PULMONARY Flashcards

(58 cards)

1
Q

benign
lung tissue + cartilage
calcified on imaging

A

bronchial hamartoma

How well did you know this?
1
Not at all
2
3
4
5
Perfectly
2
Q

list subtypes (4) of non-small cell carcinoma

A

adenocardinoma
squamoud cell carcinoma
large cell neuroendocrine carcinoma
carcinoid tumour

How well did you know this?
1
Not at all
2
3
4
5
Perfectly
3
Q

seen in

A

small cell carcinoma
(lung)

mitotic activity
poorly differentiated small cells

smoking
sentral tumour (central)
syndromes - paraneoplastic (ADH, ACTH, LEMs) - lambert eaton
Tx with chemotherapy

How well did you know this?
1
Not at all
2
3
4
5
Perfectly
4
Q

what is a unique site of distant metastasis of primary lung carcinoma

A

adrenal gland

How well did you know this?
1
Not at all
2
3
4
5
Perfectly
5
Q

lung cancer causing horseness is likely affecting

A

recurrent laryngeal nerve

How well did you know this?
1
Not at all
2
3
4
5
Perfectly
6
Q

lung cancer at apex
ptosis
miosis
anhidrosis

A

pancost tumour
(apex of lung)

Horner syndrome - SNS chain involvement

affected by lung cancer

How well did you know this?
1
Not at all
2
3
4
5
Perfectly
7
Q

what mutations (2) may be present in adenocarcinoma of lung

A

EGFR
ALK translocation

common non-smoking asian females

EGFR = tyrosine kinase receptor

How well did you know this?
1
Not at all
2
3
4
5
Perfectly
8
Q

what lung cancer subtypes affect male smokers, are located centrally and posess paraneoplastic syndromes

A

SCLC
SCC (squamous)

