing spondylitis, or may form distinct patterns. Describe some of these distinctive patterns that would indicate psoriatic arthritis? [2]
**Dactylitis** - Swelling of a whole digit **Enthesitis** - Inflammation at the site of tendon attachment - Commonly presents as **elbow, heel or lateral hip pain**. - **achilles tendonitis, plantar fasciitis or epicondylitis**
37
Describe how you differenitate psoriasitic arthritis from RA?
RA: - **dactylitis** is NOT a feature of RA - **lumbar and sacroiliac involvement** is NOT typical of RA - **Rheumatoid nodules** not seen in psoriatic arthritis **TOM TIP:** Psoriatic arthritis tends to affect the distal interphalangeal (**DIP**) joints and **axial** **skeleton**, whereas rheumatoid arthritis tends not to affect these joints. This can help you distinguish them.
38
There is a slightly elevated risk of certain types of cancer in patients with psoriasis including **[]** and **[]** **cancer**. Immunosuppressive treatments may contribute to this risk.
There is a slightly elevated risk of certain types of cancer in patients with psoriasis including **lymphoma and non-melanoma skin cancer**. Immunosuppressive treatments may contribute to this risk.
39
Management of psoriatic arthritis should be holistic, addressing symptoms, disease progression and potential complications and disability. Describe the treatment regime of PsA
**NSAIDs** - First line symptomatic relief **Intra-articular corticosteroid injections** - may be used alone or in combination with oral medication **DMARDs**: - if there is a failure of response to initial medical treatment or if there is severe disease at diagnosis - 1st line: **standard** **DMARDs** (**methotrexate**, leflunomide or sulfasalazine) - 2nd line: **biological agents** (**etanercept**, infliximab, apremilast)
40
As PsA is a seronegative arthropathy, blood tests for [3] are usually negative.
As PsA is a seronegative arthropathy, blood tests for **rheumatoid factor (RF) and anti-cyclic citrullinated peptide (anti-CCP)** are usually negative.
41
**ACE inhibitors** The following factors may exacerbate psoriasis: * **trauma** * **alcohol** * drugs: **beta blockers, lithium, antimalarials** (chloroquine and hydroxychloroquine), **NSAIDs and ACE inhibitors, infliximab** * **withdrawal of systemic steroids**
42
**Beta blockers**
43
44
**Guttate psoriasis**
45
NICE guidelines recommend advising patients on a TNF-α inhibitor (infliximab, etanercept, gomilimumab) that they are at an increased risk of **[]** cancer
NICE guidelines recommend advising patients on a TNF-α inhibitor (infliximab, etanercept, gomilimumab) that they are at an increased risk of **skin cancer**
46
You are an FY2 in General Practice reviewing a young man with psoriasis. 2 weeks ago he had a flare and started using his topical steroid cream. On review today his symptoms are well controlled. What is the best advice to give him regarding his topical steroid use? Continue using topical corticosteroids daily Aim for a 4 week break before considering another course of topical steroids Aim for a 12 week break before considering another course of topical steroids Switch to oral prednisolone Aim to stop corticosteroids completely
**Aim for a 4 week break before considering another course of topical steroids** - Aim for a 4 week break in between courses of topical corticosteroids in patients with psoriasis