What is Psoriasis?
Chronic, genetically determined, immune-mediated, inflammatory skin condition, usually characterized by typical well defined, scaly, plaques
It can also involve nails, hair and joints
Skin condition associated with patches of abnormal skin

what is the epidemiology of psoriasis?
Affects 3% of UK population, M=F
Peak incidences - 20’s, 50’s
Uncommon in Far east population, Native Americans, West Africans
> 1/3rd have a family history, rising up to > 2/3 of cases presenting with psoriasis before 20 years of age
Around 5% develop psoriatic arthritis
Psychosocial implications
Systemic disease, link to metabolic syndrome and cardiovascular disease
what does psoriasis look like and where does it effect?
Red scaly plaques
Often symmetrical distribution
Chronic plaque
Flexural
Acute Guttate (resembling drops or characterized by markings that resemble drops)
Scalp
Palmoplantar
Nail
Pustular
Erythrodermic
What causes and how does psoriasis happen in the body?
Overactivity of the immune system
Excessive production of TH1 Cytokines inc TNF-alpha
Vascular proliferation (erythema), increased cell turnover (plaques and scaling)
what are the causes of psoriasis?
Genetics
Environmental
Infection - Strep, Candida
Drugs - Lithium, Beta-blockers, NSAIDS, Steroid withdrawal
Trauma – Koebner phenomenon (spread with trauma)
Sunlight
what is the pathogenesis of psoriasis?
Epidermal infiltration by activated T cells:
Increased epidermal cell proliferation & turnover - cell cycle reduced from 28 days to 3-5 days; capillary angiogenesis
Excessive production of TH1 cytokines esp TNF-alpha
Increased TNF-alpha linked to flares
what are the genetics involved with psoriasis?
Family history
1 parent has psoriasis = 14% of child developing
Both parents have = 41% chance
HLA Cw6, B13, B17
what are the precipitants of psoriasis?
Trauma, Infection, Drugs (B-blockers, Lithium), Sunlight, Stress, Cigarettes & Alcohol, HIV
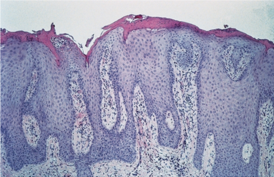
what does histology in psoriasis look like?
Hyperkeratosis (thickening of stratum corneum) with parakeratosis (keratinocytes with nuclei in stratum corneum)
Neutrophils in stratum corneum (munro’s microabcesses)
Hypogranulosis: no granular layer (needed for barrier function)
Psoriasiform hyperplasia: Acanthosis (thickening of squamous cell layer) with elongated rete ridges
Dilated dermal capillaries
Perivascular lymphohistiocytic infiltrate; T cell infiltration

subtypes of psoriasis
54 year old male presents with a 15 year history of scaly plaques on both elbows. Over the last few months the rash has spread to involve large areas of his body
He has recently lost his job and has been diagnosed with hypertension
O/E he has large salmon coloured plaques on his arms, legs and back with thick scale
what is it?
Chronic Plaque Psoriasis

Chronic plaque psoriasis accounts for almost ___ of psoriasis cases
90%
In chronic plaque psoriasis severe cases with bigger plaques have stronger impact on what?
Severe cases with bigger plaques have stronger impact on psycho-social and cardio-vascular health
chronic plaque psoriasis is normally managed with what?
Commonly managed with topical treatments in primary care setting
A 14 year old boy presents with an acute onset of a generalized eruption
O/E he has 2-5 mm multiple salmon colour papules with a fine scale worse on the trunk and proximal extremities
On direct questioning his mother says that he has had a throat infection 2-3 weeks prior to the rash
what is it?
Guttate psoriasis

What is Guttate psoriasis?
Guttate psoriasis is a type of psoriasis that shows up on your skin as red, scaly, small, teardrop-shaped spots. It doesn’t normally leave a scar. You usually get it as a child or young adult. Less than a third of people with psoriasis have this type. It’s not as common as plaque psoriasis
Guttate psoriasis commonly occurs when?
post-viral
What is the treatment of Guttate psoriasis?
Usually self-limiting
Responds well to phototherapy
May recur in some cases
A 32 year old lady presents with several months’ history of a rash on her hands and feet. She works as a beautician/masseuse and wants it to be cured
O/E the skin on the palms and soles appears thick, scaly and red with yellowish brown lesions at the edges
what is it?
Palmo-plantar Psoriasis

What is Palmo-plantar Psoriasis?
Palmoplantar psoriasis is a type of psoriasis that affects the palms of the hands and the soles of the feet. Psoriasis is an autoimmune condition that can flare up with exposure to certain triggers
What does studies show that psoriasis of palms and soles have a greater impact on what
Studies show that psoriasis of the palms and soles tend to have greater impact on the patient’s quality of life compared to those with more extensive psoriatic involvement not involving the palms and soles
27 year old lady presents to your clinic complaining of severe dandruff. She has tried various shampoos with out much effect. She has noticed that the dandruff is spreading on to her face as well
O/E you note thick hyperkeratotic plaques in the scalp with some pitting of the nails. She also has 2 small plaques of scaly rash on the cheeks
what is it?
Scalp Psoriasis
D/D – Seborhoeic dermatitis

What are the pathognomic features of nail psoriasis?
what is scalp psoriasis
Scalp psoriasis is a common skin disorder that makes raised, reddish, often scaly patches. It can pop up as a single patch or several, and can even affect your entire scalp. It can also spread to your forehead, the back of your neck, or behind and inside your ears