Questionnaires antibio Flashcards

(56 cards)

1
Q
A
How well did you know this?
1
Not at all
2
3
4
5
Perfectly
2
Q
A
How well did you know this?
1
Not at all
2
3
4
5
Perfectly
3
Q

il a pneumonie

fait tu une culture d’expecto?

A

NON PCK TRAITÉ EN EXTERNE

Mais si tu l,hospitalisais t’en ferais une

How well did you know this?
1
Not at all
2
3
4
5
Perfectly
4
Q

Nomme moi les 4 bactéries pathogènes les plus fréquentes en pneumonie acquises en communauté

et au moins 2 autres possibles

A
  1. H. INfluenzae
  2. Strep. Pneumoniae
  3. Mycoplasma pneumoniae
  4. Chlamydia pneumoniae

autres

  1. Staph aureus
  2. Legionella spp.
  3. Bacilles gram -
  4. VIrus tractus respi
How well did you know this?
1
Not at all
2
3
4
5
Perfectly
5
Q
A

ouais makes sense change pas direct attend au moins la culture tsé

How well did you know this?
1
Not at all
2
3
4
5
Perfectly
6
Q

pneumonie acquise en communauté sans critère d’hospit

A

en ouin ;o

eh bien , know it

How well did you know this?
1
Not at all
2
3
4
5
Perfectly
7
Q
A

Super important legit

How well did you know this?
1
Not at all
2
3
4
5
Perfectly
8
Q

sachant que l’enfant a OMA

A
How well did you know this?
1
Not at all
2
3
4
5
Perfectly
9
Q

Céphalexine et cefuroxime sont indiqué en infection de la peau par staph ou strep hémolytique

A

FAUX

Cephalexine ou cefadroxil , Aka CEPHALO PREMIÈRE GÉNÉRATION

,

donc pas Cefuroxime(cefaclor) et cefprozil

,

bonus L autre truc indiqué aurait été cloxacillinee

How well did you know this?
1
Not at all
2
3
4
5
Perfectly
10
Q

Sachant qu’elle est en pyélonephrite

A
How well did you know this?
1
Not at all
2
3
4
5
Perfectly
11
Q

Dx?

A

Pneumonie lobe supérieur droit la pas plus compliqué que ca

How well did you know this?
1
Not at all
2
3
4
5
Perfectly
12
Q
A

DONC’

CÉPHALOSPORINE DE PREMIÈRE GÉNÉRATION ET CLOXACILLINE ÉTAIT COCHÉ

pas amox/clavulanate

How well did you know this?
1
Not at all
2
3
4
5
Perfectly
13
Q
A
How well did you know this?
1
Not at all
2
3
4
5
Perfectly
14
Q

sachant que le monsieur a une cellulite

A

!!!!

How well did you know this?
1
Not at all
2
3
4
5
Perfectly
15
Q

dans les OMA nomme les 4 principaux pathogène à connaitre

A
  1. H. Influenzae
  2. Strep Pneumoniae
  3. Moxarhella catarrhalis
  4. Strep Pyogenes
How well did you know this?
1
Not at all
2
3
4
5
Perfectly
16
Q
A
How well did you know this?
1
Not at all
2
3
4
5
Perfectly
17
Q

Lors d’une cellulite de la main, identifier les complications locales pouvant nécessiter une intervention chirurgicale.

A
How well did you know this?
1
Not at all
2
3
4
5
Perfectly
18
Q

Nomme moi les 4 pathogènes les plus fréquents dans les infections urinaires Chez l’adulte

A

E.COli

Entérocoques

Staph Saprophyticus

(90%)

et

Klebsiella pneumoniae

How well did you know this?
1
Not at all
2
3
4
5
Perfectly
19
Q

tu l’hospitalise tu ?

