RADIOLOGY Flashcards

(63 cards)

1
Q

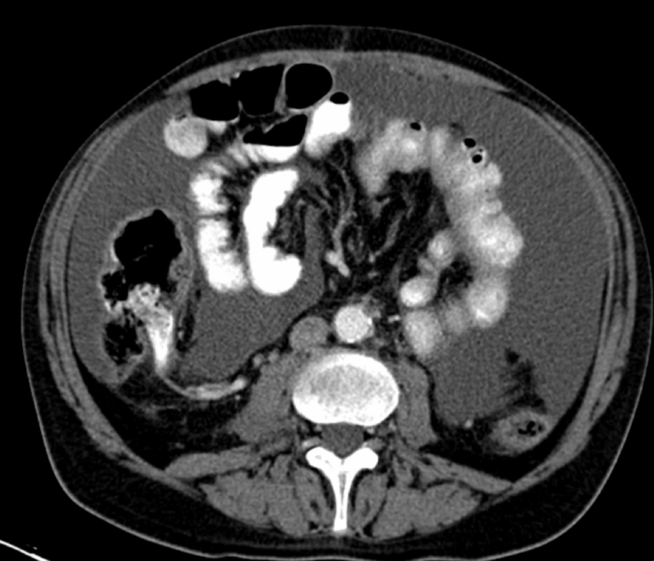
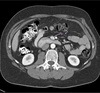
Abdomen topography

A
How well did you know this?
1
Not at all
2
3
4
5
Perfectly
2
Q

Can the peritoneum be seen in radiological techniques?

A

It is very difficult to be seen, just when there is pathology it can be seen.

How well did you know this?
1
Not at all
2
3
4
5
Perfectly
3
Q

Imaging technique and its parts

A

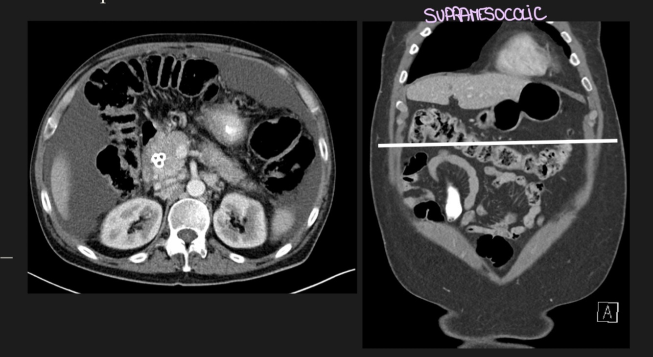
CT (bones are hyperintense)

How well did you know this?
1
Not at all
2
3
4
5
Perfectly
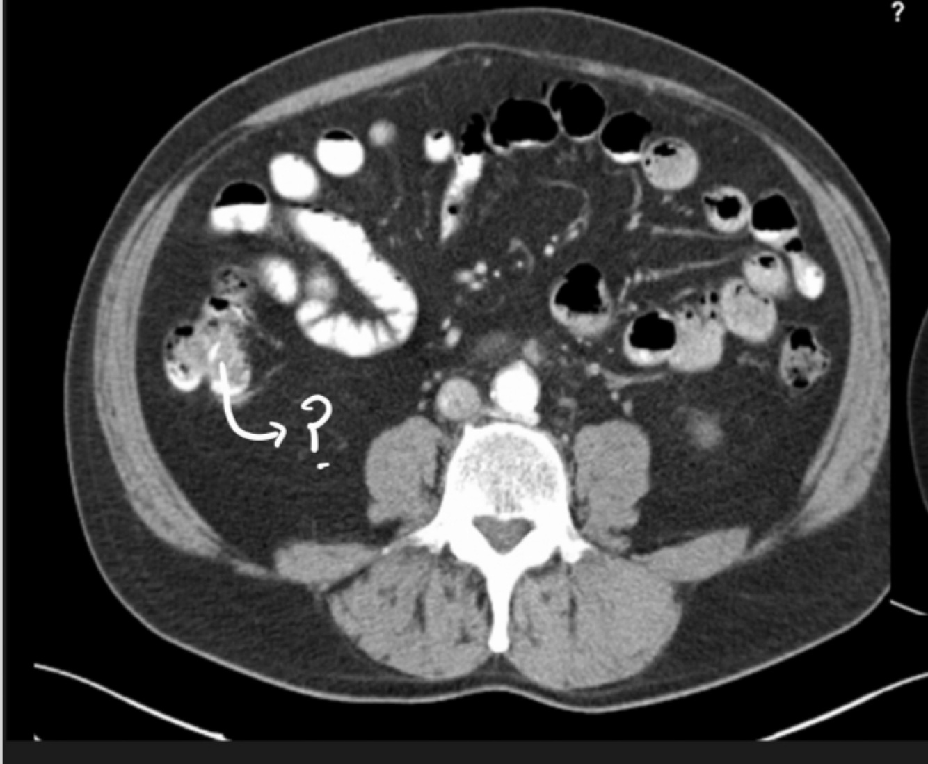
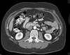
4
Q

