Quiz Flashcards

(49 cards)

1
Q

En la escala de Hounsfield, la densidad del agua tiene un valor numérico de

A

0

How well did you know this?
1
Not at all
2
3
4
5
Perfectly
2
Q

Es el descubridor de los Rayos X

A

Roentgen

How well did you know this?
1
Not at all
2
3
4
5
Perfectly
3
Q

En la protección radiológica, a mayor distancia de la fuente emisora, se obtiene mayor radiación. V/F

A

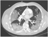
Falso

How well did you know this?
1
Not at all
2
3
4
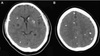
5
Perfectly
4
Q

La RM es excelente para valorar todo lo siguiente, excepto:
Cartílago
Médula ósea
Vía área
Degradación de la hemoglobina

A

Vías aéreas

How well did you know this?
1
Not at all
2
3
4
5
Perfectly
5
Q

Es una de las desventajas del Ultrasonido

Es económico
Es operador dependiente
Es accesible
No usa radiación ionizante

A

B

How well did you know this?
1
Not at all
2
3
4
5
Perfectly
6
Q

En Ultrasonido un cuerpo anecoico, ¿en qué estado físico de la materia se encuentra?
Gaseoso
Líquido
Sólido rígido
Sólido suave

A

Liquido

How well did you know this?
1
Not at all
2
3
4
5
Perfectly
7
Q

Es una desventaja de la Tomografia Computada *

Su capacidad de ser cuantitativa y cualitativa
Su utilidad para valorar vias aéreas y tubo digestivo
Su utilidad para valorar estructuras pequeñas como los huesecillos del oido
Su utilidad para valorar partes blandas

A

Su utilidad para valorar partes blandas

How well did you know this?
1
Not at all
2
3
4
5
Perfectly
8
Q

Partícula subatómica con la cual trabaja la Resonancia Magnética

A

Protón

How well did you know this?
1
Not at all
2
3
4
5
Perfectly
9
Q

¿Cual de los siguientes NO es parte de la definición de los Rayos X?

Radiación no ionizante
Radiación artificial
Radiación electromagnetica
Radiación ionizante

A

Radiación no ionizante

How well did you know this?
1
Not at all
2
3
4
5
Perfectly
10
Q

¡Cómo se aprecia el líquido (sinovial, cefalorraquídeo, pleural, etc) en la secuencia T2?

A

Hiperintenso

How well did you know this?
1
Not at all
2
3
4
5
Perfectly
11
Q

PACIENTE PEDIÁTRICO QUE ACUDE POR PRESENTAR MASA PALPABLE EN EL CUELLO. ¿CUAL ES EL MEJOR ESTUDIO PARA OBTENER UN DIAGNÓSTICO POR IMAGEN?

A

USG

How well did you know this?
1
Not at all
2
3
4
5
Perfectly
12
Q

MEJOR MÉTODO DE IMAGEN PARA EVALUAR SINUSITIS

A

TC

How well did you know this?
1
Not at all
2
3
4
5
Perfectly
13
Q

DATO CLINICO CARACTERÍSTICO DE RETINOBLASTOMA

A

Leucocoria

How well did you know this?
1
Not at all
2
3
4
5
Perfectly
14
Q

MÉTODO DE IMAGEN IDEAL PARA VALORAR LA INTEGRIDAD DE LOS
HUESECILLOS DEL OIDO

A

Tomografía

How well did you know this?
1
Not at all
2
3
4
5
Perfectly
15
Q

EL BOCIO SE ASOCIA SIEMPRE A HIPOTIROIDISMO (V/F)

