PTB Flashcards

(24 cards)

1
Q

Causes of TB

A

Mycobacterium Tuberculosis (MTB): majority of cases
Less common species (- bovis,africanum)

How well did you know this?
1
Not at all
2
3
4
5
Perfectly
2
Q

Risk factors of TB

A

Poverty/ Overcrowding / limited healthcare access
High risk professionals: healthcare workers
Immune deficiency : HIV, DM, CA, SILICOSIS
Very young & very old
IV drug use
Recent infection

How well did you know this?
1
Not at all
2
3
4
5
Perfectly
3
Q

Suspected tb

A
How well did you know this?
1
Not at all
2
3
4
5
Perfectly
4
Q

Tb exposure and active tb

A
How well did you know this?
1
Not at all
2
3
4
5
Perfectly
5
Q

Hallmarks of active disease on CXR

A

Primary:
lymphadenopathy
consolidation
nodules
pleural effusion
miliary nodules

Post Primary (reactivation or second infection):
cavitation
nodules
confluent opacities

How well did you know this?
1
Not at all
2
3
4
5
Perfectly
6
Q

Primary infection

A

1st exposure infection
Ghon focus: localized
Ranke complex: local infection with nodal spread
Asymptomatic / symptomatic
CXR: consolidation, atelectasis in children, LAD, pleural
effusion

