Quiz Flashcards

(27 cards)

1
Q

DX?

A

fistule a/n de la muqueuse (ligne muco-gingivale)

How well did you know this?
1
Not at all
2
3
4
5
Perfectly
2
Q

Quel est l’index parodontal de la dent 409?

A

PD4

Théorie :
- PD0 = parodonte sain, pas de perte osseuse
- PD1 = gingivite, pas de perte osseuse
- PD2 = parodontite < 25% perte osseuse
- PD3 = parodontite 25-50% ou furcation 2
- PD4 = parodontite > 50% ou furcation 3

How well did you know this?
1
Not at all
2
3
4
5
Perfectly
3
Q

Quel est l’index parodontal de la dent 309 avec gencive un peu inflammée?

A

PD1

Théorie :
- PD0 = parodonte sain, pas de perte osseuse
- PD1 = gingivite, pas de perte osseuse
- PD2 = parodontite < 25% perte osseuse
- PD3 = parodontite 25-50% ou furcation 2
- PD4 = parodontite > 50% ou furcation 3

How well did you know this?
1
Not at all
2
3
4
5
Perfectly
4
Q
A

mésioversion

=> malocclusion classe 1 (d’origine dentaire)

How well did you know this?
1
Not at all
2
3
4
5
Perfectly
5
Q
A

dent est poussée latéralement sur le coté —> labioversion

=> malocclusion classe 1 (d’origine dentaire)

How well did you know this?
1
Not at all
2
3
4
5
Perfectly
6
Q
A

on voit la racine qui est exposée, donc récession gingivale, donc perte d’attache —> PARODONTITE

donc rép : FAUX, c’est plus qu’une gingivite c’est une parodontite

parodontite inclue tjrs gingivite, mais le DX = parodontite

How well did you know this?
1
Not at all
2
3
4
5
Perfectly
7
Q
A

rép : D

on le sait pas, car ça nous prend une sonde pour le savoir

pour dx supra-osseux, infra-osseux —> besoin de radio !

How well did you know this?
1
Not at all
2
3
4
5
Perfectly
8
Q
A

horizontale

How well did you know this?
1
Not at all
2
3
4
5
Perfectly
9
Q
A

on ne sait pas (pas fait de sondage ni radio)

How well did you know this?
1
Not at all
2
3
4
5
Perfectly
10
Q
A

Rép : C ou A

faudrait mesurer et voir si moins de 2 mm, donc soit normal ou parodontite débutante

How well did you know this?
1
Not at all
2
3
4
5
Perfectly
11
Q
A

parodontite sévère

How well did you know this?
1
Not at all
2
3
4
5
Perfectly
12
Q
A

rép : B

si perte verticale —> poche infra-osseuse, instrument va rentré plus bas que le bord osseux

How well did you know this?
1
Not at all
2
3
4
5
Perfectly
13
Q
A

furcation exposée, mais on peut pas dire si cest un 2 ou un 3

How well did you know this?
1
Not at all
2
3
4
5
Perfectly
14
Q

DX?

A

fistule cutanée infra-orbitale

How well did you know this?
1
Not at all
2
3
4
5
Perfectly
15
Q

DX?

A

fistule a/n de la muqueuse buccale

How well did you know this?
1
Not at all
2
3
4
5
Perfectly
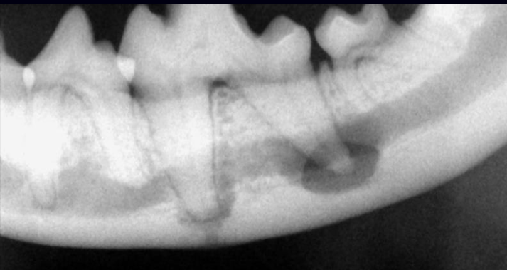
16
Q

DX?

A

LX périapicale et fistule

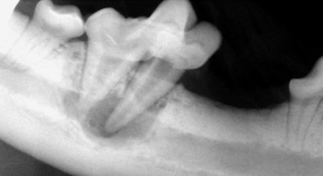
17
Q

DX?

A

aka racine convergente, l’environnement extérieur a accès à la pulpe

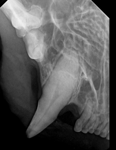
18
Q

DX?

A

pulpe hyperplasique

19
Q

DX?

A

résorption interne

=> résorption provient de la cavité pulpaire

20
Q

V ou F : La dent est vitale lors d’abcès apical.

A

F. dent non vitale => extraction

21
Q

DX?

A

abcès apical chronique

22
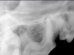
Q

DX?

A

ostéomyélite

=> pas une lx endodontique comme telle, mais peut en être une conséquence dans les cas chroniques très sévères

23
Q

DX?

A

ostéosclérose

=> région localisée avec os anormalement dense

24
Q

LX?

A

minéralisation pulpe (oblitération)

**pas besoin de traiter !

25
DX?
résorption inflammatoire rapide (au stage 2 en ce moment je pense) => a envahit la dentine mais pas la pulpe encore
26
DX?
dyschromie => dent morte
27
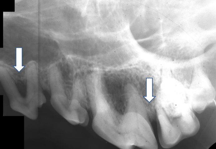
Quelles sont les lx?
Perte osseuse sur 404 et poche infra-osseuse sur 304