What is the FEV1 for High Risk Patients?
< 2 L
What is the FEV1/FVC for High Risk Patients?
< 0.5
What is the VC for High Risk Adults and Children?
Adult: <15 cc/kg
Child: < 10 cc/kg
or
VC < 40-50% than predicted
What is the PreOP Goal of PFTs?
Optimize Patient by treating Reversible Conditions
Important for Pts. w/ > 15% improvement after treatment
EX: Bronchodilators, Antibiotics, Diuretics
How do you manage the Ventilator Intraoperatively
How do you manage Bronchospams Intraoperatively?
Neb Treatment
Avoid Histamine Releasing Drugs
What are some Histamine Releasing Drugs?
Pentothal (STP)
Morphine
Atracurium
Mivacurium
Neostigmine
ABX
How would an FEV1 > 50% predicted effect extubation?
Extubation will not be effected
How would an FEV1 of 25-50% + some hypoxemia & hypercarbia effect extubation?
Probable Prolonged Intubation
What considerations should you take for a patient with an FEV1 < 25% predicted?
Only perform Life-Saving Procedures
Regional Anesthesia
Long Term Vent
Poss. Trach
Extubation Criteria
What criteria would be considered Respiratory Failure requiring Intubation?
What A-a gradient would you consider Intubating?
A-a Gradient > 350 mmHg on 100% FiO2
At what Vital Capacity would you consider Intubating?
VC < 15 cc/kg
< 10 cc/kg for kids
At what ratio of Dead Space to Tidal Volume would you consider intubating?
Vd/Vt > 0.6
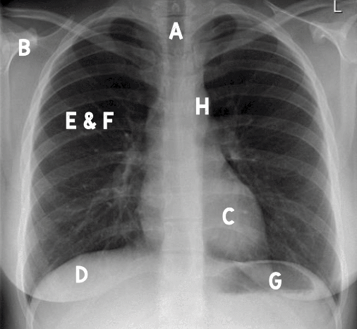
List A-I
(I is not Depicted)

A: Airway
B: Bone
C: Cardiac Silouette
D: Diaphragm
E & F: Equal Lung Fields
G: Gastric Bubble
H: Hilum (and Medastinum)
I: Invasive Lines (Not Shown)
Whats the most fundamental test of all PFTs?
Arterial Blood Gas
How soon much the blood ABG be measured after being drawn?
Within 15 min or glycolysis due to lacic acid
=
↓pH + ↑CO2
How long can you store an ABG for?
1-2 Hours on Ice
How does Heparin effect an ABG?
Lowers PCO2 by dilution
(Especially in Kids)
An increase in PCO2 by 10 mmHg would decrease in pH by ________
PCO2 increase by 10 = pH decrease of 0.8
What does the A-a Gradient measure?
A-a measures the difference b/t oxygen concentration in alveoli & arterial system
How do you treat abnormal A-a gradients?
Treat Underlying Cause
O2, Adjust Ventilation, PEEP
A decrease in Bicarb by 10 mmoles decreases pH by _________
Decrease of Bicarb by 10 decreases pH by 0.15
Replace Bicarb by half of deficit