A

Falso

How well did you know this?
1
Not at all
2
3
4
5
Perfectly
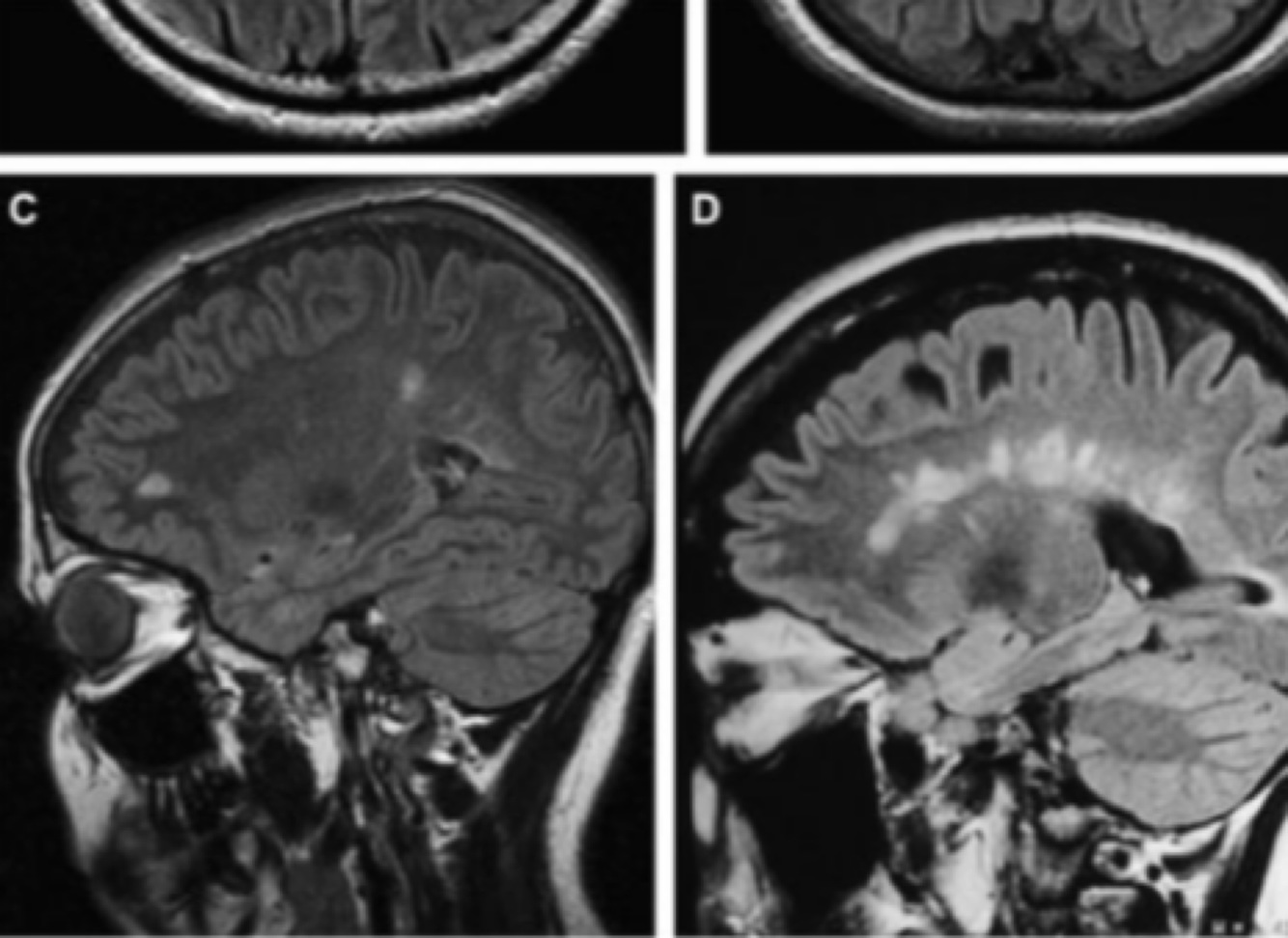
16
Q

Dx

A

Esclerosis múltiple

How well did you know this?
1
Not at all
2
3
4
5
Perfectly
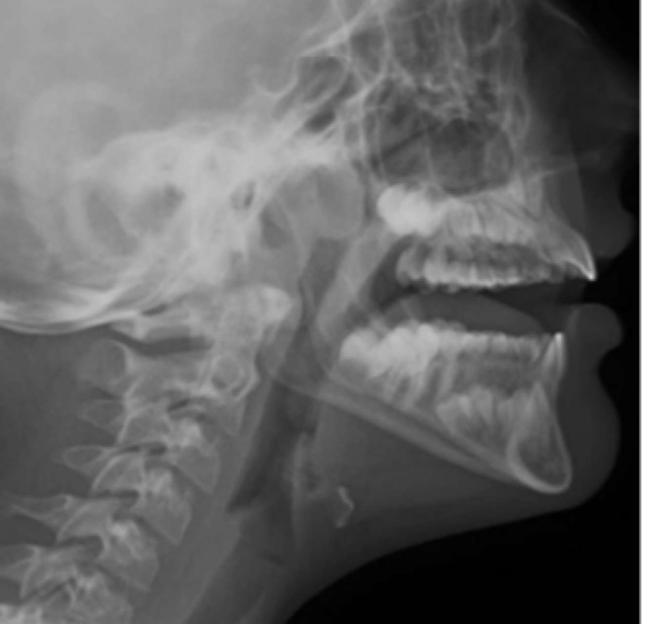
17
Q

MÉTODO DE IMAGEN IDEAL PARA DIAGNOSTICAR DISFUNCIÓN DE LA
ARTICULACION TEMPORO MANEDIBULAR

A

Resonancia

How well did you know this?
1
Not at all
2
3
4
5
Perfectly
18
Q

TUMORACIÓN BENIGNA MÁS COMÚN DEL CRÁNEO

A

Meningioma

How well did you know this?
1
Not at all
2
3
4
5
Perfectly
19
Q

Cual de las siguientes NO es un parámetro a buscar en una TC de urgencia?