How well did you know this?
1
Not at all
2
3
4
5
Perfectly
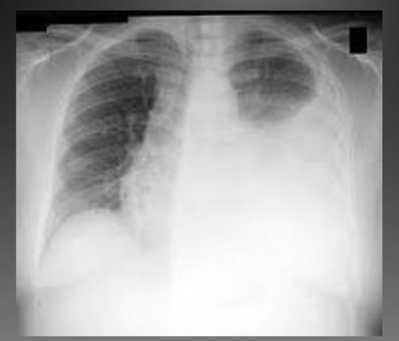
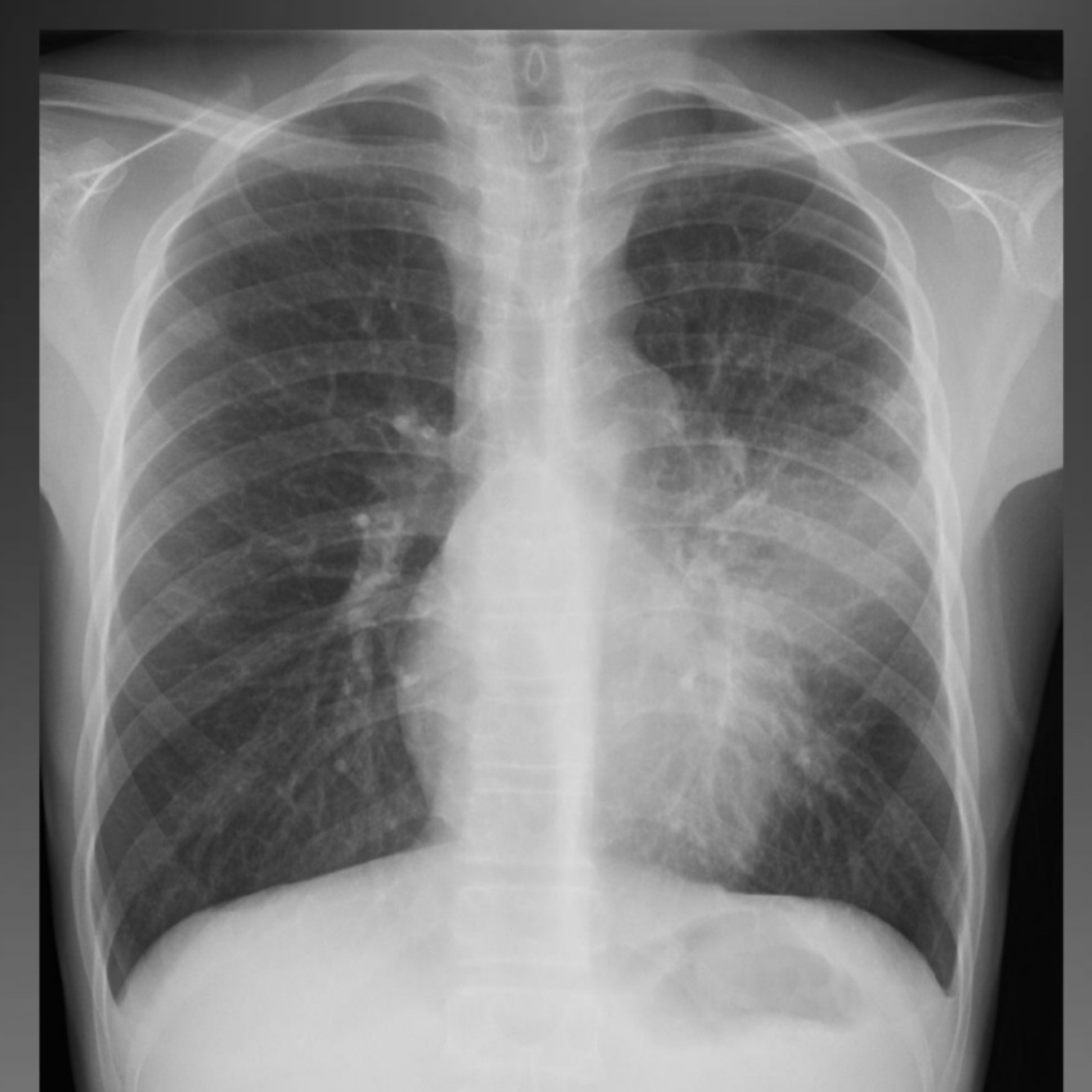
7
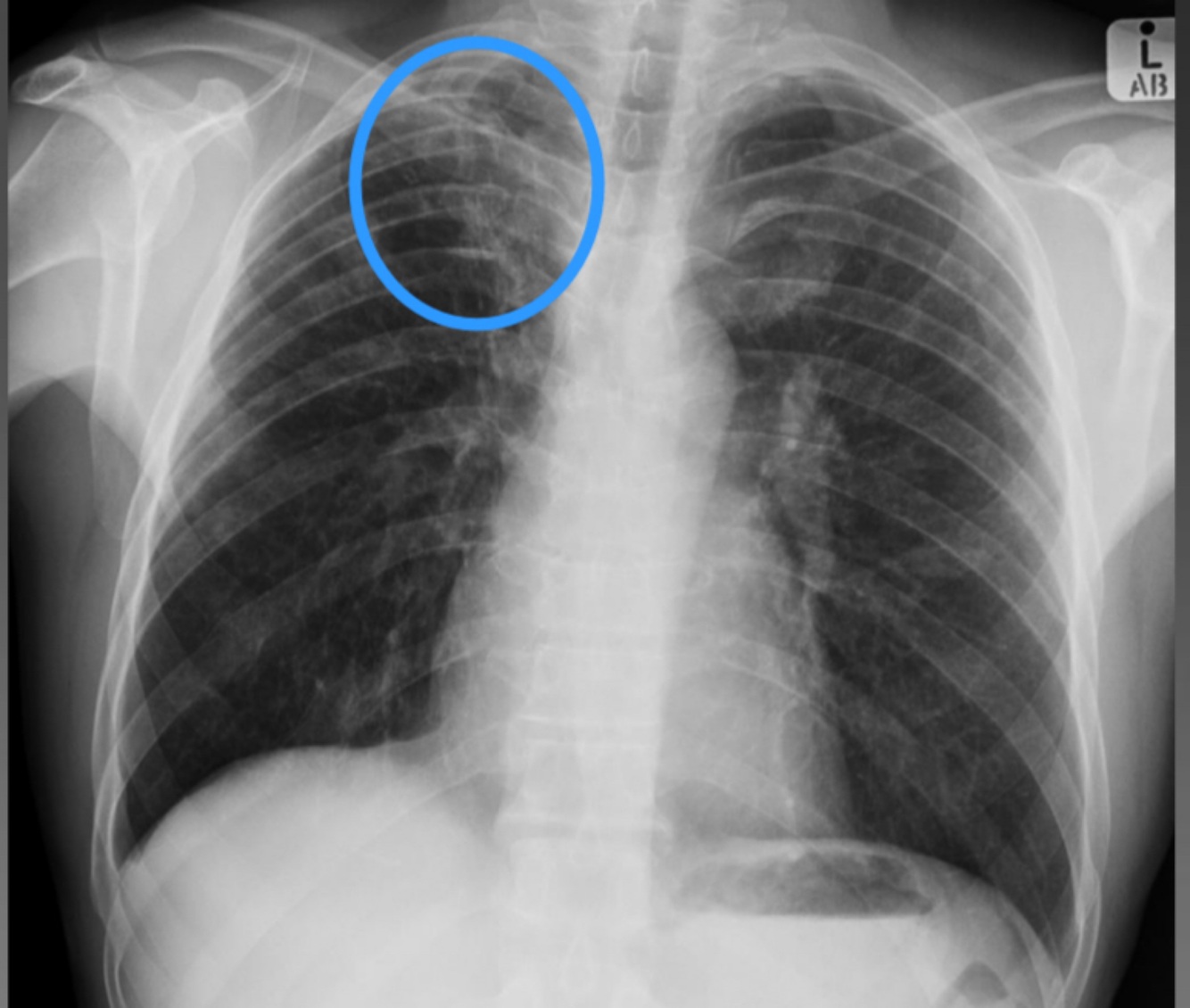
Q
A

