Pulp Morphology Flashcards

(19 cards)

1
Q

The “pulp chamber” is located:

-In the coronal part
-In the radicular part

A

-In the coronal part

How well did you know this?
1
Not at all
2
3
4
5
Perfectly
2
Q

The RCT done on:
23
14
34

A

23

How well did you know this?
1
Not at all
2
3
4
5
Perfectly
3
Q

The RCT done on:

Upper premolar
Upper molar
Lower premolar
Lower molar

A

Lower molar

How well did you know this?
1
Not at all
2
3
4
5
Perfectly
4
Q

The RCT done on:
13
14
17

A

14

How well did you know this?
1
Not at all
2
3
4
5
Perfectly
5
Q

The RCT done on:

Upper premolar
Upper molar
lower premolar
Lower molar

A

Upper molar

How well did you know this?
1
Not at all
2
3
4
5
Perfectly
6
Q

Pulp Horns are:

projections in the roof of pulp chamber
projections at the apex of the root
projections originate in the middle part of root canal

A

projections in the roof of pulp chamber

How well did you know this?
1
Not at all
2
3
4
5
Perfectly
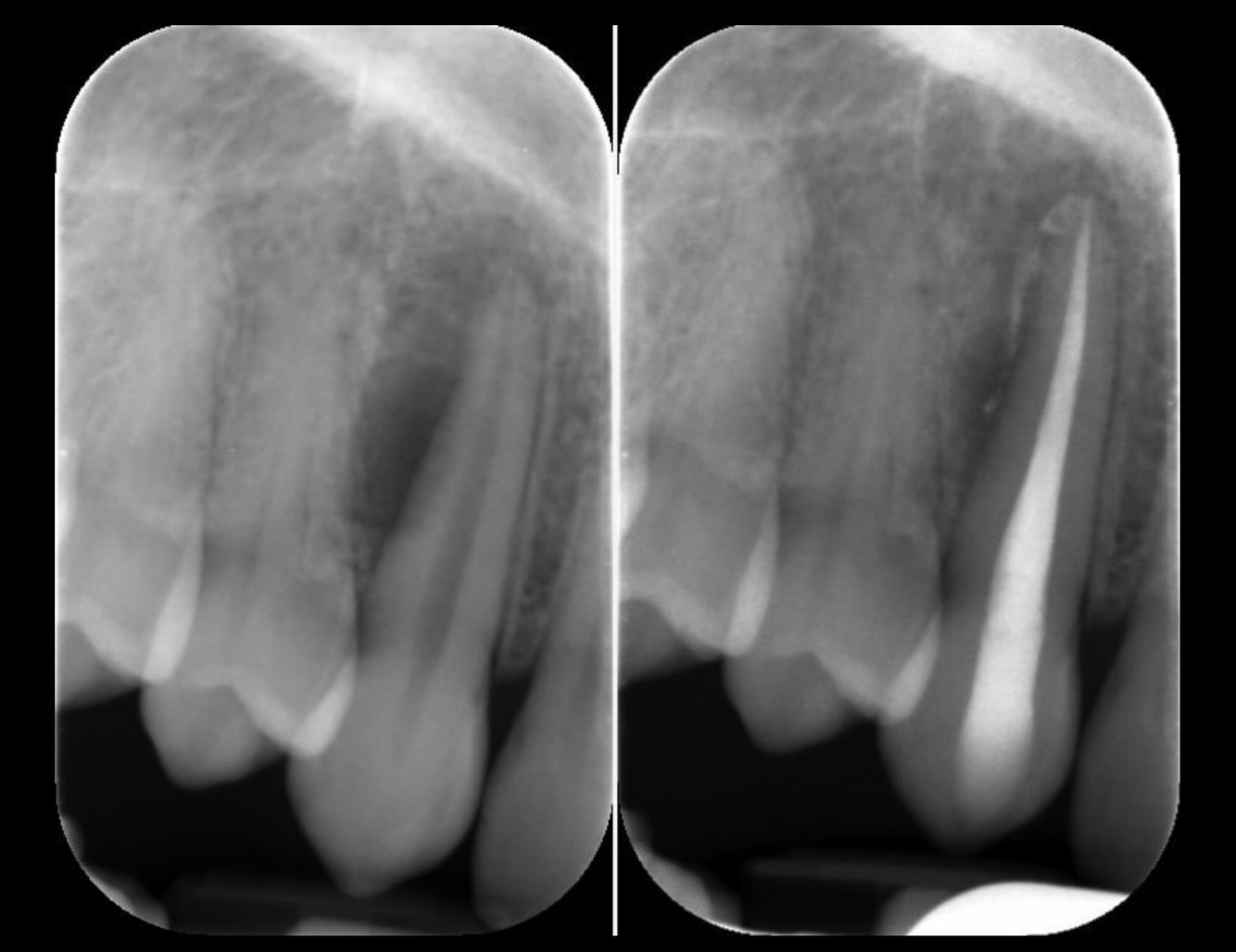
7
Q

Which of these two radiographs belongs to a young individual?

A

A
Pulp horns are prominent in young individuals

How well did you know this?
1
Not at all
2
3
4
5
Perfectly
8
Q

The shape of pulp cavity of an upper central incisor:

is even along the root
is larger in the apical area
tapers evenly along the root

A

tapers evenly along the root

How well did you know this?
1
Not at all
2
3
4
5
Perfectly
9
Q

Typically, how many canals upper molars have?
3
4
6

A

4

How well did you know this?
1
Not at all
2
3
4
5
Perfectly
10
Q

Typically, how many root canals are found in a lower first molar?
2
3
4

A

3

How well did you know this?
1
Not at all
2
3
4
5
Perfectly
11
Q

Which premolar has the mesial marginal ridge lower (more cervical) than the distal marginal ridge?

A

A

How well did you know this?
1
Not at all
2
3
4
5
Perfectly
12
Q

This tooth is:
44
45
24
25

A

45

How well did you know this?
1
Not at all
2
3
4
5
Perfectly
13
Q

This tooth is:
34
15
24

A

24

How well did you know this?
1
Not at all
2
3
4
5
Perfectly
14
Q

One of these teeth has a small additional cusp on its biggest cusp in 60% of cases

A

C

How well did you know this?
1
Not at all
2
3
4
5
Perfectly
15
Q

This gold restoration is replacing:

This gold restoration is replacing
The palatal cusps of an upper 7
The lingual cusps of a lower 6
The buccal cusps of a lower 7

A

The lingual cusps of a lower 6

How well did you know this?
1
Not at all
2
3
4
5
Perfectly
16
Q

Identify the restored tooth using both the long-hand and FDI notation systems

A

Upper right first molar,16

17
Q

Identify the restored tooth using both the long-hand and FDI notation systems:

A

Lower left first molar, 36

18
Q

Identify the restored tooth using both the long-hand and FDI notation systems:

19
Q

Which tooth was mistakenly recommended for extraction?
Referral “Dear Oral Surgeon, Please extract the unrestorable remaining roots: 17, 14, 26,”