What is pulmonary hypertension?
Mean pulmonary artery pressure greater than 25 mmHg
(normal is 15-18 mmHg)
What can cause an increase in pulmonary artery pressure?
PAP - LAP = CO x PVR
PAP = (CO x PVR) + LAP
What are the 2 kinds of pulmonary hypertension?

B. WHO Group 2 Pulmonary Hypertension due to left heart disease (because PCWP is greater than 15 mmHg)
What are 3 causes of acute pulmonary hypertension?
What are the risk factors for DVT?
Virchow’s Triad:
Pulmonary Embolisms result in ____ _____ strain/failure which leads to increased _______ and decreased ______.
Right ventricle strain (“submassive”) or failure (“massive”), increased myocardial O2 demand, decreased myocardial O2 delivery.
This cycle leads to death
What is Wells’ DVT Score?
It’s a score that is given depending on clinical features that cause risk for DVT.

What is the Wells’ PE Score?
This uses clinical features to predict probability of developing a PE.

How do you diagnose PE?
History and physical (e.g. Wells’ scores)
D-dimer (breakdown products of thrombin)
ECG
CXR
V/Q scan
CT angiogram
Angiogram
Echocardiography
What ECG findings are typically seen for PE?
Classic finding but less often seen is SI, QIII, TIII (prominant S wave in lead I, prominant Q wave and inverted T wave in lead III)
Most commonly seen is sinus tachycardia
What is CXR like on patients with PE?
CXR is typically normal but it is used to exclude other processes.
A couple findings that can sometimes be found are Hamptom’s Hump (showing infarcted area of lung) or Westermark’s sign (showing hypoperfusion of a lung–the lung is more translucent than usual)

What is V/Q scan and how is it used to detect PE?
V/Q scan is a nuclear medicine scan that can visualize ventilation vs. perfusion. The patient inhales an agent while taking another through IV and the ventilation scans are compared with perfusion to see if they match. In a patient with PE, they will have mismatch defects that often look like wedges.

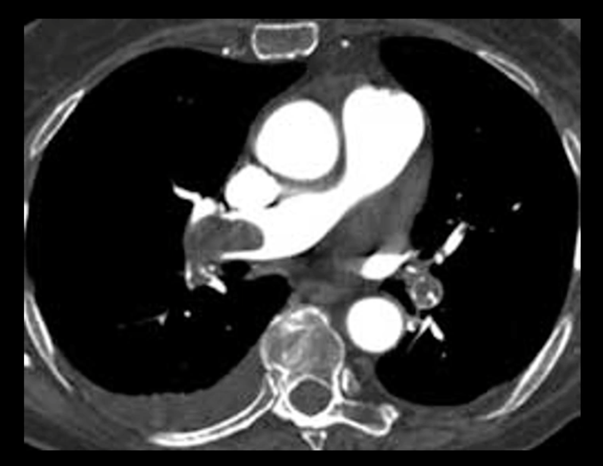
How is CT angiography used to diagnose PE?
A contrast agent is given and when visualized on CT you can see where blockages are. In this image, you can see the gray area that is blocked

How is an angiogram used to diagnose PE?
This is rarely performed these days but used to be gold standard. It is done by inserting a catheter into the pulmonary vessel and you shoot die in to look for occlusions and defects
How do you treat Stable (“submassive”) PE? (3)
Parenteral anticoagulation (heparin unfractionated or LMWH)
Catheter directed thrombolysis (tPA)
Oral anticoagulation (warfarin)
How do you treat unstable (“massive”) PE?
These patients are hypotensive and have RV failure.

B. A large infiltrate on chest x-ray
You would expect to find an incompressible deep vein in the leg on ultrasound, you would expect to find an elevated plasma d-dimer, and you would expect an intraluminal filling defect on CT chest with contrast. However, you would not expect anything in the lung fields.
What are the 5 WHO groups for pulmonary hypertension?
Which pulmonary hypertension WHO groups are in the pulmonary arterioles vs pulmonary venous system?
Pulmonary arterial hypertension, Pulmonary hypertension due to lung diseases and/or hypoxia, and thromboembolic pulmonary hypertension (classes 1, 3, and 4) are typically in the pulmonary arterioles.
Pulmonary hypertension due to left heart disease (class 2) is found in the pulmonary venous system.
Class 5, miscellaneous (sarcoidosis, LAM, etc) is variable.
Pulmonary hypertension is defined by having a mean PAP greater than or equal to 25 mmHg. What is the definition for pulmonary arterial hypertension (PAH)?
Mean PAP greater than or equal to 25 mmHg AND
PCWP/LVEDP less than or equal to 15 mmHg AND
PVR is greater than 3 wood units
What is idiopathic pulmonary arterial hypertension?
This a rare and fatal form of pulmonary arterial hypertension that is paradigmatic of WHO Group 1 Disease.
It affects young women preferentially (3:1 F:M) and usually occurs in 3rd and 4th decades of life. The incidence is 1 per million per year and the median survival without treatment is 2.8 years and with treatment is 7 years.
Interpret this diagram

As pulmonary arterial hypertension progresses, the cardiac output starts to fail. Once the cardiac output fails, the pulmonary arterial pressure also falls because the heart is unable to overcome the increasing pulmonary vascular resistance. Also notice that there is a rise in BNP starting around NYHA 3 that is released during heart failure.
What does CXR look like for pulmonary arterial hypertension as the disease progresses?
As you get decreased perfusion to the lungs, the lung fields start to look more transparent. Also, the cardiac silhouette gets larger and larger.