SCLC - LEMs, ADH, ACTH
SCC - PTHrP

How well did you know this?
1
Not at all
2
3
4
5
Perfectly
9
Q

what group of persons is adenocarcinoma of lung most seen in

A

female non-smokers

EFGR mutation association - asian non-smoking females

cancer located peripherally

How well did you know this?
1
Not at all
2
3
4
5
Perfectly
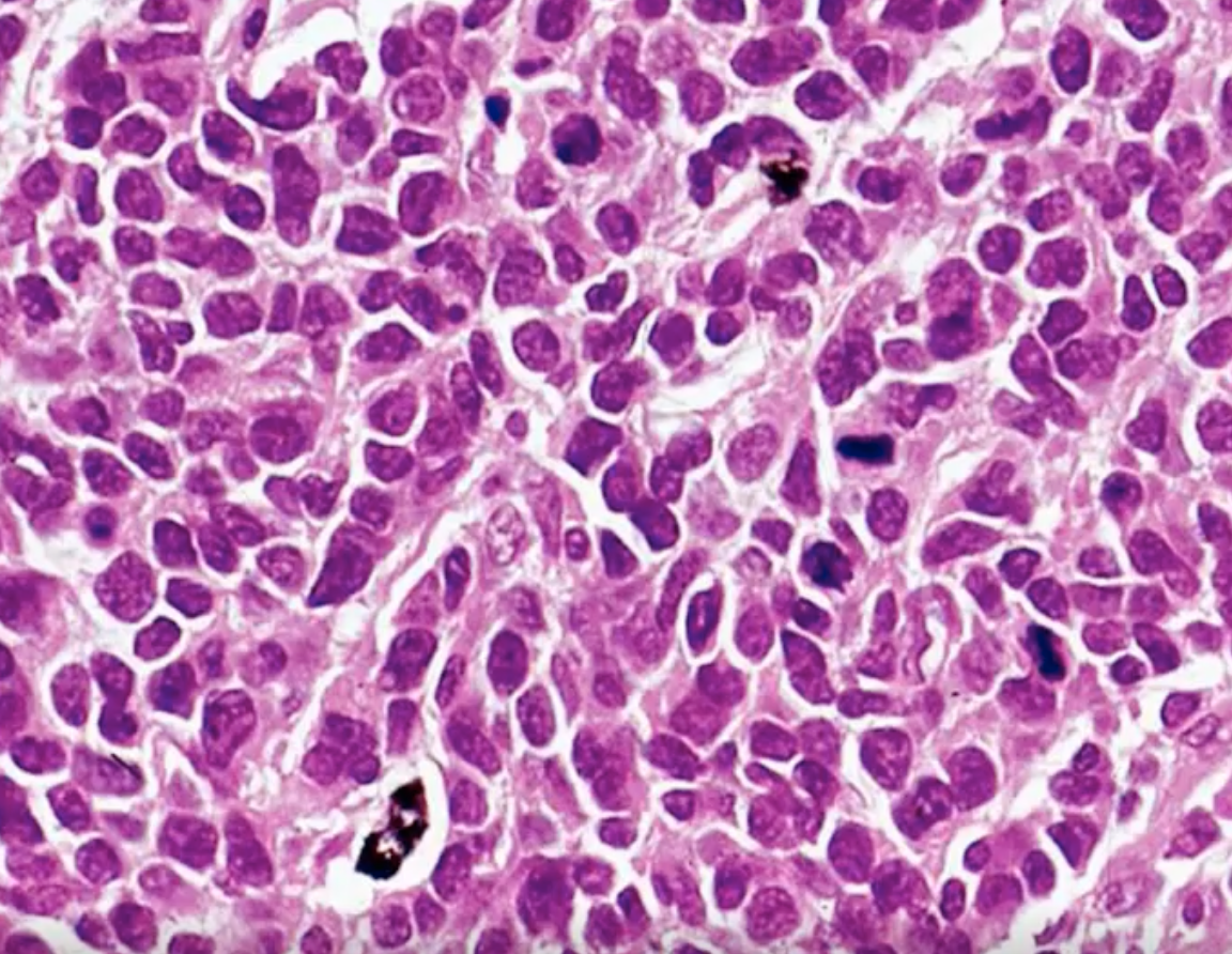
10
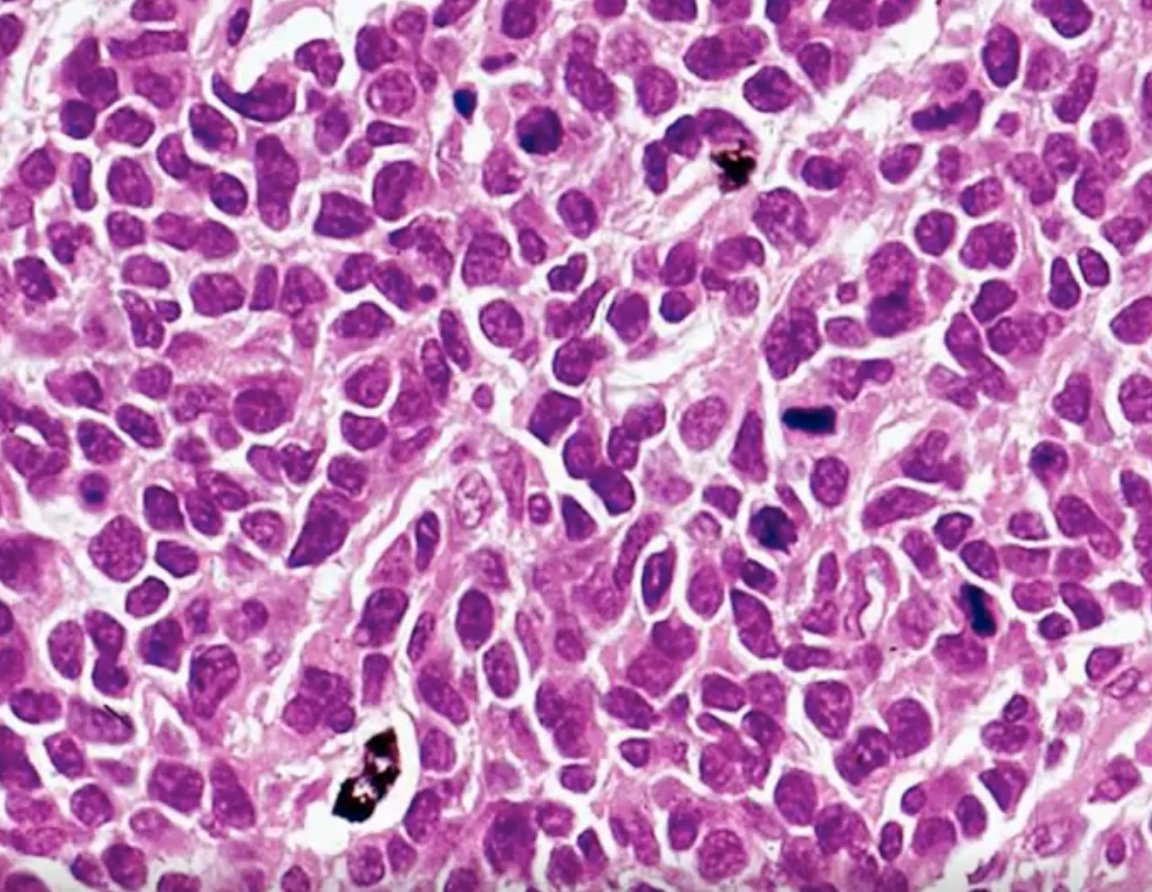
Q

