
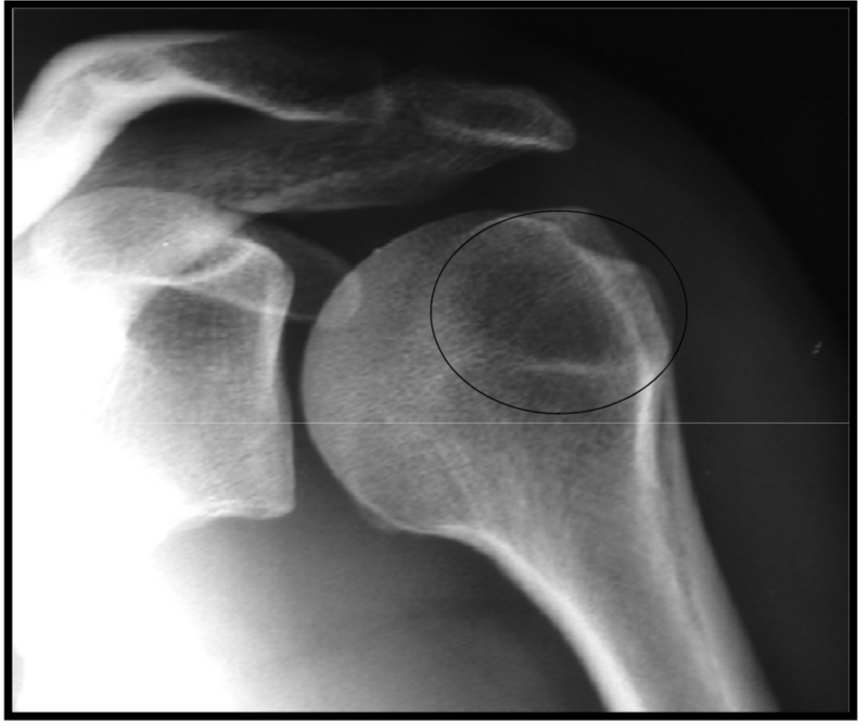
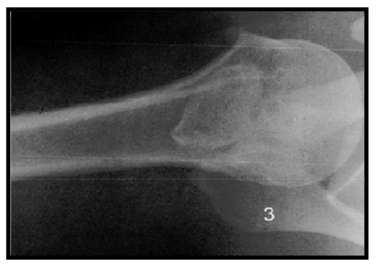
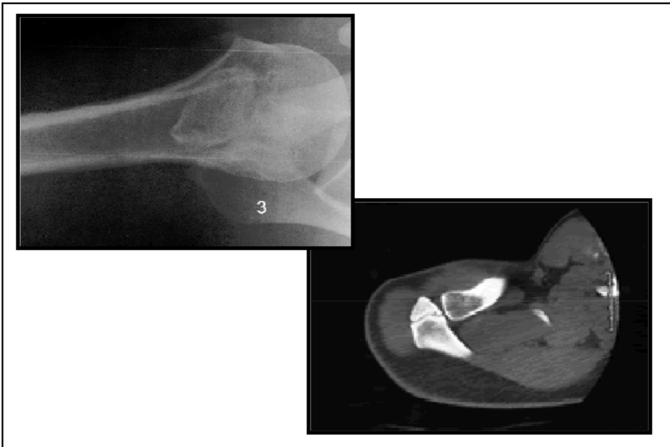
Deltoid tuberosity enthesopathy