A

Surement en raison des vomissements !!! ( à y penser legit)

How well did you know this?
1
Not at all
2
3
4
5
Perfectly
20
Q
A

Ancien détenu et sport de contact aussi !! ( fr de sarm communautaire )

How well did you know this?
1
Not at all
2
3
4
5
Perfectly
21
Q
A
How well did you know this?
1
Not at all
2
3
4
5
Perfectly
22
Q
A

vrm fascite nécrosante , je pense que dlr disproportionné nous piste bcp

How well did you know this?
1
Not at all
2
3
4
5
Perfectly
23
Q

sachant que le patient a cellulite sans atcd particuliers

25
Monsieur C.C. 47 ans se présente à la clinique pour une rougeur à la jambe gauche. Il y a une semaine, il a eu une piqûre d’insecte à la jambe. Depuis, la rougeur ne cesse d’augmenter et sa peau est très sensible. Il se dit fiévreux, mais n’a pas pris sa température. Il ne prend aucun médicament et n’a pas d’allergie. À l'examen physique: TA 120/70, FC 80/min, FR 18/min Température rectale 38,3oC Peu souffrant Chaleur, douleur et induration à la palpation de la jambe. DIAGNOSTIC?
CELLULITE la
26
v/f morsure d'animal = antibio d'emblée
Nah , NETTOYE LA PLAIE , mais majorité auront pas besoin d'antibios, mais chez patient à risque --) antibioprophylaxie
27
sachant que pneumonie acquise en communauté
oupsi ehe
28
29
donne moi 3 fdr de SARM
sont vrm random faque intéressant ok UDIV , mais genre Ancien détenu et Sport de contact wtf
30
31
sachant que le patient se présente pour cellulite par morsure d'un chat
Pasteurella multocida est à savoir tout de suite reste pourrait etre impliqué too!
32
donne 3 options d,antibio en diverticullite , et donne doit couvrir quoi
doit couvrir ANAÉROBES et GRam - aérobe donc Amox/clavulanate ou Métro + TMp-Smx ou Métro + Cipro(bah un quinolone en fait)
33
fuck le score de fine c'est genre meme pas un obj ?
34
35
36
Culture d'EXPECTOS , pas de gorge!! Et bronchoscopie didnt know, now you do
37
uel examen permet de confirmer ne suspicion de diverticullite aigue?
TDM pelvien + abdo ( on fait vrm ca for everyione? eh bin...?)
38
PEN V ou AMOX!!!!!!!! À savoir pck legit i didnt
39
1. Bactéroïdes fragilis Sélectionner une correspondanceGram +Gram -Anaérobe (Gram + ou Gram -)Intracellulaire 2. Chlamydia trachomatis Sélectionner une correspondanceGram +Gram -Anaérobe (Gram + ou Gram -)Intracellulaire 3. Chlamydophila pneumoniae Sélectionner une correspondanceGram +Gram -Anaérobe (Gram + ou Gram -)Intracellulaire 4. Clostridium difficile Sélectionner une correspondanceGram +Gram -Anaérobe (Gram + ou Gram -)Intracellulaire 5. Entérobactéries Sélectionner une correspondanceGram +Gram -Anaérobe (Gram + ou Gram -)Intracellulaire 6. Enterococcus faecalis Sélectionner une correspondanceGram +Gram -Anaérobe (Gram + ou Gram -)Intracellulaire 7. Escherichia coli Sélectionner une correspondanceGram +Gram -Anaérobe (Gram + ou Gram -)Intracellulaire 8. Haemophilus influenzae Sélectionner une correspondanceGram +Gram -Anaérobe (Gram + ou Gram -)Intracellulaire 9. Moraxella catarrhalis Sélectionner une correspondanceGram +Gram -Anaérobe (Gram + ou Gram -)Intracellulaire 10. Mycoplasma pneumoniae