Radiography Flashcards

(45 cards)

1
Q

What could you make the patient drink in a contrast study?

A

Barium +
- radio opaque

More commonly iodine based water soluble contrast

How well did you know this?
1
Not at all
2
3
4
5
Perfectly
2
Q

Is a CT scan high or low dose x-rays?

A

High

How well did you know this?
1
Not at all
2
3
4
5
Perfectly
3
Q

Does MRI involve xrays?

A

No

How well did you know this?
1
Not at all
2
3
4
5
Perfectly
4
Q

How does MRI produce an image?

A

Magnetic field

How well did you know this?
1
Not at all
2
3
4
5
Perfectly
5
Q

What does nuclear medicine involve?

A

Radio isotopes - immiting radiation

How well did you know this?
1
Not at all
2
3
4
5
Perfectly
6
Q

What rays are used nuclear medicine?

A

Gamma rays

How well did you know this?
1
Not at all
2
3
4
5
Perfectly
7
Q

When would you take a lateral soft tissue of the neck?

A

Something stuck on throat

Not very useful

How well did you know this?
1
Not at all
2
3
4
5
Perfectly
8
Q

When would you take facial views (maxillofacial)?

A

Trauma

How well did you know this?
1
Not at all
2
3
4
5
Perfectly
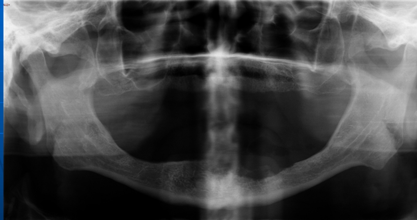
9
Q

What xray do we use in a dental assessment?

A

OPT

How well did you know this?
1
Not at all
2
3
4
5
Perfectly
10
Q

Is a tomsillar abnormality in the oro pharynx or oral cavity?

A

Oropharynx

How well did you know this?
1
Not at all
2
3
4
5
Perfectly
11
Q

Where does a fish bone tend to get stuck?

A

Piriform fossa

How well did you know this?
1
Not at all
2
3
4
5
Perfectly
12
Q

Is an OPT a plane radiograph?

A

Yes

How well did you know this?
1
Not at all
2
3
4
5
Perfectly
13
Q

What gets blurred in an OPG?

A

In front and behind mandible

How well did you know this?
1
Not at all
2
3
4
5
Perfectly
14
Q

What can the blurring in an OPG cause?

A

Artefacts

How well did you know this?
1
Not at all
2
3
4
5
Perfectly
15
Q

Where is the ulcer here?

A
How well did you know this?
1
Not at all
2
3
4
5
Perfectly
16
Q

What classification is important in cancer?

A

TNM classification

How well did you know this?
1
Not at all
2
3
4
5
Perfectly
17
Q

Why not use barium in contrast studies?

A

If it gets elsewhere e.g, lungs can cause pneumonia

How well did you know this?
1
Not at all
2
3
4
5
Perfectly
18
Q

What is a sialogram?

A

test which uses x-rays and a contrast medium (x-ray dye) to produce detailed images of the salivary glands (parotid or submandibular glands)

How well did you know this?
1
Not at all
2
3
4
5
Perfectly
19
Q

What are the symptoms of a pharyngeal pouch?

A

Gurgling in the neck
Swelling
Discomfort
Undigested food vomiting after eating

20
Q

What do you do if you suspect a pharyngeal pouch?

A

Laser therapy of cricopharyngeus muscle

  • relieve symptoms
21
Q

Why do you get a pharyngeal pouch?

22
Q

Where has the perforation gone?

A

Airway and oesophagus

23
Q

What is indicated here?

A

Shoulder replacement

24
Q

Who would use a videofluroscopy?

A

Speech and language therapist

25
Laryngectomy?
Usually ptx has no speech or very low volume Oesophageal speech
26
How could you help someone that has had a laryngectonomy?
Blom-singer valve
27
What does this show?
Parotid sialogram Normal
28
sjogren’s disease symptoms?
Dry mouth Dry eyes Arthylagia
29
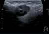
What can you use to characterise lymph nodes?
Ultrasound
30
What is normal and what is likely malignant?
Top = normal Bottom = malignant (smooth)
31
What tumour is commonly found in the parotid gland?
Pleomorphic adenoma PMAs
32
What has to be considered with CT scan?
IRMER
33
What would you use for bony detail?
CT scan
34
What would you use for soft tissue?
MRI
35
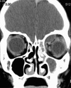
Is this an emergency?
Yes, pushing on eye Eye bulge Stretch optic nerve
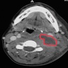
36
Retro pharyngeal abscess
37
What can a retropharyngeal abscess occlude?
Vessels Here the jugular vein is occluded
38
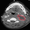
Where is this tumour sitting?
Between the internal and external carotids Carotid body tumour The tumour is highly vascularised - hence why it is white
39
T1 vs T2 MRI?
T1 bright T2 dark
40
What does this MRI show?
Retropharyngeal lypoma Bright white is fat
41
What is a closed lock?
Disk in front of condyl
42
What scan will you use to look at TMJ?
MRI
43
What virus can oropharyngeal cancer be associated with?
HPV
44
What is PET CT scan used to diagnose?
tumours, diagnose heart disease, brain disorders and other conditions.
45
How can you tell the bright area is cancer?
Glucose uptake- could be cancer or inflammatory process The first area is scar tissue to glucose uptake