Name the marked structure

A

Ascending colon

How well did you know this?
1
Not at all
2
3
4
5
Perfectly
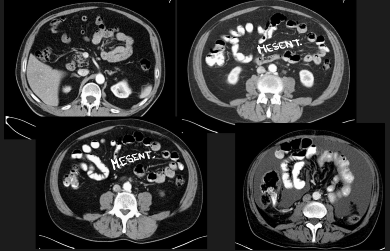
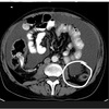
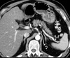
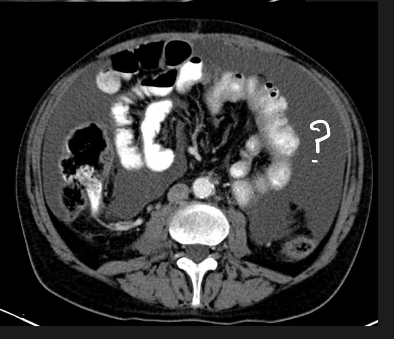
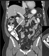
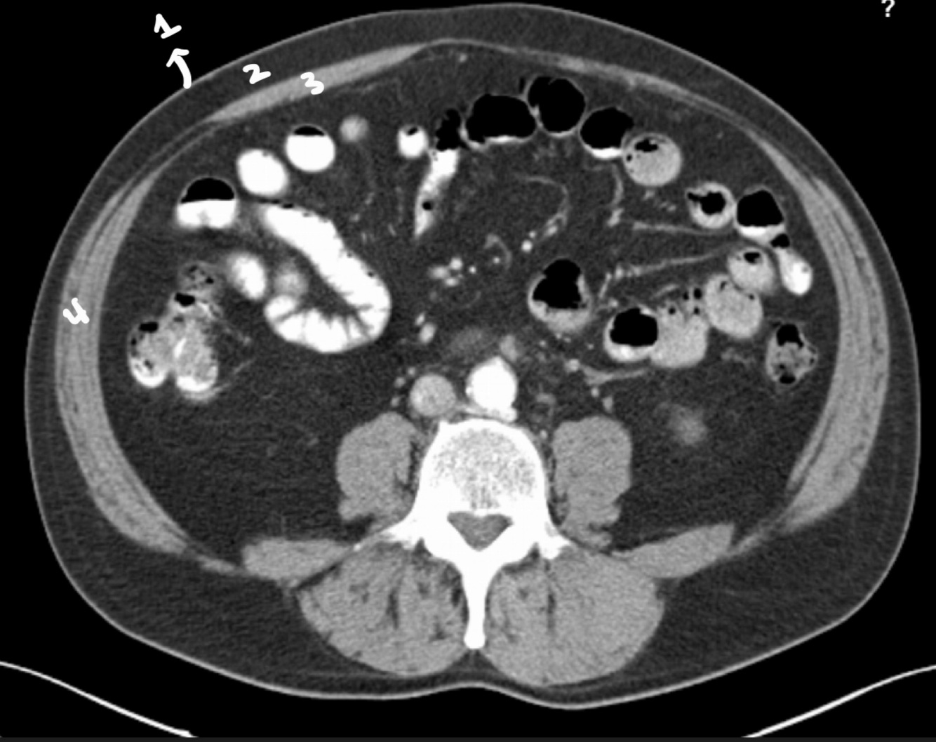
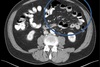
5
Q
A
  1. Descending colon
  2. Mesentery
How well did you know this?
1
Not at all
2
3
4
5
Perfectly
6
Q

The mesentery is covered by … and contains fat, vessels, nerves, linfatics. It holds intestinal loops to ….

A

Peritoneum, retroperitoneum

How well did you know this?
1
Not at all
2
3
4
5
Perfectly
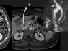
7
Q

The thicker the mesentery, the better it will be seen (T/F)

A

True, as it is mainly formed by fat. (Loops are seen better)

How well did you know this?
1
Not at all
2
3
4
5
Perfectly
8
Q

Why are the loops hyperdense?

