definition of RA
Chronic inflammatory systemic disease characterized by symmetrical deforming polyarthritis and extra-articular manifestations.
it increases the risk of CVS by 2-3fold
aetiology of RA
autoimmune disease of unknown cause
associated with other autoimmune phenomenon - Raynaud’s. Sjogren’s
HLA DR-1 and DR-4 haplotypes predispose to RA - suseptable alleles share sequence that bind to arthritogenic peptides to CD4 T cells -> adaptive immune response
PAD enzymes deiminate arginine -> citrulline.
rheumatoid factor - IgM Ab against Fc of IgG = loss of tolerance to IgG (B cell involvement)
T and B cell react with synoviocytes – viscious cycle of reciprocal activation between macrophage and synoviocytes = osteoclast resorb bone
epidemiology of RA
common
1% prevalence in pop, higher in smokers (increases citrullination in lungs)
more in females
30-50yrs
HLA DR4/DR1 linked - associated with increased severity
sx of RA
gradual (occasionally rapid) onset
symmetrical polyarticular joint pain, swelling, morning stiffness, impaired function - of the small joints of hands and feet, worse in morning
this can fluctate and larger joints can become involved
peripheral joints symmetrically - occasionally monoarticular involvement eg knee
fatigue
fever
weight loss
FHx of autoimmune/RA
signs of RA
polyarticular arthritis - most common sites in hands- small joints
early and late signs
joint swelling and effusions
joint tenderness, synovitis
painful/restricted movement
rheumatoid nodules - Firm subcutaneous nodules, deposition of inflammatory cells (e.g. on elbows, palms, over extensor tendons, lungs, cardiac, CNS, lymphadenopathy, vasculitis).
signs of complications
extra-articular manifestations effect 40%
splenomegaly
osteoporosis
amyloidosis

early arthritic signs of RA
inflammation, no joint damage
spindling of fingers
swelling at MCP, PIP, wrist or MTP joints - often symmetrical
warm, tender joints
reduction in range of movements
look for tenosynovitis or bursitis
late arthritic signs of RA
joint damage, deformity
symettrical deforming arthropathy
Ulnar deviation of fingers as a result of subluxation (partial dislocation) at MCP joints.
radial deviation of the wrist
volar subluxation at wrist - ulnar styloid points out = damage extensor tendons = finger drop
swan neck deformity - MCP and DIP fixed flexion, PIP extension
Boutonniere deformity (MCP and DIP joint extension, PIP flexion)
Z derformity of thumb
trigger finger (unable to straighten finger, tendon sheath nodule palpable) tendon rupture
wasting of small muscles of the hand, palmar erythema
hand extensor tendons may rupture
foot changes are similar
larger joints can be involved
atlanto-axial joint subluxation may threaten the spinal cord - rare - synovitis destroy the transverse ligament = dens unstable and moves back into spinal cord

signs of vasculitis (skin) as a complication of RA
Nail-fold infarcts,
digital gangrene,
ulcers,
pyoderma gangrenosum,
purpuric rash.
bleeding of small bv due to inflammation

lung complications of RA
Pleural effusion,
interstitial fibrosis,
rheumatoid nodules in parenchyma,
obliterative bronchioloitis.
organising pneumonia
heart complications of RA
Pericarditis,
pericardial rub,
myocarditis,
conduction abnormalities,
valvular regurgitation.
IHD
pericardial effusion
haematological complications of RA
anaemia of chronic disease
megaloblastic anaemia - high demand for folic acid
aplastic anaemia - from drugs
haemolytic anaemia - in Felty’s syndrome
neuromuscular complications of RA
mononeuritis multiplex
peripheral neuropathy
carpal tunnel syndrome
atlantoaxial subluxation
spinal cord compression
renal complications of RA
analgesic nephropathy
amyloidosis
eyes complications of RA
scleritis
episcleritis
keratitis - involves the cornea, corneal melt
scleromalacia
scleromalacia perforans
keratoconjunctivitis sicca

Ix for RA
bloods
acutely - joint aspiration to exclude septic arthritis
joint XR
MRI and US can identify synovitis more accurately and have a greater sensitivity in detecting bone erosions than XR - look for soft tissue

bloods for RA
low Hb - anaemia of chronic disease
high platelets
high ESR and CRP
rheumatoid factor (monoclonal IgM against Fc portion of IgG, present in 70% of patients and 5% normal population, associated with subcutaenous nodules and extra-articular manifestations) - . High titres associated with severe disease and erosions
antinuclear Ab (30%) - might predict disease progression
anti-cyclic citrullinated peptide (CCP) Ab
RF
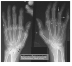
XR of RA
soft tissue swelling
angular deformity - subluxation
carpal destruction
periarticular erosions
osteoporosis/osteopenia
juxta-articular osteopeni
reduced joint space


RA
less common presentations of RA
sudden onset, widespread arthritis
recurring mono/polyarthritis of various joints (palindromic RA)
persistant monoarthritis (knee, shoulder, hip)
systemic illness with extra-articular sx - fatigue, fever, weight loss, pericarditis, pleurisy - but initially few joint problems (more common in females)
polymyalgic onset - vague limb girdle aches
recurrent soft tissue problems - frozen shoulder, carpal tunnel syndrome, de Quervain’s tenosynovitis
palindromic RA
arthritis lasting hours or days runs to and fro, visiting and revisiting three or more sites, typically knees, wrists, and MCP joints.
It may presage RA, SLE, Whipple’s, or Behçet’s disease.
Remissions are (initially) complete, leaving no radiological mark.
Felty’s syndrome
RA, splenomegaly and neutropenia
diagnostic criteria for RA

pathophysiology of RA
synovial inflammation
Producing more synovial fluid
= destruction of cartilage and bone

acute management of rheumatoid arthritis