What thought process should you follow when you see a radiolucency on a radiograph?

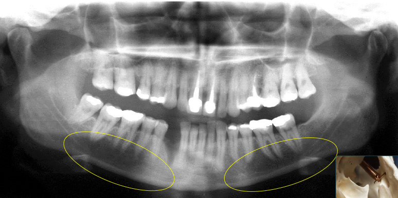
What do the submandibular fossa look like on a radiograph?

What does unilocular mean?
having, consisting of, or characterized by only one loculus or cavity; single-chambered.
What are the different types of cyst?
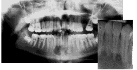
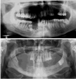
What is a radicular cyst?

What’s the difference between a chronic and an acutely developed cyst?
See image

What is a residual cyst?

What is a lateral periodontal cyst? (developmental)

What is a botyroid cyst?
A multilocular variant of a lateral periodontal cyst. It is rare and seen more in middle age to older adults.
What is a dentigerous (follicular) cyst?

What is an eruption cyst?
a bluish swelling that occurs on the soft tissue over an erupting tooth. It is usually found in children. The fluid in thecyst is sometimes clear creating a pale-coloured cyst although often they are blue. An eruption cyst (eruption hematoma) is a developmental soft-tissue cyst ofodontogenic origin that forms over an erupting tooth.
What’s a nasopalatine duct cyst? (incisive canal cyst)

What is a solitary bone cyst?
Commonly seen in the young – probable trauma related

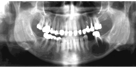
What are the different types of multilocular radiolucencies seen in radiographs of the head and neck?
1. Odontogenic tumours:
2. Giant cell lesions:
What is an odontogenic keratocyst?

What is Gorlin-Goltz syndrome?
Multiple basal cell carcinomas of the skin
Odontogenic keratocysts: Seen in 75% of patients and is the most common finding. There are usually multiple lesions found in the mandible. They occur at a young age (19 yrs average).
Rib and vertebrae anomalies
Intracranial calcification
Skeletal abnormalities: bifid ribs, kyphoscoliosis, early calcification of falx cerebri
Distinct faces: frontal and temporopariental bossing, hypertelorism, and mandibular prognathism

What’s an ameloblastoma?
May mimic other radiolucencies.

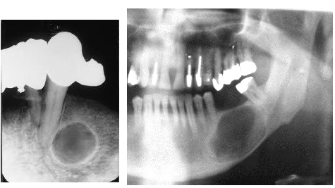
What’s a unicystic ameloblastoma?
Account for ~15% of Ameloblastoma. Equal distribution between maxilla and mandible. Usually unilocular associated with the crown of an un erupted tooth peak age 35 years.

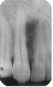
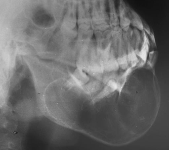
What is this?

An Ameloblastic fibro-odontoma
What is an Odontogenic myxoma?
Origin: Odontogenic connective tissue fibroblasts of the developing tooth germ.
Age: Young adults 2nd-4th decades
Frequency: Rare
Site: Posterior maxilla or mandible
Size: Variable
Shape: Multilocular – honeycomb or soap bubble
Outline: Well defined with variable cortication
Radiodensity: Radiolucent with fine radiopaque internal septa often arranged at right angles to each other
Effects: Displaced teeth occasionally resorbed, may be associated with an un erupted tooth cortical expansion / breach.

What is cortical expansion?
Cortical expansion is a radiological description which means thickening of the cortex of the bone being radiographed. It can also mean widening of the bone, with a cortex being seen. The cortex is the shell of the bone, versus the medulla which is the central spongy bone. The possible causes are numerous, and vary from trauma to infection to tumor etc.
What are examples of giant cell lesions?
Central Giant Cell Granuloma
Aneurysmal Bone Cyst
Brown’s Tumour of Hyperparathyroidism Cherubism
What is a central giant cell granuloma?
Age: All ages but usually young majority
Frequency: Rare
Site: Mandible – main feature often crosses midline
Size: Variable – can become large
Shape: Multilocular
Outline: Smooth and scalloped, well defined and generally not well corticated
Radiodensity: Radiolucent with Radiopaque thin septa - honeycomb
Effects: Teeth displaced, loosened and often resorbed Extension expansion in all dimensions Extension into adjacent structures; for example maxillary sinuses, orbit. Displacement of IDN canal

What’s an aneurysmal bone cyst?
Age: Adolescents and young adults under 30
Frequency: Rare
Site: Commonly body / posterior mandible
Size: Can become very large
Shape: Unilocular / Multilocular – may be soap bubble appearance
Outline: Smooth and well defined
Radiodensity: Radiolucent with faint random trabeculation
Effects: Teeth displaced uncommonly resorbed Ballooning expansion Rare cortical perforation