A

ORAL CONTRAST WITH IODINE has been applied

How well did you know this?
1
Not at all
2
3
4
5
Perfectly
9
Q

Why do we have this color inside the peritoneal cavity?

A

There is fluid in it: ASCITIS

How well did you know this?
1
Not at all
2
3
4
5
Perfectly
10
Q

… divided the peritoneal cavity in two.

A

Transverse mesocolon (mesentery of colon)

How well did you know this?
1
Not at all
2
3
4
5
Perfectly
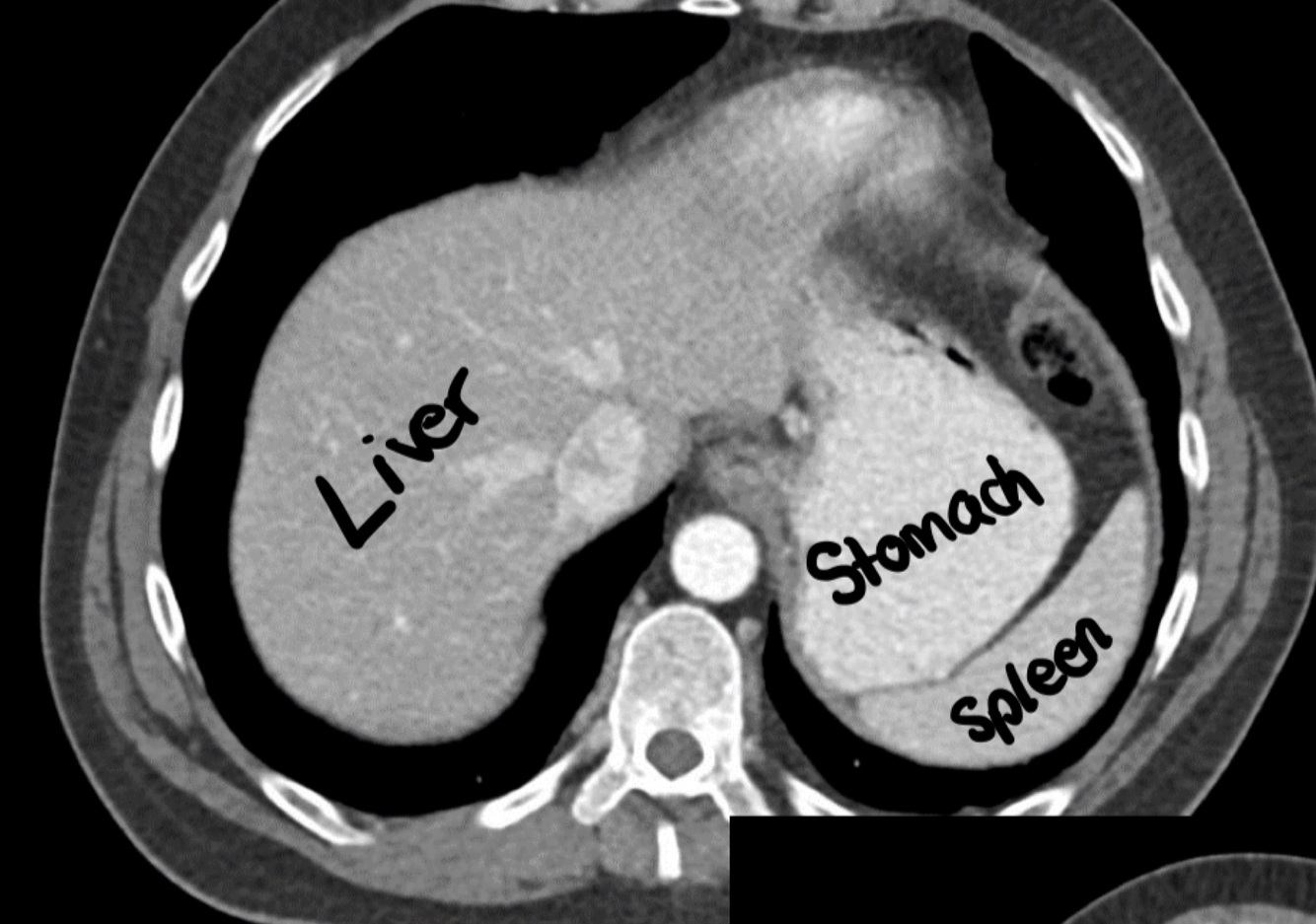
11
Q

In the supramesocolic region, we find…

A

Liver, stomach and spleen

How well did you know this?
1
Not at all
2
3
4
5
Perfectly
12
Q

If the right lobe of the liver is too big, … can be seen

A

Hepatomegalia

How well did you know this?
1
Not at all
2
3
4
5
Perfectly
13
Q

The vessels divide the liver into…

A

Eight segments
(1-4 to the left) (5 to 8 to the right)

How well did you know this?
1
Not at all
2
3
4
5
Perfectly
14
Q

How many hepatic veins do we have?