male
smoker
mitotic changes
necrosis
poorly differentiated small cells
chromogranin (+)
LEMs

A

SCLC

PNP syndrome - also ADH, ACTH

central location
male smokers
small cells

How well did you know this?
1
Not at all
2
3
4
5
Perfectly
11
Q

male
smoker
hypercalcaemia

A

SCC
(squamous cell carcinoma)

keratin pearls
intercellular bridges

central
male smoker
PNP syndrome - PTHrP

How well did you know this?
1
Not at all
2
3
4
5
Perfectly
12
Q

glands
mucin
nonsmoker
female
peripheral tumor
pneumonia-like consolidation

A

adenocarcinoma lung

How well did you know this?
1
Not at all
2
3
4
5
Perfectly
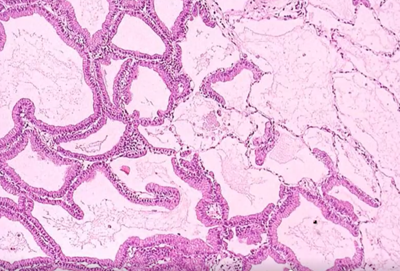
13
Q

lepidic pattern
columnar cells along preexisting brtonchioles/aveoli
peripheral
pneumonia-like consolidation
good prognosis

A

adenocarcinoma in situ = bronchioalveolar carcinoma

How well did you know this?
1
Not at all
2
3
4
5
Perfectly
14
Q

what lung cancer is determined by diagnosis of exclusion

A

large cell neuroendocrine carcinoma

smoking
central or perihpheral

How well did you know this?
1
Not at all
2
3
4
5
Perfectly
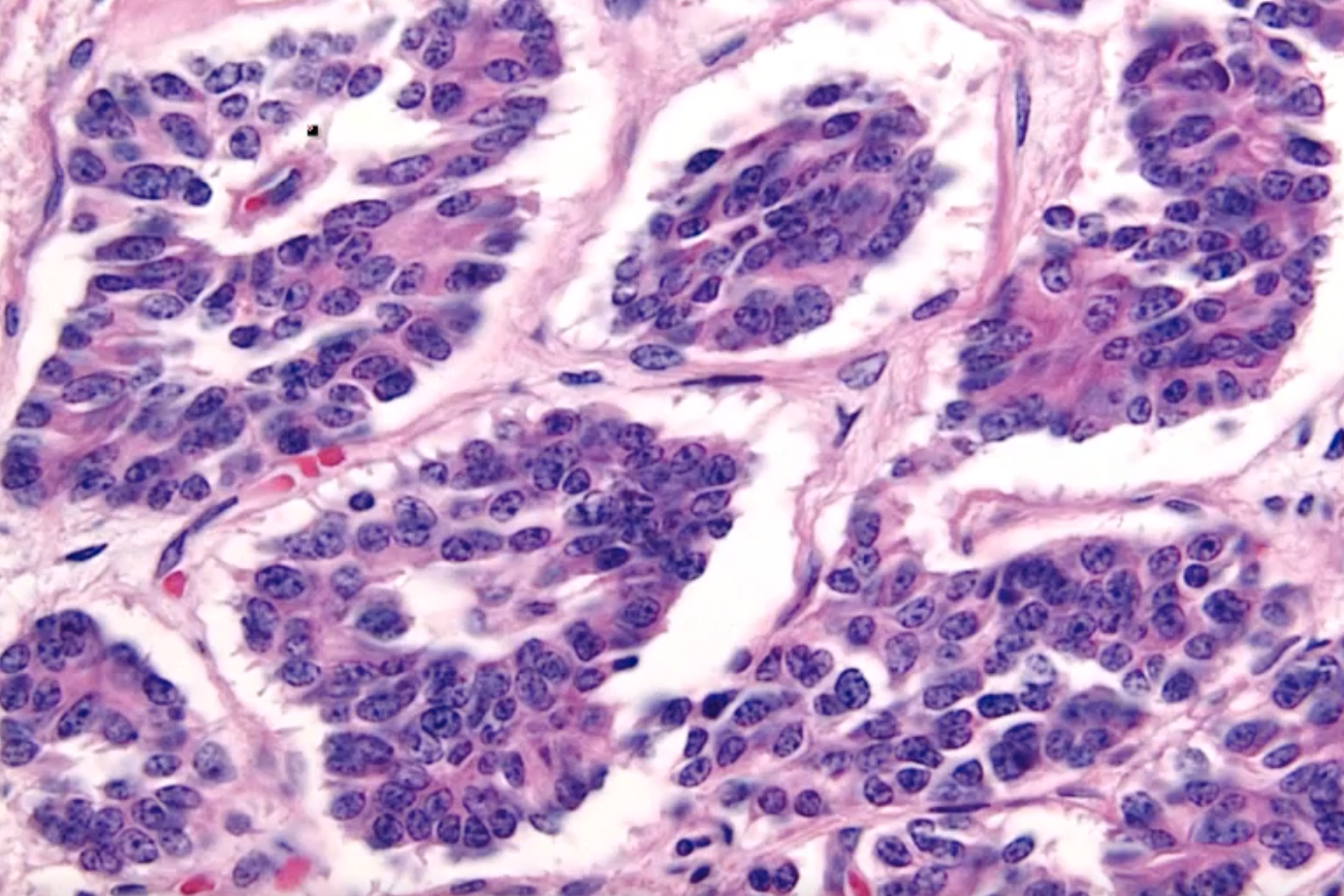
15
Q