Sélectionner une correspondanceGram +Gram -Anaérobe (Gram + ou Gram -)Intracellulaire 11. Neisseria meningitidis Sélectionner une correspondanceGram +Gram -Anaérobe (Gram + ou Gram -)Intracellulaire 12. Pasteurella multocida Sélectionner une correspondanceGram +Gram -Anaérobe (Gram + ou Gram -)Intracellulaire 13. Pseudomonas aeruginosa Sélectionner une correspondanceGram +Gram -Anaérobe (Gram + ou Gram -)Intracellulaire 14. Staphylocoque aureus Sélectionner une correspondanceGram +Gram -Anaérobe (Gram + ou Gram -)Intracellulaire 15. Streptocoque pneumoniae
1. Bactéroïdes fragilis Anaérobe (Gram + ou Gram -) 2. Chlamydia trachomatis Intracellulaire 3. Chlamydophila pneumoniae Intracellulaire 4. Clostridium difficile ANAÉROBE!! 5. Entérobactéries GRAM- 6. Enterococcus faecalis GRAM + 7. Escherichia coli GRAM - 8. Haemophilus influenzae Gram - 9. Moraxella catarrhalis GRAM - 10. Mycoplasma pneumoniae )Intracellulaire 11. Neisseria meningitidis GRAM - 12. Pasteurella multocida Gram - 13. Pseudomonas aeruginosa Gram - 14. Staphylocoque aureus GRAM + 15. Streptocoque pneumoniae GRAM + Rétroaction :
40
oui anaérobe mais pas oublier les gram - ( e.coli....)
41
42
MACROLIDES ++++ et AMOX j'avais completement oublié
43
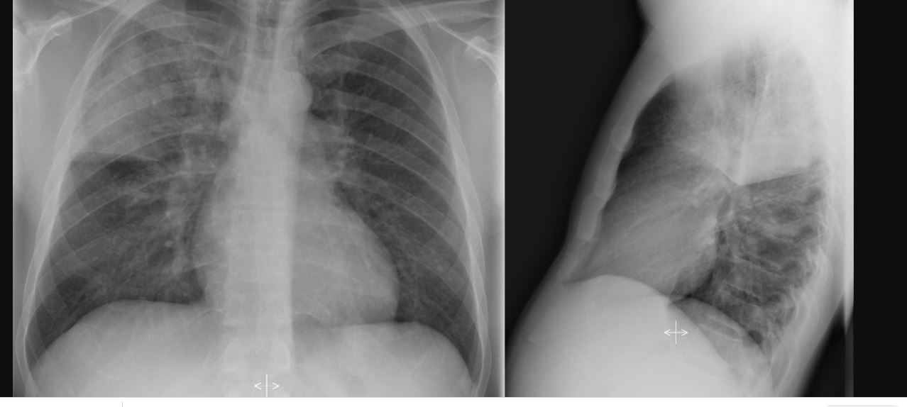
Bon y manquait le contexte mais surtout check photoo pour savoir quand faire la culture!!!
44
sachant que patient se présente pour cellulite par morsure de chat
c'étit amox/clavulanate!! ( hard to explain why tho.L:(
45
sachant qu'elle se tappe une pyélo
CIPRO ! , mais attention , je pense que si avait été Cystite non compliqué on aurait plus été vers tmp-smx ( à confirmer )
46
ATTENTION ICI COMME C'EST CYSTITE NON COMPLIQUÉ --) TMP-SMX SI c'était Pyélo là on aurait été vers des quilonones comme ciprofloxacine
47
48
dont get it perfectly , masi relit photo
49
ze fuck
50
51
52
dans un contexte d'otite
Ne pas oublier strep pyogenes
53
yavait actually ces 3 choix la possible !! Pas oublier qu'en fait faut surtout que ca couvre les ANAÉROBES ( metro is strong) et les GRAM -
54
POt pourri donne moi classe antibio recommandé en première intention 1. Pneumonie acquise en communauté chez adulte Normal ( 2 ) 2. Pharyngite bactérienne adulte normale ( 2 ) 3. Cellulite avec forte suspicioon de strep ou staph aureus ( non sarm) ( 2 ) 4. Cystite non compliqué chez femme ( 1 )
PAC --) MACROLIDES !!!!+!+ ou amox PHARYNGITE --) AMOX ou PEN V CELLULITE Dememe ---) CÉPHALO PREMIÈRE GÉNÉRATION ou CLOXACILLINE ( mais cloxa PO est faible je pense... , mais était pas dans les questionnaires , bref..) Cystite non compliqué --) TMP-SMX ( pas oublier que pyélo aurait été quilonone)
55
v/f ce sont vrm les céphalosporines de 2 ieme génération qui sont en premiere ligne en Pneumonie ACQUISE EN COMMUNAUTÉ
NON ATTENTION vrm les MACROLIDES pck Céphalosporines 2 ieme couvre pas les INTRACELLULAIRES!! ( donc ex Mycoplasma...) donc AZITHROMYCINE ou CHLARTHROMYCINE!!! cephalo 2 ième génération c'Est plus infection orl genre bronchite, pharyngite, sinusite mais pas pneumonie!!
56
u dumb fuck ( au minimum , une ceelllulite)