A

3 main hepatic veins

How well did you know this?
1
Not at all
2
3
4
5
Perfectly
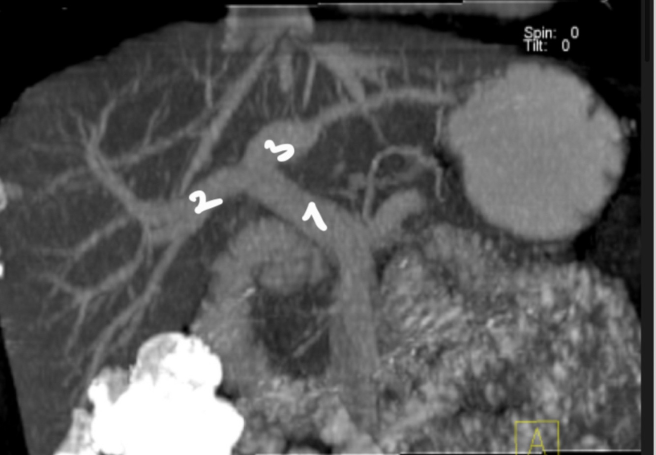
15
Q

Name those structures

A
  1. Main portal vein
  2. Right portal vein.
  3. Left portal vein.
How well did you know this?
1
Not at all
2
3
4
5
Perfectly
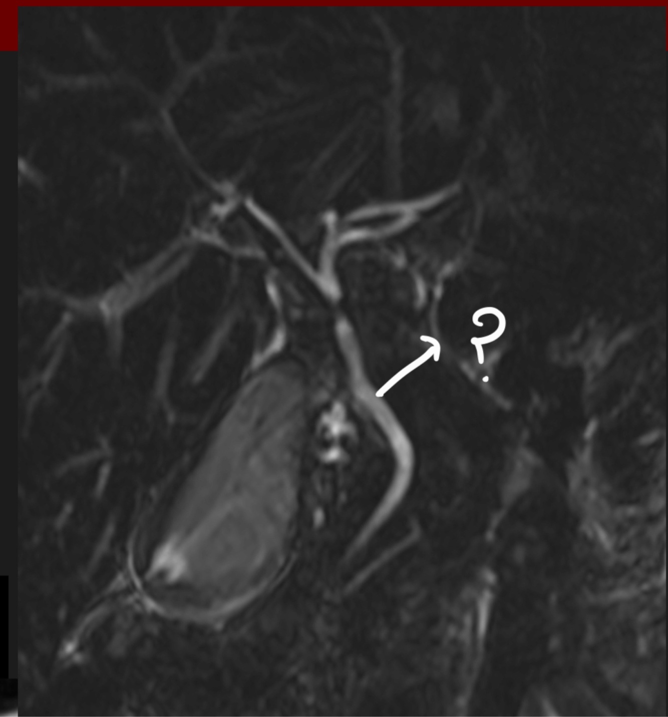
16
Q

What kind of image and structure

A

MRI T2, bile duct.
It is seen so clear because of the bile, which is a fluid and is very well seen in MRI T2.