Herring bone appearance
variation anat normal

Herring bone appearance
variation ant normal

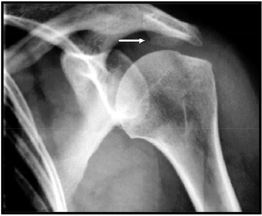
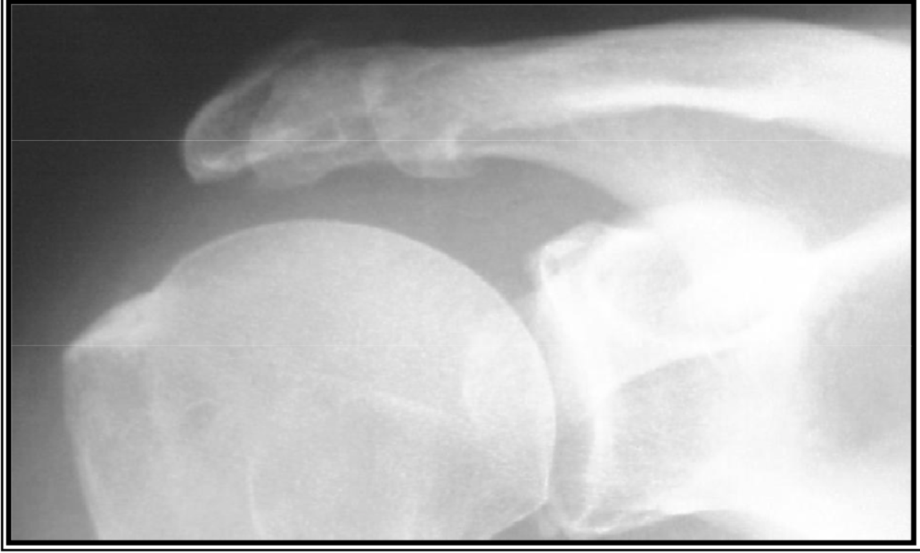
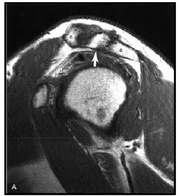
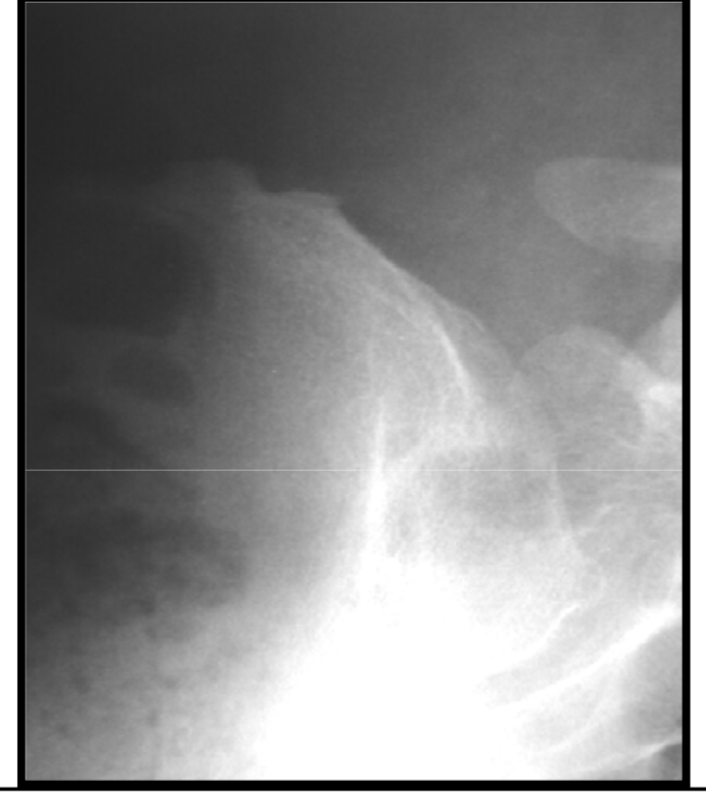
Acromial hook

Acromial hook
variation anat normal

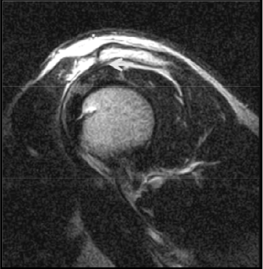
Os acromiale
variation anat normal

Os acromiale
variation anat normal

Os acromiale
variation anat normal
Os acromiale
variation anat normal

Os acromiale
variation anat normal

Maturation osseuse – Vues de profil
varaition anat normal

Maturation osseuse – Vues de profil
variation normal

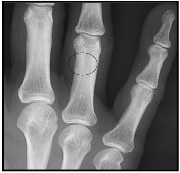
Nutrient vessel entrance
variation anat normal

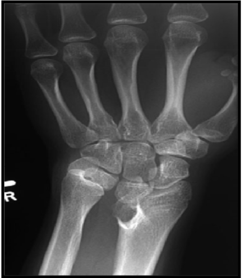
Madelung’s deformity
anat deformation anatomique

