Questões SUS Flashcards

(36 cards)

1
Q

Tireotoxicose + Disfunção Hepática grave: Etapas de Tratamento.

A
  1. Plasmaférese.
  2. Tireoidectomia Total

Plasmaférese é o tratamento que atua mais rapidamente, mas não resolve.

Drogas Antitireoidianas levam dias até começarem a agir.

How well did you know this?
1
Not at all
2
3
4
5
Perfectly
2
Q

Cristais romboides na artrocentese = …

A

Pseudogota

Doença por Deposição de Pirofosfato de Cálcio

Presença de birrefingência a luz polarizada.

How well did you know this?
1
Not at all
2
3
4
5
Perfectly
3
Q

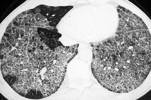
Tosse, febre e dispneia arrastados com esta imagem. Qual o diagnóstico?

Obs: 2 Testes para Covid negativos.

A

Proteinose Alveolar Pulmonar

Tratamento: Lavagem pulmonar total.

Os corticoides sistêmicos não têm qualquer papel no tratamento.

How well did you know this?
1
Not at all
2
3
4
5
Perfectly
4
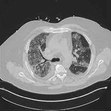
Q

Usuário de Amiodarona + TC com Vidro Fosco + Bx com Foam Cells = …

A

Pneumonite Intersticial por Amiodarona

Geralmente após 6-12 meses de uso de Amiodarona.

Foam Cells = Macrófagos com Espuma. Tto: Suspender Amiodarona +/- Corticoide

How well did you know this?
1
Not at all
2
3
4
5
Perfectly
5
Q

Flushing + diarreia + broncoespasmo + valvopatia.
Qual o diagóstico?

Flushing: Paroxismos com hiperemia de face e tórax.

A

Síndrome Carcinoide

É comum que a presença de síndrome carcinoide já indique presença de metástases.

How well did you know this?
1
Not at all
2
3
4
5
Perfectly
6
Q

Diagnóstico de Síndrome Carcinoide?

Sd Carcinoide: constelação de sintomas relacionados à produção autônoma de peptídeos (serotonina, histamina e prostaglandinas) por tumores neuroendócrinos bem diferenciados.

A

Dosagem de ácido 5-hidroxi-indolacético

Confirma aumento de Serotonina. Após: ex. imagem em busca do sítio 1º.

Geralmente o tumor primário esta localizado no trato gastrointestinal.

How well did you know this?
1
Not at all
2
3
4
5
Perfectly
7
Q

Peri-Operatório

Exames Complemetares para ASA-I < 40 anos (3):

A
  • Hemograma;
  • Hematócrito;
  • Coagulograma..
How well did you know this?
1
Not at all
2
3
4
5
Perfectly
8
Q

Peri-Operatório

Exames Complemetares para ASA-I > 40 anos (7):

A
  • ECG;
  • Creatinina;
  • Glicemia;
  • Sódio e Potássio;
  • Hemograma;
  • Coagulograma;
  • Rx de Tórax.
How well did you know this?
1
Not at all
2
3
4
5
Perfectly
9
Q

Peri-Operatório

Exames adicionais se paciente com ICC (2):

A
  • Ecocardio - se ausente no último ano;
  • NTproBNP ou BNP
How well did you know this?
1
Not at all
2
3
4
5
Perfectly
10
Q

Peri-Operatório

Exames adicionais se paciente com Cardiopatia Isquêmica ou Cirurgia Vascular (2):

A
  • NTproBNP ou BNP;
  • Troponinas.
How well did you know this?
1
Not at all
2
3
4
5
Perfectly
11
Q

Peri-Operatório

Exames adicionais se paciente Hepatopata:

A
  • Creatinina;
  • Coagulograma;
  • Hemograma;
  • Bilirrubinas;
  • Albumina.
How well did you know this?
1
Not at all
2
3
4
5
Perfectly
12
Q

Peri-Operatório

Definição ASA-I:

A

Saudável

ATENÇÃO: grávida é ASA-II.

How well did you know this?
1
Not at all
2
3
4
5
Perfectly
13
Q

Peri-Operatório

Definição ASA-II:

A

Doença sistêmica sem limitação.

Ex: HAS controlada; DM controlado; Tabagismo; Gravidez.

How well did you know this?
1
Not at all
2
3
4
5
Perfectly
14
Q

Peri-Operatório

Definição ASA-III:

A

Doença sistêmica com limitação, mas não incapacitante.

Ex: HAS descontrolada; DM descontrolada; IAM prévio (> 3m);

Obesidade Grau III (IMC > 40)

How well did you know this?
1
Not at all
2
3
4
5
Perfectly
15
Q

Peri-Operatório

Definição ASA-IV:

A

Doença sistêmica com limitação, que também incapacita.