How well did you know this?
1
Not at all
2
3
4
5
Perfectly
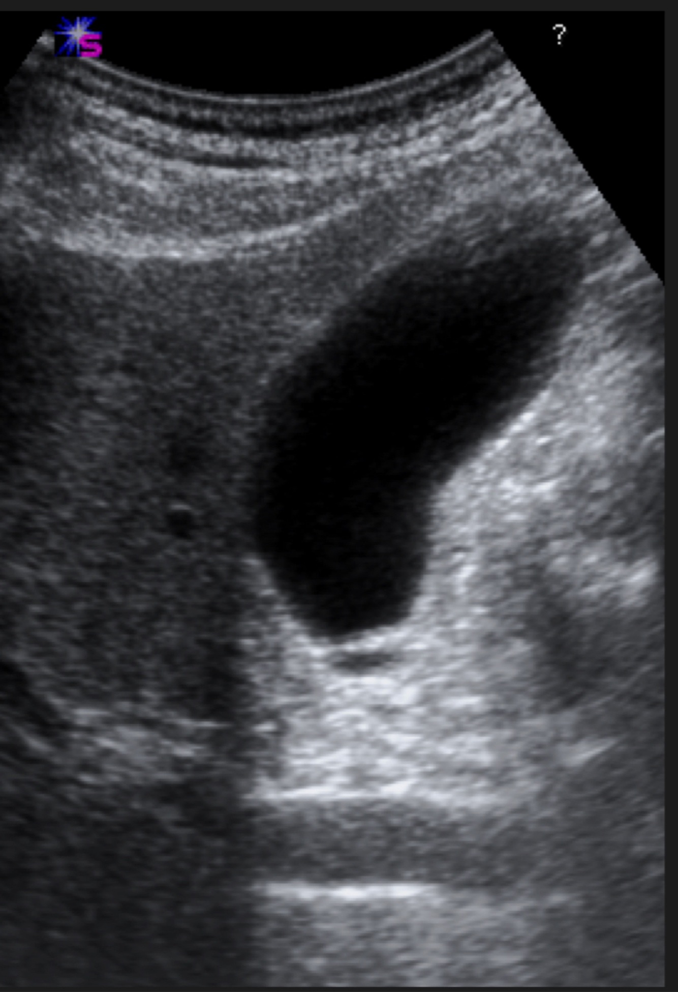
17
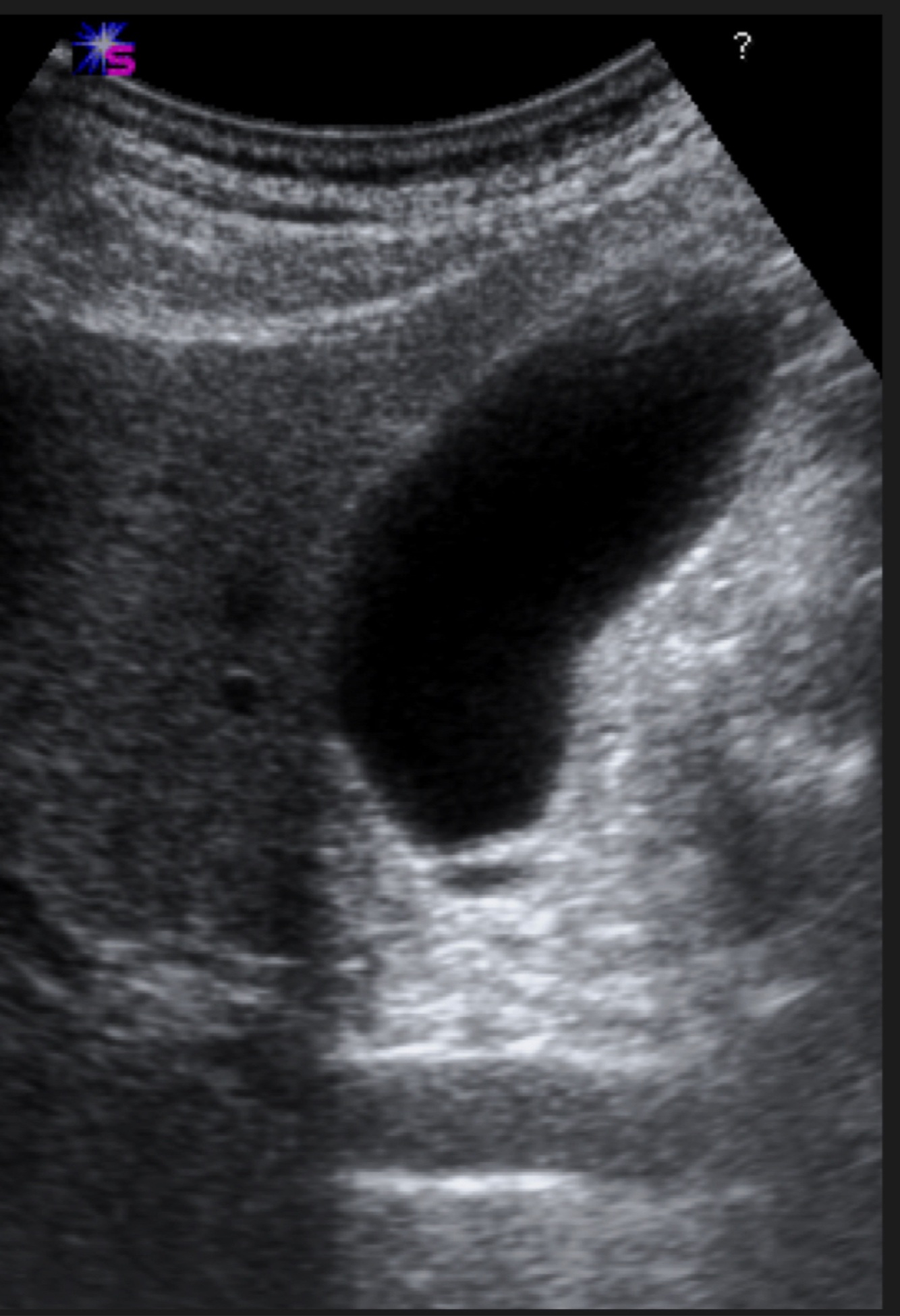
Q