well differentiated
neuroendocrine cell nests
chromogranin (+)
polyp like

A

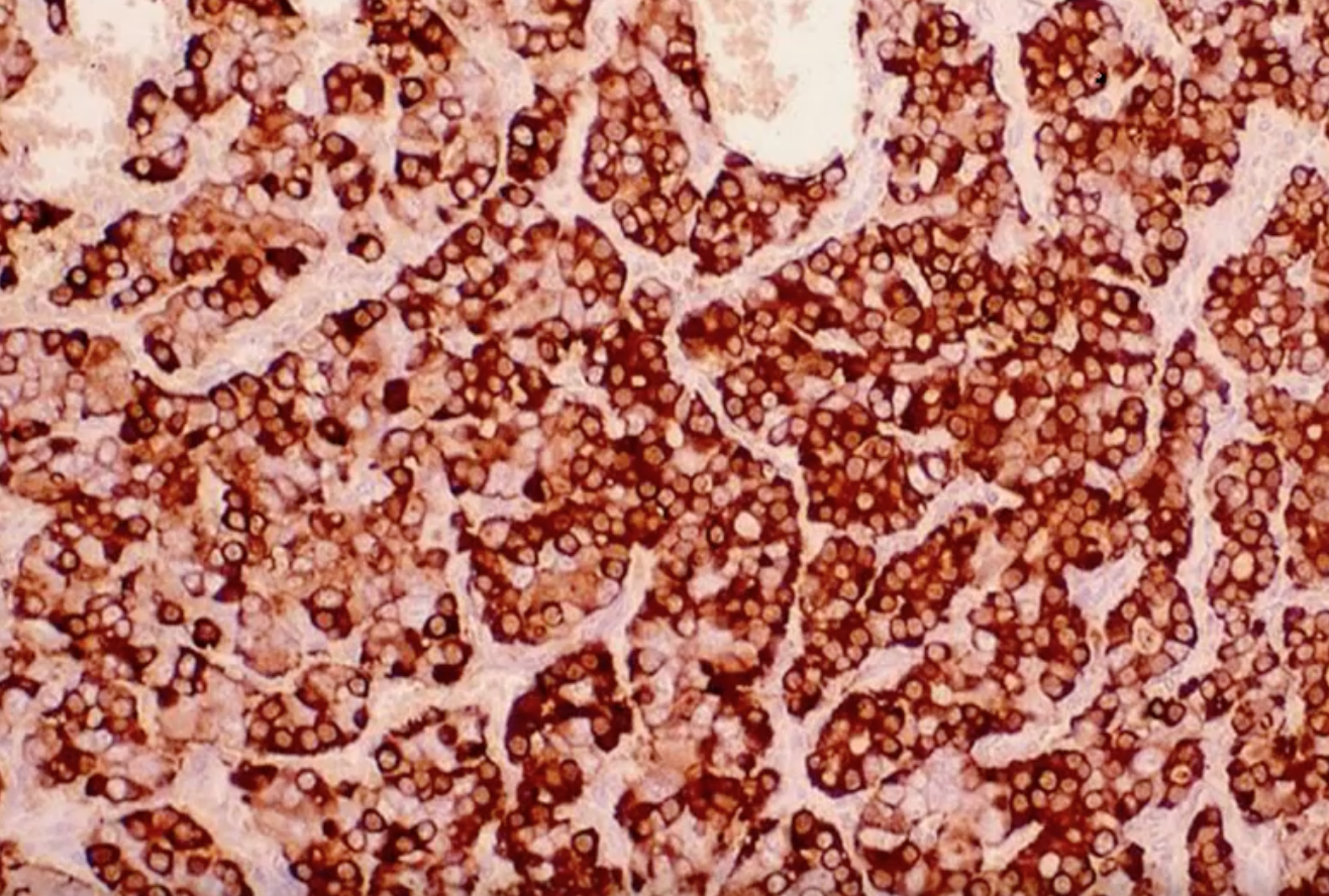
carcinoid tumour

can cause carcinoid syndrome
central = polyp-like
peripheral

How well did you know this?
1
Not at all
2
3
4
5
Perfectly
16
Q

flushing
diarrhoea
abdominal pain
wheezing
tumour

A

carcinoid syndrome

serotonin secreting - can be from carcinoid tumour (rare)
Tx with so

but common on exam Q

How well did you know this?
1
Not at all
2
3
4
5
Perfectly
17
Q

2 causes of emphysema

A

smoking
a-1 antitrypsin deficiency
*
(imbalance proteases:antiproteases)*

centriacinar - smoking - UL
panacinar - a-1 AT - LL

How well did you know this?
1
Not at all
2
3
4
5
Perfectly
18
Q

centriacinar and panacinar emphysema affects which parts of the lung

A

centriacinar = UL (smoking)
panacinar = LL (a-1 AT)

How well did you know this?
1
Not at all
2
3
4
5
Perfectly
19
Q

cause of a1-AT deficiency

A

misfolding of mutated protein

ccumulates in endoplastic reticulum of hepatocytes –> liver damage

How well did you know this?
1
Not at all
2
3
4
5
Perfectly
20
Q

what marker is seen in a-1 AT

A

PAS (+)

How well did you know this?
1
Not at all
2
3
4
5
Perfectly
21
Q

what is the function of a-1 AT

A

neutralises proteases

deficiency a-1 AT = increased proteases (inflammation)

How well did you know this?
1
Not at all
2
3
4
5
Perfectly
22
Q

what is the PiM allele in a-1 AT

A

normal
(PiM or PiMM)