Consolidation and lymphadenopathy

How well did you know this?
1
Not at all
2
3
4
5
Perfectly
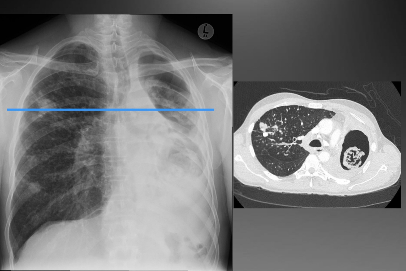
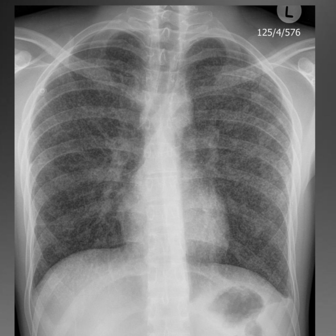
8
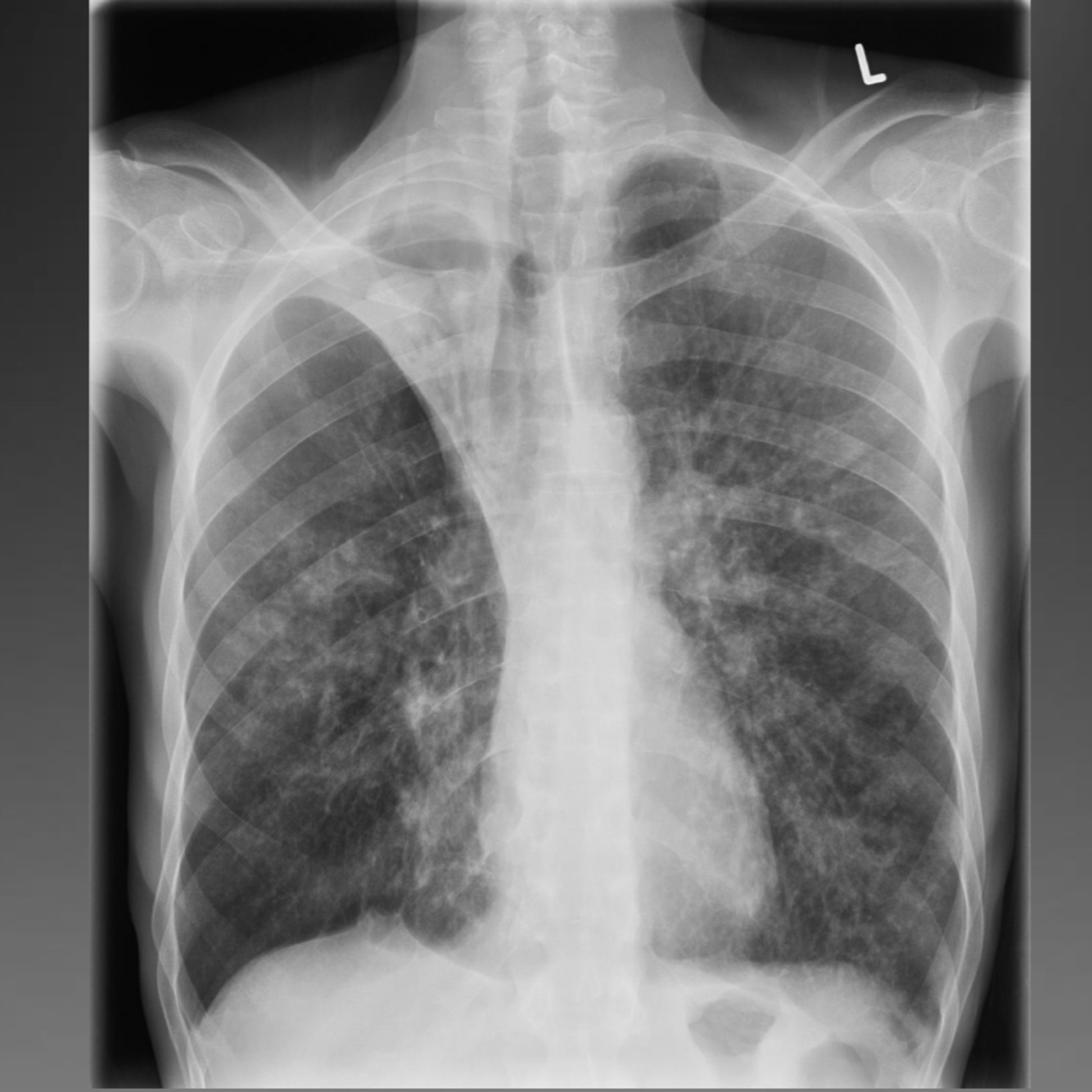
Q
A