V= VENTRÍCULOS
B = BLOOD = SANGRE
B= BONES = HUESOS
M= MENINGES

A

M= Meninges

How well did you know this?
1
Not at all
2
3
4
5
Perfectly
20
Q

ESTA CARACTERÍSTICA IMPIDE QUE ALGUNOS TUMORES PRIMARIOS DEL CEREBRO NO MUESTREN CAPTACIÓN O REALCE CON EL MEDIO DE
CONTRASTE

A

Presentan barrera hematoencefalica

21
Q

¿CUÁL ES EL PROPÓSITO DE REALIZAR TC A UN PACIENTE CON DATOS DE EVC ISQUÉMICO?

A

BUSCAR EL SIGNO DE LA ARTERIA CEREBRAL MEDIA HIPERDENSA

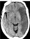
22
Q

Dx

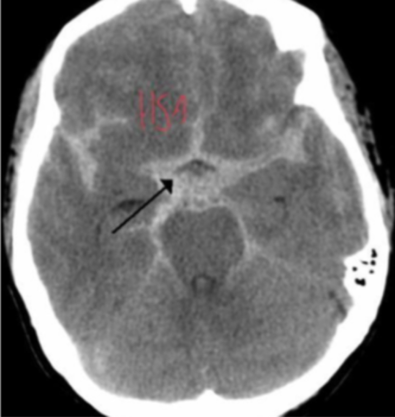
23
Q
A

Hemorragia subaracnoidea

24
Q

EL “INFIERNO TIROIDEO* PUEDE ENCONTRARSE EN HIPERTIROIDISMO (V/F)

25
DX
NEUROCISTICERCOSIS
26
MÉTODO DE IMAGEN IDEAL PARA DIAGNOSTICAR DISFUNCIÓN DE LA ARTICULACIÓN TEMPORO MANDIBULAR
RM
27
ESTUDIO DE IMAGEN QUE ES EL ESTÁNDAR DE ORO PARA DIAGNOSTICAR UNA MALFORMACIÓN ARTERIOVENOSA Y, DE SER POSIBLE, TRATARLA
Angiografia
28
MÉTODO DE IMAGEN IDEAL PARA DIAGNOSTICAR Y CLASIFICAR EL CÁNCER TIROIDEO
USG
29
MÉTODO DE IMAGEN MÁS RAPIDO Y ECONOMICO PARA DIAGNOSTICAR DESPRENDIMIENTO DE RETINA
USG
30
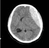
Dx
Hematoma epidural
31
Dx
Lesión isquémica
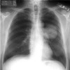
32
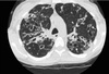
Dx
Bronquiectasias
33
¿A qué distancia del paciente se toma la TELE DE TÓRAX?
1,8 m
34
Dx
Neumonía COVID (consolidación vidrio esmerilado y empedrado loco)
35
Son signos radiológicos de Tromboembolia pulmonar, excepto: Derrame pleural Joroba de Hampton Dilatación de arteria pulmonar Signo de Westermark
Derrame pleural
36
Son subtipos de bronquiectasias, excepto: Varicosas Quísticas Cilíndricas Alveolares
Alveolares
37
Dato clave en el patrón de consolidación
Broncograma aéreo
38
Datos que se ven excepto: Patrón reticular Nódulo espiculado Signo de la garrafa Cardiomegalia
Nódulo espiculado
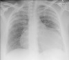
39
Dx
Carcinoma broncogénico
40
Dx
Neumotorax, hay hiperclaridad
41
Patrón tipico de neumonía por COVID-19 en TC
Conslidación en vidrio esmerilado y empedrado loco
42
Estudio ideal para diagnosticar Tromboembolia pulmonar
Angiotomografía
43
Estudio más económico para diagnosticar fracturas costales
Rayos X
44
Datos radiológicos que sugieren insuficiencia cardiaca, excepto: Derrame Pleural Líneas B de Kerley Hiperclaridad Cardiomegalia
Hiperclaridad
45
Son datos radiológicos de ENFISEMA PULMONAR, excepto Corazón en gota Aumento de marcas broncovasculares Hiperclaridad Aplanamiento de diafragma
Aumento de marcas broncovasculares
46
Patrón radiográfico encontrado en Neumotórax
Hiperclaridad
47
Dx
Neumonía
48
¿Que es la Atelectasia pulmonar?
Colapso o expansión incopleta de un segmento o lóbulo pulmonar
49
Son hallazgos sugestivos de Carcinoma Broncogénico, excepto Puede asociarse a adenopatías Lesión calcificada Suele encontrarse en lóbulos superiores Nódulo espiculado
Lesión calcificada