R2 LOCO5 Flashcards

(18 cards)

1
Q

Ponsenti method treats which growth abnormality? [1]

A

Club foot / Tapes equinovarus

How well did you know this?
1
Not at all
2
3
4
5
Perfectly
2
Q

This image shows

Perthe’s disease
CDH
SUFE
Pes planus
Talipes equinovarus

A

CDH

How well did you know this?
1
Not at all
2
3
4
5
Perfectly
3
Q

Name this sign [1]

A

Galeazzi sign

How well did you know this?
1
Not at all
2
3
4
5
Perfectly
4
Q

Which angle is used to detect CDH via ultrasound

alpha-angle
beta-angle
delta-angle
gamma-angle

A

alpha-angle

The alpha angle is formed by the acetabular roof to the vertical cortex of the ilium. This is a similar measurement to that of the acetabular angle (see below). The normal value is greater than or equal to 60º.

How well did you know this?
1
Not at all
2
3
4
5
Perfectly
5
Q

A normal alpha angle is greater than [] degrees? [1]

A

60

How well did you know this?
1
Not at all
2
3
4
5
Perfectly
6
Q

What stage of Perthes disease is this image?

Stage 1
Stage 2
Stage 3
Stage 4

A

Stage 1: avascular necrosis

How well did you know this?
1
Not at all
2
3
4
5
Perfectly
7
Q

What stage of Perthes disease is this image?

Stage 1
Stage 2
Stage 3
Stage 4

A

Stage 4: reossification

How well did you know this?
1
Not at all
2
3
4
5
Perfectly
8
Q

What stage of Perthes disease is this image?

Stage 1
Stage 2
Stage 3
Stage 4

A

Stage 3: remodelling

How well did you know this?
1
Not at all
2
3
4
5
Perfectly
9
Q

What stage of Perthes disease is this image?

Stage 1
Stage 2
Stage 3
Stage 4

A

Stage 2 fragmentation

How well did you know this?
1
Not at all
2
3
4
5
Perfectly
10
Q

SUFE is which type of Salter-Harris fracture

Type 1
Type 2
Type 3
Type 3

A

Type 1

How well did you know this?
1
Not at all
2
3
4
5
Perfectly
11
Q

This shows

osgood-schlatter
blounts disease
SUFE
Perthes
CDH

A

blounts disease

How well did you know this?
1
Not at all
2
3
4
5
Perfectly
12
Q

irreversible tibia varus is the pathophysiology behind

osgood-schlatter
blounts disease
SUFE
Perthes
CDH

A

blounts disease

How well did you know this?
1
Not at all
2
3
4
5
Perfectly
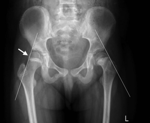
13
Q

the arrow is pointing to:

osgood-schlatter
blounts disease
SUFE
Perthes
CDH

A

SUFE

How well did you know this?
1
Not at all
2
3
4
5
Perfectly
14
Q

the arrow is pointing to:

osgood-schlatter
blounts disease
SUFE
Perthes
CDH

A

osgood schlatter

How well did you know this?
1
Not at all
2
3
4
5
Perfectly
15
Q

the arrow is pointing to:

osgood-schlatter
blounts disease
SUFE
Perthes
CDH

A

osgood-schlatter

How well did you know this?
1
Not at all
2
3
4
5
Perfectly
16
Q

scheuermann’s kyphosis is most commonly caused by kyphosis to which part of the spine

cervical
thoracic
lumbar
sacral

17
Q

What are the arrrows pointing to? [1]

A

Schmorl’s nodes

18
Q

A kyphosis of greater than [] degrees would indicate the need for surgery for a patient with Sheuermann’s disease? [1]