simple squamous
alveoli lungs loop of henle = barrier, exchange, lubrication
simple cubodial
kidney tubules gland & assocaited ducts terminal bronchioles covering of ovaries = barrier, absorption and secretion
simple columnar
auditory tubes, uterus oviducts stomach, SI/LI, gallbladder = absorption and secretion
Pseudostratified ciliated columnar
nasal cavity pharynx trachea bronchi = absorption, secretion and debris/particle movement
urothelium
bladder urethra ureter = barrier, distensible properties
nonkeratinized stratified squamous
oral cavity urethra vagina anus esophagus = protect and barrier
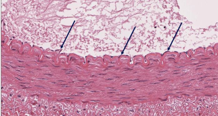
keratinized stratified squamous
epidermis of skin = protect and barrier
stratified cuboidal
sweat glands/ducts ovarian follicles salivary glands = barrier & passageway

simple squamous
endothelium (blood vessel)
mucous epithelium
secrete mucus
-line body cavity and tubular organs (respirtatory and guts)
serous membrane
line internal body cavity
lubricated by fluid –> decrease friction
peritoneium, pericardium, pleura
where are endocrine glands located
thyroid, pancreas, adrenals