Pleural effusion (tb infected)

How well did you know this?
1
Not at all
2
3
4
5
Perfectly
9
Q

Progressive primary tb

A

Less common
Rapidly progressive disease
CXR: extensive consolidation and
cavitation
Can mimic post primary MTB
infection

How well did you know this?
1
Not at all
2
3
4
5
Perfectly
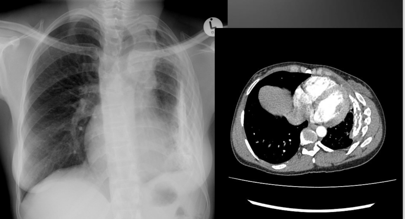
10
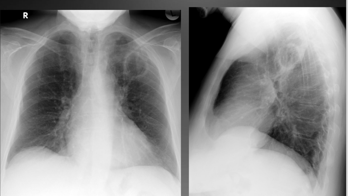
Q
A

Progressive Primary Tuberculosis

How well did you know this?
1
Not at all
2
3
4
5
Perfectly
11
Q

Post primary tb

A

Reactivation of latent infection or 2nd infection
SS: typical LOW, LOA, NS, fever, haemoptysis
Cavitation common, often apical and posterior segments
of lung, miliary spread, airway stenosis, SPN (occasionally)
Can be progressive

How well did you know this?
1
Not at all
2
3
4
5
Perfectly
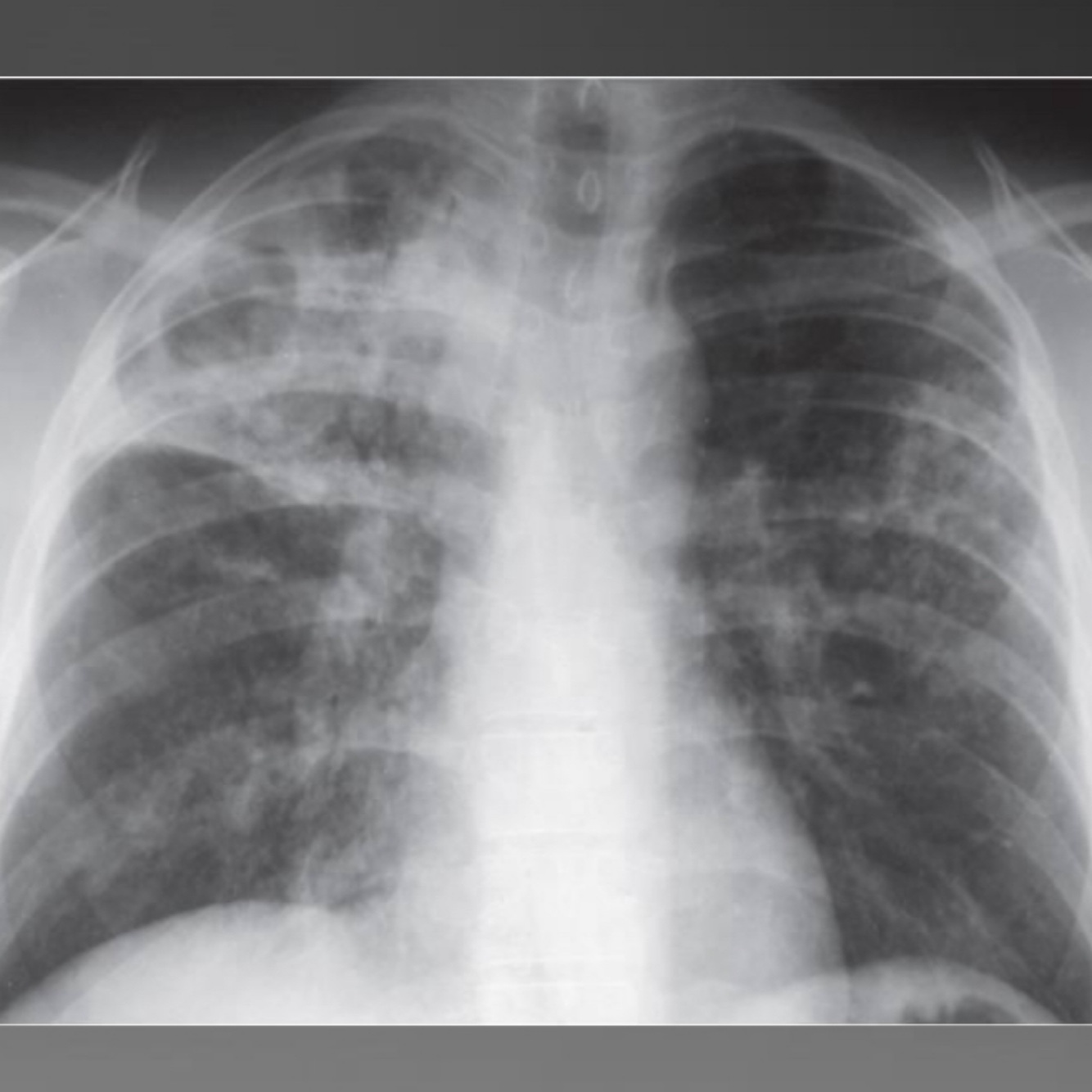
12
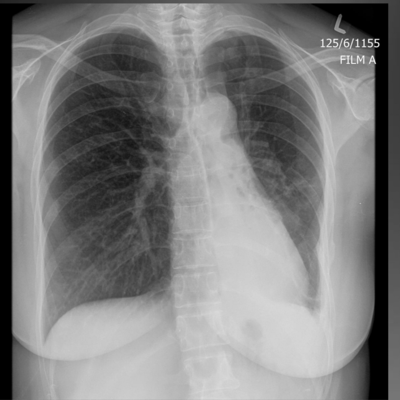
Q
A

Post primary cavitation

How well did you know this?
1
Not at all
2
3
4
5
Perfectly
13
Q
A

Miliary nodules

How well did you know this?
1
Not at all
2
3
4
5
Perfectly
14
Q
A

Atelectasis

How well did you know this?
1
Not at all
2
3
4
5
Perfectly
15
Q
A

Airway infection

How well did you know this?
1
Not at all
2
3
4
5
Perfectly
16
Q
A

Post TB fibrocystic changes

Fibrocystic/ -nodular change:
scarring, bronchiectasis, nodules
Calcification: parenchymal, nodal
and pleural

17
Q
A

Pleural calcification post tb infection

18
Q

Complications post tb

A

Haemoptysis do CTA
Recurrent infection – bronchiectasis
Drug resistance: MDR, XDR do PET-CT
HIV +: TB-IRIS

19
Q
A

CAVITY WITH ASPERGILLOMA

20
Q
A

BA hypertrophy & Rasmussen’s pseudoaneurysm

21
Q

Mimics of TB

A

Sarcoidosis
Lung cancer
Ankylosing Spondylitis
Less common: IgG4 Sclerosing disease

22
Q
23
Q
A

Iga sclerosing disease

24
Q