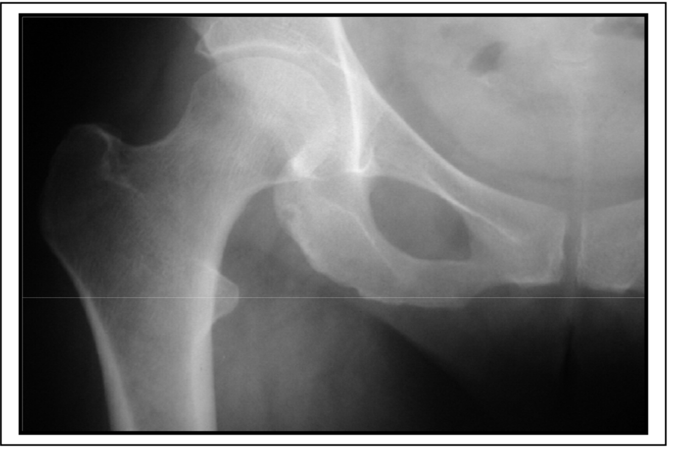
Paraglenoid sulcus – internal iliac artery
anat variation

Degenerative enthesopathy
anat variation

Degenerative enthesopathy
anat variation

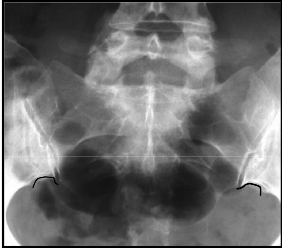
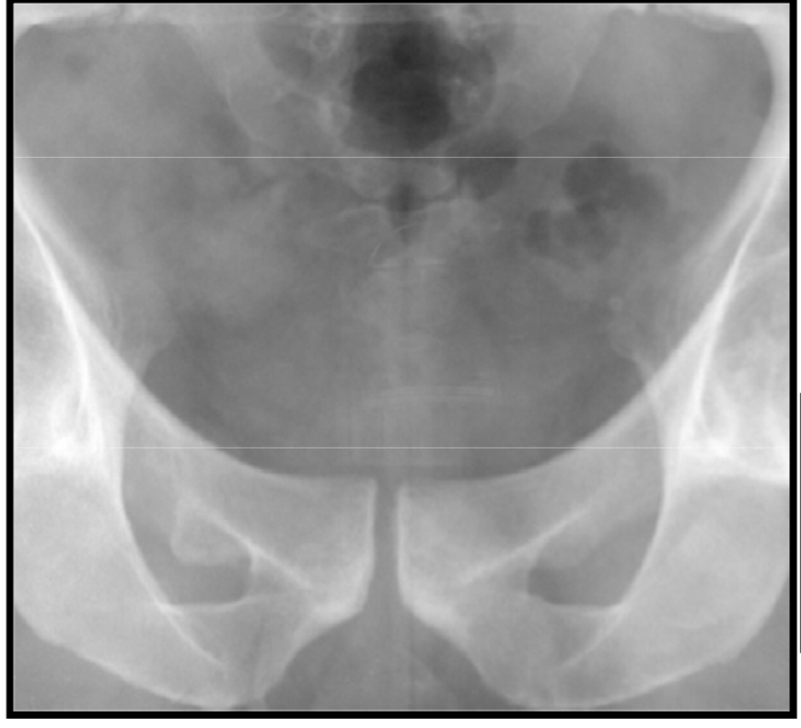
Pubic ears – another degenerative enthesopathy
anat variation

Phlebolith’s (calcified venous thrombi)

Bone islands
variation anat
à comparer voir si ce n’est pas une métastase ostéoblastique

Osteoblastic metastases

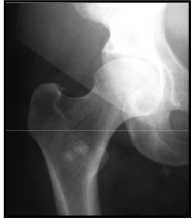
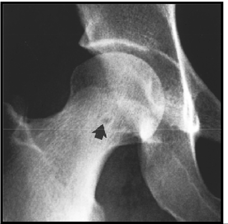
Synovial herniation pit or Pitt’s pit
variation anat normal

Developmental dysplasia of the hip
déformation