Name the structure

A

Gallbladder (Ultrasound)

How well did you know this?
1
Not at all
2
3
4
5
Perfectly
18
Q

The gallbladder in ultrasound appears…

A

Hypoechoic

How well did you know this?
1
Not at all
2
3
4
5
Perfectly
19
Q

El conducto coledoco entra en …

A

Duodeno

How well did you know this?
1
Not at all
2
3
4
5
Perfectly
20
Q

The goal of the small diameter of the pylorus is to…

A

Avoid the fast emptying of the stomach

How well did you know this?
1
Not at all
2
3
4
5
Perfectly
21
Q

Name the structure

A

PYLORUS

How well did you know this?
1
Not at all
2
3
4
5
Perfectly
22
Q

1st and 4th part of the duodenum are…, 2nd and 3rd are…

A

Intra peritoneal, retroperitoneal

How well did you know this?
1
Not at all
2
3
4
5
Perfectly
23
Q

Papilla of duodenum is seen easily (TRUE/FALSE)

A

False

How well did you know this?
1
Not at all
2
3
4
5
Perfectly
24
Q

Parts of the duodenum

A
How well did you know this?
1
Not at all
2
3
4
5
Perfectly
25
The 3rd part of the duodenum is anterior to … and behind the
Aorta and superior mesenteric artery
26
Name the structure
Superior mesenteric artery
27
CELIAC TRUNK
28
Splenic vein
29
Coleducus crossing the pancreas
30
The mesocolon is the…
Mesentery of the large intestine
31
Supramesocolic structures
Liver, stomach and spleen
32
Inframesocolic structures
Intestines and rectum
33
Name the space
Gotier or paracolic space (lateral to the ascending and descending colon, inframesocolic space)
34
Name the structure and the contrast used
Stomach, barium contrast (X-ray)
35
Stomach is found in the…
Epigastrium/Left hypocondrium
36
2nd and 3rd portion of the duodenum are … structures
Secondary retroperitoneal
37
Bile duct and main pancreatic duct drain together into the…
Vater ampulla (2nd portion of the duodenum)
38
The anterior pararrenal space is located …
39
The pancreas is…
Retroperitoneal
40
The pancreas is located…
Behind the transverse mesocolon
41
The uncinate of the pancreas is located…
behind aortomesenteric space
42
Structure and the technique
Small bowel, barium-Xray
43
Structure and technique used
MR-Intestinal
44
Structure marked and technique used
CT-Jejunum
45
Structure marked
Jejunum
46
…. is located between mesogastrium and left flank
Jejunum
47
The… has the appearance of a sac of coins as it has transverse folds.
Jejunum
48
Name the marked structure
Ileum
49
The … is located between the meso/hipogastrium and the right iliac fossa.
Ileum
50
… has longitudinal folds.
Ilium
51
The ileum ends …
At the cecum
52
Large bowel starts from…
Ileocecal valve
53
Name this structure
Start of large bowel, from ileocecal valve
54
… is located in the right iliac fossa
Cecum
55
The cecum contains the…
Appendix
56
Which is the marked structure?
Cecum
57
… colon is located in the right flank, below the liver
Ascendent
58
…. colon is located in the left flank, below the spleen
Descendent
59
…. colon is located in the mesogastrium, connecting the AC and DC
Transverse
60
End of ascending colon is located in the…
Hepatic angle
61
Place of transition between TC and DC is located in the…
Splenic angle
62
The … is located in the left iliac fossa
Sigmoid colon
63
The … is the structure that comes after the sigmoid colon and is located in the pelvis.
Rectum