Ex: IC grave; Angina Instável; IAM; AVC; Stent < 3m

“Ameaça constante a vida do paciente”.

How well did you know this?
1
Not at all
2
3
4
5
Perfectly
16
Q

Peri-Operatório

Definição ASA-V e ASA-VI:

A

ASA-V: Moribundo (expectativa de óbito).
ASA-VI: Morte Encefálica.

17
Q

Peri-Operatório

Parâmetros do Escore de Lee:

A
  1. Cirurgia: Intraperitoneal, intratorácica ou vascular suprainguinal.
  2. DAC;
  3. ICC;
  4. Doença Cerebrovascular;
  5. DM Insulinodependente;
  6. Cr pré-op > 2

< 2: Liberada a cirurgia. | ≥ 2: Avaliar capacidade funcional.

18
Q

Peri-Operatório

Quais cirurgias implicam alto risco segundo escore de Lee (3):

A

Intraperitoneal, intratorácica ou vascular suprainguinal.

19
Q

Peri-Operatório

Interpretação do resultado do Escore de Lee:

A
  • < 2: Liberada a cirurgia.
  • ≥ 2: Avaliar capacidade funcional.
20
Q

Peri-Operatório

Cirurgias de Alto Risco de Complicações Cardiovasculares (7):

Excetuando-se emergências e vasculares periféricas e Aorta

A
  1. Esofagectomia.
  2. Pneumectomia.
  3. Transplante Pulmonar ou Hepático.
  4. Duodenopacreatectomia.
  5. Ressecção Hepática.
  6. Ressecção Adrenal.
  7. Cistectomia.
21
Q

Peri-Operatório

(V/F): Endarterectomia de Carótidas, cirurgias ortopédicas, inteperitoneais e intratorácicas são de alto risco de complicações cardiovasculares.

A

Falso - Risco Intermediário

22
Q

Peri-Operatório

(V/F): Cirurgias Urológicas, Ginecológicas, Mama e Endoscópicas são de Risco Intermediário de Complicações Cardiovasculares.

A

Falso.
Urológicas e Ginecológicas = Intermediário.
Mama e Endoscópicas = Baixo.

23
Q

Peri-Operatório

Caso indicada suspesão pré-op do Clopidogrel, em quanto tempo ela deve ser feita?

24
Q

Peri-Operatório

A (……) está relacionada a aumento de eventos cardíacos e PCR pós-op.

25
# Peri-Operatório Nas (......) (2) há a possibilidade do uso de **anticoagulantes orais**. | Rivaroxabana: 10 mg/dia (iniciar 6-8h após o procedimento)
**Artroplastias de Quadril e Fêmur**
26
# Peri-Operatório Nas **Artroplastias de Quadril e Fêmur** há a possibilidade do uso de **anticoagulantes orais**. Qual o fármaco e a dose?
**Rivaroxabana: 10 mg/dia (iniciar 6-8h após o procedimento)**
27
# Peri-Operatório Dose de **Enoxaparina** a ser administrada em pacientes de **alto risco TEV**?
**40 mg/dia** - SC | Se risco intermediário: 20 mg/dia.
28
# Peri-Operatório Dose de **HNF** a ser administrada em pacientes de **alto risco TEV**?
**5.000 UI SC 8/8h** | Se risco intermediário: 5.000 SC 12/12h
29
# Peri-Operatório Em paciente com **IMC de 40 - 50**, qual a dose de **Enoxaparina profilática**?
**40 mg SC 12/12h**
30
# Peri-Operatório Em paciente com **IMC > 50**, qual a dose de **Enoxaparina profilática**?
**60 mg SC 12/12h**
31
**DMO** baixa + **Fragilidade** óssea + **FAL muito elevada** sugerem:
**Osteomalácia**
32
Todos **bisfosfonatos** reduzem fraturas de **vértebras** e **quadril**, exceto...
**Ibandronato** Reduz apenas fratura de vértebras.
33
Medicações **anabólicas** no tratamento de Osteoporose (2):
1. **Teriparatida**; 2. **Romosozumabe**.
34
(...) é um anticorpo **anti-RANKL** com ação inibitória sobre a reabsorção óssea. Sua ação termina **6-7 meses** após ser injetado, com reativação da **reabsorção óssea intensa** após suspensão.
**Denosumabe** | Não se deposita nos óssos! ## Footnote Caso seja optado por sua suspensão, inserir um bisfosfonato no esquema.
35
Qual medicação pode ser utilizada livremente para o tratamento de osteoporose **independente** da eTFG?
**Denosumabe**
36
# Peri-operatório Quando suspender: 1. **Metformina**; 2. **Glifozinas** (Ant. SGLT1); 3. **Gliptinas** (Ant. DPP-4).
1. **No dia** da cirurgia; 2. **3-4 dias antes** da cirurgia; 3. **Mantém** mesmo no dia da cirurgia.