Describe the subdivision of the respiratory system.
Split into conducting portion (nasopharynx > trachea > bronchi > bronchioles > terminal bronchioles) and respiratory portion (respiratory bronchioles > alveolar ducts > alveolar sacs > alveoli).
Describe the epithelium that lines most of the respiratory tract?
When might this be replaced with a squamous epithelium?
Usually pseudostratified columnar with goblet (mucous) cells.
Simple squamous found on epiglottis, and in the most distal airways. Also sometimes in metaplasia (for example, smokers)
Describe the structures that provide support to the trachea.
Cartilaginous rings (actually “C”s of hyaline cartilage)
Trachealis muscle (contracted in coughing)
What is the function served by the ciliated epithelium that lines the respiratory tract?
Clear mucous secretions (and debris) by moving them superiorly, to at least the level of the epiglottis (to be swallowed or spat)
How does bronchitis affect respiratory function?
How is this treated?
Causes hypertrophy of the mucous glands of the submucosa.
Beta-agonists will reduce secretions.
Distinguish between a terminal bronchiole and respiratory bronchiole.
A terminal bronchiole is the end of the conductive pathway, and does not participate in gas exchange.
A respiratory bronchiole is just distal to the terminal bronchiole, and is lined with alveoli for gas exchange.
What is the most distal point of the airway?
Describe this structure’s composition
The alveolus.
Lined by Type I pneumocytes, pulmonary capillary endothelium and basal lamina. Type II pneumocytes should be interspersed. Smooth muscle located at its aperture.
Distinguish between an alveolar duct and sac.
Ducts are elongated air passages that terminate in alveolar sacs. Thus, sacs are distal to the ducts.
Describe the structure of the respiratory epithelium as we progress from nasopharynx to alveoli.
Most proximally, the epithelium is pseudostratified. This changes to simple columnar, simple cuboidal, and eventually simple squamous as we travel distally.
What functions are served by Clara cells?
Where are they located?
Mucous secretion (not surfactant!), degrading toxins, maybe some stem cell function?
Replaces goblet cells at the level of the bronchiole.
Which cells in an alveolus are round and stain pink on H&E?
Which stain blue?
Type II pneumocyte are the only cells that fit this description.
Alveolar macrophages are basophilic and would stain blue.
List all of the structures an oxygen must travel through during its ingress from the alveolus to reach a hemoglobin molecule.
Type I pneumocyte > basal lamina > capillary endothelium > erythrocyte membrane
What occurs in emphysema?
Permanent distention of air spaces due to loss of alveolar septa (loss of elastic tissue & surface area).
Which cause of COPD would have these findings?
Purulent, abundant sputum
Loss of elastic recoil
Large heart on CXR
Severe dyspnea
Purulent, abundant sputum: Bronchitis
Loss of elastic recoil: Emphysema
Large heart on CXR: Bronchitis
Severe dyspnea : Emphysema
What type of cartilage comprises the epiglottis?
The tracheal cartilage?
Epiglottis is elastic cartilage.
Tracheal cartilage is hyaline.
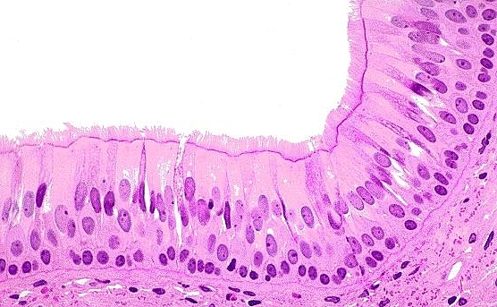
What type of epithelium is shown here?
Where in the respiratory tract can it be found?

This is pseudostratified ciliated columnar epithelium. This is typical of the upper airway: Trachea and bronchi.
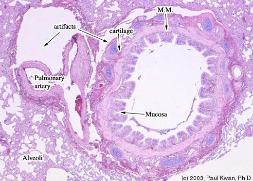
What is the cavity on the right-hand side of this image?

This is a primary bronchus, note the large area and mucosal folds.