PSU GO Flashcards

(9 cards)

1
Q

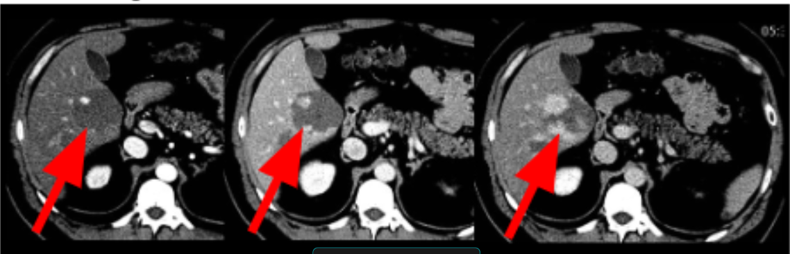
HEMANGIOMA HEPATICO

A

eparem que é uma lesão hipoatenuante que apresenta um realce na sua periferia, o qual é descontínuo, globuliforme e vai enchendo a lesão progressivamente nas fases mais tardias.

How well did you know this?
1
Not at all
2
3
4
5
Perfectly
2
Q

HIPERPLASIA NODULAR FOCAL

A

lesão com marcado realce hipervascular (realça mais que o parênquima hepático adjacente) na fase arterial e presença de cicatriz central que usualmente apresenta realce tardio.

How well did you know this?
1
Not at all
2
3
4
5
Perfectly
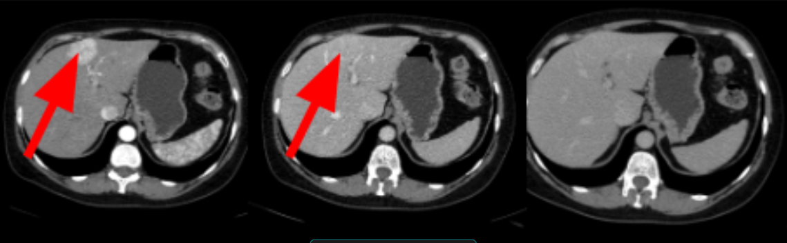
3
Q

ADENOMA HEPATICO

A

nsidere a possibilidade de adenoma hepático se estiver diante de uma lesão com hemorragia espontânea, gordura intralesional ou hipervascular sem outro diagnóstico alternativo mais provável.

How well did you know this?
1
Not at all
2
3
4
5
Perfectly
4
Q

BORMANN

A
How well did you know this?
1
Not at all
2
3
4
5
Perfectly
5
Q

Indice DeMeester

A

PHmetria para quantificar o refluxo ácido. Um índice alto (superior a 14,72) indica refluxo patológico significativo Um índice baixo, ao contrário, sugere que o refluxo ácido não é significativo,

How well did you know this?
1
Not at all
2
3
4
5
Perfectly
6
Q

TESTE DE SCHLLER

AMARELO MOSTARDA RUIM
POUCO GLICOGENIO

A

ricas em glicogênio, assumindo cor marrom-avermelhada escura.

Já o epitélio alterado, metaplásico, o pré-neoplásico e o neoplásico, por serem desprovidos de glicogênio, ficam iodo-negativos

Iodo positivo -> Teste de Schiller negativo (cor marrom escuro)
Iodo negativo -> Teste de Schiller positivo (cor amarelo mostarda)

How well did you know this?
1
Not at all
2
3
4
5
Perfectly
7
Q

TESTE DO ACIDO ACETICO

BRANQUEAMENTO É RUIM

A

desidratação celular e coagulação das proteínas intranucleares, diminuindo a transparência do epitélio, => aceto-branqueamento d

Já as células em atividade, sejam células metaplásicas ou displásicas, irão apresentar acetobranqueamento.

How well did you know this?
1
Not at all
2
3
4
5
Perfectly
8
Q

TERMINOLOGIAS DE COLPO

A

sinal da crista e do pano são considerados exemplos de achados maiores, sugestivos de lesão de alto grau.

Metaplasia escamosa é uma região “fisiológica” do colo, não associada a displasia ou malignidade.

leucoplasia, que é uma área esbranquiçada, pode se apresentar mesmo sem a aplicação de ácido acético, não podendo ser considerada como epitélio acetobranco.

How well did you know this?
1
Not at all
2
3
4
5
Perfectly
9
Q
A
How well did you know this?
1
Not at all
2
3
4
5
Perfectly