Quick Facts Flashcards

(26 cards)

1
Q

Marginal zone markers

A

CD43, Lef1, CD5

How well did you know this?
1
Not at all
2
3
4
5
Perfectly
2
Q

Mantle cell markers

A

Cyclin D1, Lef1, CD5, SOX11

How well did you know this?
1
Not at all
2
3
4
5
Perfectly
3
Q

Lef1 in hematopathology

A

Almost always positive in CLL/SLL

Can be positive in most small B cell lymphomas (SLL, mantle cell, marginal zone)

How well did you know this?
1
Not at all
2
3
4
5
Perfectly
4
Q

TFH markers in hematopathology

A

ICOS
PD1
BCL6
CD10
CXCL13

How well did you know this?
1
Not at all
2
3
4
5
Perfectly
5
Q

Two times to consider gray zone lymphoma

A
  1. Too many Hodgkinoid cells with Hodgkinoid immunophenotype (loss of pan-B-cell program markers)
  2. Hodgkinoid distribution of neoplastic B cells, but pan-B-cell program markers are maintained.
How well did you know this?
1
Not at all
2
3
4
5
Perfectly
6
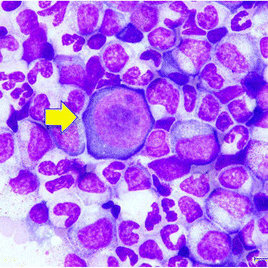
Q
A

Acute myelomonocytic leukemia

Abundant, gray-blue cytoplasm with vacuoles

How well did you know this?
1
Not at all
2
3
4
5
Perfectly
7
Q
A

Pseudo-gaucher cells

Histiocytes with rounded, blue, lamellar cytoplasm resembling “onion skin” that can be found in up to 40% of the bone marrow of patients with CML, but may occur more rarely in other leukemias as well.

How well did you know this?
1
Not at all
2
3
4
5
Perfectly
8
Q

Most common post-transplant NK/T cell LPD

A

Hepatosplenic T-cell lymphoma

How well did you know this?
1
Not at all
2
3
4
5
Perfectly
9
Q

What percentage of post-transplant LPD is NK/T cell in type?

What percentage of NK/T cell PTLD is associated with EBV?

A

15% of PTLD is NK/T cell in type.

Only 1/3 of NK/T cell PTLD is EBV associated (while most B cell PTLD is EBV associated).

How well did you know this?
1
Not at all
2
3
4
5
Perfectly
10
Q

ATLL immunophenotype

A

A CD3 positive, CD5 positive, CD7 negative, CD4 positive, CD8 negative, and CD25 positive phenotype is characteristic of ATLL.

How well did you know this?
1
Not at all
2
3
4
5
Perfectly
11
Q

What is the most common site for extramedullary plasmacytoma?

A

The upper respiratory tract

80% of extramedullary plasmacytomas occur here

How well did you know this?
1
Not at all
2
3
4
5
Perfectly
12
Q

Most common disorder of the erythroid glycolytic pathway

A

Pyruvate kinase deficiency

Accounts for 90% of cases

How well did you know this?
1
Not at all
2
3
4
5
Perfectly
13
Q

Most common disorder of the erythroid pentose phosphate pathway

A

G6PD deficiency

How well did you know this?
1
Not at all
2
3
4
5
Perfectly
14
Q

What lymphoma likes to involve the bone marrow as paratrabecular infiltrates?

A

Follicular lymphoma

How well did you know this?
1
Not at all
2
3
4
5
Perfectly
15
Q

MDS with del5q mostly affects

A

Middle aged to older women

How well did you know this?
1
Not at all
2
3
4
5
Perfectly
16
Q

Some believe that progressive transformation of germinal centers is a precursor lesion to. . .

A

. . . NLPHL

Since they are often found in the same lymph node.

17
Q

Mutations in which gene are associated with adverse prognosis in AML with normal karyotype?

A

FLT3

Especially in the context of NPM1 mutated AML

18
Q

Basophilic stippling represents. . .

A

precipitated ribosomal RNA

Basophilic stippling can be seen in thalassemias, myelodysplastic neoplasms, and lead poisoning.

19
Q

Therapy-related myeloid neoplasia in association with aklylating agents tends to present as. . .

A

MDS with cytogenetic abnormalities seen in de novo MDS

20
Q

Therapy-related myeloid neoplasia in association with topoisomerase inhibitors tends to present as. . .

A

MDS or AML with 11q23 or MLL gene abnormalities

21
Q

Extranodal marginal zone lymphoma involving the lacrimal gland or orbit is associated with which bacteria?

A

Chlamydia psittaci

22
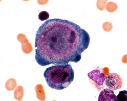
Q
A

Parvovirus B19 inclusions

They are lightly basophilic and smudy compared to the background chromatin in erythroblasts, as seen here.

23
Q

Effects of lithium on bone marrow

A

Lithium can drive a myeloid hyperplasia with maturation

24
Q

ALK prognostication in ALCL

A

ALCL cases associated with t(2;5) translocation and ALK protein overexpression (ALCL, ALK-positive) are generally associated with a more favorable prognosis compared to ALK-negative ALCL. ALK-positive ALCL tends to be seen in pediatric and young adults, whereas the ALK-negative ALCL tends to occur in adults.

25
Most cases of ALCL also express. . .
. . . cytotoxicity markers Granzyme B, perforin, TIA-1
26
Toxoplasmal pseudocyst