How well did you know this?
1
Not at all
2
3
4
5
Perfectly
23
Q

what allele mutation is associated with low levels of a-1 AT

A

PiZ

How well did you know this?
1
Not at all
2
3
4
5
Perfectly
24
Q

what allele mutation is associated with increased risk of emphysema with smoking

25
what allele mutation is associated with increased risk of panacinar emphysema and cirrhosis
PiZZ
26
a Ried index of >50% is seen in
chronic bronchitis
27
hypertrophy of bronchial mucous glands smoking productive cough cyanosis
chronic bronchitis | produceive cough lasting >3 months over min of 2 years
28
what induces fibrosis in idiopathic pulmonary fibrosis
TGF-B (tissue healing factor) | injured pneumocytes induce fibrosis
29
what drugs induce pulmonary fibrosis
Methotrexate nitrofurantoin carmustine bleomycin busulfan amiodarone
30
progressive dyspnoea, cough subpleural bilateral fibrosis honey combing
interstitial pulmonary fibrosis
31
what induces fibrosis in pneumoconioses
alveolar macrophages | engulf partciles and induce fibrosis small particles
32
AA female non-caseating granulomas hilar LN uveitis dry mough/eyes erythema nodosum
sarcoidosis | **increased serum ace hypercalcaemia** ## Footnote DxDx - **berylliosis** (same s/s but JOB = aerospace, beryllium miner)
33
how does hypercalcaemia in sarcoidosis or berylliosis occur
**non-caseating granulomas** posess **1-a hydroxylase activity** of epithyloid histiocytes | convert **vitamin D** to active form -> calcium reabsorption
34
type of granuloma in sarcoidosis
non-caseating | 1-a hydroxylase activity --> hypercalcaemia ## Footnote also occurs in berylliosis (non-caseating)
35
caplan syndrome is what and related to what
rheumatoid arhtritis in coal workers pneumoconiosis
36
anthracosis
carbon laden macrophages | coal workers pneumoconiosis
37
**silicosis** occurs in what part of lung, and has increased risk for what condition
upper lung TB
38
how does silicosis affect the lung
impairs **phagolysosome formation** by macrophages
39
asbestosis can be seen in
construction plumbers shipyard workers
40
abestos causes fibrosis or carcinoma of
lung and pleura | carcinoma of pleura = mesothelioma ## Footnote lung carcinoma MORE COMMON than mesothelioma
41
seen in
(asbestos bodies) **ferruginous bodies** | asbestosis brown with iron deposits
42
granulomatous reaction pigeon breeder
hypersensitivity pneumonitis
43
affects upper acinar smokers, coal miners **_\_\_acinar**
centriacinar
44
affects entire acinus lower zones a1-AT deficiency **_\_\_acinar**
panacinar
45
hypoxaemia respiratory acidosis (from CO2 retention) **normal** alveolar-arterial gradient
respiratory depression | (hypoventilation) i.e. barbituates ## Footnote normal A-a gradient = 10mmHg (physiologic shunt) **hypoventilation** causing CO2 retention = normal A-a gradient as *decreased gas exchange, but**no** disruption to diffusion or perfusion*
46
difuse wheeze dry cough dyspnoea tachycardia, tachypnoea prolonged expiration decreased tactile fremitis URTI common trigger in children
astha exacerbation ## Footnote chest RADs normal pulmonary function tests normal (between epsides) **obstructive** (during episode) decreased tactile fremitis - air trapping (obstructive)
47
m/c cause pneumococcal pneumonia
strep pneumoniae ## Footnote fever dyspnoea productive cough **pleuritic chest pain** consolidation; **increased tactiel fremitis**
48
how is COPD best evaluated (test)
spirometry
49
decreased breath sounds prolonged expiration distant heart sounds FEV1 65% FVC 90% FEV1/FVC 60%
COPD ## Footnote FEV1/FVC <80%
50
tachycardia hypotension JVD pulsus paradoxus muffled heart sounds S3, S4 gallop
cardiac tamponade
51
malaise dyspnoea nonproductive cough pleuritic chest pain tachypnoea pulmonary crackles pleural rub recent radiation
radiation pneumonitis | late stges - contraction and fibrois (atelectasis)
52
collapse and deflation of pulmonary alveoli
atelectasis | **contraction**
53
ARDS is characterised by
pulmonary capillary leakage | i.e. caused by e coli --> sepsis --> ALI --> ARDS ## Footnote sepsis most comon Sepsis (most common), aspiration pneumonia, burns, trauma, pancreatitis, drowning injuries.
54
best test to use for recurrent pneumonias in same location
**bronchoscopy** (risk of obstructive pneumonia from i.e. tumour)
55
main cause of penumonia (CAP)
streptococcus penumoniae (gram positive cocci in pairs) | also main cause of **pneumonia + pericardial effusion** ## Footnote by direct spread or haematogenous spread pleural effusion, empyema or bacteremia
56
enlarged airspaces with macrophage predominant infiltrates
centriacinar emphysema
57
environmental irritant exposure lymphocyte predominant interstitital inflammation non-necrotising granulomas
hypersensitivity pneumonitis
58
acute exaccerbation causes of COPD (Infectious) | AECOPD ## Footnote 3 viral / 3 bacterial
**3 viral:** rhinovirus influenza RSV **3 bacterial:** haemophylis influenza (non-typable) moraxella catarrhalis strep pneumo ## Footnote **staph aureus:** follows **viral** respiratory ifnection i.e. **postinfuenza**